胃癌是全球范围内最常见的消化道恶性肿瘤之一,其发病率和死亡率均高居前列。尤其在中国,胃癌疾病负担沉重,多数患者在确诊时已为局部晚期或转移性,治疗棘手,预后不佳。近年来,以PD-1/PD-L1单抗为代表的免疫检查点抑制剂的临床应用改变了晚期胃癌的治疗格局。在此基础上,将免疫治疗前移至围手术期,旨在通过术前降期、清除微小转移灶,从而提高手术切除率(R0切除率)和远期生存率。术后辅助治疗则可以进一步降低术后复发风险,提高患者生存率。这一策略已成为当前胃癌治疗领域的研究热点和极具潜力的发展方向。
《愈见H药》系列专栏深入剖析消化道肿瘤免疫治疗优秀临床病例,分享宝贵临床经验,以期共同推动消化道肿瘤免疫治疗学科发展。本期北京大学国际医院孟超教授分享1例局部晚期贲门癌(cT4aN+M0)合并左肾癌的罕见病例,通过斯鲁利单抗联合SOX方案的新辅助治疗,成功实现缩瘤,为后续根治性手术创造了良好条件,并最终达到贲门癌病理完全缓解(pCR),同时,我们邀请到北京大学国际医院梁军教授和林莉教授进行点评。
病例分享专家
北京大学国际医院肿瘤内科主治医师
中国临床肿瘤学会(CSCO)胃肠间质瘤专委会委员
人口文化促进甲状腺疾病专委会委员
北京医学奖励基金会肺癌医学青委会内科学组委员
中华医学科技奖叁等奖
参与在研药物临床试验30余项
主要从事胃癌、食管癌、结肠癌等消化道恶性肿瘤的临床诊疗工作
病例介绍
基本情况
患者男性,62岁。
主诉
发现左肾占位1年余。
现病史
患者1年余前于社区医院体检超声发现左肾占位,无血尿、疼痛等特殊不适,未及时就诊。后为进一步诊治完善CT、PET/CT过程中发现贲门部病灶,经胃镜活检病理,确诊合并局部晚期贲门腺癌。
既往史及家族史
“高血压”病史10余年,“高脂血症”、“糖尿病”病史8年余,药物治疗中。既往行“阑尾切除、右肺大泡破裂、左侧腹股沟疝修补及尿道断裂修复”等多次手术史。既往吸烟史,已戒烟20年;既往社交饮酒史,已戒酒5年。有高血压家族史,否认肿瘤家族史,否认其他疾病家族史。
辅助检查
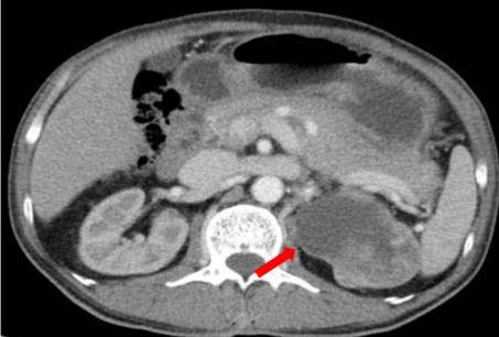
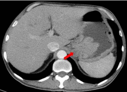
腹盆CT:左肾上部肾实质内可见肿块影,大小约6.6*6.9cm,其内密度不均,与周围肾组织分界不清,增强扫描呈不均匀性强化,考虑肾癌可能。胃体底部小弯侧壁局限性增厚,形成肿块,最大截面大小约5.7*7.6cm,增强扫描强化较均匀,累及浆膜面,肝胃间隙内周围少量肿大淋巴结,大者约2.7*1.9cm,考虑胃癌可能。


