您好,欢迎您

愈见H药丨免疫联合化疗新辅助治疗新突破:一例局部晚期胃癌患者实现病理完全缓解(pCR)

2025年12月17日
整理:肿瘤资讯
来源:肿瘤资讯

胃癌是全球范围内最常见的消化道恶性肿瘤之一,其发病率和死亡率均高居前列。尤其在中国,胃癌疾病负担沉重,多数患者在确诊时已为局部晚期或转移性,治疗棘手,预后不佳。近年来,以PD-1/PD-L1单抗为代表的免疫检查点抑制剂的临床应用改变了晚期胃癌的治疗格局。在此基础上,将免疫治疗前移至围手术期,旨在通过术前降期、清除微小转移灶,从而提高手术切除率(R0切除率)和远期生存率。术后辅助治疗则可以进一步降低术后复发风险,提高患者生存率。这一策略已成为当前胃癌治疗领域的研究热点和极具潜力的发展方向。

《愈见H药》系列专栏深入剖析消化道肿瘤免疫治疗优秀临床病例,分享宝贵临床经验,以期共同推动消化道肿瘤免疫治疗学科发展。本期温州医科大学附属第一医院叶婷婷教授分享一例局部晚期胃癌患者,接受斯鲁利单抗联合SOX方案的新辅助治疗,成功实现了病理完全缓解(pCR)的案例,并邀请温州医科大学附属第一医院张培趁教授进行点评,旨在为临床实践提供参考与启示。

病例分享专家

叶婷婷 教授
主治医师

硕士,主治医师
温州医科大学附属第一医院胃肠外科
浙江省健康科普专家库肿瘤与营养分库成员
温州医科大学附属第一医院胃肠肿瘤多学科讨论( Multi-disciplinary Treatment )MDT秘书
擅长阑尾炎、消化道穿孔、胃肠道出血、疝气、肠梗阻、胃肠道肿瘤的综合治疗等胃肠道相关领域疾病的诊治。

病例介绍

基本情况

患者,男,64岁。

主诉

上腹部隐痛1年余,加重2月。

现病史

患者于2022年6月因上腹部不适加重就诊,行胃镜检查提示胃角、胃窦占位性病变,外院病理活检证实为“胃角、胃窦中分化腺癌”。为求进一步治疗,患者至我院进行住院治疗。

既往史

无特殊。

家族史

否认肿瘤家族史。

入院检查与诊断

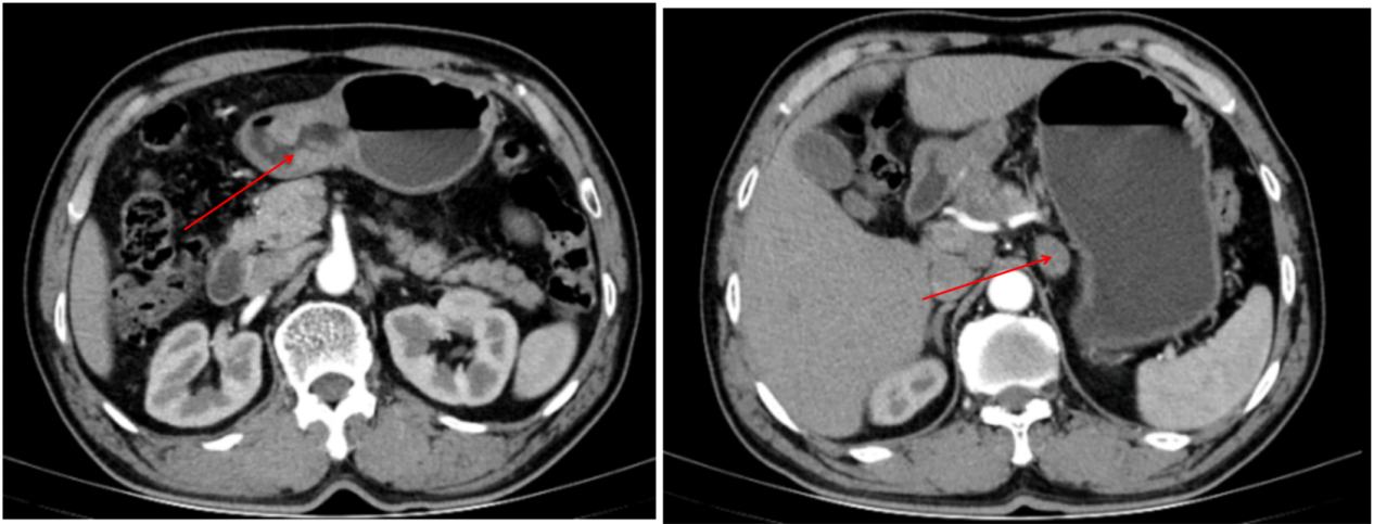
影像学检查(2022年6月13日):腹部CT增强扫描提示,胃部恶性肿瘤,伴胃窦周围淋巴结转移,最大淋巴结短径约22mm。

109.1.png

图1  腹部CT增强结果

免疫组化(2022年7月5日):中心实验室PD-L1检测结果回报:CPS=15。

临床分期及诊断

胃恶性肿瘤(cT3N2M0期);高血压病。

诊疗经过

新辅助治疗:患者于2022年6月14日入住我科,排除相关禁忌,于6月27日、7月19日、8月18日共接受了3个周期的“斯鲁利单抗+奥沙利铂+替吉奥(SOX)”方案新辅助治疗。具体用药为:斯鲁利单抗300mg静脉滴注,奥沙利铂217mg静脉滴注,替吉奥60mg口服(每日两次,连服14天,休7天)。

