您好,欢迎您

盛旺教授:舒格利单抗联合化疗治疗伴合并症食管鳞癌,兼具高效缓解与良好安全性!

01月15日
整理:肿瘤资讯
来源:肿瘤资讯

随着免疫时代的到来,食管癌的治疗已进入新阶段,追求“深度缓解”和“长期生存”成为可能。然而,对于临床实践中存在合并症或化疗不耐受(如铂类过敏)的患者,临床决策需兼顾疗效与安全性,尤为谨慎。本期厦门大学附属第一医院游阿彬教授分享的正是这样一个典型病例。该食管鳞癌患者PD-L1表达阳性(CPS=10),且伴有冠心病史和奈达铂过敏史。通过舒格利单抗联合白蛋白紫杉醇+卡铂方案治疗6周期后,患者肿瘤明显缩小,评效达部分缓解(PR),代谢活性大幅降低(SUVmax 17.7降至SUVmax 2.5),并顺利序贯局部放疗。本文将病例整理如下,并特邀厦门大学附属第一医院盛旺教授基于临床经验点评,以期为临床实践带来参考。

游阿彬 教授
厦门大学附属第一医院

厦门大学附属第一医院肿瘤内科,副主任医师
主持国家自然科学基金青年项目1项,省市级课题3项
以第一作者/共同第一作者在Clinical Cancer Research,Oncogene, Journal of Hematology & Oncology等国际权威期刊发表论著7篇,荣获2022年度中国肿瘤学大会青年优秀论文奖

病例简介

基本情况

基本信息:黄某某,男,66岁,ECOG:1分。

现病史:患者因“进食不畅10月余”于2025年2月就诊我院,主要表现为咽下固体食物不畅,胸骨中上段梗阻感,伴吞咽干饭及口水后胸骨上段闷痛,程度轻,可忍受,无放射至他处,伴消瘦,无胸闷、咳嗽、咳痰,无恶心、呕吐等不适。

既往史:2012年确诊冠心病,于厦门第三医院行冠脉支架置入术,目前口服氯吡格雷1片 qd+美托洛尔47.5mg qd+立普妥20mg qd;注射用奈达铂(捷佰舒)过敏史。

个人史:吸烟40余年。

婚育史:已婚已育,配偶及子女体健。

家族史:无特殊。

辅助检查

2025年2月15日,电子胃镜:距门齿约19~26cm见隆起新生物,中央糜烂溃疡,考虑食管中上段CA。

图片13.png图1 胃镜

病理:(食管)浸润性中分化鳞状细胞癌。

图片14.png图2 病理

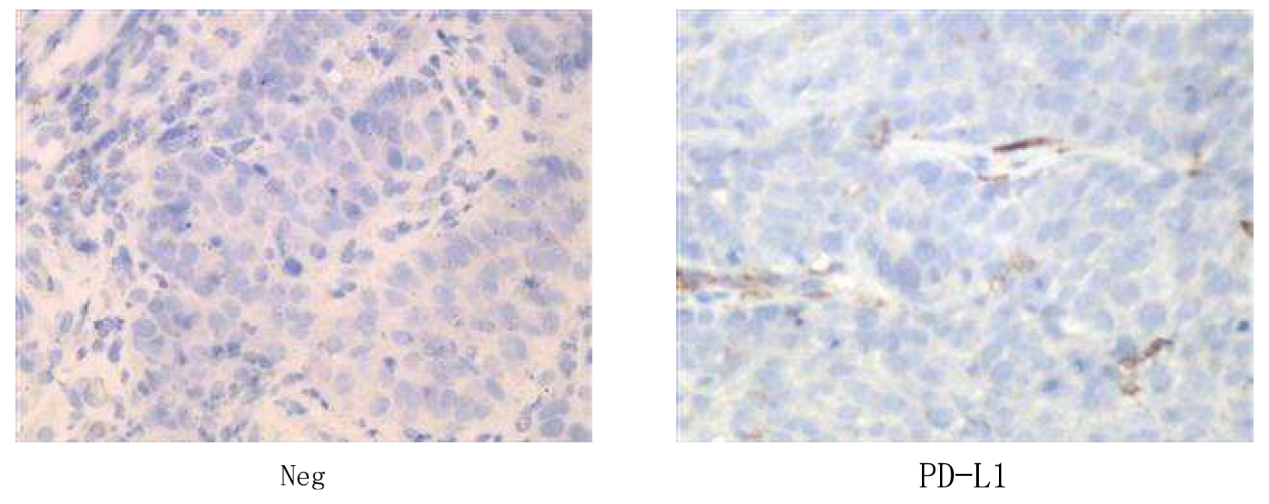
免疫组化:MSH2(+),MSH6(+),MLH1(+),PMS2(+),HER2(0),PD-L1 CPS=10。

