引言:近年来,免疫检查点抑制剂(ICI)的出现极大地改变了非小细胞肺癌(NSCLC)的治疗格局。以CheckMate 816研究为代表的免疫联合化疗新辅助治疗模式,已成为可手术NSCLC的标准治疗方案之一。它不仅能显著提高病理学完全缓解(pCR)率,更能通过缩瘤降期为手术创造更好的条件。
中国医学科学院肿瘤医院深圳医院胸外科杜隆德教授分享了一例合并Poland综合征的61岁局部晚期肺鳞癌患者,经免疫新辅助治疗后成功实施手术达到了pCR(病理学完全缓解)且术后随访24个月无复发,该病例为复杂解剖背景下的局部晚期肺癌诊疗提供了宝贵的实践经验。中国医学科学院肿瘤医院深圳医院马锴教授对病例进行精彩点评。
病例专家
中国医学科学院肿瘤医院深圳医院胸外科
世界华人肿瘤医师协会胸部肿瘤专委会 委员
广东省药学会第一届胸外科专家委员会 委员
深圳市医师协会胸部肿瘤医师分会 委员
深圳市医师协会肿瘤免疫治疗专委会 理事
深圳市抗癌协会胸部肿瘤MDT分会 理事
多年工作在胸外科临床一线,擅长肺癌、食管癌等胸部肿瘤以外科手术为主的综合治疗,在胸部肿瘤微创手术围术期治疗方面经验丰富。
发表论文多篇,参与国家及省部级课题多项
病例介绍
基本情况
患者信息:男,61岁。
主诉:咳嗽半年,进行性加重1月。
现病史:半年前无诱因出现间断咳嗽,2023年1月症状加重。外院CT提示右肺上叶中央型肿物伴阻塞性肺炎。外院支气管镜活检提示:原位鳞状细胞癌。2023年2月入院治疗。
既往史:先天性左侧肢体发育异常。发现血压升高1年,未行治疗。否认糖尿病、冠心病、肾病、肝炎、结核、伤寒、疟疾等传染病史。
个人史:长期吸烟40余年,每日20支。
查体:左侧胸大肌缺如,左前臂短小,手指畸形。双侧锁骨上淋巴结未触及。右中下肺呼吸音低。
辅助检查
胸部增强CT:右肺门处软组织肿块影,范围约5.6×3.4×4.9cm,累及隆突、右中间支气管、中下叶支气管开口处狭窄;肿物与纵隔胸膜关系密切。考虑肺癌(T4)。纵隔4R、7区多发密度增高淋巴结。左肺门、腹腔及腹膜后未见肿大淋巴结。

支气管镜:右主支气管开口肿物堵塞。
活检病理:(右主支气管)鳞状细胞。

其他检查:颈部超声、全身骨扫描、颅脑MRI均未见明确远处转移征象。
肿瘤标志物:肺癌六项检查。

临床诊断
右肺鳞状细胞癌(cT4N0M0 IIIA期);Poland综合征;高血压病。
MDT 讨论与治疗策略
经科室及多学科专家讨论,认为应争取保留肺组织的手术方式。
策略:采用新辅助免疫联合化疗,旨在缩小肿瘤、降低分期,评估能否将全肺切除转化为肺叶切除(袖状切除),从而保留右中下肺功能。
方案参考:基于CheckMate 816研究模式。
治疗经过
1、新辅助治疗
方案:纳武利尤单抗 360mg + 白蛋白紫杉醇 380mg + 卡铂 450mg ivgtt q21d。
执行时间:2023-02-11、2023-03-09、2023-04-11,共完成3周期。
2、疗效评估
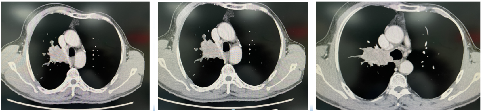
影像学评估:

支气管镜评估:
肿瘤退缩,仅粘膜糜烂,右上叶支气管远端部分欠通畅。
活检病理:右中间段支气管和右主支气管被覆假复层纤毛柱状上皮的粘膜组织,伴急、慢性炎细胞浸润。


3、手术治疗
术式:2023-05-23行右开胸右肺上叶袖状切除 + 隆突成形 + 系统性淋巴结清扫术。
术后恢复:右肺中下叶复张良好,吻合口通畅,无并发症,术后第9天出院。