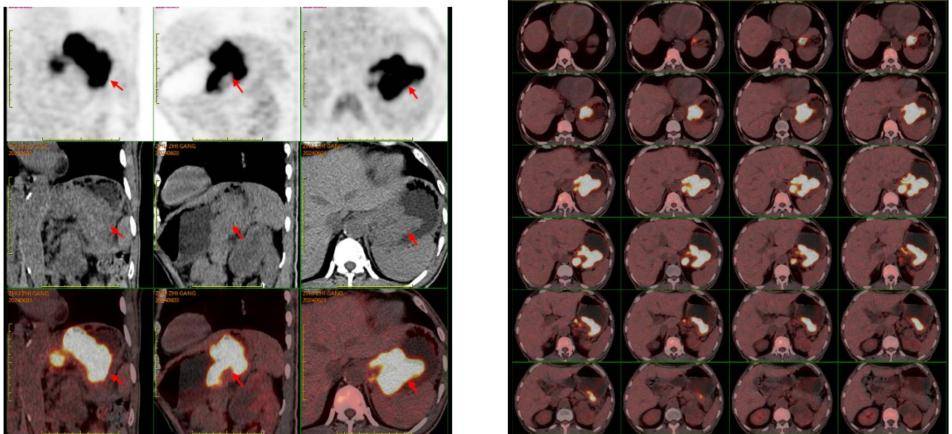
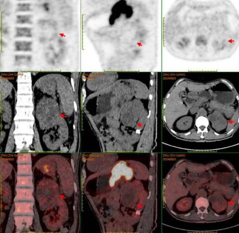
PET/CT:贲门部、胃底部及胃体部胃壁增厚、局部软组织密度肿物形成,葡萄糖代谢增高,考虑恶性可能性大(胃癌?)。肝胃之间多发葡萄糖代谢增高淋巴结,考虑转移可能大。左肾上极混杂密度肿物,内伴钙化及坏死,葡萄糖代谢增高,考虑恶性可能性大(肾癌?)。


胃镜:贲门开闭可,齿状线距门齿40cm,贲门左侧壁见隆起型肿物延伸至胃底,贲门、胃底、胃体上段后壁见巨大肿物,长径约10cm,大小约10*7cm菜花样隆起,中央凹陷溃疡形成,表面覆厚秽苔,易出血,活检4块质糟脆。胃窦、胃角、胃体小弯中下段黏膜粗糙,红白相间以白为主,局部可透见黏膜下血管,胃窦小弯活检1块。

胃镜活检病理:贲门腺癌,中低分化。免疫组化:dMMR,Her-2 (0),EBV-EBER(-),PD-L1 CPS约5,Ki-67 90%。胃窦:中度慢性胃炎,HP(-)。NGS检测:MSS,HRD阳性,TP53、RAD54L、MCL1、FGFR1、CCND1、CCNE1突变。TMB-L (8.25Muts/Mb),MSS。PD-L1(22C3)TPS 3%, CPS 4。
临床诊断:1. 贲门中低分化腺癌 cT4aN+M0 III期;2. 左肾占位(肾癌 cT1N0M0 I期可能性大)。
诊疗经过:经肿瘤内科、胃肠外科、泌尿外科、影像科、消化内科及病理科多学科讨论,考虑贲门癌预后较肾癌差,建议抗肿瘤治疗以贲门癌为主,定期影像学评估左肾占位,必要时手术切除,贲门原发肿瘤大、伴胃周淋巴结转移,为缩瘤、降期,建议优先行术前新辅助治疗,为手术R0切除创造条件。
新辅助治疗:2024年06月20日开始行斯鲁利单抗联合SOX方案(奥沙利铂+替吉奥)治疗4周期。
疗效评估:复查影像学显示贲门胃小弯侧肿瘤、肝胃间隙转移淋巴结及左肾占位均较前缩小。



