您好,欢迎您

愈见H药丨胃癌治疗新突破!斯鲁利单抗围术期治疗,成功助力局部晚期胃癌患者实现pCR,降低复发可能,提升患者生活质量!

2025年11月10日
整理:肿瘤资讯
来源:肿瘤资讯

胃癌是全球范围内最常见的消化道恶性肿瘤之一,其发病率和死亡率均高居前列。尤其在中国,胃癌疾病负担沉重,多数患者在确诊时已属局部晚期或发生远处转移,治疗棘手,预后不佳。近年来,以PD-1/PD-L1抑制剂为代表的免疫检查点抑制剂深刻地改变了晚期胃癌的治疗格局。在此基础上,将免疫治疗前移至围手术期,旨在通过术前降期、清除微小转移灶,从而提高手术切除率(R0切除率),术后辅助治疗进一步降低术后复发风险,提高患者生存率,已成为当前胃癌治疗领域的研究热点和极具潜力的发展方向。《愈见H药》系列专栏深入剖析消化道肿瘤免疫治疗优秀临床病例,分享宝贵临床经验,以期共同推动消化道肿瘤免疫治疗学科发展。本期浙江大学医学院附属第一医院阮佳莹医生分享一例局部晚期胃癌患者,接受斯鲁利单抗联合SOX方案的新辅助治疗3周期后,行贲门癌根治术,术后病理提示成功实现病理完全缓解(pCR)的案例,并邀请浙江大学医学院附属第一医院俞雄飞教授进行点评。

病例分享专家

阮佳莹 教授
主治医师

医学硕士
浙江大学医学院附属第一医院肿瘤外科
主要研究方向:胃肠道肿瘤、甲状腺肿瘤
专业领域:胃肠道肿瘤、甲状腺疾病的规范化外科诊疗,专注于胃肠道及甲状腺良恶性肿瘤的精细化手术

病例介绍

基本情况

患者,男,60岁。

主诉

体检发现胃肿瘤物半月。

现病史

患者于2023年7月体检时发现胃体占位性病变。外院胃镜活检病理提示:低分化腺癌,伴间质大量浆细胞浸润。患者平素无恶心、呕吐、腹胀等不适。患者为求进一步诊治,遂来我院进行住院治疗。

查体

无特殊。

既往史

无特殊。

个人史及家族史

否认肿瘤家族史。

辅助检查

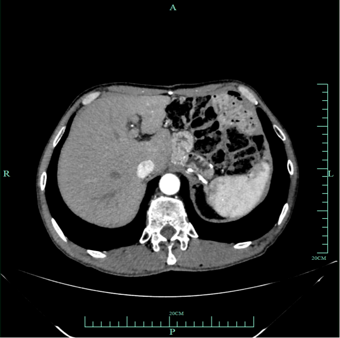
CT检查(2023年6月25日):胃贲门部胃癌,病灶累及范围约4.6cm。

930.3.png

图1 CT检查结果

免疫组化(2023年7月5日):中心实验室PD-L1检测结果回报:CPS=15。

临床分期及诊断

1.胃癌(cT4N1M0期);2.背囊肿;3.高脂血症。

诊疗经过

·新辅助治疗:患者于2023年7月6日入院,经评估无相关禁忌后,分别于7月12日、8月1日、8月22日接受了3个周期的“斯鲁利单抗+奥沙利铂+替吉奥(SOX)”方案新辅助治疗。具体用药为:斯鲁利单抗300mg静脉滴注,奥沙利铂130mg/m2静脉滴注,替吉奥60mg口服(每日两次,连服14天)。

·手术治疗:完成3周期新辅助治疗后,患者于2023年9月27日接受了贲门癌根治术。

·术后辅助治疗:术后自2023年11月3日起,继续斯鲁利单抗单药治疗,并持续至2024年10月7日,共计17周期。

疗效评估

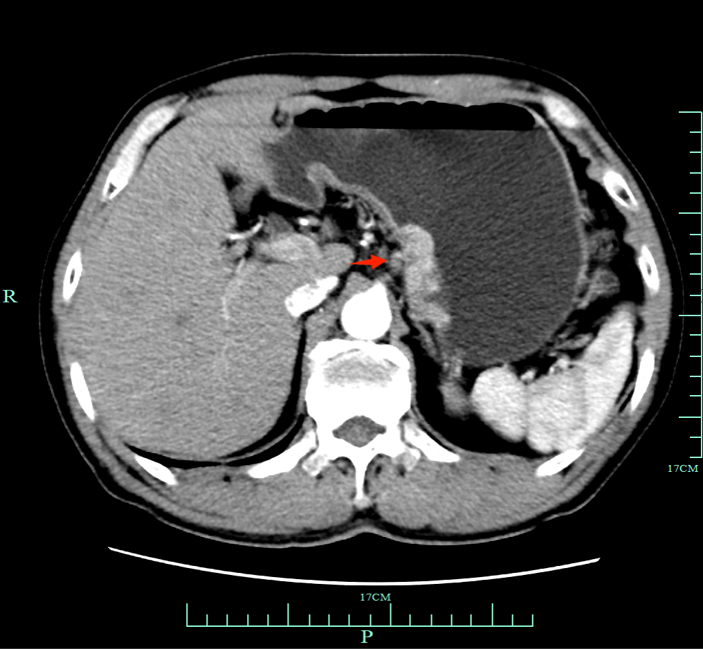
·术后病理:送检组织未见明确肿瘤成分残留,达到pCR。肿瘤退缩分级(TRG评分)为TRG 0级,Becker分级为Grade 1a。

