您好,欢迎您

宋丹教授:晚期胃癌伴胰腺转移,舒格利单抗联合化疗一线及维持治疗带来超两年半PFS!

2025年07月25日
整理:肿瘤资讯
来源:肿瘤资讯

转移性胃癌恶性程度高,患者预后普遍较差,治疗面临诸多挑战。近年来,随着肿瘤免疫治疗的发展,以PD-1/PD-L1抑制剂为代表的免疫疗法为晚期胃癌患者带来了新的曙光,其中舒格利单抗作为全球首个获批晚期胃癌一线治疗适应证的PD-L1抑制剂,在胃癌治疗领域已展现出令人鼓舞的前景。


本文报道了一例55岁男性晚期胃腺癌患者,初诊时以胰腺占位为主要表现,后确诊为原发于胃窦的低分化腺癌,伴广泛腹腔淋巴结及胰腺转移。通过多周期化疗联合舒格利单抗免疫治疗,继以针对胰腺转移灶及淋巴结的立体定向体部放疗(SBRT),并辅以舒格利单抗联合卡培他滨长期维持治疗,患者获得了肿瘤退缩和长期疾病稳定,无进展生存(PFS)期至今已超过两年半。此病例充分展示了以免疫治疗为重要手段的多模式联合治疗在晚期胃癌、特别是原发灶隐匿、转移灶广泛的复杂病例中的重要价值和良好前景,也再次展现了舒格利单抗用于晚期胃癌治疗的优异疗效和安全性。


本病例由江苏省肿瘤医院詹靓靓医师分享,【肿瘤资讯】特此整理,并邀请江苏省肿瘤医院宋丹教授进行点评,与大家共同学习。

詹靓靓 医师
江苏省肿瘤医院

江苏省肿瘤医院放疗科医师,医学硕士

从事肿瘤放射治疗工作10年余,掌握常见肿瘤的诊断、综合治疗、放射治疗技术及相关并发症处理

以第一作者/共同第一作者发表SCI论文3篇,共参与发表SCI论文十余篇

病例介绍

基本情况

患者,男性,55岁。

首诊时间:2022年09月。

主诉:上腹疼痛一周余。

现病史:患者于2022年09月14日因上腹疼痛在当地医院查B超示:胰头区低回声结节可能。2022年09月16日当地医院查CT示:胰头区占位性病变,增强倾向恶性可能,周围多发肿大淋巴结考虑。胃窦壁不规则增厚。患者为进一步治疗来我院就诊。

既往史:糖尿病病史。

辅助检查

影像学检查(2022年09月21日,胸腹CT:平扫+增强):胰腺颈部占位,考虑为胰腺癌伴瘤周、肝门区、肠系膜根部、腹腔动脉根部、腹膜后多发淋巴结转移可能。胃窦黏膜稍增厚。

