您好,欢迎您

一例家族性副神经节瘤的MDT诊疗历程

2025年10月26日
来源:陈洁教授MDT团队

家族性副神经节瘤是一种罕见的遗传性神经内分泌肿瘤,其具有恶性潜能和远处转移风险,且药物治疗选择匮乏,临床治疗面临挑战。本文分享一例SDHB基因胚系突变相关的转移性副神经节瘤病例,详细介绍其诊断、多学科讨论及治疗的全过程,旨在探讨家族性副神经节瘤的诊疗策略。

病例介绍

患者基本情况:男性,35岁。

外院诊疗经过:

2021年6月,患者因“腰背疼痛”于外院就诊。CT检查提示盆腔占位。18F-FDG-PET/CT提示盆腔肿块,直径约9.9cm,FDG糖代谢异常升高;同时发现左侧肾上腺肿块、两肺散在大小不等结转移病灶、T7椎体横突骨质破坏,FDG糖代谢均升高。

图片1.png

盆腔肿物穿刺活检病理结果倾向副神经节瘤,Ki-67指数约30%,神经内分泌标记物(如Syn、CgA)阳性。
2021年7月外院给予EP方案化疗1次。

图片2.png

我院诊疗经过:

2021年7月,患者为求进一步诊治至我院。病理会诊提示肿瘤性病变,肾上腺嗜铬细胞瘤/副神经节瘤不能除外,免疫组化CK-,CgA+,Syn+。因无剩余组织,AE1/AE3,INSM1,SDHB,CK,Desmin和S-100均无法评估。

图片3.png

68Ga-DOTANOC-PET/CT提示盆腔囊实性肿块,环形NOC摄取增高,符合副节瘤表现,两肺及骨多发转移,SSTR均为高表达。左肾上腺囊实性密度影,未见NOC摄取增高。

图片4.png

增强MRI提示左侧肾上腺肿块,结合病史,转移可能。

图片5.png

胚系基因检测提示SDHB基因胚系突变。根据基因检测结果,对患者的亲属进行了家系筛查。结果发现其弟弟携带相同的SDHB胚系突变。

图片6.png

治疗方案:综合患者高Ki-67指数(30%)、FDG高糖代谢及多发转移的特征,MDT讨论后决定给予患者Captem方案进行全身治疗。

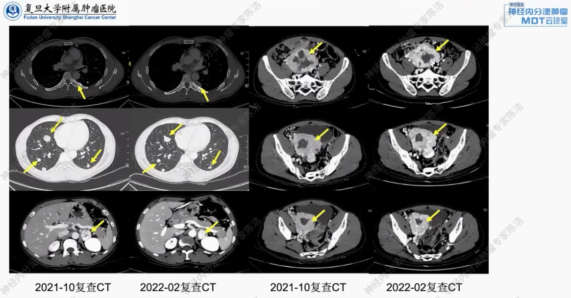
2021年10月复查增强CT,疗效评估为疾病稳定(SD)。继续原方案化疗。

2022年2月再次复查增强CT,疗效评估仍为SD。患者目前仍在此方案维持治疗中。

图片7.png

多学科团队(MDT)讨论

病理科黄丹教授:病理形态学及免疫组化(神经内分泌标记物+、上皮标记物-)可明确本病例为广义神经内分泌肿瘤。副神经节瘤和嗜铬细胞瘤形态相似,均被认为有恶性潜能。对于年轻、多发的患者,SDHB蛋白丢失常提示遗传背景,同时也是预后不良因素,提示高复发转移风险。本病例虽因标本量限制未完成,但胚系基因检测证实该患者SDHB基因突变。

与胃肠胰神经内分泌肿瘤不同,副神经节瘤目前没有一个统一的、基于Ki-67的分级标准。对于这类肿瘤,SDHB免疫组化(或基因检测)是一个明确的预后不良指标,SDHB蛋白丢失(或基因突变)提示肿瘤具有高度复发和转移风险。虽然临床上我们会参考Ki-67(30%算偏高),但其指导意义尚未获得广泛认可。

