您好,欢迎您

王栋教授:EFS超36个月,III期肺鳞癌患者经舒格利单抗“新辅助+辅助”全程管理获显著长期获益

01月05日
整理:肿瘤资讯
来源:肿瘤资讯

局部晚期非小细胞肺癌(NSCLC)具有高度的异质性,其治疗模式多样,尤其对于III期患者,需综合评估以决定采取根治性放化疗或手术联合围术期治疗等策略。近年来,免疫治疗的发展显著改变了驱动基因阴性NSCLC的治疗格局。在围术期治疗领域,以“夹心饼”式(即术前新辅助+术后辅助)免疫联合化疗为代表的全新模式取得了突破性进展,为可切除或潜在可切除的患者带来了深度病理缓解和长期生存获益的希望。


本期,东部战区总医院王栋教授分享一例III期肺鳞癌患者的诊疗经验。该患者在确诊后,成功接受了“夹心饼”式围术期免疫联合化疗(舒格利单抗+紫杉醇/顺铂),经2周期新辅助治疗后即达影像学部分缓解(PR),并顺利实现根治性手术。术后继续完成辅助治疗与长达2年的免疫维持治疗,无事件生存期(EFS)已超过36个月,且耐受性良好。该病例为局部晚期NSCLC的围术期综合治疗提供了宝贵的实践参考。现将诊疗过程整理如下,并特邀南京大学医学院附属金陵医院吕镗烽教授进行点评,以飨读者。

王栋 教授
东部战区总医院

医学博士 副主任医师
东部战区总医院呼吸与危重症医学科
南京医科大学硕士研究生导师
研究方向:肺癌临床及基础转化
江苏省医学会呼吸病学分会工作秘书
第六批军事科技领域青年托举人才
主持多项国家及省部级(军队)以上课题,发表SCI论文10余篇,获国家发明专利2项

病例简介

基本情况

基本信息:患者男,65岁。

现病史

2022-08,患者体检发现左肺占位。

2022-08-21,患者就诊于我科,行纤维支气管镜活检示:低分化鳞癌。

完善PET/MR检查示左肺上叶高代谢肿块伴阻塞性炎症,左肺上叶多发小结节,FDG代谢增高,考虑转移瘤可能;左侧肺门淋巴结,FDG代谢增高,考虑淋巴结转移。

2022-08-24,初步诊断:1. 肺恶性肿瘤:左肺鳞癌IIIA期(T3N1M0);2. 高胆红素血症。

图片1.png

图1 患者基线PET/MR

图片2.png

图2. 患者基线气管镜检查

治疗经过

新辅助治疗:2022-08-28、2022-09-20行2周期术前新辅助治疗:紫杉醇聚合物胶束 (390mg 静滴 d1)+顺铂(100mg 静滴 d1)+舒格利单抗(1200mg 静滴 d1)
 
2周期后疗效评价:PR

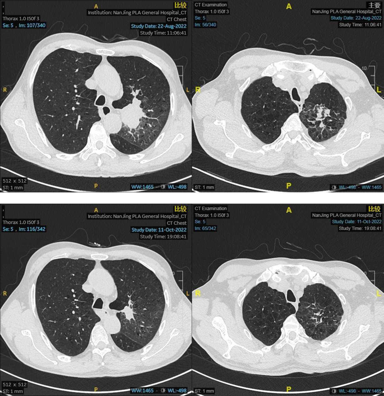
图片3.png

图3. 新辅助治疗前(2022-08-22,上)后(2022-10-11,下)对比

手术治疗:2022-10-14   全麻下行“胸腔镜左上肺鳞癌根治术”

手术病理:(左肺上叶切除标本)支气管腔实变区示瘤床(大小2.5×2×1.5cm),镜下示纤维组织增生伴肉芽组织形成,多量淋巴细胞及组织细胞、慢性炎细胞浸润、多核巨细胞反应,结合临床病史可符合肺癌化疗后改变;肺被膜及支气管切缘未见癌组织累及;支气管旁淋巴结(0/2)、“第5-6淋巴结(0/8)和“第10-4组”淋巴结(0/9)均未见癌组织转移。

术后辅助治疗:2022-11-29、2023-02-07行术后第3、4周期化疗+免疫治疗:紫杉醇聚合物胶束(390mg 静滴 d1)+顺铂(100mg 静滴 d1)+舒格利单抗(1200mg 静滴 d1)

