您好,欢迎您

神母中国之声(第4期)| 我是如何治疗高危神经母细胞瘤的

2025年12月05日

整理:肿瘤资讯

来源:肿瘤资讯



达妥昔单抗β助力高危神经母细胞瘤

实现长期CR



分享嘉宾


曹嫣娜  教授

天津市肿瘤医院

▪ 天津市肿瘤医院儿童肿瘤科,副主任医师,擅长儿童恶性实体肿瘤的综合诊治

▪ 中国抗癌协会小儿肿瘤专业委员会委员

 中国抗癌协会小儿肿瘤专业委员会放疗学组委员

 中国研究型医院学会儿童肿瘤专业委员会委员

 天津市医师协会小儿外科分会副会长

▪ 天津市抗癌协会小儿肿瘤专业委员会常委

 天津市医学会小儿外科学分会委员

 天津市中西医结合学会儿科专业委员会委员



病例概览


本例为8岁4个月男孩,2022.5.16主因“间断腰痛1月余,加重4天,发现腹部肿物1天”就诊,初诊影像学提示左中上腹实性肿物,伴腹膜后、颈部淋巴结转移,全身多发骨转移。骨髓GD2细胞免疫检测可见阳性细胞24/176万。腹膜后肿物穿刺病理确诊神经母细胞瘤,分化差型;分子学检测示MYCN基因未异常扩增、11q23失衡、1p36未见异常。临床诊断M期,高危组。


按照CCCG-NB-2021方案,给予6周期诱导化疗,第2周期后行造血干细胞采集,第4周期后行腹膜后肿物切除术。巩固治疗采用单次自体造血干细胞移植,移植后行腹膜后瘤床放疗及颈部淋巴结清扫术,评估疗效达完全缓解(CR)。随后启动达妥昔单抗β联合GM-CSF治疗5个周期,及维甲酸口服6个周期,治疗耐受性良好。随访至今病情持续CR,无复发征象。



患者资料


一般资料:男,初诊年龄8岁4个月

主诉:间断腰痛1月余,加重4天,发现腹部肿物1天

现病史与既往史:患儿于2022年5月入院,查体示腹平,左侧腹部可及质硬包块,范围约10cm,无腰痛,左肾叩击痛阳性。既往无其他病史。



疾病诊断


神经母细胞瘤(分化差型,CCCG-NB-2021 M期,高危组),伴多发淋巴结、骨及骨髓转移(24/176万)



辅助检查


肿瘤标志物

NSE 134ug/L、VMA(尿) 230.84umol/24h、LDH 305U/L,其余指标未见明显异常。

B超(2022.5.17)

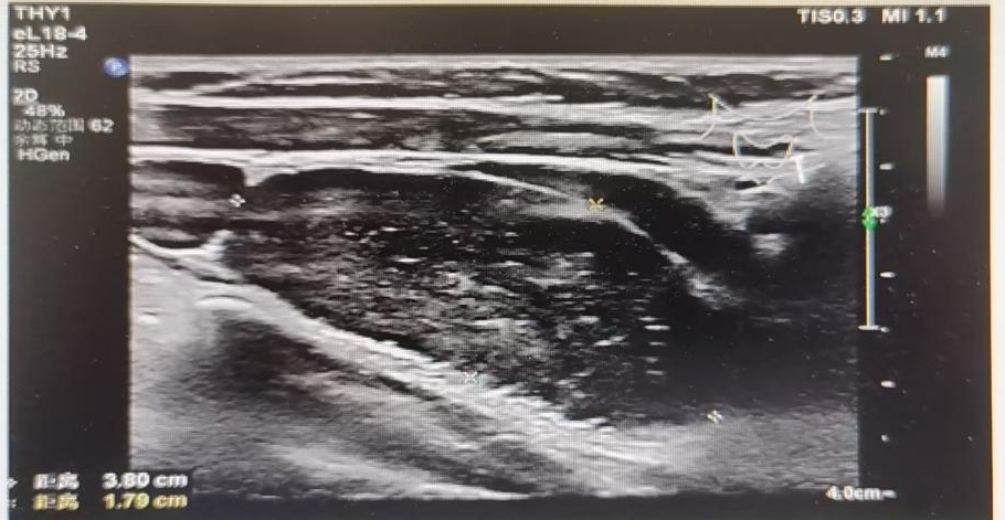
▪ 左中上腹实性肿物——考虑恶性,神经母细胞瘤可能性大,大小约12.3×9.9×6.5cm。

