您好,欢迎您

研究者说丨一例瑞派替尼用于伊马替尼治疗进展后的十二指肠GIST新辅助治疗的病例分享

2025年10月10日

整理:肿瘤资讯

来源:肿瘤资讯


病例点评:中国医学科学院肿瘤医院胰胃外科 钟宇新教授

本文展示了一例KIT exon11突变的十二指肠间质瘤患者,在面对伊马替尼新辅助治疗进展后,通过换用瑞派替尼成功实现肿瘤控制、保器官R0切除和良好术后恢复的诊疗过程,为瑞派替尼用于新辅助治疗提供了有力佐证,也为临床处理类似难治性病例提供了宝贵的实践经验。



专家简介

钟宇新 教授

中国医学科学院肿瘤医院胰胃外科主任医师,医学博士

  • 哈佛大学医学院访问学者

  • 欧美同学会留美医学委员会副主任委员

  • 中国老年保健协会养老与健康专委会副主任委员、秘书长

  • 中国人口文化促进会肿瘤患者关爱工作委员会副主委兼副秘书长

  • 中国老年保健协会基层健康教育与科普分会副主任委员

  • 中国临床肿瘤协会(CSCO)胃肠间质瘤专家委员会委员

  • 中国抗癌协会(CACA)胃肠间质瘤专业委员会委员

  • 中国医师协会肿瘤医师分会多原发/不明原发灶肿瘤学组组员

  • 中国医药教育协会腹部肿瘤专业委员会常务委员

  • 北京抗癌协会肿瘤科普专委会副主任委员

  • 北京医师协会腹膜后肿瘤专科医师分会常务理事

  • 北京市胃癌质控专家委员会常务委员

  • 北京整合医学学会胃肠外科分会常委






病例点评




钟宇新教授点评





病例简介



基本情况


男性,70岁,2024年1月于外院诊断为十二指肠间质瘤,伊马替尼治疗1年余,肿瘤进展伴间断性右上腹疼痛1月。无高血压、糖尿病、心脏病史。个人史、婚育史、家族史无特殊。超声内镜活检显示符合胃肠道间质瘤(GIST)。


2024年1月肿瘤组织免疫组化:CD117(+); Dog-1(+);CD34(-);SMA(-): 

h-caldesmon(-);SOX10(-);Ki-67(+5%)。基因检测显示KIT exon11突变。


治疗经过


1

伊马替尼治疗10个月,病灶进展

2024.1患者首诊医院认为手术难度较高,因此并未进行手术切除,而是先给予伊马替尼治疗。


2024.2开始服用伊马替尼400mg QD;


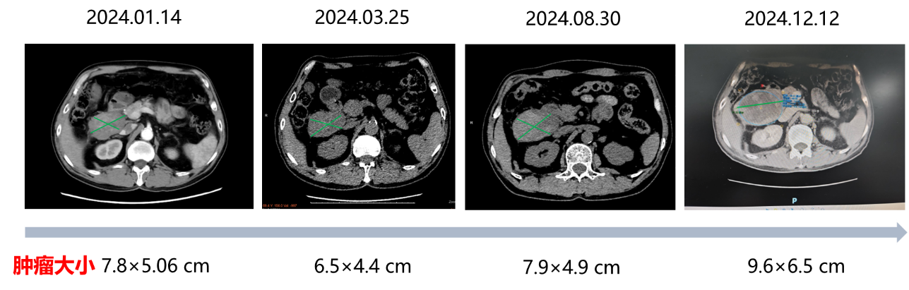
2024.03.25伊马替尼治疗约1个月,外院CT提示肿瘤大小由7.8cm×5.06cm缩小至6.5cm×4.4cm;


2024.08.30伊马替尼治疗约6个月,外院CT提示肿瘤增大至7.9cm×4.9cm;


2024.12.12伊马替尼治疗约10个月,我院CT提示肿瘤进一步增大至9.6cm×6.5cm,评效为疾病进展(PD)

服用伊马替尼400mg QD 10个月复查结果


2

瑞派替尼治疗6个月,病灶稳定

2024.12患者转入我院,经重新评估后认为病灶可切除,但因肿瘤巨大且位于十二指肠降部,直接手术风险较高,因此考虑换用TKI继续新辅助治疗,以争取更有利的手术条件。考虑到瑞派替尼对于KIT exon11突变GIST更具疗效优势,且安全性较好,因此选用瑞派替尼。


2025.1.6开始服用瑞派替尼150mg QD;


2025.03.04瑞派替尼治疗近2个月,我院CT提示肿瘤最大径约10.2cm,疾病稳定(SD)


2025.04.15瑞派替尼治疗3个月,我院CT提示肿瘤直径约10.3cm,SD


2025.07.11瑞派替尼治疗6个月,我院CT提示肿瘤最大截面约11.0cm×8.7cm,SD。 

服用瑞派替尼150mg QD 6个月复查结果


3

手术治疗

2025年7月29日,全麻下行十二指肠间质瘤切除+胆囊切除+胃空肠吻合术。术中见肿瘤位于十二指肠球降交界外侧壁(13cm×10 cm),呈囊实性;与胆囊粘连紧密,未见腹腔转移灶,行R0切除;


术后病理肉眼可见肿物大小为11cm×9.5cm×6.5cm,中心可见大片出血、坏死及纤维化(占比约80%),伴炎细胞浸润,边缘可见梭形肿瘤细胞,伴重度治疗反应。肿瘤核分裂象0~1个/2mm2,高危。基因检测结果显示KIT exon11和GNAS exon8突变。术后6天患者顺利出院,目前使用伊马替尼辅助治疗。