1752033654487.jpg

图1. 2022年09月21日 初诊腹部CT影像

病理结果:“胃窦小弯”:中分化肠型腺癌。

胰腺肿块(2022年09月22日 CT引导下穿刺活检)。

常规病理:示浸润性癌,待免疫组化进一步诊断。

免疫组化:低分化癌,考虑腺癌,免疫组化表达NKX3.1及STAB2;建议临床检查消化道、前列腺等处,并结合血中肿瘤标志物等。

HER2(0);Ki-67+ 70%;PD-L1(CPS)90。

诊断与分期

入院诊断:胃恶性肿瘤,腺癌,伴腹腔多发淋巴结转移、胰腺转移;2型糖尿病。

临床分期:cT2N2-3M1

诊疗经过

初始治疗:化疗联合免疫治疗。

患者于2022年09月30日开始接受全身治疗,方案为:紫杉醇聚合物胶束+卡培他滨联合舒格利单抗。
 
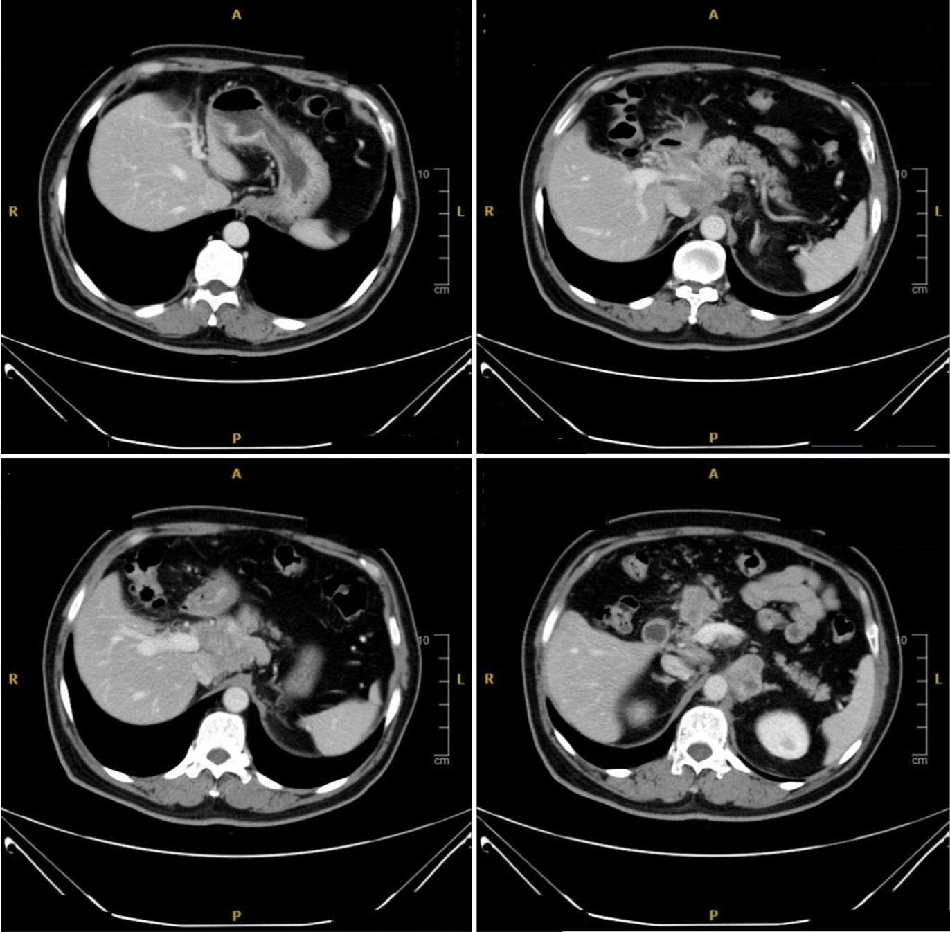
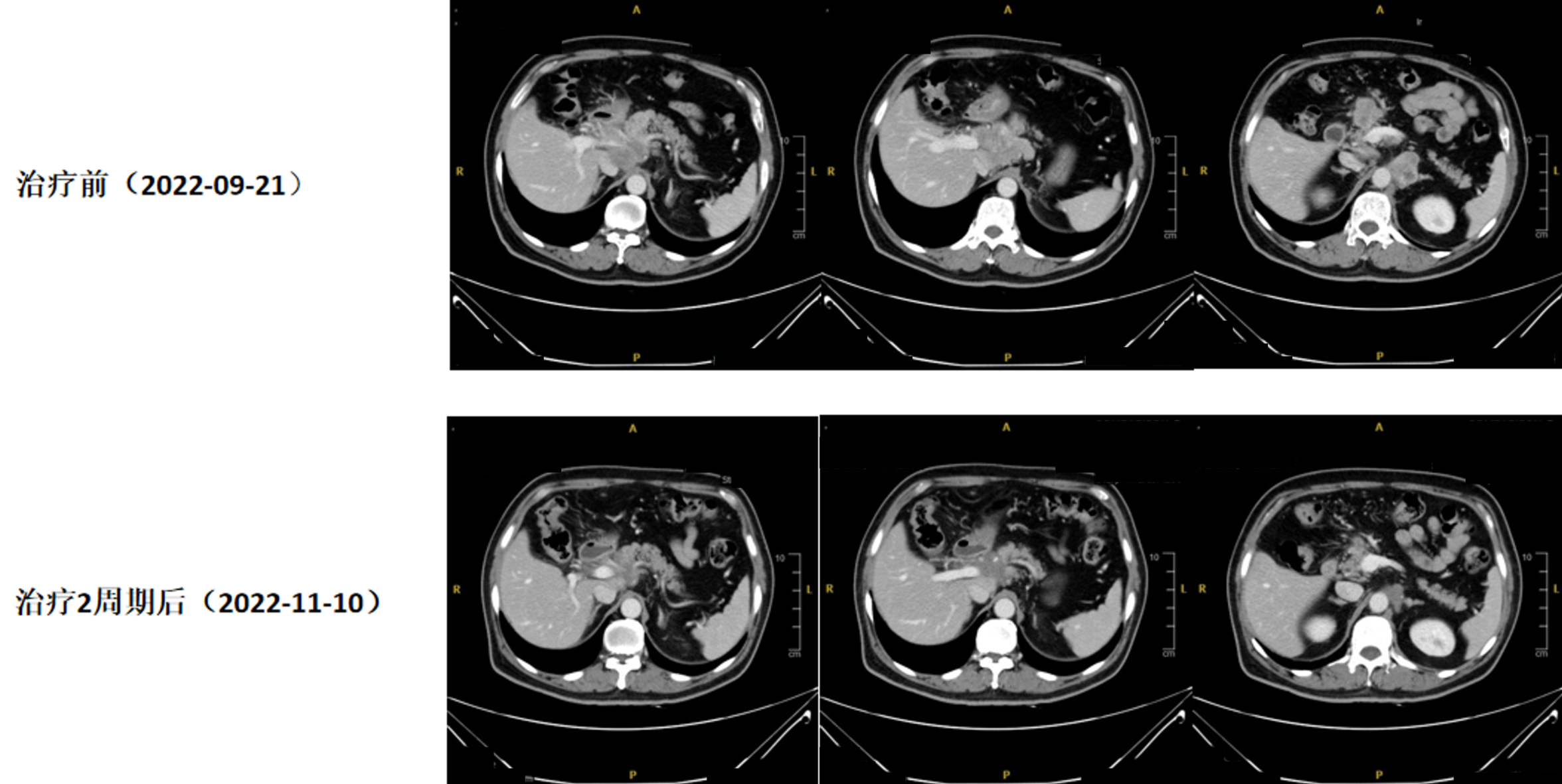
2周期治疗后疗效评估(CT复查:2022年11月10日): 胃窦病灶较前好转。胰腺颈部病灶较前退缩,肝门区、肠系膜根部、腹腔动脉根部、腹膜后多发转移淋巴结较前缩小。

