您好,欢迎您

姚艳雯教授:PFS超18个月!舒格利单抗助力合并慢阻肺及间质性肺炎肺鳞癌患者实现长生存

01月07日
整理:肿瘤资讯
来源:肿瘤资讯

肺鳞癌约占非小细胞肺癌(NSCLC)的25%-30%,患者群体多为老年男性,且常伴有重度吸烟史、慢性阻塞性肺病(COPD)及间质性肺病(ILD)等合并症。对于合并ILD的患者,免疫检查点抑制剂(ICIs)的使用一直备受争议。临床研究表明,既往存在ILD、COPD或接受过胸部放疗是免疫检查点抑制剂相关性肺炎(CIP)发生的独立危险因素,且合并ILD的肺癌患者接受免疫治疗后CIP的发生率显著高于无ILD患者,一旦发生,往往病情严重且致死率高[1]。因此,如何在保障抗肿瘤疗效的同时,最大程度降低肺毒性风险,是临床医生面临的严峻挑战。


本期东部战区总医院姚艳雯教授分享一例真实病例,南京大学医学院附属金陵医院吕镗烽教授进行点评,展示了舒格利单抗联合化疗一线治疗合并ILD和COPD的IV期肺鳞癌患者的临床经过,为这一难治人群的治疗策略提供参考。

姚艳雯 教授
东部战区总医院

东部战区总医院呼吸与危重症医学科 副主任医师,医学博士,南京大学医学院副教授
江苏省医学会呼吸分会青年委员。发表SCI论文10余篇,其中以第一作者(含共同第一作者)发表9篇
主持国家自然科学基金青年基金一项,参与国家及省部级课题数项
入选2016江苏省“科教强卫工程”青年人才, 作为第四完成人获得2016年教育部科技进步二等奖,作为第五完成人获得2021年江苏省科技进步一等奖
掌握常见呼吸系统疾病的诊疗,主要从事肺癌的基础和临床研究

病例介绍

患者基本情况:男性,66岁。

患者于2022-04月下旬无明显诱因下出现右侧胸痛,活动后气喘胸闷,伴偶有干咳。

既往史:10余年前行“阑尾炎切除术”;因三叉神经痛行微创手术治疗。吸烟50包年,现未戒烟。

辅助检查:

2022-05-05外院胸部CT示:

  1. 右肺下叶结节及右肺下叶炎症,建议抗炎治疗及进一步检查排除占位。

  2. 两肺慢性炎症及陈旧灶,部分肺间质纤维化改变,两肺气肿。

  3. 右肺斜裂两枚结节,纵隔稍大淋巴结显示。

  4. 主动脉及冠状动脉硬化。

于2022-05-06行肺穿刺活检,病理示(右肺下叶)非小细胞癌,倾向于鳞状细胞癌,建议待免疫组化进一步明确诊断。

于2022-05-18入我科进一步诊疗。

2022-05-20PET/MRI示:

  1. 右肺下叶肿块(大小约62mm×41mm)及右肺门肿大淋巴结,代谢明显增高,结合病史考虑右肺下叶肺癌并右肺门淋巴结转移:右侧锁骨上区、两肺门及纵隔内淋巴结多发大小不等淋巴结,代谢轻度增高,转移不除外:

  2. 右肺上叶胸膜下结节,代谢轻中度增高,转移待排;

  3. 右侧局部胸膜少许结节样增厚,并少许强化,胸膜转移待排;

  4. TNM分期考虑为 T4N1?M1?

  5. 右侧胸腔积液,局部包裹,并右肺下叶部分萎陷:两肺下叶胸膜下间质性炎症。

图片1.png

图1.PET/MRI

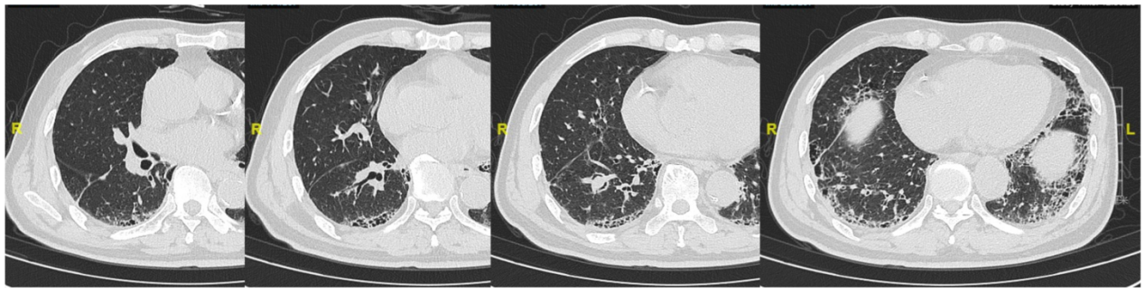
图片2.png

图2.2022-05-25胸部CT

心电图:正常范围心电图。

肺功能:1.轻-中度混合性肺通气功能障碍,以阻塞为主。2.支气管舒张试验阴性。重度弥散功能障碍。

病理会诊:“右肺下叶”:考虑为非小细胞肺癌,倾向为中分化鳞状细胞癌。

诊断:

  1. 肺恶性肿瘤:右肺鳞癌ⅣA期(T3N1M1a右侧胸膜);

  2. 间质性肺病;

  3. 慢性阻塞性肺病;