专家点评


钟宇新教授:

本病例为一KIT exon11突变的十二指肠间质瘤患者,初诊时肿瘤直径近8cm,患者首诊医院认为手术难度较高,因此并未进行手术切除,而是给予患者伊马替尼400mg QD治疗,初期肿瘤略缩小,但治疗6个月时增大,10个月后出现明确进展,肿瘤增大至9.6cm,提示伊马替尼疗效已达瓶颈,且出现原发耐药倾向,印证了伊马替尼在某些患者中的疗效局限性。


患者转入我院后,我中心经重新评估认为患者病灶具备手术切除条件,但是由于肿瘤巨大且位于十二指肠降部,直接手术有可能需行胰十二指肠切除术,创伤大、术后并发症风险高,且将影响后续辅助治疗时机与患者生活质量。 因此,我们决定先不急于手术,而是停用伊马替尼,改用瑞派替尼150mg QD继续新辅助治疗,目标为控制肿瘤生物学行为、降低手术风险、争取器官保留式R0切除。


瑞派替尼作为新型“开关控制”型TKI,可广泛抑制KIT/PDGFRA的各种原发和继发突变,尤其针对伊马替尼失败的KIT exon11突变人群,无论是III期INTRIGUE研究还是中国二线桥接研究,均显示瑞派替尼相比舒尼替尼更具治疗优势,且不良反应发生率更低,因此更有可能为患者创造有利的手术条件。


本例患者接受瑞派替尼7个月后,肿瘤由9.6cm缓慢增至11 cm,虽未达部分缓解(PR),但实现SD,成功遏制了肿瘤在伊马替尼治疗下的持续进展态势,为局部切除赢得了窗口期。更关键的是,术后病理显示肿瘤大片坏死、纤维化占比高达80%,仅边缘残留少量活性细胞,表明瑞派替尼虽未实现显著缩瘤,但诱导了强烈的治疗反应,有效控制了肿瘤生物学行为。这一发现也提示了对于GIST新辅助治疗的疗效评估,除了缩瘤外,同时也需关注疾病控制和病理缓解程度。最终患者成功接受了高难度十二指肠节段切除+胆囊切除+胃空肠吻合术,避免了胰十二指肠切除术,实现了器官保留目标,且术后病理证实为R0切除,患者恢复顺利,未见并发症,印证了瑞派替尼的整体安全性良好,以及在新辅助阶段的转化潜力。目前患者使用伊马替尼辅助治疗,进入规范随访阶段。


本病例为伊马替尼进展的KIT exon11突变GIST患者提供了重要临床启示:首先,在面对伊马替尼耐药或疗效不佳时,应及时调整治疗策略,充分发挥靶向治疗优势,为患者争取最佳手术时机,而瑞派替尼可以作为一种有效的新辅助治疗选择;其次,新辅助治疗的目标不仅是“缩瘤”,更在于创造手术机会、提高器官保留概率、降低术后并发症的发生率,从而提高患者的生活质量;最后,术后辅助治疗策略的选择,特别是对于术前已明确对瑞派替尼敏感的患者,是继续采用已证实有效的瑞派替尼,还是按照指南推荐使用伊马替尼——尽管患者在新辅助治疗阶段已出现伊马替尼耐药及肿瘤进展——这一问题有待更深入的研究和探讨。


综上,本病例为瑞派替尼用于新辅助治疗提供了宝贵的实践经验,尤其针对十二指肠GIST这一具有挑战性的特殊部位间质瘤,未来需更多研究探索其在新辅助治疗中的最佳时机和疗程,以优化高危GIST患者的全程管理。

*以上信息涉及尚未在中国获批的产品/适应症。此信息仅作信息分享用途,不应被理解为这些产品/适应症在中国获批或注册。


相关文章回顾(点击可查看详情):

1.研究者说丨一例瑞派替尼联合放疗治疗多线耐药晚期GIST患者的病例分享

2.研究者说丨瑞派替尼逆转GIST耐药、实现手术转化:三例晚期小肠GIST病例分享

3.研究者说|瑞派替尼进展后的治疗策略选择-真实世界数据

责任编辑:肿瘤资讯-Linda
排版编辑:肿瘤资讯-Shiro
版权声明
版权归肿瘤资讯所有。欢迎个人转发分享,其他任何媒体、网站如需转载或引用本网版权所有内容,须获得授权,且在醒目位置处注明“转自:良医汇-肿瘤医生APP”。

内容icon,所有都放.jpg

评论
2025年10月14日
黄琴
江西省肿瘤医院 | 肿瘤内科
,在面对伊马替尼耐药或疗效不佳时,应及时调整治疗策略,充分发挥靶向治疗优势,为患者争取最佳手术时机,而瑞派替尼可以作为一种有效的新辅助治疗选择;其次,新辅助治疗的目标不仅是“缩瘤”,更在于创造手术机会、提高器官保留概率、降低术后并发症的发生率,从而提高患者的生活质量;
2025年10月12日
马利平
河南省肿瘤医院 | 放疗科
伊马替尼耐药或疗效不佳时,应及时调整治疗策略
2025年10月12日
李刚
梧州市红十字会医院 | 肿瘤内科
瑞派替尼作为新型“开关控制”型TKI,可广泛抑制KIT/PDGFRA的各种原发和继发突变。