整理:肿瘤资讯
来源:肿瘤资讯
病例点评:吉林大学第一医院 李伟教授
晚期胃肠间质瘤(GIST)伊马替尼耐药后,后续治疗充满挑战,针对晚期GIST的个体化治疗方案值得深入探索。本文报道一例22岁女性巨大GIST患者(20.0cm×11.4cm),病灶与多脏器分界不清,直接手术的临床价值尚不明确。患者伊马替尼耐药后,经伊马替尼加量(期间基因检测提示KIT外显子11和13突变)、舒尼替尼及舒尼替尼联合瑞派替尼治疗均未达理想疗效,后因急症行减瘤手术,术后基于瑞派替尼对 KIT/PDGFRA 突变的广泛抑制作用以及对原发KIT 11突变人群疗效显著等循证医学证据及患者意愿选用瑞派替尼治疗,至今获得32个月的疾病稳定,且安全性良好,瑞派替尼为患者带来了长期的生存获益。本案例为晚期GIST患者耐药后治疗方案的优化及个体化治疗决策,提供了重要的临床参考依据。
专家简介

李伟 教授
吉林大学第一医院 普通外科中心胃结直肠外科 主任医师,副教授
化学博士后,博士研究生导师
美国Mount Sinai医学院病理学系分子病理实验室访问学者
中国抗癌协会胃癌专业委员会委员
中国抗癌协会胃肠间质瘤专业委员会委员
中国抗癌协会胃肠间质瘤专业委员会MDT学组委员
中国医师协会外科医师分会微创外科委员会青年委员
中国医师协会内镜医师分会腹腔镜外科专委会青年委员
中国医师协会肿瘤医师分会间质瘤学组委员
中国临床肿瘤学会(CSCO)胃肠道间质瘤专业委员会委员
中西医结合专家志愿者委员会胃肠外科专业组委员
中国普通外科青年学者攀登计划成员
中华消化外科菁英荟委员
中华普外科手术学杂志(电子版)第二届通讯编委
日本胃癌协会(JGCA)会员
病例点评
李伟教授点评
病例简介
基本情况
◈ 初诊发现盆腔内病变,未治疗;1年后确诊GIST,肿瘤巨大
◈ 女性,初次就诊22岁。
◈ 2018年12月,因“感冒”就诊于外地医院,CT检查发现盆腔内病变,性质待定,未进行治疗。
◈ 2020年1月2日,因发现贫血就诊于本地医院,行CT检查提示:下腹及盆腔内可见巨大囊实性肿物,边界不清,呈不均匀强化,较大层面长径约为20.0cm×11.4cm,病灶与子宫、膀胱、邻近肠管分界不清,双侧附件显示不清,考虑恶性,请结合临床进一步检查。
◈ 2020年1月9日,患者为求明确诊断就诊于北京专科肿瘤医院。
◈ 门诊行腹部超声检查提示腹盆腔巨大囊实性肿物,实性为主,范围约23.1cm×8.6cm,不规则,边界尚清,内见条形血流信号。检查提示“腹盆腔囊实性肿物,考虑间叶组织来源”。

◈ 超声介入下穿刺病理:梭形细胞肿瘤,结合形态及免疫组化结果符合胃肠间质瘤。
◈ 免疫组化结果显示:Vimentin(3+),CD117(3+),DOG1(3+),SDHB(3+),Bcl-2(3+),CD34(-),AE1/AE3(-),ALK(1+),Desmin(-),S-100(-),SMA(-),Ki-67(+20%)。
◈ 建议伊马替尼400mg QD口服。
治疗经过
一线伊马替尼 (2020.2.17~2022.4.30, 26个月),最佳疗效部分缓解(PR)。
◈ 2020年2月17日,患者回到本地医院,纠正贫血后给予伊马替尼400mg QD口服。
◈ 2020年4月27日,行腹部CT检查提示:下腹及盆腔内可见巨大囊实性肿物,边界不清,较大层面长径约为20.9cm×8.3cm,病灶与子宫、膀胱、邻近肠管分界不清,较前范围减小。双侧附件显示不清。
◈ 2021年1月11日,复查腹部CT:肿物约15.6cm×10.8cm。
◈ 2021年3月16日,复查腹部CT:肿物较大层面长径约13cm。
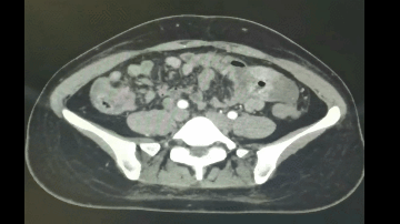
◈ 2021年7月8日,患者为求手术治疗就诊于我院门诊,行腹部CT检查提示:盆腔见不规则低密度影,包绕膀胱及子宫,与双侧附件及邻近肠管、右侧髂血管分界不清,三期CT值约为28Hu、27Hu、34Hu,其内密度不均,可见片状高密度影及钙化密度影。检查诊断:盆腔占位病变,考虑粘液瘤可能性大,建议进一步检查(因放射科无法获得胃肠间质瘤诊断及治疗病史)。结合患者病史及腹部CT结果,目前患者肿瘤包绕膀胱及子宫,与双侧附件分界不清。术中可能需要切除附件,因患者为年轻未婚未育女性,且直接手术的临床价值尚不明确,暂不考虑手术治疗。建议继续给予口服伊马替尼400mg QD。




