您好,欢迎您

医案集萃丨儿童肝脏罕见恶性肿瘤(HCN-NOS):完整切除联合化疗仍难阻迅速进展与死亡

01月19日
编译:肿瘤资讯
来源:肿瘤资讯

肝细胞恶性肿瘤非特指型(HCN-NOS)是近年新定义的一种罕见儿童肝脏肿瘤,其组织学特征介于肝母细胞瘤(HB)和肝细胞癌(HCC)之间。目前关于其预后和最佳治疗策略尚不明确。本文报道一例青少年HCN-NOS患者,尽管接受了肿瘤全切除和标准的术后化疗,仍迅速出现远处转移并死亡,凸显了当前治疗方案的局限性。

病史

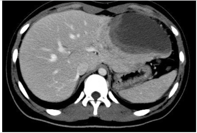
患者为一名15岁男孩,因腹痛就诊。影像学检查显示肝左外叶存在一个巨大肿瘤,大小约为12 *8*6 cm(图1)。

115.png

图1. 腹部增强CT扫描显示,肝脏左外侧叶有一个低密度肿块(12 × 8 × 6 cm),强化不良,位于左肝叶外侧段

初步检查未发现远处转移。鉴于肿瘤局限且患者年龄较大,临床首先怀疑为HCC,遂行系统的左肝外叶切除术,实现了肿瘤的完整切除(R0切除)。

术后病理组织学检查显示,肿瘤兼具HB和HCC的特征,最终诊断为HCN-NOS。

尽管实现了完整切除,患者仍接受了针对高危肝母细胞瘤的标准辅助化疗方案(PLADO方案:顺铂+多柔比星)。然而,在初次诊断19个月后,患者突然出现抽搐症状。MRI检查显示多发性脑转移,提示疾病进展迅速。

医疗团队随后调整治疗方案,给予GEMOX方案(吉西他滨+奥沙利铂)化疗及全脑放疗,并尝试使用靶向药物瑞戈非尼。遗憾的是,患者对上述治疗均无明显反应,最终于确诊后22个月不幸离世。

HCN-NOS 的概念于 2014 年在洛杉矶举行的儿童肿瘤协作组肝肿瘤研讨会上提出,用于描述那些组织学上介于肝母细胞瘤和肝细胞癌之间、无法明确归类的罕见儿科肝脏恶性肿瘤。


以往有观点认为,对于此类混合型肿瘤,完整切除后予以HB的化疗可能带来较好预后。然而,本病例是一个沉重的反例:尽管实现了R0切除并应用了标准的HB化疗方案,患者仍发生了极早期的远处转移(脑转移)并死亡。 这提示HCN-NOS具有高度的异质性和侵袭性,简单沿用肝母细胞瘤的化疗方案(如PLADO)可能对部分HCN-NOS无效。未来亟需开展多中心研究,探索针对这一罕见实体的特异性治疗策略。

参考文献

[1]. Yamaoka B, Hoshi R, Ono K, Hirano T, Watanabe Y, Goto S, Hosokawa T, Uehara S. A Pediatric Case of Hepatocellular Malignant Neoplasm, Not Otherwise Specified (HCN-NOS) With Poor Prognosis Post-Tumor Resection and Postoperative Chemotherapy. Cancer Rep (Hoboken). 2025 Oct;8(10):e70378. doi: 10.1002/cnr2.70378IF: 1.9 Q3 . PMID: 41130911; PMCID: PMC12549212.

责任编辑:古木
排版编辑:古木

版权声明

本文专供医学专业人士参考,未经著作人许可,不可出版发行。同时,欢迎个人转发分享,其他任何媒体、网站如需转载或引用本网版权所有内容,须获得授权,且在醒目位置处注明"转自:良医汇-肿瘤医生APP"。


评论
01月19日
毛玉英
平遥兴康医院 | 肿瘤内科
感谢分享受益匪浅
01月19日
毛玉英
平遥兴康医院 | 肿瘤内科
感谢分享受益匪浅