1752039198171.jpg

图2. 治疗前(2022年09月21日)与治疗2周期后(2022年11月10日)CT对比

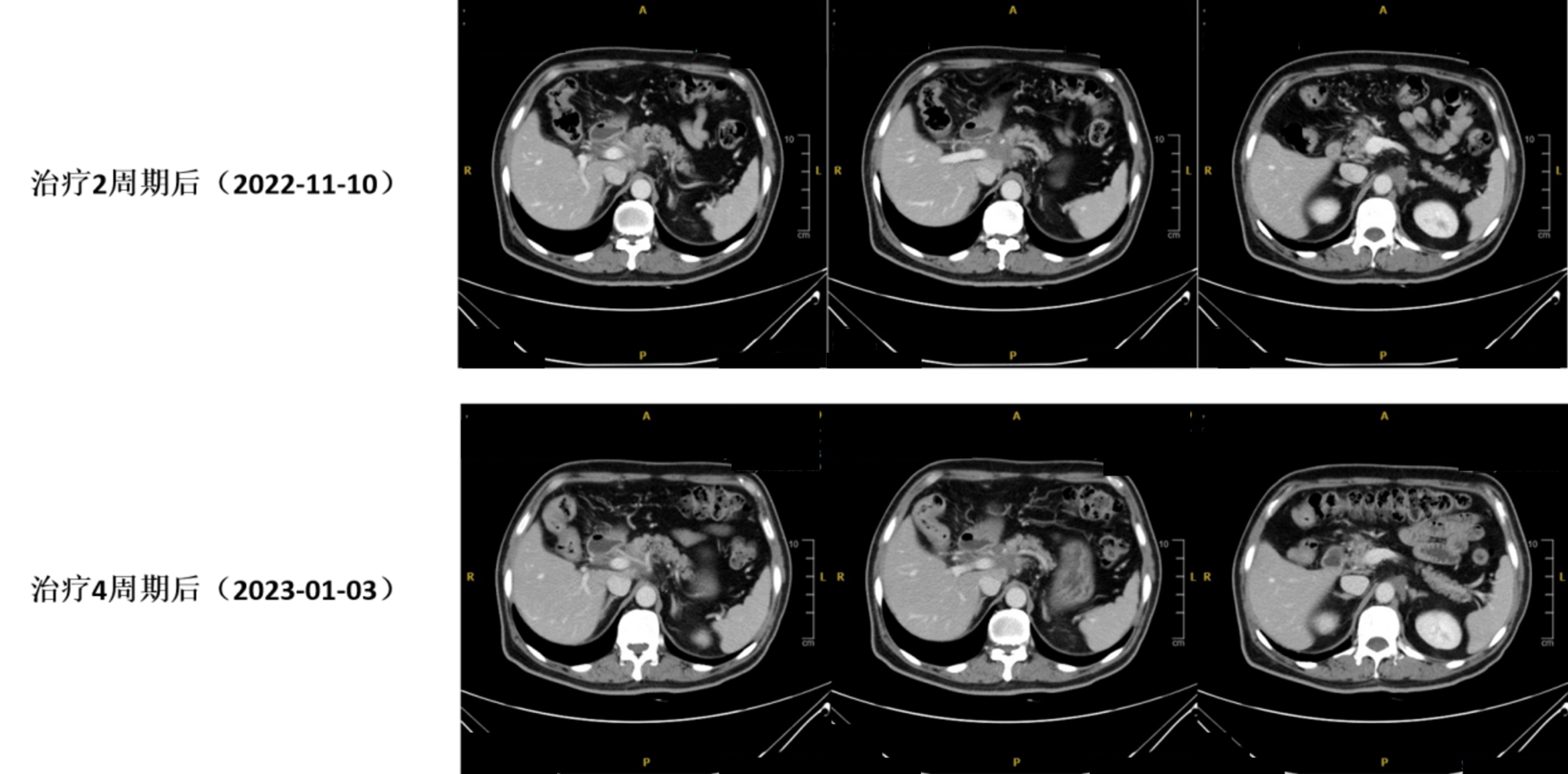
4周期治疗后疗效评估(CT复查:2023年01月03日): 胃窦胃壁稍增厚,较前变化不大;胰腺颈部病灶较前稍退缩;腹腔、腹膜后多发肿大淋巴结较前稍缩小。

