您好,欢迎您

降胆固醇药变身抗癌新星!J Hepatol|阿托伐他汀能断肝癌“活路”,联合治疗肿瘤缩小近 6 成

2025年10月31日
来源:生物谷

肝癌,堪称癌症中的 “沉默杀手”——WHO 数据显示,全球每年新增 84.1 万肝癌病例,就有 78.2 万人因它离世,死亡率几乎追平发病率。更可怕的是,它早期几乎没症状,等确诊时大多已到晚期,手术、肝移植这些根治手段基本用不上。目前的靶向药(如仑伐替尼)和免疫治疗(如抗 PD-1),对很多患者来说只是 “缓兵之计”,尤其是那些由代谢功能障碍相关脂肪性肝病(MASLD,也就是常说的非酒精性脂肪肝)发展来的肝癌患者,治疗选择少得可怜,往往确诊后没多久就面临生命终点。

不过最近,《Journal of Hepatology》上发表的一项研究给晚期肝癌患者带来了新希望——来自香港大学李嘉诚医学院的团队发现,咱们常用的降胆固醇药 “阿托伐他汀(atorvastatin)”,居然能 “跨界” 对抗肝癌!更关键的是,它不仅能直接攻击肝癌细胞,还能和现有治疗联用,让疗效翻倍,连最难治的 MASLD 相关肝癌都能搞定。

这篇题为 “Mevalonate pathway promotes liver cancer by suppressing ferroptosis through CoQ10 production and selenocysteine-tRNA modification” 的研究,首次揭开了阿托伐他汀抗癌的秘密:它能切断肝癌细胞的 “代谢补给线”——甲羟戊酸途径,让癌细胞失去抵抗 “铁死亡” 的能力,最终 “自我毁灭”。

1.jpg

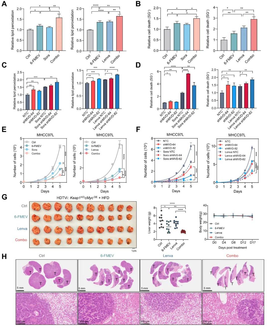
要理解这个机制,得先搞清楚肝癌细胞的 “生存套路”。铁死亡(ferroptosis)是一种特殊的细胞死亡方式,癌细胞会因为细胞膜上的脂质过度氧化而 “崩溃”,但它们有两条 “防护盾” 来抵抗这种死亡:一条是谷胱甘肽 / GPX4 途径,另一条是辅酶 Q10(CoQ10)/FSP1 途径。而甲羟戊酸途径,就是癌细胞合成这两条 “防护盾” 的关键——这条途径里的 MVD 酶(甲羟戊酸二磷酸脱羧酶)会产生一种叫 IPP 的代谢物,IPP 既能作为原料合成 CoQ10,又能修饰硒代半胱氨酸-tRNA(Sec-tRNA [Ser] Sec),帮着合成 GPX4 这种抗铁死亡的关键蛋白。简单说,甲羟戊酸途径就是肝癌细胞的 “生存命脉”,尤其是 MASLD 相关肝癌细胞,对这条途径更依赖。

研究团队先在人类肝癌样本中找到了突破口:他们发现,MVD 在肝癌组织中的表达量比正常肝组织高很多,而且 MVD 表达越高,患者的生存期越短;进一步研究还发现,癌细胞里的 NRF2 蛋白(一种调控氧化应激的关键蛋白)会直接 “激活” MVD 的合成,让甲羟戊酸途径更活跃,帮癌细胞 “加固” 防护盾。为了验证这条途径的重要性,研究人员用基因编辑技术敲除了肝癌细胞中的 TRSP(负责合成硒代半胱氨酸-tRNA 的基因)或 TRIT1(负责修饰 tRNA 的基因),结果发现,癌细胞没法合成 GPX4 了,很快就因为铁死亡而大量死亡,连转移能力都大大下降——在动物模型中,敲除这些基因的肝癌几乎没法在肺部形成转移灶。

