结直肠癌(CRC)是全球最常见的恶性肿瘤之一。2022版中国癌症统计报告数据显示,中国CRC的发病率、死亡率在全部恶性肿瘤中分别位居第2和第4位,其中2022年新发病例51.7万,死亡病例24万。大多数患者确诊时已发生转移,导致预后不佳。近年来,免疫疗法的深入研究为错配修复缺陷/微卫星高度不稳定(dMMR/MSI-H)晚期CRC患者带来了显著生存获益。目前,多项免疫联合治疗的研究正在进行中,旨在进一步实现疗效升级,并改善占比95%的错配修复完整/微卫星稳定(pMMR/MSS)型转移性CRC(mCRC)患者的预后,这些研究为临床实践提供了重要的循证医学支持。
《Hi Strong-消化道病例精粹》系列专栏深入剖析消化道肿瘤免疫治疗优秀临床病例,分享宝贵临床经验,以期共同推动消化道肿瘤免疫治疗学科发展,助力“健康中国2030”战略目标的实现。
中山大学肿瘤防治中心结直肠科副主任医师,肿瘤学博士,硕士研究生导师
广东省抗癌协会大肠癌专业委员会委员兼秘书
中国抗癌协会大肠癌指南基层赋能专委会委员
广东省医疗行业协会结直肠肛门外科管理分会常委
广东省精准医学应用学会胃肠间质瘤分会常委
广东省精准医学应用学会胃肠肿瘤分会委员
广东省精准医学应用学会结直肠癌分会委员
广东省基层医药学会结直肠专委会委员
第六届“35 under 35 ”全国优秀青年肿瘤医师
《Gastroenterology Report》和《中华胃肠外科杂志》青年编委
主持国家自然科学基金、广东省自然科学基金、广州市科技计划项目、CSCO基金等多项课题;近5年以第一作者或通讯作者在Cancer Communications,Molecular Cancer,Autophagy,Cancer Letters等期刊发表论文30余篇
病例介绍
基本情况
患者,女性,36岁。首诊时间:2024年10月29日。ECOG评分为0分。个人史、婚育史、家族史均无特殊。
主诉
便血1月余。
现病史
1月前出现大便带血,色鲜红,量少,排便成形,每日1次,伴里急后重感、肛门坠胀感。体重未见明显下降。
查体
肛查示:入肛3cm直肠前壁可及一处3×3cm肿物,质硬、活动欠佳,指尖可通过。
辅助检查
肠镜及病理:2024年10月外院肠镜显示距肛门6cm见一3.5cm肿物。病理会诊提示:直肠中分化腺癌,pMMR。
实验室检查:2024年10月31日结果显示,白细胞(WBC)、血红蛋白(HGB)、癌胚抗原(CEA)、CA19-9均在正常范围。
影像学检查:
2024年10月29日胸部+全腹增强CT:双肺散在结节,考虑增殖灶。
2024年10月31日直肠彩超+超声造影:直肠占位性病变,考虑直肠癌T2N1b,MRF-。病灶大小28×14mm,位置距肛缘4cm。
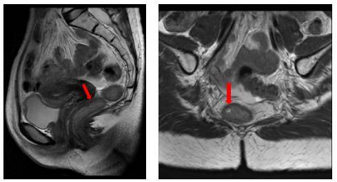
2024年10月28日直肠MR:直肠下段癌,T2N1b 17。病变长27mm,下缘距肛50mm,累及3/4周径,位于腹膜反折下方。可见直肠系膜内、双侧髂外血管旁小淋巴结。MRF-, EMVI-。

临床分期及诊断
直肠中分化腺癌 cT2N1bM0,ⅢA期,pMMR。
诊疗经过
斯鲁利单抗+FOLFOXIRI系统治疗(C1~C4程)
经患者知情同意,患者入组正在开展的PANFORTE研究。
治疗方案:2024年11月4日至12月18日,患者接受了4周期(C1~C4)的斯鲁利单抗(200mg)联合FOLFOXIRI(伊立替康165mg/m2,奥沙利铂85mg/m2,亚叶酸钙400mg/m2,5-FU 2400mg/m2 )治疗。
不良反应:治疗期间出现脱发、腹泻、中性粒细胞减少(对症处理后缓解)以及肝功能异常(ALT 232.6U/L,AST 391.3U/L,护肝治疗后好转)。
C4后复查(2025年1月):
2025年1月2日直肠彩超+超声造影:未探及明确病灶,原病灶区域肠壁增厚,肠壁层次基本恢复,达到超声完全缓解(uCR)。
2025年1月3日直肠MR:直肠下段癌范围较前缩小,直肠系膜内小淋巴结较前缩小。MRF-,EMVI-,肛管未见受累。
2025年1月6日胸腹CT:左肺上叶新发4×3mm实性结节。