6.jpg

图3. 治疗2周期后(2022年11月10日)与治疗4周期后(2023年01月03日)CT对比

6周期治疗后疗效评估(影像复查:2023年02月20日):

胸腹CT:胃窦胃壁稍增厚,较前变化不大。胰腺颈部病灶较前稍退缩,腹腔、腹膜后多发肿大淋巴结较前稍缩小。

7.jpg

图4. 治疗4周期后(2023年01月03日)与治疗6周期后(2023年02月20日)CT对比

8周期治疗后疗效评估(CT复查:2023年04月06日): 胃窦胃壁稍致密肿胀同前,胰腺颈部病灶较前变化不大;腹腔、腹膜后多发肿大淋巴结,部分较前稍缩小,个别稍增大。

9.png

图5. 治疗6周期后(2023年02月20日)与治疗8周期后(2023年04月06日)CT对比

放射治疗(SBRT)联合免疫治疗:2023年04月18日起予胰腺转移灶及转移淋巴结SBRT治疗,剂量68Gy/17f。放疗后配合舒格利单抗免疫治疗协同增效。
 
放疗后疗效评估(CT复查:2023年06月27日): 胃窦壁稍显增厚,目前病灶显示不明确,较2022年09月21日首诊片好转;腹腔及腹膜后多发肿大淋巴结,大部分较前变化不大,个别较前缩小,原胰腺颈部病灶目前轮廓显示不明确,局部密度稍显致密。

10.jpg

图6. 治疗8周期后放疗前(2023年04月06日)与放疗后(2023年06月27日)CT对比

维持治疗

PD-L1单抗(舒格利单抗)+卡培他滨维持治疗。

随访复查

定期影像评估,至2025年03月03日病情稳定。

CT复查(2025年03月03日):胃窦壁局部稍显增厚,黏膜面强化尚可,较前变化不大;胰颈软组织肿块目前轮廓显示仍不明确,局部稍显致密;瘤旁、肝门区、肠系膜根部多发肿大淋巴结较前大致相仿。

11.jpg

图7. 首治前(2022年09月21日)与近期随访(2025年03月03日)CT对比

整个疗程中,患者对治疗耐受性良好,未出现明显不良反应。

病例小结

本病例报告详细介绍了一例55岁男性晚期胃腺癌患者的成功治疗过程。该患者初诊时症状及影像学表现提示胰腺癌,后确诊为胃腺癌。首先进行多周期化免联合治疗(紫杉醇聚合物胶束和卡培他滨及舒格利单抗)降低肿瘤负荷,适当时机SBRT介入,配合舒格利单抗免疫治疗,增加放疗疗效,后续行舒格利单抗和化疗维持治疗,以上综合治疗策略为患者带来了良好且持久的疾病控制,PFS约2年半,且仍在持续获益中。整个疗程中,患者对治疗耐受性良好,未出现明显不良反应。