手术治疗:患者于2022年9月28日行胃癌根治术。

术后辅助治疗:术后为进一步清除体内可能存在的微小残留病灶,巩固疗效,降低远期复发风险,于2022年11月16日开始行斯鲁利单抗单药300mg辅助治疗。共计完成13个周期,末次治疗时间为2023年8月16日。

疗效评估与安全性

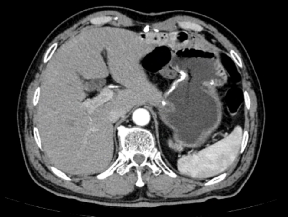
术后病理评估:手术切除标本的病理学检查结果显示,送检组织内未见明确的肿瘤成分残留。肿瘤退缩分级(TRG)评分为TRG 0级,达到了pCR。

109.2.png

图2  术后复查CT

安全性:患者在整个围手术期治疗过程中耐受性良好,未报告与治疗相关的严重不良反应。

随访观察:完成所有治疗后,患者定期返院复查。截至目前,患者一般情况良好,未见明确的肿瘤复发或转移征象。

病例小结

该患者为64岁男性,初诊时明确为局部晚期胃癌(cT3N2M0),伴有显著的区域淋巴结转移。其PD-L1表达为CPS=15,具备应用免疫治疗的良好生物学基础。经过3周期斯鲁利单抗联合SOX方案的术前新辅助治疗后,患者成功接受了胃癌根治术。术后病理提示无肿瘤成分残留,达到pCR。后续继续接受了13个周期的斯鲁利单抗单药辅助治疗以巩固疗效,整个治疗过程安全可耐受。至今的随访结果显示,患者无病生存状态良好,未见复发迹象。

专家点评

张培趁 教授
主任医师

主任医师,硕士学位,在读博士
温州医科大学附属第一医院胃肠外科
学术兼职:第四届浙江省医学会肠外肠内营养学分会委员
第一届温州市医学会肠外肠内营养学分会青年委员副组长
温州市医学会肠外肠内营养学分会秘书

张培趁教授:局部晚期胃癌(LAGC)因其高度的异质性、侵袭性强以及易于发生淋巴结转移的生物学特性,一直是临床肿瘤学领域面临的重大挑战。该患者初诊时临床分期为cT3N2M0,属于典型的局部晚期胃癌,肿瘤负荷大,淋巴结转移广泛,是临床实践中极具挑战性的一类病例。对于这类患者,单纯手术后面临着极高的复发转移风险,因此,高效的新辅助治疗是改善其预后、通往临床治愈的关键一步。

该病例患者PD-L1高表达(CPS=15),而CPS≥10通常被认为是免疫治疗的优势人群,这为将PD-1抑制剂纳入治疗方案提供了坚实的理论依据。斯鲁利单抗联合SOX化疗方案的应用,正是基于对肿瘤免疫微环境和化疗协同作用的深刻理解:化疗在杀伤肿瘤细胞的同时,能够促进肿瘤抗原的释放,从而增强免疫系统对肿瘤的识别和攻击;而斯鲁利单抗则通过解除免疫抑制,为被“激活”的免疫细胞提供持续的战斗力。

这一方案的临床应用价值在大型III期研究中也得到了印证。本例患者也正是入组了目前中国首个在胃癌免疫围手术期治疗的III期注册临床研究——ASTRUM-006研究,该研究目的是为了评估斯鲁利单抗联合化疗对比安慰剂联合化疗新辅助/单药辅助治疗在胃癌围手术期治疗中的临床有效性及安全性。结果显示,该研究已达到主要终点无事件生存期(EFS),这一方案明显改善了患者的EFS,且pCR率是对照组的3倍多,并显著降低了疾病复发风险。

结合该病例,通过3个周期的新辅助治疗及胃癌根治术,患者术后病理证实达pCR,其临床意义十分重大。pCR是公认的预测胃癌患者长期生存的“金标准”之一,它意味着在新辅助治疗阶段,已经最大程度地清除了原发灶和区域淋巴结的肿瘤细胞,为后续根治性手术的成功和患者的长期无病生存奠定了坚实的基础。更重要的是,达到pCR后患者在术后得以豁免辅助化疗,这不仅显著降低了化疗相关的毒副作用,也极大地提升了患者的长期生活质量。

在此基础上,患者后续接受了13个周期的斯鲁利单抗单药辅助治疗,以进一步巩固疗效。并且患者在整个斯鲁利单抗单药维持治疗期间耐受性良好,这充分体现了术后“去化疗”策略不仅可行,且能有效保障患者高水平的生活质量,实现了疗效与安全的双重获益。

总而言之,该病例为PD-L1阳性的局部晚期胃癌患者提供了一个高效且安全的围手术期治疗范例,也是精准医学理念在胃癌围手术期治疗中的一次成功实践。它有力地证明了,对于经过生物标志物筛选的优势人群,以斯鲁利单抗为代表的免疫检查点抑制剂联合化疗的新辅助治疗模式,能够安全、高效地实现肿瘤的降期乃至清除,为局部晚期胃癌患者带来了更多治愈希望。这一案例也提示,在未来的临床工作中,应更积极地推动分子检测前移,从而为更多患者“量体裁衣”,制定出最优化的个体化综合治疗策略。

责任编辑:肿瘤资讯-Skye
排版编辑:肿瘤资讯-zly

版权声明
版权归肿瘤资讯所有。欢迎个人转发分享,其他任何媒体、网站如需转载或引用本网版权所有内容,须获得授权,且在醒目位置处注明“转自:良医汇-肿瘤医生APP”。

评论
2025年12月18日
刘海燕
丹东市人民医院 | 肿瘤内科
局部晚期胃癌(LAGC)因其高度的异质性、侵袭性强以及易于发生淋巴结转移的生物学特性