您好,欢迎您

【寻根溯源】胸闷气短背后的“心脏刺客”:以心包填塞为首发表现的原发性心包弥漫大B细胞淋巴瘤一例

01月20日
整理:肿瘤资讯
来源:肿瘤资讯

弥漫大B细胞淋巴瘤(DLBCL)是一种异质性强、侵袭性高的恶性肿瘤,作为非霍奇金淋巴瘤中最常见的亚型,其典型临床表现为单个或多个淋巴结肿大,近半数病例会出现结外受累,以皮肤和胃肠道最为常见。然而,心脏尤其是孤立性心包受累的情况极为罕见。心包积液是临床常见病症,病因复杂,病毒心包炎为最主要诱因,恶性肿瘤相关心包积液约占25%,且多由肺癌、胃肠道肿瘤等实体瘤引起,血液系统恶性肿瘤所致者少见。本文报道1例以咳嗽、气短为首发症状,最终确诊为原发性心包DLBCL的老年患者,结合临床资料及诊疗过程进行分析,为临床罕见部位淋巴瘤的早期识别与诊治提供参考。

图片1.png

病例介绍:老年患者多症缠身,心包积液暗藏凶机

患者男性,81岁,既往有3期慢性肾病、高血压、高脂血症及良性前列腺增生病史。因“乏力、干咳、活动后气短、肌肉酸痛伴双下肢水肿2周”入院。急诊查体:血压130/85mmHg,心率80次/分,呼吸18次/分,室内空气下血氧饱和度85%。

辅助检查:胸部X线片示双肺基底段气腔模糊影;乙型流感病毒PCR检测阳性。初步诊断为病毒性肺炎继发急性低氧性呼吸衰竭,予奥司他韦抗病毒、美托洛尔控制心率及抗凝治疗后,患者临床症状改善,病情稳定后出院,计划1周后门诊复查心脏超声。

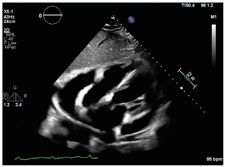
出院1周后复查心脏超声提示大量心包积液,伴早期心包填塞表现(右心房舒张期塌陷)(图 1)。紧急行心包穿刺术,引流出930ml琥珀色液体,送检生化及细胞学分析(表1)。结果显示:红细胞13,000/μL(正常参考值<2000/μL),总核细胞数7074/μL(正常参考值<1000/μL),中性粒细胞61%(正常参考值0%-1%),细胞学提示恶性细胞(DLBCL)。
 图片2.png

图1. 超声心动图图像显示一个大的环形心包填塞,伴有早期填塞生理学(右心房舒张期塌陷)

表1. 心包积液的生化分析显示

图片3.png三位病理科医生独立阅片后一致确诊:镜下可见大量大淋巴样细胞,伴泡状染色质、多个大小不等的明显核仁,核分裂象活跃及凋亡现象;免疫组化示肿瘤细胞CD20、Bcl-6强阳性,MUM-1局灶阳性,AE1/3、钙网蛋白、CD30、CD138阴性,CD10表达可疑(背景大量粒细胞强染色干扰),CD3、CD5显示丰富的非肿瘤性小T淋巴细胞,Ki-67增殖指数高达80%,符合高级别大B细胞淋巴瘤特征(图2)。
 图片4.png

图2. 细胞病理学显示大的非典型淋巴样细胞,染色质呈泡状,核仁突出,有丝分裂活跃,形态学上与DLBCL一致

进一步完善正电子发射断层显像(PET/CT):右侧气管旁/气管前淋巴结代谢轻度增高,心包增厚伴轻度代谢活跃,残余少量心包积液;EB病毒(EBV)、人类疱疹病毒8型(HHV-8)检测及骨髓穿刺活检均无异常发现。

治疗经过:个体化减量化疗,精准狙击罕见肿瘤

结合患者临床表现、影像学特征及病理检查结果,最终确诊为原发性心包弥漫大B细胞淋巴瘤。考虑到患者年龄较大(81岁),合并多种基础疾病,身体状态相对虚弱,遂选用减量化疗方案(mini-R-CHOP)进行治疗。

完成3个周期化疗后,复查PET/CT显示既往受累淋巴结及心包区域代谢活性完全消失,心脏超声未发现心包积液复发,患者临床症状显著改善,无明显化疗相关严重不良反应,达到早期疗效评估的优秀标准。