4、术后病理
经充分取材,瘤床内未见肿瘤残存(0%),可见小灶坏死(<5%),间质纤维组织增生、慢性炎细胞浸润伴淋巴滤泡形成、泡沫样组织细胞聚集及胆固醇结节(>95%),结合病史,符合完全病理缓解(Complete Pathological Response,PCR)。周围肺组织呈机化性炎改变,局灶肺泡上皮增生伴支气管上皮化生。(1)(右主支气管切缘)及(2)(右肺中间段支气管切缘)均未见癌。
血管壁组织,未见肿瘤。
淋巴结未见转移性癌(0/37),可见纤维性结节形成。
ypTNM分期:ypT0N0
5、术后随访
考虑到患者已达pCR,且新辅助治疗期间耐受性良好,经沟通后患者未接受辅助化疗及免疫治疗,予以观察随诊。
随访结果:术后1周、3周、2月、半年、1年、1.5年复查CT,未见复发征象。截至目前,患者DFS(无病生存期)已达24个月。

专家点评
点评专家
中国医学科学院肿瘤医院深圳医院/国家癌症中心南方中心 胸外科常务副主任
美国约翰霍普金斯医院胸外科博士后
美国癌症研究学会(AACR)会员
国际肺癌联盟(IASLC)会员
中华医学会胸心血管外科分会肺癌学组委员
中国抗癌协会食管癌专业委员会委员
中国抗癌协会肿瘤精准治疗专委会委员
中国医促会胸外科专委会委员
中国医药教育协会老年医学与健康促进专委会副主委
世界华人肿瘤医师协会胸部肿瘤专委会委员
国际食管疾病学会中国分会委员
广东省胸部疾病学会胸部肿瘤微创外科专委会主任委员
深圳市医师协会肿瘤医师分会副主委
深圳市医学会胸外科专委会常务理事/纵隔学组组长
马锴教授:本病例为一位61岁男性,长期吸烟史,因咳嗽确诊为IIIA期(cT4N0M0)右肺鳞状细胞癌,且合并罕见的Poland综合征(左侧胸大肌缺如)。由于Poland综合征导致左侧呼吸肌群发育缺陷,患者难以耐受常规T4期肺癌所需的右全肺切除术。经MDT团队深入讨论,制定了“新辅助免疫联合化疗降期+保留肺功能手术”的个体化策略。患者接受3周期纳武利尤单抗联合化疗后,成功实施了右肺上叶袖状切除及隆突成形术,避免了全肺切除。术后病理证实达到病理学完全缓解(pCR,ypT0N0)。术后采取观察策略,未行辅助治疗,目前DFS已达24个月,生活质量良好。
精准决策化解解剖难题:新辅助治疗助力复杂肺癌的手术降级
本例患者最大的挑战在于肿瘤分期(T4,累及隆突)与患者生理基础(Poland综合征)之间的矛盾。若直接手术,全肺切除的高风险与患者仅存左肺的功能缺陷可能导致灾难性后果。MDT团队精准把握了免疫新辅助治疗在“缩瘤降期”方面的优势,参考CheckMate 816模式,利用纳武利尤单抗联合化疗成功实现了肿瘤退缩。这不仅降低了手术难度,更关键的是不仅提高了R0切除率,还成功将原本需要“全肺切除”的术式降级为“肺叶袖状切除”,最大限度地保留了患者的肺功能,体现了功能外科与肿瘤外科并重的治疗理念。
循证领航,CheckMate 816模式奠定获益基石
本病例的成功主要归功于选择了纳武利尤单抗联合化疗这一标准新辅助方案,其核心依据正是里程碑式的CheckMate 816研究。
深层缓解率高:CheckMate 816数据显示,纳武利尤单抗联合化疗组的pCR率达到24.0%,远高于单纯化疗组的2.2%。对于本例急需缩瘤以缩小手术范围的患者而言,选择高pCR率的方案是实现袖状切除的前提保障。
长期生存获益:该研究证实,无论PD-L1表达水平如何,免疫联合新辅助治疗均能显著延长患者的无事件生存期(EFS)。本例患者术后随访24个月无复发,正是这一长期获益的真实写照。
安全性与依从性:研究表明该模式不增加手术并发症,且不延误手术时机。本例患者在3周期治疗期间耐受良好,如期手术,且术后恢复迅速,再次印证了CheckMate 816模式在真实世界中的可靠性和安全性。
pCR后的“减法”艺术:探索术后辅助治疗
患者术后病理达到pCR(ypT0N0),对于这类患者术后是否需要继续免疫维持或辅助化疗,目前临床尚无定论。基于患者良好的病理反馈及个人意愿,本例采取了术后观察的策略,随访24个月无复发的结果初步验证了这一决策的可行性。这为pCR患者术后治疗策略的优化提供了真实世界证据,提示对于达到深度病理缓解的患者,或可尝试减少术后治疗负担,实现疗效与安全性的最佳平衡。
排版编辑:Niko






苏公网安备32059002004080号