您好,欢迎您

【EC Case Pilot】一例老年食管腺癌患者经化免联合治疗达完全缓解,PFS超40个月

2025年11月18日
整理:肿瘤资讯
来源:肿瘤资讯

食管癌作为一种侵袭性强的消化道恶性肿瘤,其早期诊断率低,多数患者确诊时已达中晚期,传统放化疗等治疗手段疗效有限,预后不良,患者生存质量与生存期均受严重影响,成为临床治疗的重大挑战。而免疫治疗的问世打破了这一困境,通过激活机体自身免疫功能精准对抗肿瘤,为食管癌患者带来了突破性疗效,显著延长生存期、改善生活质量,为中晚期食管癌治疗的全新希望。本期分享一例老年食管腺癌患者经替雷利珠单抗联合化疗治疗后达肿瘤完全缓解的病例,目前患者生存期接近4年,定期复查未见肿瘤复发、转移征象,且患者一般情况良好。

    基本情况及相关检查

患者男性,75岁。

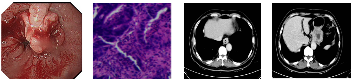
2021年11月患者无明显诱因出现进食哽咽,以粗硬食物为明显,无恶心、呕吐,无腹痛、腹胀,无后背部疼痛。于2021年12月29日就诊我院,门诊行胃镜检查,提示:食管下段可见菜花状肿物,环管腔约一周,触之易出血,镜身不能通过,取病理4块。病理回报:中分化腺癌。进一步完善胸部增强CT:食管下段及贲门管壁不均匀增厚,提示恶性肿瘤;食管下段周围、胃小弯侧多发淋巴结显示,部分肿大;纵隔内、右肺门多发淋巴结显示伴钙化。

1.png

诊断:食管下段中分化腺癌 腹腔淋巴结转移cT2N2M0 III期

治疗经过及疗效评估

患者拒绝手术。为进一步治疗入肿瘤内科,行PD-L1检测:TPS=0,CPS=15。在我科行免疫联合化疗治疗,具体方案:替雷利珠单抗200mg+奥沙利铂200mg d1+卡培他滨1.5g d1-14,治疗过程顺利,治疗后进食哽噎感明显好转。免疫治疗联合化疗2周期后复查食管下段及贲门局部管壁不均匀增厚,较治疗前明显变薄,周围淋巴结较前减小,疗效评价:稳定(SD-)。

第3-5周期继续原方案治疗。第6周因手足反应较重,调整方案为替雷利珠单抗200mg+奥沙利铂200mg d1。其中于第4、6周期分别复查评估疗效。第4周期后CT显示食管下段进一步变薄。第6周期后复查,CT显示食管下段及贲门局部管壁治疗后改变,食管下段周围、胃小弯未见肿大淋巴结。PET/CT:食管MT治疗后病例:食管下段及局部贲门食管略厚,糖代谢正常,考虑治疗后改变;下段食管旁、胃小弯多发淋巴结影显示,伴轻度糖代谢,延迟显像轻度减低,考虑治疗后改变。复查胃镜:食管全程粘膜光滑,未见溃疡、糜烂;非萎缩性胃炎,十二指肠球炎。疗效评价CR。

2.png

1.png

2022年8月-2023年4月:单药替雷利珠单抗200mg q3w,维持治疗12周期,期间评效持续稳定。

2023年4月,因周身乏力及浮肿,行相关检查提示血浆皮质醇、血清促肾上腺皮质激素明显降低,考虑免疫性垂体炎,给予口服醋酸泼尼松片早1片晚半片替代治疗,同时停止免疫治疗,2周后症状消失。

目前定期随访,末次随访时间:2025年8月28日,增强CT提示:食管下段及贲门食管较前大致相仿,食管下段周围、胃小弯多发小淋巴结较前相仿,未见明确肿瘤复发。

本期特邀点评专家——李  华 教授

李  华 教授
锦州医科大学附属第一医院

肿瘤学博士 硕士研究生导师
副主任医师 副教授
锦州医科大学附属第一医院肿瘤内科六病区主任
辽宁省细胞生物学学会遗传性肿瘤细胞学专委会 主委
辽宁省免疫学会肿瘤专业委员会 常委
辽宁省医学会流行病学与循证医学分会 青年委员
辽宁省中西医结合学会肿瘤专业委员会 委员
北京肿瘤防治研究会癌症早筛早诊早治分委会 委员
中国医促会神经内分泌肿瘤分会 组员