▪ 腹膜后多发淋巴结肿大——考虑转移瘤,最大5.1×2.9×2.4cm。

▪ 左颈部多发实性肿物——考虑转移瘤,最大3.8×2.2×1.8cm。

PET-CT(2022.5.19)

1. 左侧中下腹左肾旁不规则巨大肿物,PET显示异常放射性浓聚,考虑为恶性,神经母细胞瘤可能性大。

2. 左侧中下颈、锁区,后纵隔食管周围,坐下后胸膜下、双侧膈脚后、腹膜后腹主动脉及下腔静脉周围、双侧髂总血管周围、髂脉区多发结节及肿物,PET显示异常放射性浓聚,考虑为淋巴结转移。

3. 所见全身多发骨骼骨质密度不均及骨质破坏,PET显示异常放射性浓聚,考虑为转移。

骨髓检查

骨髓GD2细胞免疫检测可见阳性细胞24/176万。

穿刺病理(左腹膜后肿物):

诊断:神经母细胞瘤(分化差型)。

分子生物学检测:

MYCN基因未见异常扩增、11q23失衡、1p36未见异常。



治疗历程


第一阶段:诱导治疗

(2022.5~2022.10) | 诱导化疗+手术


2022.5-2022.10

诱导化疗方案:CTX+Irinotecan—CTX+Irinotecan—(复查骨髓GD2染色转为阴性,2022.6.27采集干细胞)—CDDP+VP16—CTX+DOXO+VDS—(手术)—CDDP+VP16—CTX+DOXO+VDS

2022.8.16

手术:行腹膜后肿物切除+腹膜后淋巴结清扫术。

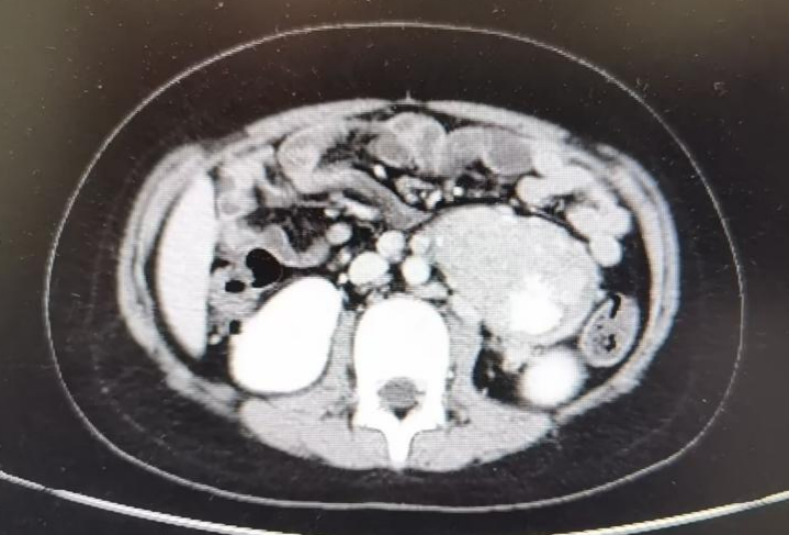
术前CT(2022.8.3)显示腹膜后肿物及淋巴结较前明显缩小。

术后病理:

神经母细胞瘤,分化差型,低度MKI;可见出血、钙化,符合化疗后反应。

区域淋巴结可见肿瘤累犯,分组如下:左肾门11/13,动静脉间2/2,主动脉旁9/10。

化疗结束后疗效评估:VGPR



第二阶段:巩固治疗

(2022.10-2023.2) | 自体干细胞移植+放疗


2022.10

自体外周血干细胞移植 预处理方案Bu/Mel

移植前评估PET-CT(2022.10.10):

1. 左腹壁手术瘢痕,考虑为术后改变;