核医学科徐俊彦教授:本病例的双核素显像呈现了典型的肿瘤异质性。该患者18F-FDG-PET/CT显示盆腔病灶、弥漫性肺转移及左肾上腺结节均为高糖代谢。后续的68Ga-DOTANOC-PET/CT证实盆腔、肺部及肋骨转移灶的SSTR高表达,但左肾上腺病灶却呈SSTR阴性,体现出病灶间的显著异质性。

另外,盆腔、肺、骨的病灶SSTR表达模式一致(高表达),而肾上腺病灶为SSTR低表达。推测这可能是一个多原发性病灶:即患者存在一个盆腔来源的副神经节瘤,并发生了肺和骨转移;同时,患者还有一个原发于左侧肾上腺的嗜铬细胞瘤。

放射诊断科汤伟教授:MRI影像证实左侧肾上腺病灶富血供,符合嗜铬细胞瘤或转移瘤的影像学特征。复查的CT随访评估显示,在Captem化疗期间,无论是盆腔病灶、肾上腺病灶还是肺部转移灶,大小均无明显变化,总体疗效评估为SD。

陈洁教授总结

这个病例充分体现了遗传相关性神经内分泌肿瘤诊疗的复杂性。在病理诊断层面,此类肿瘤缺乏明确的病理分级标准。临床实践中我们会参考Ki-67指数,该患者Ki-67高达30%,结合其活跃的糖代谢,是我们决定直接采用Captem方案的重要依据。其次,关于肿瘤原发灶,在综合影像学专家的意见后,更倾向于认为这是一个多中心起源的病例,而非单一原发灶转移。盆腔本身是副神经节瘤的好发部位,更重要的是,功能影像学显示盆腔、肺及骨骼病灶的SSTR表达模式与肾上腺病灶存在差异。这可能与患者的SDHB基因突变有关,该突变导致了不同部位同时出现原发肿瘤,即盆腔副神经节瘤伴转移,以及一个独立的肾上腺嗜铬细胞瘤。这也提醒我们,副神经节瘤/嗜铬细胞瘤患者有较高比例存在胚系基因突变,需对此类患者进行胚系基因筛查,在确定存在相应基因胚系突变后,对患者亲属进行家系排查。

最后,在治疗策略上,结合副神经节瘤的转移特点,即好发溶骨性骨转移,而少见肝转移,目前给予患者Captem方案以稳定病情。对于后续治疗,可以考虑在化疗进展后应用核素治疗。但需注意,若采用PRRT,需额外处理SSTR阴性的肾上腺病灶。总体而言,转移性副神经节瘤/嗜铬细胞瘤对全身药物治疗的反应普遍不如上皮性神经内分泌肿瘤,疗效常不尽如人意。未来,探索药物与核素治疗的组合模式是亟待研究的方向。

更多精彩病例,可点击或复制以下链接,粘贴到浏览器查看神经内分泌肿瘤MDT云诊室-遗传性神经内分泌肿瘤专场回放:
https://doctor.liangyihui.net/#/doc/90543

版权声明
本文是陈洁版权所有,未经授权请勿转载。
本文仅供健康科普使用,不能作为诊断、治疗的依据,请谨慎参阅。

评论
2025年11月02日
苗雨
清河县人民医院 | 肿瘤内科
家族性副神经节瘤是一种罕见的遗传性神经内分泌肿瘤,其具有恶性潜能和远处转移风险,且药物治疗选择匮乏,临床治疗面临挑战
2025年10月27日
高阳阳
河北医科大学第四医院(河北省肿瘤医院) | 放疗科
好好学习天天向上
2025年10月27日
杨世忠
阳泉市肿瘤防治研究所 | 肿瘤内科
家族性副神经节瘤是一种罕见的遗传性神经内分泌肿瘤