您好,欢迎您

愈见H药丨斯鲁利单抗联合SOX方案新辅助治疗cT4N2M0期胃癌患者达MPR

2025年11月25日
整理:肿瘤资讯
来源:肿瘤资讯

胃癌是全球范围内最常见的消化道恶性肿瘤之一,其发病率和死亡率均高居前列。尤其在中国,胃癌疾病负担沉重,多数患者在确诊时已属局部晚期或发生远处转移,治疗棘手,预后不佳。近年来,以PD-1/PD-L1抑制剂为代表的免疫检查点抑制剂深刻地改变了晚期胃癌的治疗格局。在此基础上,将免疫治疗前移至围手术期阶段,旨在通过术前降期、清除微小转移灶,从而提高手术切除率(R0切除率)和远期生存率,术后辅助治疗可以进一步降低术后复发风险,提高患者生存率,已成为当前胃癌治疗领域的研究热点和极具潜力的发展方向。《愈见H药》系列专栏深入剖析消化道肿瘤免疫治疗优秀临床病例,分享宝贵临床经验,以期共同推动消化道肿瘤免疫治疗学科发展。本期天津市肿瘤医院孙伟林教授分享一例局部晚期胃癌(cT4N2M0)患者,通过斯鲁利单抗联合SOX方案的新辅助治疗,成功实现肿瘤降期并达到主要病理学缓解(MPR),为后续根治性手术创造了良好条件,并邀请到天津市肿瘤医院詹宏杰教授进行点评。

病例分享专家

孙伟林 教授
胃部肿瘤科医师

天津市肿瘤医院,胃部肿瘤科医师
天津医科大学讲师
天津医科大学 硕士生导师
主持国家自然基金青年项目1项
主持天津市自然科学基金1项
主持天津市教委(自然科学基金)一般项目1项
入选天津市肿瘤医院树人计划卓越人才
天津市抗癌协会胃癌专委会秘书
以第一作者发表SCI累计影响因子达30分

病例介绍

基本情况

患者,男,53岁。

主诉

进食后上腹隐痛不适伴恶心2周。

现病史

患者于2023年9月出现上腹部不适,伴有恶心、反酸。外院腹部CT(2023年8月24日)示:胃体大弯侧见巨大肿物,胃壁增厚;肝门区占位,考虑淋巴结转移。我院胃镜检查(2023年8月31日)示:1、胃窦溃疡浸润性病变;2、胃体下部溃疡隆起型病变。病理活检(2023年9月3日)回报:胃窦、胃体低分化腺癌。免疫组化:PD-L1 CPS评分为5。

既往史及家族史

无特殊。

辅助检查

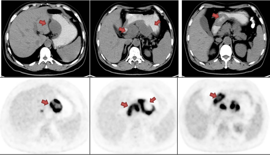
PET-CT(2023年9月):胃体及胃窦巨大占位,并提示广泛淋巴结转移。

930.7.png

图1 2023年9月PET-CT结果

临床分期

cT4N2M0。

诊疗经过

经医院多学科团队(MDT)综合评估,认为患者肿瘤分期晚,负荷大,直接手术切除难度高,且术后复发风险极大。为寻求更佳的治疗效果,建议并征得患者知情同意后,入组一项“斯鲁利单抗联合化疗用于可切除局部晚期胃/胃食管结合部腺癌围手术期治疗的疗效及安全性”的前瞻性、开放标签、单臂、II期临床试验。

新辅助治疗方案

于2023年9月至12月,接受了斯鲁利单抗联合SOX方案(奥沙利铂+替吉奥)的新辅助治疗,共完成3个周期。

疗效评估

完成3周期新辅助治疗后(2023年12月),复查影像学评估,临床分期降至ycT1-3N0M0。

930.8.png

图2 完成3周期新辅助治疗后疗效评估

手术治疗

患者于2023年12月接受了全胃切除+D2淋巴结清扫术。术中探查见胃体胃窦弥漫性肿物,大小7*6cm,胃周6、8a、12a区可见淋巴结融合成团,部分与周围组织粘连。

术后病理

可见少量低分化腺癌残留,侵犯黏膜下层(ypT1b),周围腺体呈现低级别上皮内瘤变;局部可见较多淋巴细胞浸润。区域淋巴结未见明显转移:6区(0/3);8a区(0/4);12a区(0/5)。病理分期:ypT1bN0M0,I期。肿瘤退缩分级(TRG):1级。免疫组化:MLH1(+),PMS2(+),MSH2(+),MSH6(+),HER2(1+)。