2021年7月8日 腹部CT
◈ 2021年9月27日,行腹部CT检查提示:盆腔占位病变并盆腔积液,与前片2021-07-08相比病灶范围似略有减小。疗效评估疾病稳定(SD),建议继续口服伊马替尼400mg QD。腹部CT提示盆腔积液,考虑:1、药物副反应。2、肿瘤转移?建议暂密切观察。
◈ 2022年1月12日,行腹部CT检查提示:盆腔占位病变,2021-09-27前片边界欠清与本次无法比较,可疑稍增大。目前肿瘤不除外略有增大,但仍属于SD,建议观察肿瘤大小变化。继续给予口服伊马替尼400mg QD。
◈ 2022年4月30日,行腹部CT检查提示:盆腔见较大不规则形混杂密度影,与双侧附件及邻近肠管、右侧髂血管分界不清,最大层面约11.2cm×8.3cm,病变上下径约16.4cm,三期CT值约为25Hu、26Hu、32Hu,其内密度不均,可见片状高密度影及钙化密度影,病变周围似见稍高密度包膜影。腹腔内见液体密度影。检查诊断:1、盆腔占位病变,对比2022-01-12前片体积明显增大,2、腹腔积液,对比前片积液量增加;腹腔脂肪间隙浑浊。肿瘤明显增大,腹腔积液量增多,考虑肿瘤进展。建议更换为二线舒尼替尼,但是因疫情特殊时期,舒尼替尼不可及,因此增加伊马替尼剂量至600mg QD口服。



2022年4月30日 腹部CT
二线伊马替尼加量 (2022.4.30~2022.6, 约1.5个月),检测到耐药突变,更换药物
◈ 2022年4月30日,患者增加伊马替尼剂量至600mg QD口服。增加伊马替尼剂量后,患者出现恶心、呕吐,腹胀持续等不良反应。
◈ 经告知相关风险后,患者接受经腹超声引导下穿刺活检,并进行基因检测。
◈ 检测结论: 检测到KIT基因第11外显子发生缺失插入突变(c.1655_1669del p.Met552_Trp557delinsArg, NM_000222.2)和KIT基因第13外显子发生点突变。( c.1961T>C p.Val654Ala,NM_000222.2)。
三线舒尼替尼 (2022.6-2022.7.15, 约1个月),肿瘤进展
◈ 鉴于伊马替尼对 KIT外显子13突变不敏感,患者于 2022 年 6 月更换为舒尼替尼 37.5 mg QD口服。
◈ 2022年7月15日,行腹部CT检查提示:盆腔见较大不规则形混杂密度影,与双侧附件及邻近肠管、右侧髂血管分界不清,最大层面约12.4cm×8.8cm,病变上下径约14.9cm,三期CT值约为28Hu、27Hu、31Hu,其内密度不均,可见片状高密度影及钙化密度影,病变周围似见稍高密度包膜影。左上腹部小肠旁另见一相同性质肿块,约4.9cm×3.2cm,边缘强化,与局部肠管分界不清。腹腔内见较多液体密度影。网膜略增厚。
◈ 检查诊断:1、盆腔占位病变,对比2022-04-30片体积稍减小、强化减低。2、腹腔积液,对比前片积液量明显增加;网膜略增厚,请结合临床。3、左上腹部小肠占位性病变,请注意复查。
◈ 考虑肿瘤进展(PD),并且左上腹部小肠占位,考虑转移,腹水量增大。



