胃癌及食管胃交界部(AEG)腺癌是全球范围内高发的消化道恶性肿瘤。对于初始存在淋巴结转移、肿瘤负荷较大的局部晚期患者,转化治疗是缩小病灶、降低分期,进而争取根治性切除(R0切除)的重要手段。近年来,尽管免疫检查点抑制剂在PD-L1高表达人群中展现出显著获益,但对于PD-L1低表达(CPS<5)患者的治疗方案选择仍极具挑战。上海交通大学附属瑞金医院毛栋梁教授分享了一例66岁女性PD-L1低表达(CPS<1)的局部晚期贲门癌患者,患者在初次接受PD-1抑制剂联合化疗后出现Ⅲ°免疫相关性肝炎,随后方案调整为舒格利单抗联合XELOX方案进行治疗。复查影像学评估显示贲门部肿物及转移淋巴结显著退缩,疗效评估接近完全缓解(CR),为根治性手术创造了良好条件。尽管MDT讨论提示具备手术指征,但结合患者高龄及家属意愿,目前患者继续接受舒格利单抗联合XELOX方案治疗,拟8周期后改维持治疗。【肿瘤资讯】将病例诊疗过程整理如下,并邀请上海交通大学附属瑞金医院王梅教授对病例进行点评,以飨读者。
上海交通大学附属瑞金医院北部院区
肿瘤内科 主治医师
瑞金医院北部院区胃肠肿瘤MDT成员
从事各消化道肿瘤治疗
上海中西医结合结合学会肿瘤专业委员会青年 委员
中国医药卫生文化协会医工融合分会
细胞治疗技术和设备学组 委员
病例介绍
1. 基本情况
患者:女性,66岁。
主诉:进食哽噎3月余。
既往史:高血压、冠心病病史,药物控制稳定。
家族史:无家族肿瘤病史。
2. 辅助检查
胃镜:患者于当地医院查胃镜提示距门齿30cm食管下壁见一不规则新生物向腔内隆起,表面凹凸不平,病灶波及贲门下小弯侧,表面覆污秽苔,取材6块送检,取材弹性差,易出血。
病理:(距门齿30cm贲门下小弯侧)中低分化腺癌,Lauren分型:肠型。
免疫组化:PD-1(-),PD-L1(CPS<1),HER2(1+),Claudin18.2(-),AE1/AE3(+),EBER(-)。
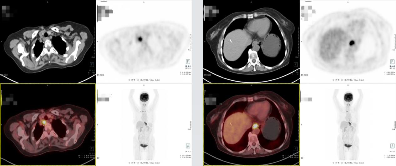
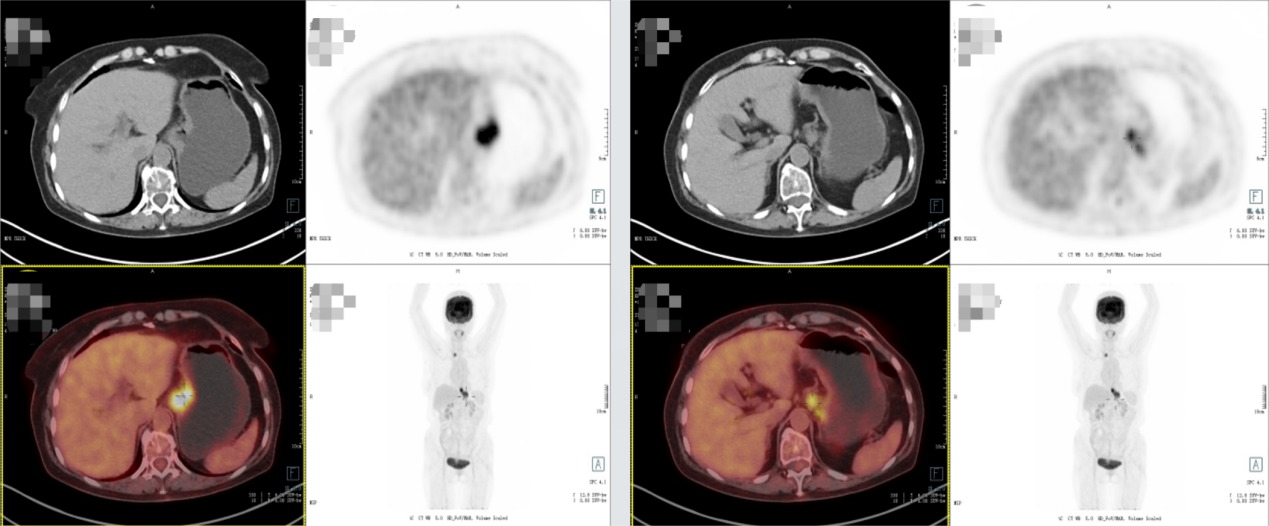
PET-CT:食管下段至贲门部软组织灶伴FDG代谢增高,考虑贲门癌累及食管下段。右侧胸廓入口处气管旁、贲门旁淋巴结转移。




初步诊断:胃恶性肿瘤(中-低分化腺癌),临床分期:cT3N+M1。
3. 诊疗经过
治疗方案:患者最初根据2025 CSCO指南于2025年4月25日开始接受PD-1抑制剂联合XELOX方案治疗。具体方案为:PD-1单抗200mg静滴 d1、奥沙利铂180mg静滴 d1、卡培他滨1.5g口服bid d1-14。
不良反应及对症治疗:化疗后出现肝功能不全(ALT 639U/L,AST 997U/L,TBA 85.5umol/L),完善检查考虑为免疫性肝炎可能大,给予甲强龙1mg/kg治疗3天后好转,复查肝功能:ALT 384U/L、AST 191U/L、TBA 15.6umol/L。