术后辅助治疗

术后于2024年1月至5月,继续接受了5个周期的斯鲁利单抗联合SOX方案辅助治疗。

维持治疗

2024年6月至今 ,现单免维持治疗23个周期,目前仍在继续单免维持治疗。

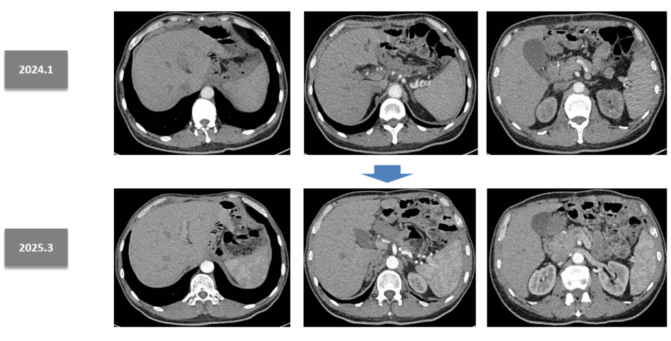
930.9.png

图3 2024年1月、2025年3月复查结果

930.10.png

图4 肿瘤标志物

随访

患者目前生存状态良好,肿瘤标志物水平在治疗后持续下降并维持在正常范围,未见肿瘤复发或转移迹象。

病例小结

该患者为53岁男性,初诊为局部晚期胃癌(cT4N2M0),接受斯鲁利单抗联合SOX方案新辅助治疗3周期后,肿瘤显著退缩,为手术创造了良好条件。患者于2023年12月接受了全胃切除+D2淋巴结清扫术,术后病理证实肿瘤实现MPR,病理分期为ypT1bN0M0(TRG 1级)。术后患者继续接受了5个周期的斯鲁利单抗联合SOX方案辅助治疗,目前继续斯鲁利单抗单药免疫维持治疗,患者目前生存状态良好,肿瘤标志物水平在治疗后持续下降并维持在正常范围,未见肿瘤复发或转移迹象。

930.11.png

图5 病例小结

专家点评

詹宏杰 教授
副主任医师

医学博士
天津市肿瘤医院胃部肿瘤科副主任医师
肿瘤转化医学科普专委会常务委员
天津市抗癌协会胃癌专业委员会第二届委员会常务委员
天津市抗癌协会老年肿瘤专业委员会委员
天津市抗衰老学会肿瘤专业委员会委员
中国抗癌协会胃肠间质瘤专委会MDT学组组员

詹宏杰教授:局部晚期胃癌(LAGC)因其侵袭性强、易于发生淋巴结转移的特点,成为临床治疗的重点与难点。尽管根治性手术是其核心治疗手段,但对于cT4或N2-3期的患者而言,单纯手术的R0切除率不甚理想,且术后复发转移风险极高,严重影响患者的长期生存。因此,以新辅助治疗为核心的围手术期综合治疗模式,已成为改善这类患者预后的关键策略。

近年来,随着免疫检查点抑制剂在晚期胃癌治疗中取得突破,将其治疗模式前移至新辅助阶段,与化疗联合,以期达到缩瘤降期的目的,是当前胃癌领域最具潜力的探索方向。

此前已有多项临床研究均观察到了新辅助化疗联合免疫治疗具有有效的缩瘤降期作用,为其在围手术期应用奠定了坚实的理论基础。目前中国首个在胃癌免疫围术期治疗的III期注册临床研究ASTRUM-006研究已达到主要研究终点无事件生存期(EFS),显著降低了疾病复发风险。该病例为斯鲁利单抗联合化疗在胃癌新辅助治疗中提供了有力印证,也让人更加期待ASTRUM-006研究的最终结果。

结合本例患者初诊时临床分期为cT4N2M0,肿瘤负荷大,尤其是存在融合成团的区域淋巴结,手术难度极大。免疫组化示PD-L1 CPS评分为5,提示可能对免疫治疗敏感。通过入组临床研究,接受斯鲁利单抗联合SOX方案的新辅助治疗,仅仅治疗3个周期后,就实现了肿瘤的显著退缩,临床分期降低,为后续的根治性手术创造了良好条件。更具临床意义的是,术后病理评估为ypT1bN0M0,TRG分级为1级,达到MPR,是预测患者远期良好预后的关键指标。此外,术后患者继续接受5个周期的斯鲁利单抗联合SOX方案辅助治疗,后续再继续接受斯鲁利单抗单药维持治疗,截止报道前已经持续治疗了23个周期的免疫单药治疗,治疗期间耐受性良好,随访期间肿瘤标志物持续维持在正常范围,未见复发或转移,患者目前处于无瘤生存状态,也极大地提升了患者的长期生活质量。该病例的成功治疗,充分验证了斯鲁利单抗联合SOX方案新辅助治疗在局部晚期胃癌中的强大抗肿瘤活性和可控的安全性。它为临床分期晚、肿瘤负荷重的患者提供了一个高效的治疗选择,有望将更多原本难以手术或预后极差的患者带向临床治愈的道路。

责任编辑:肿瘤资讯-Skye
排版编辑:肿瘤资讯-zly

版权声明
版权归肿瘤资讯所有。欢迎个人转发分享,其他任何媒体、网站如需转载或引用本网版权所有内容,须获得授权,且在醒目位置处注明“转自:良医汇-肿瘤医生APP”。