放疗增敏剂有助于对增强肿瘤对放疗治疗的敏感性,本次分享将聚焦3例局晚期不可切除/晚期NSCLC患者,患者接受了不同的放化疗与免疫治疗模式,但均在放疗期间使用放疗增敏剂甘氨双唑钠,3例患者均通过治疗有效控制疾病进展,获得显著的临床获益,提示了放疗增敏剂甘氨双唑钠在此类患者的综合治疗中的巨大应用潜力。


病例一
病例分享专家
河北医科大学第四医院
胸部放疗一病区
硕士研究生
发表SCI论文2篇
病例点评专家
主河北医科大学第四医院
河北省省管优秀专家
河北医科大学第四医院放疗科主任
河北省医学会放射肿瘤学分会主委
中华医学会放射肿瘤治疗学分会常委
中华医学会放射肿瘤治疗学分会食管癌学组组长
中国抗癌协会肿瘤放射治疗专委会常委
中国抗癌协会整合肿瘤心脏病学分会常委
中国抗癌协会肿瘤放射防护专业委员会常委
中国抗癌协会小细胞肺癌专业委员会常委
中国临床肿瘤学会肿瘤放射治疗专家委员会常委
中国研究型医院放射生物与多模态诊疗专委会副主委
病例介绍
基本信息:
患者男性,57岁。
主诉:咳嗽咳痰11月,左肺肿物微波消融术后7月,确诊左肺鳞癌半月于2024-11-25第一次就诊于我科。
查体:ECOG评分:1分。浅表淋巴结未触及肿大,左肺下叶呼吸音粗,余查体未见明显异常。
既往史:无。
个人史:吸烟史20余年,5支/日。饮酒史20余年,100ml/次,已戒烟戒酒。
家族史:无特殊。
辅助检查:
2024-3-5 PET-CT:左肺下叶内前底段软组织结节,大小约2.8cm×2.0cm,边界欠清,与相邻胸膜分界不清,PET可见异常葡萄糖高代谢,考虑恶性病变可能性大;纵隔内稍大淋巴结,大小约1.4cm×1.1cm,PET可见异常葡萄糖高代谢,考虑淋巴结转移可能性大。
2024-3-11 CT引导下左肺肿物穿刺活检+微波消融术。活检病理:肺组织呈慢性炎症,间质纤维化伴炭末沉积。
2024-4-16 胸部增强CT:左肺下叶空洞性病变,考虑肺癌;纵隔、左肺门多发增大淋巴结。
2024-4-25 CT引导下再次左肺肿物穿刺活检+微波消融术。活检病理:肺组织呈慢性炎症并可见肺泡腔出血。涂片:未找到癌细胞。
2024-11-6 胸+全腹增强CT:肺结节消融术后改变,左肺下叶软组织肿物伴周围肺组织膨胀不全,较2024-08-20无明显变化;纵隔肿大淋巴结,较前片无明显变化;肝门区及腹膜后多发淋巴结,部分肿大,考虑转移。
2024-11-7 EBUS-TBNA:可见气管管腔通畅,粘膜光滑,分别于第2组、第7组淋巴结区域超声下显示类圆形肿物,约2.01cm*2.04cm、2.08cm*1.92cm大小,考虑为肿大淋巴结,多次定位后予以穿刺活检。EBUS穿刺涂片:可见异型细胞,不除外癌细胞。穿刺病理:可见异型细胞团,免疫组化:AE1/AE3(+),TTF-1(-),NapsinA(-),CK7(-),P40(+),CK5/6(+),Ki-67(阳性细胞数70%+),Syn(-),CgA(-),CD56(-),PD-L1(DAKO 22C3) (TPS 1%),低分化鳞状细胞癌。
2024-11-24 肺癌15基因检测:(EGFR、ALK、HER2、BRAF、MET、RET、ROS1、KRAS、NRAS、HRAS、PIK3CA、KIT、PDGFRA、DDR2、ESR1)检测位点未见异常。
2024-11-26 头颅MRI:未见明显异常。骨扫描:未见明显骨转移征象。
临床诊断:
左肺鳞癌IVB期(cT2aN3M1c)纵隔及腹腔多发淋巴结转移 驱动基因阴性
治疗经过:
一线化疗联合免疫治疗:患者于2024-12-1行TP(紫杉醇脂质体300mg D1+顺铂40mg D1-3)化疗+卡瑞利珠单抗200mg免疫治疗*1周期,后因IV度骨髓抑制于2024-12-24、2025-1-21行TP(紫杉醇脂质体240mg D1+顺铂40mg D1、30mg D2-3)减量化疗+卡瑞利珠单抗200mg免疫治疗*2周期。疗效评估:缩小的SD。