2022年7月15日 腹部CT
四线舒尼替尼联合瑞派替尼 (2022.7.15~2022.8.26, 约1.5个月),后因消化道穿孔行急诊手术
◈ 2022年7月15日,基于当前的循证医学证据及CSCO胃肠间质瘤诊疗指南,患者后续有瑞戈非尼、 瑞派替尼可选择。既往有研究报道瑞戈非尼对 KIT 外显子 13 突变疗效有限[1],且毒副反应较大。鉴于晚期GIST具有肿瘤异质性,尽管患者出现小肠转移,但盆腔占位病变较前缩小,提示舒尼替尼对盆腔病变可能仍具疗效。瑞派替尼作为四线标准治疗药物,能广泛抑制多种原发及继发 KIT/PDGFRA 突变类型,且具有良好的安全性,也为TKI联合治疗提供基础[2]。综合考虑并结合患者意愿,选择舒尼替尼25mg联合瑞派替尼100mg,每日一次口服治疗。患者服药期间腹胀略减轻,有轻度恶心,无呕吐。
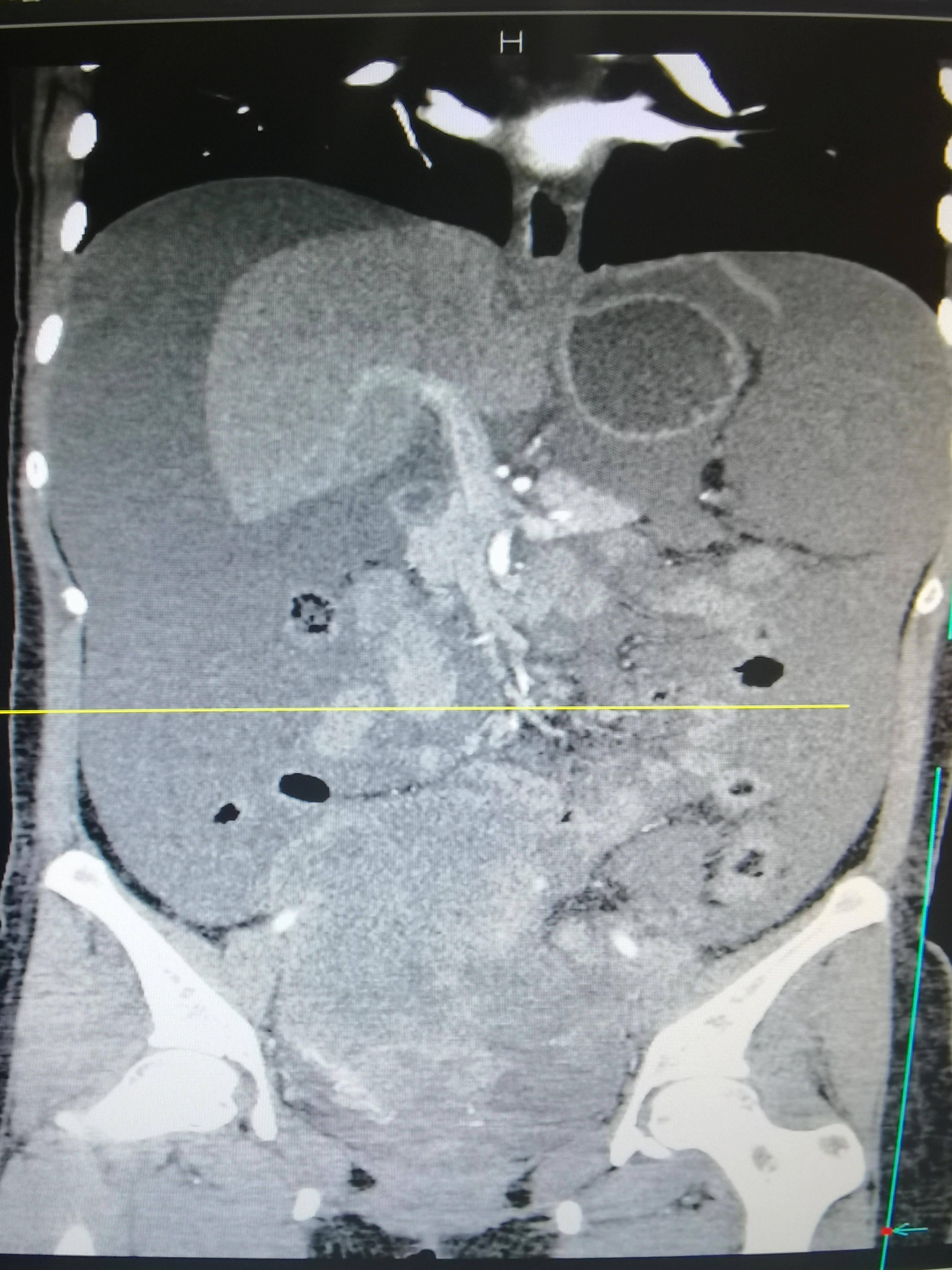
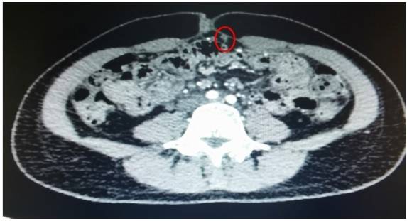
◈ 2022年8月26日,患者突发腹部疼痛。急诊行腹部CT检查提示:盆腔见较大不规则形混杂密度影,与双侧附件及邻近肠管、右侧髂血管分界不清,最大层面约13.4cm×11.8cm,其内密度不均,可见片状高密度影及钙化密度影,病变周围似见稍高密度包膜影。左上腹部小肠旁见肿块影,与局部肠管分界不清,局部肠管走行紊乱,管壁似欠连续,腹腔内见较多液体密度影及游离气体密度影。网膜略增厚。



