您好,欢迎您

病例分享:厄洛替尼治疗EGFR突变IV期NSCLC,实现近cCR

2025年12月16日
来源:肿瘤资讯

病例介绍

基本情况

基本信息:女,69岁

主诉:因“发现右肺腺癌近3月”住院。

首次入院时间:2023-12-04

现病史:患者因“咳嗽伴胸痛3月余”于2023.08.10就诊于武汉市汉口医院,完善肺部增强CT示:1、右肺上叶尖段及中叶不规则高密度结节影(直径约23mm*20mm,考虑LUNG RADS4c类),右侧胸腔少许积液;2、右肺中叶外侧段支气管管腔闭塞,建议临床纤维支气管镜检查;左上肺磨玻璃结片影及右肺多发结节。2023.8.14纤维支气管镜示:1、右侧中叶外侧段支气管管腔狭窄、闭塞;2、双侧支气管炎性改变。2023.8.16行右上肺病变CT引导下穿刺活检术,术后病理提示:腺癌(具体不详)。后患者未行特殊抗肿瘤治疗。现患者咳嗽、咳少许白黏痰,伴有活动后气喘及右侧后背疼痛,为进一步诊疗,门诊以"肺恶性肿瘤”收入我科。

既往史:否认高血压、糖尿病、冠心病,否认乙肝、结核等传染病,否认手术外伤史, 否认输血史,否认食物药物过敏史,否认吸烟饮酒史。

体查:T:36.3℃,P:82次/分,R:20次/分,BP:117/90mmHg,精神可,声音无嘶哑,右肺呼吸音低,左肺呼吸音清,未闻及明显啰音;心率82次/分;全腹柔软,无压痛及反跳痛,肝脾肋下未触及,胆囊未触及Murphy征:阴性,肾:未触及,腹部未及包块:四肢:肌力、肌张力正常;四肢不肿。 

专科情况:PS评分80分,NRS评分2。

辅助检查

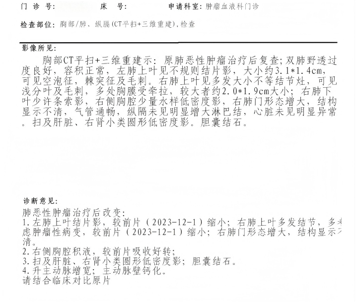
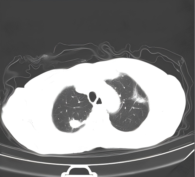
胸部+上腹部增强CT:2023.12.04我院门诊肺部CT示:1.左肺上叶结片影;右肺上叶及右肺门结块,右肺门形态增大,右肺下叶部分支气管截断,多考虑肿瘤性病变,请结合临床病史及对比前片。2.右侧胸腔积液;伴右下肺膨胀不全。3.扫及肝脏囊性灶;胆囊结石。

病理及免疫组化结果:

1.png

胸水脱落细胞学结果:

2.png

全身骨扫描未见转移

3.png

基因检测结果:患者基因检测示:EGFR 19de1阳性突变。

4.png

临床诊断

1.右肺腺癌EGFR 19de1阳性突变 T1N0M1 IV期(AJCC第八版)2.肺继发恶性肿瘤3.恶性胸腔积液

MDT讨论

MDT意见:科室开展MDT讨论,右肺腺癌转移EGFR 19de1阳性突变 T1N0M1 IV期,存在恶性胸水伴有活动后气喘及右侧后背疼痛,建议处理胸水止痛的同时,联合靶向治疗的策略。

诊治经过

1、胸水引流和灌注化疗:于2023.12.04 行右侧胸腔积液穿刺引流术,引流出约1500m1淡红色胸水,送检细胞学可找到肿瘤细胞。于12.08 、12.15行2次顺铂(40mg)胸腔灌注化疗,过程顺利,未诉不适。复查胸部CT提示胸水消失。

OoCNxjw6Pe2NhnUiFbeWjYFJJF3cHziA.png

CT.jpg1.png2.png3.png

2、2023.12.13行厄洛替尼片150mg口服qd。现单药厄洛替尼靶向维持中


专家介绍


樊涛 教授
肿瘤血液科支部书记 副教授 副主任医师 肿瘤学博士 硕导


1 湖北省肿瘤营养专科联盟 理事
2 湖北省中西医结合学会第八届理事会 理事
3 湖北省神经科学学会脑胶质瘤专业委员会 常委
4 湖北省临床肿瘤学会第一届生活方式专家委员会常委 
5 湖北省医师协会肿瘤医师分会第三届委员会委员 
6 湖北省微循环学会第二届肿瘤专业委员会 委员
7 第二届湖北省医学生物免疫学会肿瘤专委会 委员 
8 湖北省抗癌协会癌症康复与姑息治疗专委会第五届委员会委员
9 湖北省科普作家协会医学科普创作专业委员会肿瘤分会委员
10 湖北省免疫学会放射免疫专业委员会委员 
主持和参与省市级科研课题6项,获湖北省卫健委科技成果奖1项,国家专利4项,发表国内外期刊论文30余篇,其中SCI收录9篇。



排版编辑:HYC