图片15.png图3 免疫组化

PET/CT(2025年2月21日):1.胸上段食管壁增厚、管腔狭窄,最厚处约1.5cm,累及范围约6.3cm,放射性摄取增高(SUVmax17.7)。2.双肺肺气肿;双肺散在炎性灶,左下肺为著;纵隔低代谢淋巴结,考虑炎性增生;动脉硬化。3.前列腺钙化灶;主动脉及冠脉管壁多发钙化。4.脊柱退行性变。

图片16.png图4 2025年2月21日PET/CT

治疗经过

“舒格利单抗+注射用紫杉醇(白蛋白结合型)+卡铂”免疫联合化疗6周期:肿瘤明显缩小,评效PR。

治疗方案:2025年3月5日、2025年3月26日、2025年4月16日、2025年5月7日、2025年5月28日、2025年6月18日“舒格利单抗+注射用紫杉醇(白蛋白结合型)+卡铂”免疫联合化疗6周期。

疗效评估:治疗6个周期后,患者复查PET/CT,提示肿瘤明显缩小。2025年7月8日,疗效评估达PR。

图片17.png图5 2025年7月8日PET/CT评效

2025年7月8日PET/CT对比2025年2月21日PET/CT:食管中上段病灶明显缩小,代谢降低,放射性摄取轻度增高(SUVmax2.5)。

图片18.png图6 治疗前(2025年2月21日,左)与治疗后(2025年7月8日,右)PET/CT

安全性管理:在治疗期间,患者未出现明显不良反应。

放疗:2025年7月17日开始行食管病灶局部放射治疗(IMRT)总共50Gy。

病例总结

黄某某,男性,66岁,因“进食不畅10月余”于2025年2月就诊我院,主要表现为咽下固体食物不畅,胸骨中上段梗阻感,伴吞咽干饭及口水后胸骨上段闷痛,程度轻,可忍受,无放射至他处,伴消瘦,无胸闷、咳嗽、咳痰,无恶心、呕吐等不适。患者基础条件较差,伴肺气肿,曾因冠心病行支架植入术。经“舒格利单抗+注射用紫杉醇(白蛋白结合型)+卡铂”免疫联合化疗6周期后,肿瘤明显缩小,疗效评估达PR。目前行食管病灶局部放射治疗(IMRT)。治疗期间患者未出现明显不良反应。

盛旺 教授
厦门大学附属第一医院

厦门大学附属第一医院肿瘤内科,主任医师
中国抗癌协会癌症康复与姑息治疗专业委员会委员
福建省抗癌协会第三届癌症康复与姑息治疗专业委员会常委
福建省中西医结合学会肿瘤医学分会第五届委员会委员
福建省肿瘤防治联盟第一届胃癌、结直肠癌专业委员会委员
福建省海峡肿瘤防治科技交流协会会员
福建省海峡医药卫生交流协会小细胞肺癌学组委员