同步放化免治疗
治疗方案:2025年1月3日至2025年2月8日行长程放疗(GTV 50Gy/25F;CTV 45Gy/25F),同步口服卡培他滨,并于2025年1月3日、2025年1月17日予斯鲁利单抗2周期治疗。
不良反应:治疗期间出现Ⅱ度骨髓抑制,经升白治疗后缓解。
斯鲁利单抗+FOLFOXIRI系统治疗(C5~C8程)
治疗方案:2025年2月17日至2025年3月31日,患者继续接受4周期(C5~C8)的斯鲁利单抗联合FOLFOXIRI治疗。
不良反应:治疗期间出现Ⅲ度骨髓抑制(C6后白细胞、中性粒细胞、血小板降低),予升白治疗后好转;另有轻微纳差、间断性手脚麻木等,未特殊处理。
C8后疗效评估及临床完全缓解(cCR)
查体:入肛7cm未明确触及结节肿物。
2025年4月25日肠镜及病理:肠镜显示距肛4cm直肠见疤痕,未见新生物。病理活检示黏膜慢性炎,未见癌。
影像学:2025年4月24日直肠超声造影考虑uCR。2025年4月27日直肠MR考虑治疗后改变,直肠系膜内小淋巴结和双侧髂外血管旁小淋巴结,较前相仿。2025年4月26日CT示,左肺上叶新发结节较前明显缩小(4mm→2mm)。


临床评估考虑直肠肿瘤达到临床完全缓解(cCR)。
后续随访(观察等待策略)
后续治疗:建议采取观察等待策略,定期复查。
随访复查(持续cCR):
2025年7月26日肠镜考虑cCR,病理活检见肠黏膜局部腺体轻度不典型增生。
2025年7月29日MR复查:直肠下段稍增厚、肿胀,考虑治疗后改变,较前相仿。
2025年10月23日:肠镜考虑cCR,病理示肠黏膜慢性炎。
2025年10月22日MR复查:直肠下段稍增厚、肿胀,考虑治疗后改变,较前相仿。