2022年8月26日 腹部CT
◈ 检查结论:1、盆腔占位病变,对比2022-07-15片似变大,建议进一步检查。2、腹腔游离气体、考虑消化道穿孔,左上腹部小肠旁占位性病变,3、腹腔积液,对比前片积液量减少,网膜略增厚。
◈ 诊断为消化道穿孔,急诊行剖腹探查术。术中见近端小肠肿物破裂穿孔。盆腔囊实混杂肿物,周围境界关系不清,但仍可姑息切除,且需切除一侧附件,与家属充分沟通后,行小肠肿物切除术,盆腔肿物切除术,单侧附件切除术,大网膜切除术(R2切除)。
2022年8月26日 急诊手术
◈ 术后病理[小肠及腹腔肿物(靶向药物治疗后标本)]:肿瘤局部破裂,伴大面积出血、梗死、坏死,肿瘤侵及小肠浆膜至粘膜下,侵及输卵管系膜,与卵巢粘连,小肠肿瘤体积7cm×5cm×4cm,腹腔肿瘤体积16cm×11cm×10cm,肿瘤伴广泛玻璃样变性及粘液变性,散在慢性炎细胞浸润,少部分肿瘤细胞呈上皮样,核分裂像<5/50HPF,脉管及神经未见肿瘤侵及,网膜组织可见肿瘤累及。
◈ 免疫组化:CD117(+),Dog-1(+),CD34(-),SDHB(+),Ki-67(+5%),CK- pan(-),Vimentin(+),Desmin(-),SMA(-),S-100(-),MDM2(+),CDK4(+),p16(+)。
◈ 一代基因检测显示:小肠及腹腔肿物均检测到KIT基因第11外显子缺失插入突变。(c.1655_1669del, p.Met552_Trp557delinsArg, NM_000222.2)。未检测到KIT基因第9、13、14、17、18外显子突变及PDGFRA基因第12、14、18外显子突变。
◈ 术后因切口愈合慢,腹腔积液渗出较多,因此暂未进行药物治疗。后患者未规律随访。
◈ 2023年3月2日,患者来院复查腹部CT提示:中腹部小肠局部见缝合线影,吻合口未见异常强化影,盆腔内见液体密度影。腹腔脂肪间隙稍浑浊,网膜稍增厚。腹壁见瘢痕影。左下腹前腹膜区见小结节影,大小约0.6cm×0.8cm,轻度强化。
◈ 检查诊断:1、符合部分小肠术后,吻合口未见异常强化影。2、盆腔积液,对比前片积液量减少。3、腹腔脂肪间隙稍浑浊,网膜稍增厚,较前片减轻。4、左下腹前腹膜区小结节。

2023年3月2日 腹部CT
五线瑞派替尼 (2023.3.2~至今, 超过32个月),疾病稳定,安全性佳
◈ 基于舒尼替尼联合瑞派替尼治疗期间肿瘤进展,鉴于既往舒尼替尼已耐药,而瑞派替尼用药时间较短且未采用标准剂量治疗,实际疗效尚不明确。2023年3月2日,综合疗效与安全性,并结合患者意愿,选择瑞派替尼150mg QD口服治疗,无显著不良反应。
◈ 因术后病理仅发现 KIT 11 外显子突变,遂再次行穿刺病理检查,检测到 KIT 11 和 KIT 13 外显子突变。
◈ 截至目前,患者已使用瑞派替尼治疗32个月,患者左下腹前腹膜区小结节无变化,无明显不适。治疗期间出现轻度脱发。患者仍在使用瑞派替尼,嘱其规律随访。
治疗小结