同步放化疗:患者于2025-2-26至2025-4-14进行放射治疗。并于2025-3-3、2025-3-31行TP(紫杉醇脂质体240mg D1+顺铂40mg D1、30mg D2-3)同步化疗*2周期(同步放化疗期间未进行免疫治疗)。
放疗靶区:GTV-p为左肺下叶病变,均匀外扩0.5cm至CTV-p,GTV-nd为1R、2R、4R、4L、7区多发肿大淋巴结,均匀外扩0.5cm至CTV-nd,CTV-p与CTV-nd均匀外扩0.5cm至PTV。处方剂量:95%PTV≥60Gy/2Gy/30f。危及器官受量:双肺Dmean:12.98Gy,V10:38%,V20:19%,V30:11%,心脏Dmean:25.25Gy,脊髓Dmax:37.12Gy。
同步放疗增敏:甘氨双唑钠 1.25g/次 静脉滴注,隔日一次 每周三次。
免疫维持:放疗结束后2个月,分别于2025-6-12和2025-7-13进行卡瑞利珠单抗200mg *2周期。
疗效评估:PR
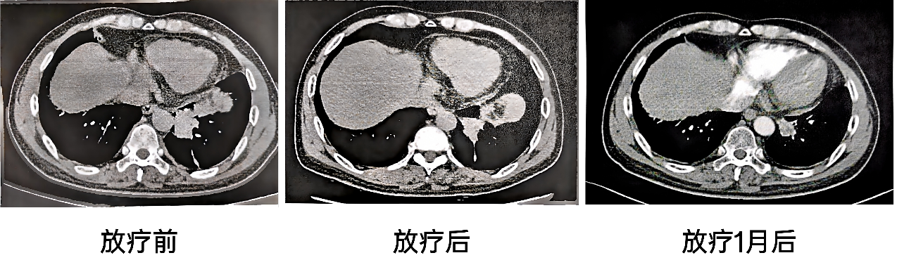
2025-4-14胸部CT(放疗末):肺结节消融术后,左肺下叶软组织肿物伴周围肺组织膨胀不全,较前(2024-12-25)缩小;纵隔多发淋巴结,较前片缩小。
2025-5-19胸部CT(放疗后1月):肺结节消融术后,左肺下叶软组织肿物伴周围肺组织膨胀不全,较前(2025-4-14)变化不大;纵隔多发淋巴结,较前片变化不大。



病例二
病例分享专家
重庆大学附属肿瘤医院放疗科主治医师,临床医学硕士
重庆市医药生物技术协会生物与免疫治疗专委会委员
美国科学家协会会员
第一作者发表SCI期刊论文4篇,《International Journal of Radiation Biology》杂志审稿人
临床上主要从事恶性肿瘤的放化疗,靶向治疗及生物免疫治疗,
对各种实体恶性肿瘤的诊治有较丰富的临床经验,在美国放射肿瘤学会ASTRO,
中国临床肿瘤学会CSCO,中国肿瘤学大会CCO等肿瘤学大会上做壁报及口头交流
曾获《2019年中国肿瘤学大会青年优秀论文一等奖》
病例点评专家
重庆大学附属肿瘤医院肿瘤放射治疗中心 副主任医师医学博士
中国医药卫生文化协会肿瘤防治与科普分会第一届委员
中国老年学和老年医学学会肿瘤康复分会食管癌专家委员会委员
省医促会肿瘤免疫治疗专委会委员
重庆抗癌协会生物治疗专委会委员兼秘书
重庆市中西医结合学会放疗专委会委员
重庆市中西医结合学会肿瘤专业委员会青年委员会委员
重庆市医药生物技术协会肿瘤分子靶向治疗专业委员会委员兼秘书
重庆抗癌协会肿瘤精准治疗专委会委员
重庆市医药生物技术协会生物与免疫治疗专业委员会委员
病例介绍
基本信息:患者男,70岁。
既往史:2021年于外院诊断鼻咽癌,化疗+放疗后,疗效不详。发现血压升高4+月,最高达190/110mmHg,未降压治疗,血压控制不详。2022年外院行疝气手术,具体不详。
家族史:父亲患肺癌,母亲冠心病、糖尿病。
就诊经过:
现病史:2023年8月患者因“进行性呼吸困难”在外院确诊为“气管内肿物”,行纤支镜下切除术,术后病检提示“鳞癌”,未予规范抗肿瘤治疗。
2023年10月8日,再次因“进行性呼吸困难”就诊于外院,再次于2023年10月15日左右行纤支镜下切除术,术后仍未行抗肿瘤治疗。
2023年11月患者自觉症状加重,就诊于我院。
影像学检查:
2023年11月17日 气管树CT 三维成像:1. 气管壁不均匀增厚、呈肿块样,符合恶性肿瘤影像表现,邻近甲状腺右叶后份、食管胸上段右前壁受累可能;所示双侧颈部及上纵隔多个淋巴结显示,部分肿大,部分考虑转移可能;2. 气管树CT示:约T2-4椎体上缘水平气管增多软组织影、呈肿块样,支气管腔不规则变窄;双肺上叶部分支气管腔内少许黏液栓可能;3. 双肺上叶斑片、条片影,炎性?