930.4.png

图2 复查CT结果

·安全性:患者在整个治疗过程中耐受性良好,无明显不良反应。

病例小结

该患者为60岁男性,初诊为局部晚期胃癌(cT4N1M0),PD-L1表达CPS=15。经过“斯鲁利单抗+SOX方案”术前新辅助治疗3周期后,接受了贲门癌根治术。术后病理证实无肿瘤成分残留,达到pCR。后续继续接受斯鲁利单抗单药治疗17周期,治疗期间患者耐受性良好,至今无复发转移迹象。

专家点评

俞雄飞 教授
副主任医师

浙大一院肿瘤外科行政副主任 副主任医师
中国抗癌协会肿瘤营养与治疗委员会青年委员
中国医师协会外科医师分会胃肠间质瘤委员会青年委员
中国研究型医院学会分子肿瘤与免疫治疗专业委员会委员
浙江省抗癌协会肿瘤营养与支持治疗专业委员会兼秘书
浙江省数理医学会胃癌专业委员会常务委员
浙江省抗癌协会肿瘤营养与支持治疗专业青年委员会副主任委员
浙江省医学会肿瘤分会胃癌学组委员
浙江省医学会肿瘤分会青年委员会副主任委员
浙江省抗癌协会胃癌外科学组青年委员
中国抗癌协会肿瘤营养与治疗委员会青年委员
浙江省抗癌协会康复与姑息专业委员会委员

俞雄飞教授:局部晚期胃癌(LAGC)因其侵袭性强、易于发生淋巴结转移,成为临床治疗的重点与难点。本例患者初诊临床分期为cT4N1M0,肿瘤侵犯浆膜层且伴有淋巴结转移,若直接手术,不仅根治性切除难度高,术后也极有可能因腹腔内微小种植或循环肿瘤细胞残留而导致快速复发。对于这类患者,以新辅助治疗为核心的围手术期综合治疗模式,已成为改善这类患者预后的关键策略,其核心价值在于术前降期减负,清除微转移灶,为实现R0切除创造条件,并从源头降低术后复发风险。

目前新辅助化疗已成为局部进展期胃癌的重要治疗策略,但其带来的pCR率仍有瓶颈,通常在10%~15%左右。如何进一步提升疗效,是领域内探索的重点。以PD-1抑制剂为代表的免疫检查点抑制剂的出现,为围手术期治疗带来了革命性的突破。PD-1抑制剂(如本例中使用的斯鲁利单抗)能够重新激活患者自身的T淋巴细胞,使其识别并攻击肿瘤细胞。而化疗(SOX方案)在直接杀伤肿瘤细胞的同时,能够诱导肿瘤细胞释放新抗原,增加肿瘤微环境中的免疫细胞浸润,并可能上调肿瘤细胞的PD-L1表达。这种“化疗增敏、免疫增效”的协同作用机制,使得“免疫+化疗”联合方案的抗肿瘤活性远超单纯化疗或免疫治疗,该联合策略在胃癌新辅助治疗中颇具应用潜力。而在术后继续进行辅助免疫治疗,有助于持续激活免疫系统,清除体内可能残存的微小病灶,建立长期的免疫记忆和监视,从而有效预防肿瘤的远期复发。

当前,这一围术期联合治疗模式的强大疗效和安全性正在大型临床研究中得到验证。 例如目前中国首个在胃癌免疫围术期治疗的III期注册临床研究ASTRUM-006研究,该方案不仅使pCR率提升至对照组的3倍多,更带来了无事件生存期(EFS)的显著改善,达到了研究的主要终点,这明确意味着患者的疾病复发风险降低。值得一提的是,ASTRUM-006研究创新性地在辅助治疗阶段采用“免化疗”的斯鲁利单抗单药治疗策略。该方案在确保疗效的同时,有效规避了传统化疗相关毒性,大大提升了患者的耐受性及生活质量,有望为临床实践提供全新选择。这也让我们对斯鲁利单抗在胃癌围手术期治疗中的应用前景充满期待。

结合本例患者初诊时临床分期为cT4N1M0,属于局部晚期,具有较高的复发风险。且其PD-L1 CPS评分为15,提示其可能对免疫治疗有较好的应答。基于此,选择了斯鲁利单抗联合SOX方案进行新辅助治疗,治疗3周期后行根治性手术,术后病理达pCR,这不仅是肿瘤对治疗方案极度敏感的直接体现,更是一个强有力的、预示患者长期良好预后的替代终点。这一成功案例有力验证了“免疫+化疗”新辅助方案在PD-L1阳性的局部晚期胃癌中的强大抗肿瘤活性和可控的安全性。这提示对于类似临床分期较晚、有潜在治愈机会的患者,应积极进行分子标志物检测(如PD-L1),并在条件允许时,果断采用以免疫为核心的联合新辅助治疗策略,为患者争取更多治愈机会。

责任编辑:肿瘤资讯-Skye
排版编辑:肿瘤资讯-zly

版权声明
版权归肿瘤资讯所有。欢迎个人转发分享,其他任何媒体、网站如需转载或引用本网版权所有内容,须获得授权,且在醒目位置处注明“转自:良医汇-肿瘤医生APP”。

评论
2025年11月11日
舒颖
广东省人民医院赣州医院 | 肿瘤内科
胃癌是全球范围内最常见的消化道恶性肿瘤之一,其发病率和死亡率均高居前列。尤其在中国,胃癌疾病负担沉重,多数患者在确诊时已属局部晚期或发生远处转移,治疗棘手,预后不佳。
2025年11月11日
龙桂华
柳州市柳铁中心医院 | 药剂科
斯鲁利单抗围术期治疗,成功助力局部晚期胃癌患者实现pCR,降低复发可能,提升患者生活质量!
2025年11月11日
李明德
阳谷县七级镇中心卫生院 | 中西医结合科
这是个比较安全有意义的信号!