寻根溯源:解析罕见病例诊疗关键点,筑牢临床诊断防线

(一)病例罕见性与临床误诊风险

本病例的核心特点是DLBCL以原发性心包受累为首发表现,这在临床中极为罕见。DLBCL作为常见淋巴瘤亚型,结外受累虽不罕见,但心脏受累多为继发性,原发性心脏淋巴瘤发病率极低,而单纯心包作为原发部位的情况更为少见,这也是导致早期诊断困难的重要原因。患者初始因流感病毒感染表现为呼吸道症状,同期出现的心包积液最初被归因于病毒性心包炎,符合临床常见病因的诊疗逻辑,但后续积液快速进展提示潜在恶性病因,这一演变过程提示临床医生需警惕感染背景下的恶性疾病共存可能。

(二)诊断关键点解析

影像学动态监测的重要性:患者住院期间首次心脏超声仅提示中度心包积液,出院1周后迅速进展为大量积液并出现心包填塞早期表现,Serial超声检查的动态观察为及时干预提供了关键依据。对于不明原因心包积液,尤其是积液量进行性增加者,需积极排查恶性病因。

心包积液细胞学与病理确诊价值:心包穿刺液的细胞学分析结合免疫组化是本次诊断的核心手段。本例中,积液细胞学发现恶性细胞后,通过免疫表型检测明确淋巴瘤亚型,同时排除了其他实体瘤转移可能,为原发性病变的诊断提供了病理支持。PET/CT检查未发现其他部位明确肿瘤病灶,骨髓活检阴性,进一步佐证了心包作为原发部位的诊断。

鉴别诊断思路:对于老年患者的恶性心包积液,需首先排除实体瘤转移(如肺、胃肠道、肾脏肿瘤等),其次考虑血液系统恶性肿瘤。本例通过全面影像学评估及病原学检测,排除了转移瘤、感染性疾病及自身免疫性疾病,最终锁定原发性淋巴瘤诊断。

(三)治疗方案选择与预后关联

DLBCL具有高度侵袭性,原发性心脏淋巴瘤生长迅速,若未及时治疗,易导致心包填塞、心力衰竭等严重并发症,死亡率较高。本例患者选用mini-R-CHOP方案,该方案是针对老年或体质虚弱DLBCL患者的经典减量化疗方案,在保证疗效的同时降低了不良反应风险。治疗后患者快速获得临床及影像学缓解,证实了及时诊断与个体化治疗的重要性。

小结

本病例报道了1例以急性低氧性呼吸衰竭、心包积液及心包填塞为临床表现的原发性心包DLBCL,该疾病因发病率极低、症状缺乏特异性,早期易误诊为感染性疾病。临床工作中,对于不明原因、进行性加重或大量心包积液,尤其是无明确感染或自身免疫病因的患者,应高度警惕恶性肿瘤可能,及时行心包穿刺液细胞学、免疫组化及全面影像学检查,以实现早期诊断。DLBCL的侵袭性特点要求确诊后迅速启动个体化化疗方案,这是改善患者预后、避免严重并发症的关键。本病例为临床罕见部位淋巴瘤的诊疗提供了实践参考,有助于提高临床医生对该类疾病的识别与处理能力。
 

考一考你:

患者男性,80岁,因“进行性胸闷、气短1个月”入院,心脏超声提示大量心包积液,心包穿刺液为血性,细胞学发现恶性细胞,免疫组化示CD20阳性、Bcl-6阳性、Ki-67增殖指数75%,PET/CT未发现其他部位肿瘤病灶,骨髓活检正常。既往无淋巴瘤病史,最可能的诊断是:


A. 肺腺癌心包转移
B. 原发性心包弥漫大B细胞淋巴瘤
C. 慢性淋巴细胞白血病累及心包
D. 结节硬化型霍奇金淋巴瘤
E. 自身免疫性疾病所致恶性心包积液

上一期《【寻根溯源】皮肤溃疡背后的罕见隐情:坏疽性脓皮病提示华氏巨球蛋白血症一例》的答案为C

责任编辑:Mathilda
排版编辑:Mathilda
版权声明
本文专供医学专业人士参考,未经著作人许可,不可出版发行。同时,欢迎个人转发分享,其他任何媒体、网站如需转载或引用本网版权所有内容,须获得授权,且在醒目位置处注明"转自:良医汇-肿瘤医生APP"。

评论
01月28日
张医生
蒙城县中医院 | 血液肿瘤科
弥漫大B细胞淋巴瘤(DLBCL)是一种异质性强、侵袭性高的恶性肿瘤,作为非霍奇金淋巴瘤中最常见的亚型,其典型临床表现为单个或多个淋巴结肿大,近半数病例会出现结外受累,以皮肤和胃肠道最为常见。
01月26日
纪磊
青岛西海岸新区人民医院 | 呼吸内科
好好学习天天向上
01月23日
马利平
河南省肿瘤医院 | 放疗科
本病例为临床罕见部位淋巴瘤的诊疗提供了实践参考