2. 左侧中下颈、锁区,后纵隔食管周围,左下后胸膜下、双侧膈脚后、腹膜后腹主动脉及下腔静脉周围、肠系膜间、双侧髂总血管周围、髂脉区多发结节及肿物较前明显减小、减少,部分消失,此次PET显示放射性浓聚程度较前减低,提示病灶代谢较前减低,部分仍存活性;

3. 所见全身多发骨质密度不均伴第11胸椎压缩变扁,总体示病情较前好转。

2023.1

腹膜后瘤床放疗21.6Gy。

放疗后评估PET-CT(2023.2.9)与2022.10.10相比:

左锁区结节较前略减少,PET浓聚未见明显变化,提示病灶仍存活性;

左侧中下颈、后纵隔食管周围,左下后胸膜下、双侧膈脚后、腹膜后腹主动脉及下腔静脉周围、肠系膜间、双侧髂总血管周围、髂脉区多发结节及肿物较前明显减小、减少,部分消失,此次PET显示放射性浓聚程度较前减低,提示病灶代谢较前减低或活性受抑制;

MIBG检查回报示CURIE评分为0分。

2023.2.17

行左颈部淋巴结清扫术。

术后病理:(左腹膜后神经母细胞瘤治疗后,颈左3、4、5区)可见神经母细胞瘤累犯,淋巴结 4/10,软组织(+)。



第三阶段:维持治疗

(2023.3-2023.7) | 抗GD2单抗免疫治疗+维甲酸


患儿全身情况良好,精神饮食好,生命体征平稳,无不适主诉。查肝肾心功能未见异常,复查骨髓穿刺阴性。评估肿瘤疗效CR,予维持治疗。

达妥昔单抗β免疫治疗共5个周期(联合GM-CSF),具体方案如下:

达妥昔单抗β 10 mg/m2/d,24小时连续静脉滴注10天,总量110 mg;给药时间为D4-D13。GM-CSF 300μg/㎡/d,D1-D14皮下注射。

维甲酸口服共6个周期,具体方案如下:

维甲酸 160 mg/m2/d,一天两次,口服,给药时间为D15-D28。

随访阶段(2023.7-2025.8):

2023-9-23 PET-CT+MIBG:CR

2024-7 PET-CT+MIBG:CR 

2025-4-18 CT:CR

2025-8-22 CT:CR



专家点评


本例为腹膜后来源的初治高危神经母细胞瘤,初诊穿刺活检病理确诊为分化差型神经母细胞瘤,MYCN无扩增,11q23失衡。骨髓GD2检测提示骨髓受累,PET-CT检查考虑多发淋巴结、骨转移,明确为M期,高危组。按照CCCG-NB-2021方案给予6个周期诱导化疗及手术治疗。诱导化疗结束时评估疗效为非常好的部分缓解(VGPR),进入巩固治疗阶段。


由于该患儿骨髓转移情况为微量,且第一次移植后出现心肌损害症状,临床给予单次自体外周血干细胞移植,移植后瘤床放疗并行颈部淋巴结清扫术使患儿疗效达到CR。随后应用达妥昔单抗β联合GM-CSF治疗5个周期,并口服维甲酸6个周期。整个治疗过程患儿耐受性良好,未出现严重毒副反应。治疗后定期复查疗效持续维持CR。


本例初治高危神经母细胞瘤的良好生存获益,验证了多学科规范诊疗的重要性,也充分证明了达妥昔单抗β免疫治疗的有效性和安全性优势,为初治高危神经母细胞瘤规范化治疗前提下给予个体化治疗提供了临床参考。


“码”上关注【神母菁英学院】

了解更多神母资讯~



排版编辑:Fu

责任编辑:木子李

版权声明

版权归肿瘤资讯所有。欢迎个人转发分享,其他任何媒体、网站如需转载或引用本网版权所有内容,须获得授权,且在醒目位置处注明“转自:良医汇-肿瘤医生APP”。


评论
2025年12月07日
李国君
冀中能源峰峰集团有限公司总医院 | 血液肿瘤科
我是如何治疗高危神经母细胞瘤的 神母菁英学院
2025年12月06日
史渊
平遥兴康医院 | 肿瘤内科
感谢分享受益匪浅