本期特邀专家——于天跃 医师

于天跃 医师
锦州医科大学附属第一医院

主治医师,医学硕士
锦州医科大学附属第一医院肿瘤科教学秘书
2014年毕业于中国医科大学
辽宁省细胞生物学学会生物样本库委员会遗传性肿瘤学组理事
北京肿瘤防治研究会免疫分委会委员
北京医学奖励基金会肺癌医学青年专家委员会委员
擅长肺癌及妇科肿瘤的靶向及综合治疗

专家点评

食管癌是常见的消化道恶性肿瘤,在中国发病率和死亡率较高,疾病负担较重。食管癌两种主要的病理亚型为食管鳞状细胞癌和食管腺癌。过去十年的流行病学研究表明,世界范围内食管腺癌的发病率逐渐增加。由于筛查、外科手术和新型治疗方法的突破,食管癌的预后有了很大改善。包括手术、化疗和放疗在内的综合疗法在治疗局部晚期食管癌方面取得的成功尤其显著。免疫疗法已成为食管癌的一种重要治疗方法,基于免疫检查点抑制剂的疗法现已成为辅助治疗和转移性肿瘤一线治疗的标准。

本例患者为老年男患,75岁,局晚期食管下段中分化腺癌患者,经与患者及家属沟通拒绝手术。完善检查:PD-L1 TPS=0、CPS=15,采用替雷利珠单抗联合化疗方案治疗,最终实现肿瘤完全缓解(CR),生存期近4年且无复发,疗效显著,且生活质量良好。

从治疗策略看,患者CPS=15提示存在免疫治疗获益可能,采用替雷利珠单抗联合奥沙利铂+卡培他滨方案,为局晚期食管腺癌免疫联合化疗的一线治疗的标准方案,在治疗中根据手足反应及时调整化疗药物,体现个体化治疗思维。维持治疗阶段单药替雷利珠单抗巩固疗效,进一步延长获益时间。

不良反应管理方面,针对免疫性垂体炎及时给予激素替代治疗并停止免疫药物,症状快速缓解,体现不良反应的规范管理。该病例证实,对于局晚期拒绝手术的食管癌患者,免疫联合化疗仍可实现深度缓解,为改善预后提供新思路。


责任编辑:肿瘤资讯-QTT
排版编辑:肿瘤资讯-高惠


往期回顾:

【食管癌】进展期食管癌患者器官保留的探索及思考

【食管癌】晚期食管鳞癌患者免疫跨线治疗PFS超过半年

【食管癌】一线免疫治疗进展后替雷利珠单抗跨线治疗病例

【食管癌】有一种爱,是我陪你一起抗癌:一例晚期食管鳞癌患者多线免疫治疗病例分享

【食管癌】局部晚期不可手术切除食管鳞癌经放化疗联合替雷利珠单抗治疗后成功转化手术并获得长期生存病例

【食管癌】替雷利珠单抗联合同步放化疗为不可手术的局部晚期食管鳞癌老年患者带来新希望

【食管癌】局部晚期不可切除食管鳞癌患者接受替雷利珠单抗联合治疗,生存获益超过20个月

【食管癌】基于PRO评估后局部晚期食管鳞癌患者术前免疫联合短程放化疗新辅助治疗,OS超过21个月

【食管癌】一例颈段食管癌患者化免诱导后接受dCRT序贯免疫维持治疗,持续cCR长达17个月

【食管癌】局晚不可切除食管鳞癌患者经化疗联合免疫治疗获得手术机会并达到pCR

【食管癌】一例局晚可切除食管鳞癌患者经放化疗后联合免疫治疗达到cCR后保留食管并随访无复发

【食管癌】一例局部进展期老龄食管鳞癌患者经放化疗联合替雷利珠单抗治疗后获得完全缓解

【食管癌】破局实体瘤免疫“再挑战”: 食管癌替雷利珠单抗停药再启方案打开长生存新路径

【食管癌】一例局晚不可切除ESCC患者经化免诱导及同期放化疗治疗及免疫维持治疗后,达到CR, 2年未复发转移

【食管癌】点面结合、精准狙击——食管鳞癌伴梗阻患者应用免疫联合内镜下局部治疗,实现症状与病灶“双改善”

【食管癌】破茧重生:从一例超30个月生存病例看食管癌免疫跨线治疗破局范式转变

【食管癌】突破局限:一线标准治疗长生存后的免疫跨线探索之路

【食管癌】重获新生——局部晚期不可切除食管癌经替雷利珠单抗联合化疗转化治疗后重获手术机会,带来长生存希望

【食管癌】突破性生存获益:T4a期食管鳞癌伴纵隔转移患者术后免疫辅助治疗实现47个月无复发生存


版权声明
版权归肿瘤资讯所有。欢迎个人转发分享,其他任何媒体、网站如需转载或引用本网版权所有内容,须获得授权,且在醒目位置处注明“转自:良医汇-肿瘤医生APP”。