方案调整:患者经PD-1单抗首次治疗后出现Ⅲ°免疫相关性肝炎,充分权衡疗效、免疫不良反应以及家属意见将PD-1单抗更换为PD-L1单抗。于2025年4月25日开始行舒格利单抗联合XELOX方案。具体方案为:舒格利单抗1200mg静滴 d1、奥沙利铂180mg静滴 d1、卡培他滨1.5g口服bid d1-14。
4. 疗效评估
2025年7月16日复查影像学显示,贲门癌化疗后,贲门胃壁稍增厚;双肺间质性改变。
2025年11月19日复查影像学显示,贲门癌化疗后,贲门胃壁稍增厚;贲门部肿物及转移淋巴结较前明显退缩,影像表现为接近CR(无可评价病灶)。



MDT讨论:影像科:患者目前肿瘤退缩明显,影像表现接近CR(无可评价病灶),可进一步完善PET检查。肿瘤科:患者目前疗效评估部分缓解(PR),有CR可能,可继续维持原方案化疗,可完善胃镜检查多点取病理,以评估是否达CR。普外科:患者免疫治疗效果理想,目前肿瘤退缩明显,有手术指征,可考虑行手术治疗。消化科:患者单次PD1治疗即出现重度免疫性肝炎,虽经短暂激素治疗后即好转,但不排除PD-L1治疗后再次出现免疫性肝炎,需密切监测其肝功能变化。
后续计划:与患者家属充分沟通后,家属考虑患者高龄且药物治疗效果良好,目前未见其他明显不良反应,拒绝手术,要求继续药物治疗。目前拟完成8周期舒格利单抗联合XELOX方案后改为舒格利单抗联合卡培他滨维持治疗。
5. 病例总结
该例66岁女性患者,初诊为胃恶性肿瘤(中-低分化腺癌),病灶累及食管下段,伴气管旁及贲门旁淋巴结转移。患者在初次接受PD-1抑制剂联合化疗后出现Ⅲ°免疫相关性肝炎,随后方案调整为舒格利单抗联合XELOX方案进行治疗,治疗期间未见其他明显不良反应。治疗后复查影像学评估显示贲门部肿物及转移淋巴结显著退缩,影像学疗效评估接近CR,为根治性手术创造了良好条件。尽管MDT讨论提示具备手术指征,但结合患者高龄及家属意愿,目前患者继续接受舒格利单抗联合方案治疗,拟8周期后改维持治疗。
上海交通大学附属瑞金医院肿瘤科副主任兼北部院区肿瘤科主任;临床医学博士;硕士研究生生导师
上海市抗癌协会肿瘤生物治疗专业委员会副主任委员
上海市抗癌协会疑难肿瘤专业委员会常务委员
中国医药教育协会肿瘤精准与靶向治疗专业委员会常务委员
中国医药卫生协会医工融合分会细胞治疗技术和设备学组常委
医学参考报-肿瘤医学专刊第三届编委会常务编委
中国宋庆龄基金会肿瘤医疗及产学研联盟理事
中国抗癌协会纳米肿瘤学专业委员会第二届委员会委员
中国医药教育协会盆腔肿瘤专业委员会委员
上海市医师协会肿瘤内科分会委员
上海市抗癌协会大肠癌专业委员会委员
上海市抗癌协会肺癌分子靶向与免疫治疗专业委员会委员