手术治疗:再次MDT评估新辅助治疗有效,具备手术条件。2024年10月15日行“腹腔镜下近端胃癌根治术+左肾肿瘤根治性切除术”。
术后病理:①近端胃标本提示肿瘤达到pCR,肿瘤退缩分级(TRG)为0级(完全退缩)。②左肾及肾上腺:透明细胞性癌,WHO/ISUP核分级II-III级,脉管内癌栓、神经侵犯(-),肿瘤大小约5.5*5*3.5cm,肾盂肾窦、肾周脂肪及肾上腺未见癌侵及标本病理为透明细胞性肾细胞癌,WHO/ISUP核分级II-III级,分期pT1bN0Mx。
术后辅助治疗:术后1月复查影像学未见肿瘤复发或转移,继续行斯鲁利单抗单药辅助治疗。
随访:患者目前生存状态良好,ECOG评分 0分,每3月影像学检查未见肿瘤复发或转移迹象,EFS 1年。
病例小结
该患者为62岁男性,初诊为双原发恶性肿瘤:局部晚期贲门腺癌(cT4aN+M0)合并左肾癌(cT1bN0M0)。经MDT讨论,针对预后较差且伴周围淋巴结转移的贲门癌,先行新辅助治疗,经过斯鲁利单抗联合SOX方案治疗4周期后,影像学评估贲门肿瘤及周围转移淋巴结显著缩小。患者于2024年10月15日行“腹腔镜下近端胃癌根治术+左肾肿瘤根治性切除术”,术后病理证实贲门癌达pCR,肿瘤退缩分级为0级,淋巴结未见癌转移。术后患者继续接受斯鲁利单抗单药辅助治疗,目前已随访1年,生存状态良好,未见肿瘤复发或转移征象。
专家点评
北京大学国际医院党委书记、执行院长、肿瘤中心主任,北京肿瘤医院大内科副主任,教授、博士生导师
原中国临床肿瘤学会(CSCO)副理事长现指导委员会副主任委员
CSCO抗肿瘤药物安全管理专家委员会主任委员
CSCO胃癌专家委员会副主任委员
中国抗癌协会整合胃癌专家委员会副主任委员
CSCO肝癌专家委员会副主任委员
国家卫生健康委能力建设和继续教育肿瘤学专家委员会副主任委员
中华医学会肿瘤学分会肿瘤内科专家委员会副主任委员
中国医师协会结直肠肿瘤内科治疗专业委员会副主任委员
中国抗癌协会肿瘤姑息和康复专业委员会(CRPC)副主任委员
国家抗癌药物临床应用监测管理与协调委员会副主任委员
中国中药协会肿瘤药物研究专家委员会主任委员
国家卫健委肝癌专家治疗组专家组成员
北京大学国际医院肿瘤科主任医师,医学博士
CSCO胰腺癌专业委员会委员
CSCO临床研究专家委员会委员
中国抗癌协会肉瘤专业委员会委员
中国女医师协会肿瘤专业委员会委员
北京健康促进会肝胆胰肿瘤专业委员会委员
北京肿瘤学会和缓医疗专业委员会委员
北京肿瘤防治研究会消化肿瘤分会委员
北京肿瘤防治研究会肺癌分会委员
梁军教授:双原发恶性肿瘤在临床中发病率低,其治疗决策具有挑战性,需要基于MDT的深度协作,精准判断不同肿瘤的恶性程度和对患者预后的影响,从而制定最优个体化治疗策略。本例患者罹患局部晚期贲门癌与左肾癌,MDT团队果断将预后更差、分期更晚的贲门癌(cT4aN+M0)作为主要治疗目标。针对伴有周围淋巴结转移的贲门癌,基于患者合并PD-L1 CPS 5、HRD阳性的生物标志物特征,采用了斯鲁利单抗联合SOX方案新辅助治疗,旨在利用免疫检查点抑制剂协同化疗的双重作用机制快速诱导肿瘤退缩,使原发肿瘤病灶减小,降低肿瘤分期,消除肿瘤微转移,改善肿瘤相关症状,为手术达到R0切除创造条件。
治疗结果也令人鼓舞,患者通过4周期的新辅助治疗成功接受了R0切除,术后病理贲门癌原发灶及区域淋巴结为pCR。pCR是胃癌围手术期治疗中预测患者长期生存最重要的指标之一,其与更长的无事件生存期(EFS)和总生存期(OS)密切相关,pCR的实现意味着患者的远期复发风险已显著降低。同时,斯鲁利单抗联合SOX方案治疗亦使左肾肿瘤出现了一定程度的缩小,为后续同期根治性切除创造了有利条件。
林莉教授:该病例的成功为围手术期免疫联合化疗策略提供了有力的个案支持。而要证实这一模式的普适性,则有赖于大型III期临床研究的证据。值得注意的是,目前中国首个在胃癌免疫围术期治疗的III期注册临床研究ASTRUM-006研究,已证实斯鲁利单抗联合SOX方案围手术期治疗,对比安慰剂联合SOX方案,在EFS这一主要研究终点上取得了阳性结果,明确降低了患者的复发风险,为围手术期免疫联合化疗策略的应用提供了高级别循证医学证据。
目前该患者已实现1年EFS,并继续接受斯鲁利单抗单药辅助治疗,尤为重要的是,患者在经历了双原发肿瘤的复杂根治性手术后,术后单药免疫辅助治疗耐受性良好,ECOG评分为0分,维持了高水平的生活质量,其长期OS结果值得期待。
该病例的成功诊疗,为双原发恶性肿瘤的治疗提供了宝贵经验:首先,MDT是明确主要矛盾、制定个体化治疗策略的基石;其次,对于具备免疫检查点抑制剂治疗潜在优势的局部晚期胃癌患者,免疫联合化疗显示出有效的缩瘤、降期等疗效;最后,成功的新辅助治疗为复杂病例带来根治性手术的机会,并有望改善患者的远期预后。
责任编辑:肿瘤资讯-Skye
排版编辑:肿瘤资讯-Yael






苏公网安备32059002004080号