李伟 教授:
晚期GIST在一线伊马替尼治疗进展后即存在多个继发耐药突变,肿瘤在空间和时间上存在高度异质性,对后续治疗有很大挑战,针对晚期GIST的精准个体化治疗方案值得深入探索。本案例患者为一名年轻女性,巨大GIST(20.0cm×11.4cm),病灶与子宫、膀胱、邻近肠管分界不清,联合脏器切除风险大,直接手术的临床价值尚不明确。患者伊马替尼治疗2年余,最佳疗效PR,伊马替尼耐药后检测到KIT 外显子11和13突变。对于KIT 11原发突变的患者,既往研究报道,伊马替尼加量治疗疗效不佳,应尽快换药[3]。但因特殊时期,舒尼替尼不可及,患者继续伊马替尼加量治疗。在检测到伊马替尼耐药的KIT 13突变后,及时更换了舒尼替尼。尽管既往报道舒尼替尼对KIT外显子13突变较为敏感[1],但本例患者接受舒尼替尼治疗很快就发生肿瘤进展,也提示个体化治疗对改善此类患者预后是非常必要的。
因舒尼替尼治疗期间肿瘤的异质性表现,后续尝试了联合治疗方案。瑞派替尼凭借对 KIT/PDGFRA 突变的广泛抑制作用、优越疗效及良好安全性,是 TKI 联合治疗的优质基础[2]。既往真实世界研究显示,瑞派替尼联合其他TKI 可再次延缓疾病进展,且安全性可控。本案例尝试舒尼替尼联合瑞派替尼治疗,但疗效未达预期,联合治疗的剂量优化与安全性把控均会对最终疗效产生关键影响,最佳联合治疗方案仍需更多探索。
对于复发或转移性GIST患者,应终身使用TKI治疗。即便手术切除所有耐药病灶,仍然会残留耐药细胞[4]。因此,患者在身体恢复后应尽早重启TKI系统治疗。同时,临床实践中,强化患者教育尤为关键,规律复查不仅保障治疗的连续性,也对提升病情监测的有效性至关重要。减瘤手术后,后续治疗方案的选择颇具挑战,术后可基于耐药突变个体化选择治疗方案。结合患者治疗史分析,舒尼替尼已明确耐药,而瑞派替尼此前联合用药时间短且未采用标准剂量,其实际疗效尚未充分显现。瑞派替尼作为新型的开关控制抑制剂,可以广泛抑制KIT和PDGFRA突变[5,6],且瑞派替尼对原发KIT 11 突变人群具有更好的获益趋势以及更优的安全性[7,8],有利于增加患者的依从性和更好的疾病管理。因此基于当前循证医学证据,综合权衡疗效与安全性,并充分尊重患者意愿,最终确定后续选择瑞派替尼治疗。瑞派替尼治疗期间安全性好,患者仅出现轻度脱发。至今患者已使用瑞派替尼治疗32个月,左下腹前腹膜区小结节较前相仿,疾病稳定,瑞派替尼为患者带来了长期的生存获益。
综上,本例为巨大 GIST 患者,肿瘤与多脏器分界不清,直接手术的临床价值尚未明确。患者在伊马替尼耐药后,先后接受伊马替尼加量、舒尼替尼及 TKI 联合治疗,均未达到预期疗效,后因急症实施减瘤手术。后续基于瑞派替尼对 KIT/PDGFRA 突变的广泛抑制作用以及对原发KIT 11突变人群疗效显著等循证医学证据及患者意愿选用瑞派替尼治疗,最终为患者带来长期生存获益,且安全性良好,整体疗效理想,可为晚期GIST 的临床诊疗实践提供参考。
参考文献:
*以上信息涉及尚未在中国获批的产品/适应症。此信息仅作信息分享用途,不应被理解为这些产品/适应症在中国获批或注册。
相关文章回顾(点击可查看详情):
1.“GIST新时空专栏公开课” | 李健教授:CSCO胃肠间质瘤诊疗指南(2024版)——更新及要点解读
2.研究者说 | 一例年轻的多病程治疗的十二指肠间质瘤病例分享
3.研究者说丨两例KIT外显子11+13突变的复发转移性胃肠间质瘤病例分享
4.研究者说 | 一例瑞派替尼用于巨大胃间质瘤伴多脏器受累患者新辅助治疗的病例分享
5.“GIST新时空专栏公开课”| 张信华教授——2025 ASCO GIST 治疗研究新进展
排版编辑:肿瘤资讯-Shiro
版权归肿瘤资讯所有。欢迎个人转发分享,其他任何媒体、网站如需转载或引用本网版权所有内容,须获得授权,且在醒目位置处注明“转自:良医汇-肿瘤医生APP”。










苏公网安备32059002004080号