病例小结
本例患者为36岁pMMR局部进展期低位直肠癌,接受了斯鲁利单抗+FOLFOXIRI+长程放疗的全程新辅助治疗(TNT)策略。该方案通过先期化疗(C1~C4)实现 uCR,继而同步放化免治疗,并再次巩固化疗(C5~C8),最终获得了cCR。患者随后采取了观察等待策略,并在后续随访中持续保持cCR状态。该治疗方案强度高,但通过严密的随访管理和对症支持,患者耐受性良好。
专家点评
中山大学肿瘤医院结直肠科区长
中华结直肠癌MDT联盟执行主席兼秘书长
全国抗癌协会大肠癌专委会委员
全国抗癌协会大肠癌专委会肝转移学组专家
广东省精准医学应用学会胃肠肿瘤分会主任委员
广东省抗癌协会大肠癌青委会主任委员
广东省抗癌协会遗传性肿瘤专委会副主任委员
广东省基层医药学会结直肠专委会副主任委员
广东省医师协会胃肠外科分会青委会副主任委员
美国MD Anderson癌症中心访问学者
曾多次获得全国腹腔镜手术比赛、临床技能比赛、MDT比赛冠军
以通讯/第一作者在Cancer Cell、Gut、Mol Cancer、Autophagy、Ann Surg、Oncogene等杂志上发表文章超过50篇
林俊忠教授:直肠癌约占新发结直肠癌病例的一半,多数患者在确诊时已处于局部晚期阶段。受限于狭窄盆腔的解剖结构,直肠癌更易局部侵犯、手术难度更大,预后较结肠癌更差。目前,国际指南推荐的标准治疗方案为术前放化疗、根治性手术及术后辅助化疗的“三明治”模式。该方案虽有一定疗效,但存在病理完全缓解率低(10%~20%)、毒性反应明显、辅助化疗依从性差等局限,且根治性手术常导致不可逆的肛门功能障碍与器官损伤,严重影响患者生活质量。因此,在提升肿瘤疗效的同时保全器官功能,成为当前局部晚期直肠癌治疗的核心挑战。
目前,放化疗与PD-1抑制剂的三联模式逐渐成为研究热点,多项临床试验显示,该策略可将病理完全缓解率提升至40%~55%[1,2],为器官保留治疗提供了新方向。尽管如此,仍有约半数患者无法达到完全缓解,最终需接受全直肠系膜切除术,器官保全目标受限。为提高治疗效果,本例低位直肠癌患者参与了PANFORTE研究,接受全新的全程新辅助治疗(TNT)策略,即将斯鲁利单抗、FOLFOXIRI化疗及长程放疗联合使用,旨在提高临床完全缓解率,争取保肛机会。
PANFORTE研究探讨了斯鲁利单抗联合FOLFOXIRI及长程放疗的新辅助治疗方案,用于治疗pMMR局晚期低位直肠癌的有效性和安全性。研究数据显示,该方案的总CR率达75%,且高达95%的患者成功实现了器官功能保全。该例患者也是其中一例获益患者,采用研究方案成功达到cCR,为患者的高质量、长期生存提供了契机。
本例患者顺利完成了计划剂量的全程新辅助治疗,治疗成功的关键在于方案的高强度与多模式协同。首先,8周期的FOLFOXIRI化疗提供了强大的全身性细胞毒效应,有效促进了肿瘤退缩。PRODIGE 23试验证明其在TNT策略中能显著提高局部晚期直肠癌的病理完全缓解率和生存获益[3]。其次,TNT策略本身将所有全身治疗提前至术前,提高了患者依从性、降低了毒副反应累积,并更有效地促使肿瘤降期,为后续的“观察等待”和器官保全创造了条件。
既往基于长程放化疗联合免疫治疗的方案,其完全缓解率(23%~33%)常低于基于短程放疗的方案(接近50%),这可能与全身治疗强度差异有关。本例通过强化的三药化疗,顺利达到完全缓解。为确保评估的准确性,本例采用了内镜、直肠彩超、MRI等多模态手段并进行严格评估,最终患者在达到临床完全缓解后未出现再生长。
在安全性方面,该方案表现出良好的耐受性。虽然该患者治疗期间出现Ⅲ°骨髓抑制,但在及时对症治疗后获得恢复。这得益于严密的随访管理。此外,本例尚未出现免疫相关的副作用,表明斯鲁利单抗具有良好的安全性和有效性。综上所述,斯鲁利单抗+FOLFOXIRI+长程放疗的TNT方案为低位局部晚期直肠癌患者提供了一种高效且可行的治疗新选择,期待后续临床研究结果进一步证实。
[1]Lin ZY, Zhang P, Chi P, et al. Neoadjuvant short-course radiotherapy followed by camrelizumab and chemotherapy in locally advanced rectal cancer (UNION): early outcomes of a multicenter randomized phase III trial. Ann Oncol. 2024;35(10):882-891.
[2]Xia F, Wang Y, Wang H, et al. Randomized Phase II Trial of Immunotherapy-Based Total Neoadjuvant Therapy for Proficient Mismatch Repair or Microsatellite Stable Locally Advanced Rectal Cancer (TORCH). J Clin Oncol. 2024;42(28):3308-3318.
[3]Conroy T, Bosset JF, Etienne PL, et al. Neoadjuvant chemotherapy with FOLFIRINOX and preoperative chemoradiotherapy for patients with locally advanced rectal cancer (UNICANCER-PRODIGE 23): a multicentre, randomised, open-label, phase 3 trial. Lancet Oncol. 2021;22(5):702-715.
责任编辑:肿瘤资讯-QTT
排版编辑:肿瘤资讯-Yael






苏公网安备32059002004080号