您好,欢迎您

Gut:北京协和医院杜顺达团队利用 TCR-T 疗法治疗晚期肝癌,实现 27 个月无进展

2025年09月27日
来源:丁香学术

乙型肝炎病毒 (HBV) 感染是肝细胞癌(HCC)发生的重要病原学及疾病进展因素。世界卫生组织估算全球有约 2.96 亿慢性 HBV 感染者,全球每年约有 82 万人死于 HBV 感染相关疾病,其中 HBV 相关肝硬化和 HCC 死亡分别占 52% 和 38%。2018 年数据 [1] 显示,中国大陆由于 HBV 感染造成的 HCC 新发病例高 250000 例,占全球 HBV 感染造成的肝癌新发病例的 69%。

目前,HBV 相关肝细胞癌(HCC)的治疗手段主要有手术切除、肝移植、局部治疗(如 TACE、消融)和系统性治疗(包括靶向药物和免疫检查点抑制剂)相结合的综合模式。近年来,尤其是细胞免疫疗法如 TCR-T 治疗取得了令人瞩目的进展,为晚期患者带来了新希望。

2025 年 8 月 22 日,国际权威胃肠肝病学领域顶级期刊 Gut 上发表了北京协和医院肝脏外科主任杜顺达团队联合国内外多家机构开展的一项多中心干预性试验结果,[2] 题为「Clinical results of an HBV-specific T-cell receptor-T-cell therapy (SCG101) in patients with HBV-related hepatocellular carcinoma treated in an investigator-initiated, interventional trial」[2] 该研究采用乙肝表面抗原特异性 T 细胞受体疗法治疗乙肝肝癌晚期患者,证明该疗法兼具抗病毒与抗肿瘤活性,安全可控,为患者带来长期生存的希望。

31.jpg

图:研究设计

该研究共纳入 6 例晚期 HBV 相关肝癌患者,并且这些患者都接受过多线治疗失败,此次试验,这些患者接受 TCR-T 细胞疗法(SCG101)单药治疗,剂量分别为 5×10或 1×10TCR-T 细胞/kg。

该研究的中位随访时间为 10.9 个月。其中,3 例患者因疾病进展死亡;另外 3 例患者的瘤体分别缩小 100%、74.6%、19.5%,其中 1 例患者靶病灶达到完全缓解,27 个月内无进展,仍在随访观察中;

图:靶病灶直径同基线之比

图:肿瘤缓解情况

同时,研究发现经 TCR-T 细胞治疗 2 周内,患者血清乙肝表面抗原中位水平下降超 98%。

34.jpg

图:乙肝表面抗原(HBsAg)情况

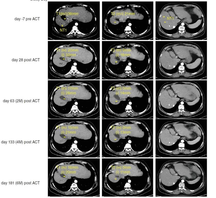
其实,杜顺达教授团队去年就发表了关于 TCR-T 细胞疗法(SCG101)的临床研究成果。[3] 一名 54 岁、无法手术的晚期 [中国肝癌(CNLC)分类 IIb 期] 乙肝相关肝癌(HBV-HCC)患者接受了单剂 SCG101,并持续随访 6.9 个月。

35.jpg

图:「黄色」表示:mRECIST(m) 或 iRECIST(i) 中,靶 (T) 病变 1 号和 2 号的大小,以及非靶 (NT) 病变的位置。

输注后第 28 天,就观察到大面积肿瘤坏死,靶肿瘤病灶分别减少 74.5%(m RECIST,即改良实体肿瘤疗效评价标准)、47.5%(i RECIST,即实体肿瘤免疫反应评估标准),患者病情稳定至少 6.9 个月。血清 HBsAg(血清乙肝表面抗原)在细胞移植后 1 周内,从 557.96IU/ml,大幅迅速下降至 1.3IU/ml。SCG101 治疗 73 天后,肝活检中表达 HBsAg 的肝细胞无法检测到。

结 语

TCR-T 细胞疗法为晚期 HBV 相关肝细胞癌的治疗提供了突破性进展。以上研究通过应用 TCR-T 细胞疗法(SCG101),在多次治疗失败的晚期患者中展现出显著的抗肿瘤和抗病毒双重效果:不仅实现了瘤体大幅缩小甚至完全缓解,更在短期内使患者血清乙肝表面抗原水平下降超 98%。这项研究结果不仅验证了 TCR-T 疗法在晚期 HBV-HCC 治疗中的安全性与有效性,也为患者长期生存提供了新的可能性。未来,随着更大规模的临床研究推进,细胞免疫疗法有望成为乙肝相关肝癌综合治疗中的重要支柱,重塑晚期肝癌的治疗格局。

参考文献

[1] 中华医学会肝病学分会肝癌学组. HBV/HCV 相关肝细胞癌抗病毒治疗专家共识 (2021 年更新版)[J]. 临床肝胆病杂志, 2021, 37(10): 2292-2302. DOI:  10.3969/j.issn.1001-5256.2021.10.008.
[2] Clinical results of an HBV-specific T-cell receptor-T-cell therapy (SCG101) in patients with HBV-related hepatocellular carcinoma treated in an investigator-initiated, interventional trial
https://gut.bmj.com/content/early/2025/08/21/gutjnl-2025-335456
[3]Wan X, Wisskirchen K, Jin T, Yang L, Wang X, Wu X, Liu F, Wu Y, Ma C, Pang Y, Li Q, Zhang K, Protzer U, Du S. Genetically-modified, redirected T cells target hepatitis B surface antigen-positive hepatocytes and hepatocellular carcinoma lesions in a clinical setting. Clin Mol Hepatol. 2024 Oct;30(4):735-755.


责任编辑:肿瘤资讯-Skye
排版编辑:肿瘤资讯-as


免责声明
本文仅供专业人士参看,文中内容仅代表丁香学术订阅号立场与观点,不代表肿瘤资讯平台意见,且肿瘤资讯并不承担任何连带责任。若有任何侵权问题,请联系删除。

评论
2025年10月03日
李国君
冀中能源峰峰集团有限公司总医院 | 血液肿瘤科
TCR-T 疗法治疗晚期肝癌,实现 27 个月无进展
2025年10月03日
王郭虹
桂林市第二人民医院 | 肿瘤科
乙型肝炎病毒 (HBV) 感染是肝细胞癌(HCC)发生的重要病原学及疾病进展因素
2025年10月01日
刘海燕
丹东市人民医院 | 肿瘤内科
TCR-T 细胞疗法为晚期 HBV 相关肝细胞癌的治疗提供了突破性进展