宋丹 教授
江苏省肿瘤医院

江苏省肿瘤医院放疗科,主任医师,医学博士,硕士生导师
江苏省抗癌协会肉瘤 · 黑色素瘤专业委员会主任委员
江苏省整形美容协会头颈部肿瘤整合分会主任委员
江苏省老年医学学会肿瘤整合医学分会候任主任委员
江苏省肿瘤医院健康管理与肿瘤筛查中心主任
中国抗癌协会黑色素瘤专业委员会常务委员
中国抗癌协会骨与软组织肿瘤整合康复专业委员会常务委员
中国抗癌协会皮肤肿瘤整合康复专业委员会常务委员
中华医学会科学普及分会创新药物实验治疗学组副组长
中国抗癌协会黑色素瘤临床研究分中心主任
中国抗癌协会肉瘤专业委员会委员
江苏省研究型医院学会腹膜后与盆底疾病专业委员会副主任委员
江苏省抗癌协会头颈肿瘤专业委员会委员
江苏省抗癌协会鼻咽癌专业委员会委员
江苏省医学会科普专业委员会委员兼秘书
江苏省肿瘤医院软组织肿瘤、肝胆胰肿瘤、神经内分泌肿瘤MDT领衔专家
2018-2019年美国乔治亚癌症中心高级访问学者,期间在梅奥医学中心、MD安德森肿瘤中心、埃默里肿瘤放疗质子中心短期访问学习。 International Journal of Surgery审稿人

专家点评

此例晚期胃腺癌病例有其特殊性。首先,初诊时的影像学表现以胰腺占位为主要特征,容易误诊为原发性胰腺癌。其次,胃部原发灶相对“小”,而胰腺及多组淋巴结等转移灶病变广泛。这突显了部分胃癌的侵袭性以及全面病理诊断的重要性。
 
该患者获得良好疗效得益于所采用的多模式治疗策略。化疗(紫杉醇聚合物胶束+卡培他滨)与PD-L1单抗舒格利单抗的联合应用,在初期有效控制并缩小肿瘤负荷。此外,在初始全身治疗后,对残留的胰腺转移灶及受累淋巴结及时采用SBRT进行干预,配合舒格利单抗免疫治疗,有助于加强局部控制,并可能对持续的全身反应产生积极影响。持续的舒格利单抗联合卡培他滨维持治疗,对于患者获得从初诊至今超过两年半的长期疾病稳定发挥了重要作用。尤其值得注意的是,患者对这种长期治疗的耐受性良好,未出现严重不良事件,这对于维持姑息治疗阶段患者的生活质量至关重要。
 
舒格利单抗作为一种人源化抗PD-L1单克隆抗体,已在多种恶性肿瘤中显示出良好的疗效和安全性。在胃癌领域,GEMSTONE-303研究评估了舒格利单抗联合化疗(奥沙利铂和卡培他滨)一线治疗不可切除的局部晚期或转移性胃/胃食管结合部腺癌的疗效。GEMSTONE-303研究是全球首个针对PD-L1 CPS≥5的晚期胃及胃食管结合部腺癌患者,探索PD-L1抑制剂联合化疗作为一线治疗的III期临床研究,并成功达到了总生存(OS)和无进展生存(PFS)“双终点”——OS 延长了 3 个月(15.64个月 vs 12.65个月,HR=0.75,P=0.0060),PFS 延长了 1.6 个月(7.62个月 vs 6.08个月,HR=0.66,P<0.0001)。2024年3月,舒格利单抗联合化疗获中国国家药品监督管理局(NMPA)批准用于晚期胃癌一线治疗,成为了全球首个针对该适应证获批的PD-L1抑制剂;并以1A类证据/I级推荐纳入CSCO指南,为晚期胃癌治疗领域带来高效可及的治疗选择。近期,GEMSTONE-303全文见刊国际顶刊JAMA杂志,意味着该研究获得了国际认可和肯定。本病例的成功与患者积极的治疗结局也再次验证了舒格利单抗用于晚期胃癌治疗的良好疗效与安全性。
 
综上所述,本病例展示了通过合理时序、整合化疗、以舒格利单抗为代表的免疫治疗以及放疗的多模式治疗方法,在晚期转移性胃癌患者中取得良好疗效及持久获益的潜力。这再次肯定了免疫治疗在改变这一挑战性疾病治疗格局中的价值,并支持继续探索和应用舒格利单抗等药物以改善更多患者生存和生活质量。

责任编辑:肿瘤资讯-Skye
排版编辑:肿瘤资讯-展思懿
版权声明
版权归肿瘤资讯所有。欢迎个人转发分享,其他任何媒体、网站如需转载或引用本网版权所有内容,须获得授权,且在醒目位置处注明“转自:良医汇-肿瘤医生APP”。