紫杉醇作为常用的化疗药物,广泛应用于乳腺癌等多种恶性肿瘤的治疗,其常见不良反应包括骨髓抑制、神经毒性等,但诱发胶原性结肠炎这一罕见胃肠道并发症的报道极少。胶原性结肠炎属于显微镜下结肠炎,以慢性水样腹泻、结肠上皮下胶原层增厚为特征,药物诱发型需及时识别并停药干预,否则可能影响化疗进程及患者生活质量。本文通过一例男性转移性乳腺癌患者接受紫杉醇化疗后并发胶原性结肠炎的病例,梳理其诊疗全过程,结合文献探讨发病特点、诊断要点及管理策略,旨在提高临床对化疗相关罕见不良反应的识别能力。
病例介绍
患者,男,71 岁,日本籍,因“转移性乳腺癌化疗后突发严重腹泻(约10次/日)”就诊。
既往病史与乳腺癌诊疗史
基础疾病:高血压继发肾病,51 岁起规律血液透析;既往行脊柱手术,合并冠心病;长期服用洛索洛芬、匹伐他汀、伏诺拉生(vonoprazan)、阿司匹林等药物(7 年未调整),无吸烟、饮酒史;父系亲属有胃癌病史。
乳腺癌诊疗:确诊右乳浸润性导管癌,免疫组化示雌激素受体(ER)阳性、孕激素受体(PR)阳性,人表皮生长因子受体 2(HER2)阴性,Ki-67增殖指数 46%。行乳房切除术+淋巴结清扫术后,出现皮肤及淋巴结转移,先后接受阿那曲唑、来曲唑、氟维司群联合哌柏西利等多线内分泌治疗,病情稳定后进展。
本次化疗方案:因合并肾功能不全,予紫杉醇 60% 标准剂量化疗(剂量调整适配透析状态)。
现病史
化疗第 16 天突发大量水样腹泻,每日约 10 次,无腹痛、便血,伴乏力,遂急诊入院。
入院查体:生命体征平稳,腹部无压痛、反跳痛,肠鸣音活跃。
诊疗经过
辅助检查
实验室检查:血常规示白细胞2140/uL,嗜酸性粒细胞10.3%,血红蛋白7.0g/dL,血小板 15.8×10⁴/uL;炎症指标 C 反应蛋白(CRP)10.95mg/dL;肝肾功能示肌酐5.95mg/dL(符合透析患者基线),白蛋白 2.7g/dL,其余指标无明显异常。
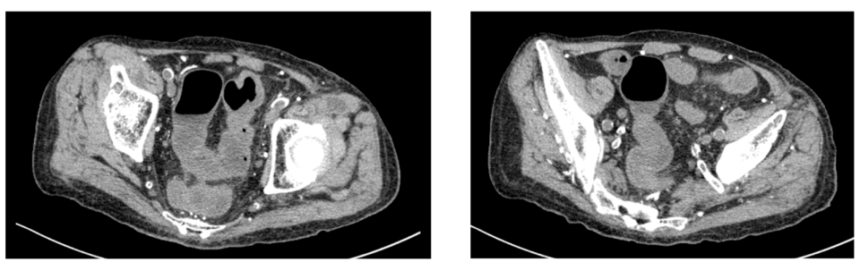
影像学检查:腹部 CT 示结肠壁增厚,符合结肠炎表现(图1)。

病原学检查:大便培养无致病菌生长,巨细胞病毒、艰难梭菌毒素检测均阴性,排除感染性腹泻。
结肠镜+病理活检:化疗后第18天行结肠镜检查,见结肠血管通透性增加、表面轻度糜烂(图 2);取结肠组织活检,苏木精 - 伊红染色及 Elastica Masson染色示上皮下胶原层显著增厚,厚度达 23μm(诊断阈值≥10μm),隐窝结构正常,无扭曲或萎缩,几乎无淋巴细胞浸润(图3),符合胶原性结肠炎病理诊断。

图3. 确诊为胶原性结肠炎的组织病理学表现(×400): (a) H&E染色;(b) Elastica Masson染色。治疗与随访
干预措施:确诊后立即停用紫杉醇,予禁食补液、洛哌丁胺止泻、益生菌调节肠道菌群等支持治疗。
疗效观察:停药后 4 天腹泻完全缓解,住院 14 天(同步协调透析计划)后出院,出院后恢复原有基础用药(含伏诺拉生),未再出现腹泻。
后续肿瘤治疗:肿瘤基因检测示体细胞BRCA2 缺失(gBRCA1/2 阴性),启动奥拉帕利靶向治疗,随访4个月病情稳定,无结肠炎复发。
讨论
疾病特点与发病关联
胶原性结肠炎的罕见性:作为显微镜下结肠炎的亚型,胶原性结肠炎以中老年人群多见,常与非甾体抗炎药、质子泵抑制剂等药物相关,而紫杉醇诱发者极为罕见。紫杉醇相关胃肠道毒性发生率约 0.2%,且多表现为缺血性结肠炎,而非胶原性结肠炎。
发病机制:推测与紫杉醇直接损伤肠道上皮细胞、诱导胶原合成异常相关,同时化疗可能改变肠道菌群,共同促进胶原沉积。本例患者长期服用质子泵抑制剂(伏诺拉生),但该药已使用 7 年无胃肠道症状,且停药后未停用该药仍无复发,故明确紫杉醇为致病诱因。
男性乳腺癌的特殊性:男性乳腺癌本身发病率极低,本例合并肾功能不全、透析依赖等多种基础疾病,化疗药物剂量调整后仍出现罕见不良反应,提示特殊人群化疗需警惕非典型毒性。
诊断要点
警惕化疗相关性腹泻的特殊类型:化疗后出现严重水样腹泻,排除感染、缺血性肠病后,需考虑药物诱导性胶原性结肠炎,避免仅归因于常规化疗胃肠道反应。
病理活检是金标准:结肠镜下表现可无特异性(如本例仅见轻度糜烂),需依赖病理检查发现上皮下胶原层增厚(≥10μm)确诊。
治疗策略
核心措施:立即停用可疑药物(本例为紫杉醇),多数患者症状可快速缓解,无需额外抗炎治疗。
支持治疗:补液纠正脱水、止泻药物缓解症状、益生菌调节肠道菌群,保障营养支持。
肿瘤治疗调整:避免紫杉醇再次使用,根据肿瘤分子特征更换治疗方案(本例选用奥拉帕利),平衡肿瘤控制与不良反应管理。
小结
紫杉醇诱导性胶原性结肠炎是乳腺癌化疗中极为罕见的不良反应,尤其在男性、透析依赖等特殊人群中易被忽视。临床医生面对化疗后严重水样腹泻时,需拓宽鉴别诊断思路,及时行结肠镜 + 病理活检明确诊断。核心治疗为停用紫杉醇,辅以支持治疗,多数患者预后良好。本例也提示,乳腺癌化疗患者(尤其是合并基础疾病者)出现非感染性腹泻时,需警惕胶原性结肠炎可能,早期识别与干预是保障治疗安全的关键。
Suzuki S, Horiuchi H, Kabasawa T, Oizumi T, Kobayashi Y. Paclitaxel-Induced Collagenous Colitis: A Case Report in Male Breast Cancer. Reports (MDPI). 2025;8(4):244. Published 2025 Nov 24. doi:10.3390/reports8040244
排版编辑:肿瘤资讯-Jina






苏公网安备32059002004080号