您好,欢迎您

循证有例|男性乳房肿块的“伪装者”:一例肿块期男性浆细胞性乳腺炎诊疗启示

01月05日
整理:肿瘤资讯

浆细胞性乳腺炎(plasma cell mastitis, PCM)是一种罕见的慢性非感染性炎症性疾病,多见于非哺乳期女性,男性病例全球报道不足 100 例,临床极易被忽视。其临床表现与影像学特征缺乏特异性,常与乳腺癌混淆,导致诊断延迟或过度治疗。本文通过一例肿块期男性浆细胞性乳腺炎被疑似恶性肿瘤的病例,梳理其诊疗全过程,结合文献探讨男性 PCM 的临床特点、诊断难点及治疗策略,旨在提高临床对该类罕见疾病的识别与管理能力。

病例介绍:酷似恶性的男性乳房肿块

患者,男,55 岁,因“左乳乳晕下肿块6个月”于 2023 年 9 月 11 日就诊。

现病史与既往史

  • 症状特点:6个月前自检发现左乳乳晕下无痛性小结节,质地较硬,边界尚清,活动度差;自行口服阿莫西林(0.5g,每日 2 次)1个月后,肿块部分缩小。就诊时查体:左乳头固定内陷,乳晕下可触及 10×5mm 硬结,边界模糊,无压痛,与皮肤无粘连;双侧腋窝及锁骨上淋巴结未触及肿大。

  • 基础情况:身高 170cm,体重 90kg,体质指数(BMI)31kg/m²,无吸烟史,无自身免疫性疾病及乳腺疾病家族史。

辅助检查

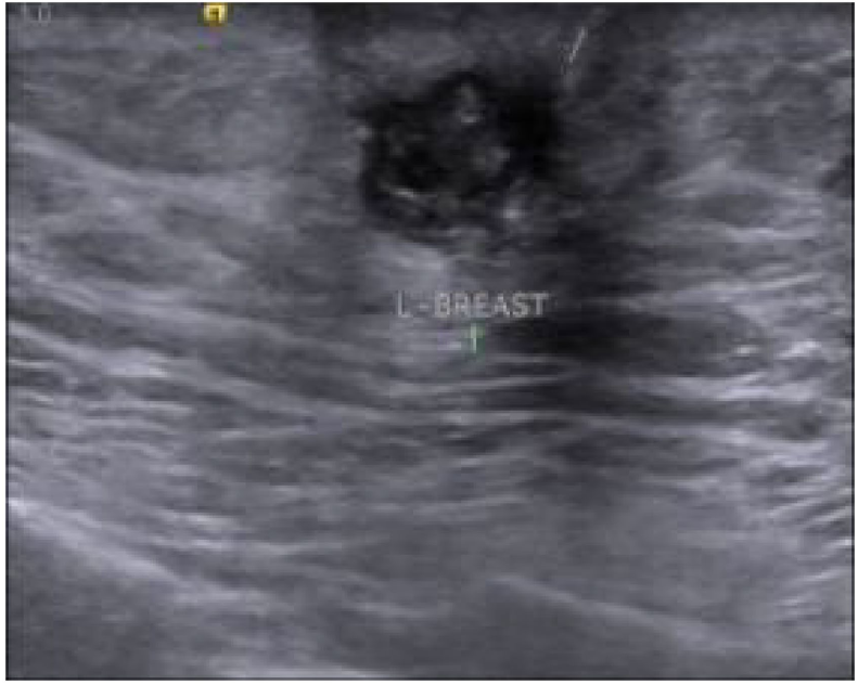
乳腺超声:左乳头根部可见 10×8mm 低回声肿块,边界不规则伴毛刺征,内部钙化,回声不均匀,BI-RADS 4C 类(图 1);

1.png

图1 左乳超声

乳腺钼靶:左乳晕下可见 10×9mm 不规则高密度肿块,伴毛刺征、结构扭曲及乳头内陷,BI-RADS 5 类(图 2)。

2.png

图2 左乳腺钼靶

实验室检查:血常规、肝肾功能、肿瘤标志物(癌胚抗原 CEA、CA-153)及激素水平(雌二醇、促卵泡激素 FSH)均在正常范围。

穿刺活检:鉴于临床表现和影像学特征均提示(疑似)恶性,尽管经皮活检结果为阴性,经多学科讨论后,仍决定进行手术切除。

诊疗经过:从“疑似癌”到“炎症”的确诊之路

手术治疗

经多学科协作(乳腺外科、影像科、病理科)讨论后,行左乳肿块切除术。术中见左乳晕下 1×1cm 质地坚硬、边界不清肿块,周围有乳白色分泌物,遂行肿块扩大切除术(切缘距肿块 5mm)。术中冰冻切片提示慢性炎症,考虑浆细胞性乳腺炎。术后伤口冲洗止血,可吸收缝线皮下及皮内缝合,患者恢复顺利。

病理确诊

  • 大体标本:灰黄色不规则组织(2.1×0.8cm),内见 0.7cm 灰棕色结节,边界较清;