2023-03至2025-03免疫维持治疗:舒格利单抗(1200mg 静滴 d1),维持治疗期间未出现严重的免疫药物相关不良反应

2年赠药结束后,患者因经济原因未继续维持治疗,定期复查,未见进展。

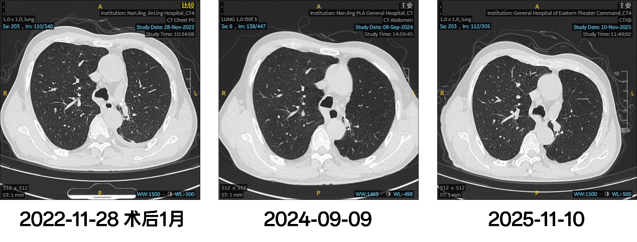
图片4.png

图4. 术后随访影像
吕镗烽 教授
南京大学医学院附属金陵医院

南京大学医学院附属金陵医院 主任医师 教授
呼吸与危重症医学科主任、内科教研室主任
南京大学、南京医科大学、南方医科大学博士生导师
中华医学会肺癌学组委员
江苏省医学会呼吸病学分会副主任委员
江苏省医师协会呼吸分会常委
江苏省抗癌协会老年肿瘤专业委员会副主任委员
南京医学会呼吸分会副主任委员
美国德州理工大学访问学者
CSCO临床数据专业委员会委员
《Translational Lung Cancer Research》杂志(SCI收录)副主编

专家点评

患者接受“夹心饼式”新辅助+辅助围术期免疫治疗,在术前通过2周期新辅助治疗成功达到PR,术后继续治疗2周期后免疫单药维持治疗2年,至今保持定期随访,仍未见复发,目前无事件生存期(EFS)已超36个月。

对于驱动基因阴性的局部晚期III期NSCLC,如初始评估不可切除,则可采取根治性放化疗序贯免疫维持治疗的模式以延长无进展生存期(PFS),本病例选用的舒格利单抗此前在GEMSTONE-301研究中取得了阳性结果。该研究最终PFS分析结果显示[1],在同步/序贯放化疗后未进展的局晚期不可切除III期NSCLC患者中,舒格利单抗的维持治疗对比安慰剂可显著延长中位PFS(由独立评审委员会评估的中位PFS:10.5个月 vs. 6.2个月,HR=0.65)。目前,该治疗模式已经成为驱动基因阴性不可切除III期NSCLC患者的标准治疗模式。

如可切除或潜在可切除,也可尝试通过新辅助免疫治疗进行降期,提高手术可行性。近年来,“夹心饼”式围术期免疫治疗取得了丰硕的临床探索成果,其中,全球首个报道可切除NSCLC “夹心饼”式围术期免疫治疗取得阳性结局的III期AEGEAN研究中采取了和本病例类似的PD-L1抑制剂。该研究结果显示[2],围术期免疫治疗对比对照组显著延长了中位EFS(HR=0.39),且在总生存(OS)方面显示出获益趋势。本病例患者接受舒格利单抗的围术期治疗获益明显,EFS超36个月,进一步验证了该治疗模式的可行性,为此类患者的治疗提供了可参考的新范本。

参考文献

[1] Y-L. Wu, et al. 2022 WCLC, OA02.05.
[2] J.V. Heymach, et al.2024 WCLC, OA13.03

责任编辑:肿瘤资讯-TY
排版编辑:肿瘤资讯-展思懿
版权声明
版权归肿瘤资讯所有。欢迎个人转发分享,其他任何媒体、网站如需转载或引用本网版权所有内容,须获得授权,且在醒目位置处注明“转自:良医汇-肿瘤医生APP”。

评论
01月06日
王龙
河北医科大学第四医院(河北省肿瘤医院) | 肿瘤内科
局部晚期非小细胞肺癌(NSCLC)具有高度的异质性,其治疗模式多样,尤其对于III期患者,需综合评估以决定采取根治性放化疗或手术联合围术期治疗等策略。
01月06日
马利平
河南省肿瘤医院 | 放疗科
“夹心饼”式免疫联合化疗为代表的全新模式取得了突破性进展
01月06日
余枫贤
桂平市人民医院 | 肿瘤科
局部晚期非小细胞肺癌(NSCLC)具有高度的异质性,其治疗模式多样,尤其对于III期患者,需综合评估以决定采取根治性放化疗或手术联合围术期治疗等策略。