专家点评

本例患者是一个临床上颇具代表性的局部晚期食管鳞癌病例,其诊疗的难点在于患者基础条件较差,除伴有奈达铂过敏史外,还合并有肺气肿及冠心病史(曾行支架植入术)。在这种棘手情况下,团队做出了精准且高效的治疗决策,尤其是将药物的安全性作为方案选择的重要考量,在保证生活质量的前提下,为患者带来了长生存希望。

在治疗决策方面,患者的生物标志物检测(PD-L1 CPS=10)是选择免疫联合治疗的重要依据。对于局部晚期或转移性食管鳞癌,Ⅲ期GEMSTONE-304研究证实了舒格利单抗联合化疗对比单纯化疗的显著优势。在该研究中,舒格利单抗组展现了更优的无进展生存(PFS:6.2个月vs 5.4个月,HR=0.67,P=0.0002)和总生存(OS:15.3个月vs 11.5个月,HR=0.70,P=0.0076)获益。尤其在PD-L1 CPS≥10的人群中,获益趋势更为明显,中位OS达到15.7个月(对比安慰剂组11.2个月),疾病死亡风险降低43%(HR=0.57)。此外,该方案还明显提高了客观缓解率(ORR),从45.2%提高至60.1%。基于Ⅲ期GEMSTONE-304研究出色的数据,PD-L1单抗舒格利单抗已获我国国家药品监督管理局(NMPA)批准联合氟尿嘧啶类和铂类化疗药物用于不可切除的局部晚期、复发或转移性食管鳞癌的一线治疗,并获《CSCO食管癌诊疗指南》I级推荐。

该患者采用舒格利单抗联合化疗方案获得了切实的生存益处。患者基线时肿瘤负荷大(病灶累及范围达6.3cm,SUVmax高达17.7),是典型的“难啃的硬骨头”。经过6周期治疗,病灶代谢活性从17.7大幅下降至2.5,影像学评估达到PR。这种深度的肿瘤缓解,为后续的根治性同步放化疗或放疗创造了极为有利的条件,是提升患者长期生存率的关键一步。

值得一提的是,本例患者的治疗方案选择兼顾了疗效与安全性。鉴于患者伴肺气肿,有冠脉支架植入史及过敏史,心肺储备功能相对脆弱,对免疫药物的安全性提出了严苛要求。作为全人源、全长IgG4抗PD-L1单抗,舒格利单抗具有独特的安全性优势,其过敏反应和免疫不良反应风险较低,这也是我们选用此方案的重要原因。事实证明,本病例治疗方案选用了舒格利单抗联合白蛋白紫杉醇+卡铂,患者在6个周期的联合治疗中未出现明显不良反应,提示该方案在特殊人群(如高龄、心脏基础疾病、化疗过敏史)中应用具有良好安全性与耐受性,也再次印证了舒格利单抗作为PD-L1抑制剂的安全性优势。

总结而言,本病例生动地展示了在GEMSTONE-304研究数据的指导下,舒格利单抗联合化疗在临床实践中的优异表现。面对局部晚期食管鳞癌患者,该方案不仅带来了深度、高效的肿瘤缓解,更为重要的是,它在伴有基础疾病和化疗过敏史的复杂患者中展现了优异的安全性,成功为患者后续治疗铺平了道路。

责任编辑:肿瘤资讯-QTT
排版编辑:肿瘤资讯-Fu
版权声明
版权归肿瘤资讯所有。欢迎个人转发分享,其他任何媒体、网站如需转载或引用本网版权所有内容,须获得授权,且在醒目位置处注明“转自:良医汇-肿瘤医生APP”。

评论
01月20日
杜建帅
平遥县人民医院 | 肿瘤科
学习学习学习学习
01月16日
刘惠明
长治市城区人民医院 | 放射治疗科
好好学习天天向上
01月16日
夏月琴
盐城市第二人民医院 | 肿瘤内科
舒格利单抗联合化疗治疗伴合并症食管鳞癌,兼具高效缓解与良好安全性!