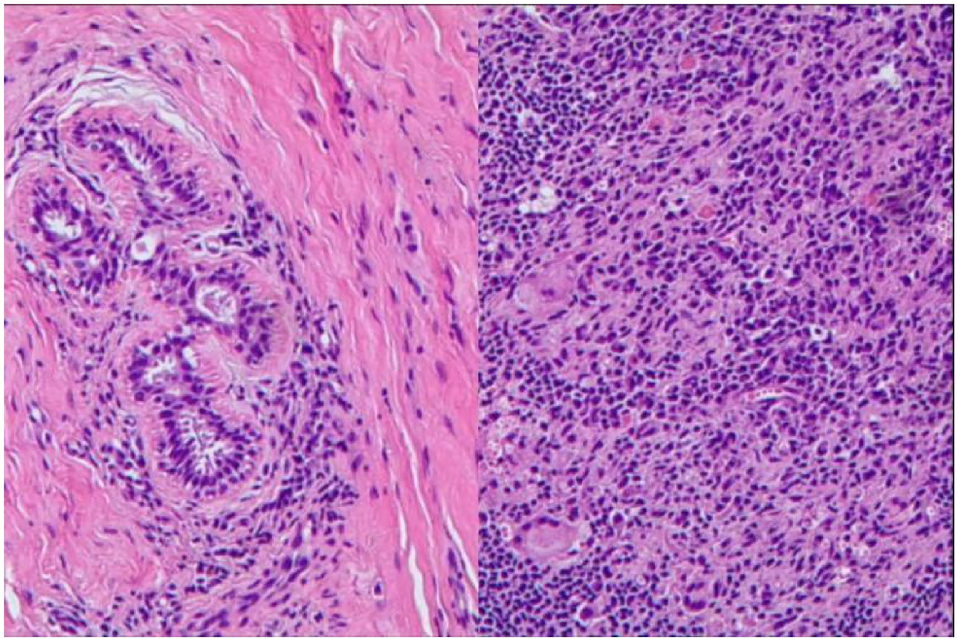
  • 镜下病理:乳腺实质内可见浆细胞、中性粒细胞及多核巨细胞密集浸润,符合浆细胞性乳腺炎表现(图 3),无恶性细胞及不典型增生。

3.png

图3 切除乳房标本的组织病理学检查

随访结果

术后 12个月随访,左乳手术瘢痕愈合良好,乳头无内陷,未触及肿块,双侧腋窝淋巴结无肿大;乳腺超声示双侧乳腺腺体回声均匀,血供正常,无残留病灶,BI-RADS 1 类,无复发迹象。

讨论:男性浆细胞性乳腺炎的临床关键

临床特点与发病因素

罕见性与人群特征:男性 PCM 发病年龄较女性晚,多为中老年男性,本例患者 55 岁,符合这一特点;全球报道极少,临床认知不足,易被误诊。

核心风险因素:与女性 PCM 不同,男性病例的发病与肥胖、乳头内陷密切相关:

  • 肥胖(BMI≥24kg/m²):脂肪组织分泌的脂肪因子可改变乳腺实质雌激素受体表达,破坏激素平衡,同时过度脂肪堆积导致组织缺氧,诱发局部炎症反应;

  • 乳头内陷:导致乳腺导管阻塞,角质细胞碎屑及脂质分泌物淤积,形成抗原性微环境,招募浆细胞与淋巴细胞浸润,引发炎症。

临床分期:疾病进展可分为分泌期、结节期、化脓期及瘘管期,本例患者处于结节期,以局部肿块为主要表现,无红肿、疼痛等急性炎症症状,更易与乳腺癌混淆。

诊断难点与鉴别要点

  1. 影像学缺乏特异性:超声与钼靶的表现(毛刺征、结构扭曲、乳头内陷)与乳腺癌高度重叠,本例 BI-RADS 4C 至 5 类,进一步增加了恶性怀疑的概率;

  2. 病理诊断是金标准:需通过组织活检明确炎症本质,典型表现为浆细胞为主的混合炎症细胞浸润,无恶性细胞;

  3. 鉴别诊断核心:需与男性乳腺癌、男性乳房发育症、肉芽肿性乳腺炎等鉴别,其中与乳腺癌的鉴别最为关键 —— 乳腺癌多表现为肿块迅速增大、边界模糊、伴腋窝淋巴结肿大,病理可见恶性肿瘤细胞,而 PCM 无淋巴结转移,病理以炎症浸润为特征。

治疗策略

手术治疗为首选:男性 PCM 药物治疗(抗生素、糖皮质激素、免疫抑制剂)效果有限,复发率高,手术完整切除肿块及受累导管是根治关键,可避免炎症复发;对于局部病灶,肿块扩大切除术(保证切缘阴性)即可,无需行乳房全切,本例患者术后12个月无复发,验证了该方案的有效性;

基础疾病管理:针对肥胖等危险因素,术后需建议患者控制体重,改善代谢紊乱,减少炎症复发诱因;

避免过度治疗:因影像学酷似恶性,部分病例可能被误行乳腺癌根治术,因此必须强调病理确诊的重要性,避免不必要的创伤。

小结

男性浆细胞性乳腺炎虽罕见,但作为男性乳房肿块的重要鉴别诊断之一,需引起临床重视。对于中老年男性、BMI 偏高、伴乳头内陷的乳房肿块患者,即使影像学提示恶性(BI-RADS 4C/5 类),也需警惕 PCM 可能,优先通过病理活检明确诊断。治疗以手术完整切除肿块为核心,术后控制体重等危险因素可降低复发率。本例提示,多学科协作与病理确诊是避免误诊误治的关键,未来需更多大样本研究明确男性 PCM 的发病机制,制定针对性诊疗指南。

参考文献

Chen LJ, Dang Z. Case Report: Experience in the diagnosis and treatment of a male patient with plasma cell mastitis in the lump stage and review of the literature. Front Med (Lausanne). 2025;12:1595042. Published 2025 Dec 16. doi:10.3389/fmed.2025.1595042

责任编辑:肿瘤资讯-Jina
排版编辑:肿瘤资讯-slb
版权声明
本文专供医学专业人士参考,未经著作人许可,不可出版发行。同时,欢迎个人转发分享,其他任何媒体、网站如需转载或引用本网版权所有内容,须获得授权,且在醒目位置处注明"转自:良医汇-肿瘤医生APP"。