  4. 胸腔积液。

治疗经过

COPD予噻托溴铵吸入。

肺间质性纤维化予以尼达尼布口服。

右肺鳞癌ⅣA期无手术指征。

于2022-05-25行第1周期化疗联合免疫治疗,具体方案:紫杉醇胶束360mg 静滴 d1+卡铂100mg 静滴 d1+舒格利单抗 1200mg 静滴 d1,辅以止吐、抗过敏治疗。

图片3.png

图3.治疗后评估

疗效评估为部分缓解(PR)。

2022-09-18完成第六周期化疗联合免疫治疗,末两次化疗紫杉醇聚合物胶束输液时皮肤过敏。

后免疫维持治疗进行中。

图片4.png

图4.2022-11全身评估

图片5.png

图5.2023-11随访

2023-11患者行PET/CT复查,全身病灶稳定,未见新发转移。截至该节点,患者无进展生存期(PFS)已超过18个月。

吕镗烽 教授
南京大学医学院附属金陵医院

南京大学医学院附属金陵医院 主任医师 教授
呼吸与危重症医学科主任、内科教研室主任
南京大学、南京医科大学、南方医科大学博士生导师
中华医学会肺癌学组委员
江苏省医学会呼吸病学分会副主任委员
江苏省医师协会呼吸分会常委
江苏省抗癌协会老年肿瘤专业委员会副主任委员
南京医学会呼吸分会副主任委员
美国德州理工大学访问学者
CSCO临床数据专业委员会委员
《Translational Lung Cancer Research》杂志(SCI收录)副主编

专家点评

本病例展示了一位66岁男性IVA期右肺鳞癌患者的诊疗过程。患者既往有重度吸烟史,且合并有间质性肺病(ILD)、慢性阻塞性肺病(COPD)及重度弥散功能障碍,临床基础条件较差。在治疗策略上,采用了舒格利单抗联合紫杉醇胶束及卡铂的一线治疗方案。令人惊喜的是,治疗仅1个周期后,影像学评估即达到部分缓解(PR),肿瘤显著缩小。截至2023年11月的随访数据,患者无进展生存期(PFS)已超过18个月,且在长达一年半的治疗周期中,尽管属于免疫性肺炎的高危人群,但并未发生免疫相关性肺炎(CIP),仅出现可控的化疗相关皮肤过敏,实现了高质量的长期生存。

该病例的成功不仅验证了免疫联合化疗在肺鳞癌中的出色疗效,更突显了舒格利单抗在合并基础肺病特殊人群中的安全性优势。GEMSTONE-302研究证实,舒格利单抗联合化疗一线治疗IV期NSCLC,无论鳞癌还是非鳞癌均能显著获益,其中鳞癌亚组的中位PFS达到8.3个月,风险比(HR)为0.34[2]。本例患者不仅实现了快速缓解,其PFS更是远超临床研究的中位数据,这进一步表明舒格利单抗在真实世界中能为难治性鳞癌患者带来深度且持久的生存获益。

更为关键的是安全性考量。既往研究指出,合并间质性肺病是发生免疫性肺炎的独立危险因素,往往限制了免疫药物的临床应用。然而,凭借其独特的保留抗体依赖性细胞吞噬(ADCP)作用的机制,舒格利单抗联合化疗一线治疗鳞状、非鳞状NSCLC,同样显示出良好的安全性,≥3级免疫相关AE发生率仅4.1%,≥3级免疫相关性肺炎发生率仅0.9%[2]。正是基于这样“高效低毒”的循证医学证据,本病例才得以在合并间质性肺病的挑战下安全应用免疫治疗,最终帮助患者跨越了治疗“禁区”,实现了疗效与安全性的双重突破。

综上所述,本病例有力地证实了舒格利单抗联合化疗在合并基础肺病的晚期肺鳞癌患者中的临床价值。对于此类传统观念中被视为“高危”的患者群体,舒格利单抗凭借其独特的双重作用机制和优异的安全性数据,提供了一种既能强效缩瘤、延长生存,又能有效规避严重肺部毒性的优选治疗方案,值得在临床实践中进一步推广应用。

参考文献

[1] Naqash AR,et al.Interstitial Lung Disease and Immunotherapy-Related Pneumonitis:A Review.J Thorac Oncol.2018;13(11):178-180.
[2] Zhou C,et al.Sugemalimab versus placebo,in combination with platinum-based chemotherapy,as first-line treatment of metastatic non-small-cell lung cancer(GEMSTONE-302):interim and final analyses of a double-blind,randomised,phase 3 trial.Lancet Oncol.2022 Feb;23(2):220-233.

责任编辑:肿瘤资讯-TY
排版编辑:肿瘤资讯-展思懿
版权声明
版权归肿瘤资讯所有。欢迎个人转发分享,其他任何媒体、网站如需转载或引用本网版权所有内容,须获得授权,且在醒目位置处注明“转自:良医汇-肿瘤医生APP”。

评论
01月08日
李明德
阳谷县七级镇中心卫生院 | 中西医结合科
这种情况不容忽视,效果不错!
01月07日
龙桂华
柳州市柳铁中心医院 | 药剂科
学习
01月07日
韩宪春
山西省中西医结合医院 | 肿瘤内科
免疫联合化疗在肺鳞癌中的出色疗效,更突显了舒格利单抗在合并基础肺病特殊人群中的安全性优势。