既然 MVD 这么关键,那阻断它会怎么样?研究团队用了一种叫 6-FMEV 的 MVD 抑制剂,结果很惊喜:它能显著降低癌细胞中 IPP 和 CoQ10 的含量,还能阻止硒代半胱氨酸-tRNA 的修饰,让 GPX4 的合成 “断供”。这样一来,癌细胞的两条 “防护盾” 全破了,脂质氧化越来越严重,最终被铁死亡 “消灭”。在动物实验里,给患肝癌的小鼠注射 6-FMEV,不仅原发肿瘤长得慢了,连肺部转移都少了很多;就算是吃高脂肪饲料诱导的 MASLD 相关肝癌模型,6-FMEV 也能有效抑制肿瘤生长,而且小鼠体重、肝功能都没受影响,安全性很好。

2.jpg

图:6-FMEV与TKIs协同抑制肝癌

更让人兴奋的是,研究团队还发现了 “老药新用” 的可能——阿托伐他汀。这种药原本是通过抑制甲羟戊酸途径上游的 HMGCR 酶来降胆固醇,没想到它对肝癌也有效:和 6-FMEV 一样,阿托伐他汀能让肝癌细胞里的 IPP、CoQ10 含量下降,GPX4 合成减少,最终诱导铁死亡。在动物模型中,单独给小鼠吃阿托伐他汀,能让肿瘤生长减少 33%;如果和抗 PD-1 免疫药联用,肿瘤重量直接减少近一半(45%);要是和靶向药仑伐替尼(一种酪氨酸激酶抑制剂,TKIs)一起用,效果更惊人——肿瘤缩小了 58%,而且即使是 MASLD 相关肝癌,这种联合方案也照样有效。

“肝癌细胞特别擅长‘找活路’,而甲羟戊酸途径就是它们的关键‘防御工事’。” 研究负责人 Carmen Wong Chak-Lui 教授解释道,“阿托伐他汀能直接拆了这个工事,让癌细胞失去抵抗铁死亡的能力;更妙的是,它还能和现有治疗‘打配合’,既增强疗效,又不用额外承担太多副作用——毕竟阿托伐他汀已经用了几十年,安全性有目共睹。”

这项研究的意义远不止 “发现一种新疗法”:对患者来说,阿托伐他汀价格便宜、容易获取,不用等新药研发;对临床医生来说,它为晚期肝癌,尤其是 MASLD 相关肝癌,提供了全新的联合治疗思路;而对科研领域来说,它首次揭示了甲羟戊酸途径、CoQ10 合成和硒蛋白翻译之间的 “三角关系”,为后续研究打下了基础。

目前,研究团队已经计划推进临床试验,希望尽快把这种疗法带给患者。如果成功,这种 “旧药新用” 的策略,不仅能节省新药研发的时间和成本,更能给那些曾经 “无药可医” 的肝癌患者,尤其是脂肪肝相关肝癌患者,递上一把对抗癌症的 “新武器”!

参考文献

Yiling Chen,Derek Lee,Kenneth Kin-Leung Kwan, et al. Mevalonate pathway promotes liver cancer by suppressing ferroptosis through CoQ10 production and selenocysteine-tRNA modification, Journal of Hepatology (2025). DOI:10.1016/j.jhep.2025.06.034

责任编辑:肿瘤资讯-Skye
排版编辑:肿瘤资讯-as

免责声明
本文仅供专业人士参看,文中内容仅代表生物谷订阅号立场与观点,不代表肿瘤资讯平台意见,且肿瘤资讯并不承担任何连带责任。若有任何侵权问题,请联系删除。

评论
2025年11月02日
阙丽琳
玉林市第一人民医院 | 肿瘤内科
阿托伐他汀抗癌:切断肝癌细胞的 “代谢补给线”——甲羟戊酸途径,让癌细胞失去抵抗 “铁死亡” 的能力,最终 “自我毁灭”。
2025年11月02日
毛玉英
平遥兴康医院 | 肿瘤内科
感谢分享受益匪浅
2025年11月02日
栗小玲
邯郸市第一医院 | 神经内科
好好学习天天向上学习