上海市抗癌协会胃癌分子靶向与免疫治疗专业委员会委员
上海市抗癌协会肿瘤精准治疗专业委员会委员
上海市抗癌协会癌症康复与姑息治疗专业委员会委员
专家点评
本病例是一例典型的局部晚期贲门癌通过免疫联合化疗实现成功转化的经典案例。在面对PD-L1低表达(CPS<1)以及严重免疫相关不良反应(irAE)的双重挑战下,通过精准更换免疫检查点抑制剂(从PD-1单抗换为PD-L1单抗),不仅保障了治疗安全性,更取得了显著的肿瘤退缩效果(接近CR),为同类患者的个体化治疗提供了重要参考。
1. 转化治疗:局部晚期胃癌实现长期生存的基石
该患者初诊为胃恶性肿瘤(中-低分化腺癌),病灶累及食管下段且伴有纵隔(气管旁)及腹腔多处淋巴结转移,属于初始不可切除或难以行R0切除的范畴。对于此类患者,单纯手术获益有限,复发率极高。因此,转化治疗的核心目的在于通过系统治疗使肿瘤降期,从而为根治性手术创造机会。本病例中,患者经过舒格利单抗联合XELOX方案治疗后,原发灶及转移淋巴结显著退缩,影像学评估接近CR,这充分证明了系统转化治疗在清除微小转移灶及缩小原发肿瘤负荷方面的巨大优势。
2. 免疫安全性管理的艺术:从PD-1到PD-L1的科学切换
安全性方面,患者在初次使用PD-1抑制剂后出现Ⅲ°免疫相关性肝炎,此时若继续原靶点治疗,可能导致不可逆的器官损伤。而PD-L1抑制剂通过阻断PD-1与PD-L1的结合,同时保留了PD-1与PD-L2的结合,从而在维持外周免疫耐受、降低肺毒性和肝毒性方面具有潜在的理论优势。在充分权衡疗效、免疫不良反应以及家属意见后,临床医生果断将PD-1单抗更换为PD-L1单抗舒格利单抗,治疗期间患者肝功能保持稳定,未再复发严重irAE,且抗肿瘤疗效得以延续。这提示,针对发生特定PD-1相关毒性的患者,转换为PD-L1单抗可能是一种“减毒增效”的有效策略。
3. MDT模式下的个体化选择:疗效、年龄与手术的权衡
在MDT讨论中,外科医生评估患者已具备手术指征,考虑到患者高龄且伴有心血管基础疾病,充分考虑结合家属意愿,在药物治疗反应极佳(接近CR)的前提下,选择继续舒格利单抗维持治疗,是践行“以患者为中心”诊疗理念的体现。对于转化治疗后达到临床CR的患者,是否可以采取“观察等待”或“长期免疫维持”而延缓手术,是当前胃癌研究的前沿热点,本病例为此类研究提供了高质量的临床证据。
本病例展示了舒格利单抗联合化疗在局部晚期贲门癌转化治疗中的优异表现。即使面对PD-L1低表达和既往免疫毒性病史,舒格利单抗依然凭借其高效、安全的特性,帮助患者实现了从“不可切除”向“深度缓解”的华丽转变。这不仅为胃癌转化治疗提供了新的方案选择,也为复杂免疫不良反应背景下的后续治疗路径树立了典范。
排版编辑:肿瘤资讯-Zsy






苏公网安备32059002004080号