完善PET-CT 检查:1、结合病史,考虑气管右侧壁恶性肿瘤伴病灶气管旁、双侧锁骨下区淋巴结转移可能。2、双肺少许炎性小结节可能,随诊。双肺散在炎症,双上肺明显。
全身浅表淋巴结彩超:左锁骨上、颈部气管旁及胸骨上窝淋巴结肿大,性质待定。
病理活检:
2023年11月24日支气管镜:可见新生物堵塞管腔,狭窄约80%,于此处反复行活检钳钳取、氩气刀烧灼等消瘤,瘤体部分消除,经治疗后气管狭窄约40%。
支气管镜病理活检:(气管)鳞状细胞癌。
免疫组化结果:P16(-),P40(+),NapsinA(-),TTF-1(-),Ki-67(+70%),SMARCA4/BRG1(+),INI-1(+),CK7(-),Syn(-),CgA(-),CD56(-),PD-L1 阳性肿瘤细胞百分比(TC)≈80%。
临床诊断:肺恶性肿瘤(鳞癌 cT4N3M0 IIIC期)
治疗经过:
免疫联合化疗:2023-12-5、2023-12-26、2024-1-19 、2024-2-23患者接受四周期TC方案(紫杉醇190mg D1+卡铂460mg D1)+替雷利珠单抗(200mg)治疗。疗效评估PR。治疗后出现粒细胞缺乏、血小板减少、贫血,予以粒细胞刺激因子、血小板生成素及促红素治疗后恢复。
放疗:2024-2-29起 患者开始接受放疗纵隔病灶累及野IMRT放疗,期间联合使用甘氨双唑钠增敏,照射方案:PTV 1.8Gy×28F,总剂量 PTV 50.4Gy。放疗期间轻度放射性食管炎,经对症治疗后恢复。出院后继续行免疫维持治疗。
疗效评估:2024-5-6、2024-8-26,放疗结束后1个月、3个月后,分别行胸部+上腹部增强CT,对比放疗前(2024-1-17):气管壁不均匀增厚,符合恶性肿瘤影像表现,范围较前稍减小;双侧锁骨上及上纵隔多个淋巴结显示,部分较前减小,较前相仿;右肺上叶病变较前减少;双肺散在结节,部分结节吸收。



病例三
病例分享专家
湘潭市中心医院放疗科 主治医师
病例点评专家
湘潭市中心医院放疗副主任,主任医师
湖南省抗癌协会放疗专业委员会委员
湖南省精确放疗委员会委员
湖南省抗癌协会鼻咽癌专业委员会委员
湖南省抗癌协会肿瘤营养专业委员会委员
湖南省医学会妇瘤学组委员
湖南省健康管理学会免疫与靶向管理专委会委员
湖南省国际医学交流促进会头颈及鼻咽肿瘤专业委员会委员
湘潭市放疗质量控制中心副主任委员
湘潭市预防医学会肿瘤防治专业委员会委员
病例介绍
基本信息:患者男,67岁。
就诊经过:
影像学检查:2024-5-9行颈胸腹盆增强CT:考虑左侧中央型肺癌并左肺门、纵隔淋巴结转移可能。
病理检查:左上纤维支气管镜:左上叶固有支开口新生物,尖支及前支开口显示不清;支气管炎症改变。
纤支镜活检病理:(左上叶尖支开口新生物活检)浸润性,组织学类型待免疫组化进一步明确诊断。
病理检查(左上叶尖支开口新生物活检)HE结合免疫组化结果符合低分化鳞癌。
免疫组化:ki-67(热点区约60%+),P40(+),CerbB-2(1+),P63(+)。CK7(-),CK5/6(+),TTF-1(-),NapsinA(-),EGFR(部分+),P16(-)。
病理会诊:左肺鳞癌cT4N2-3M0 III期,建议完善PET-CT,行根治放化疗±免疫治疗。患者及家属经商议后决定不行PET-CT。完善PD-L1 TPS 80%,CPS 90。
治疗经过:
化疗:2024-5-18及2024-6.-8行2周期多西他赛+顺铂化疗,期间辅以对症支持治疗,疗效评估缩小SD。
放疗:
2024-7-8至2024-8,对肺部肿块、转移淋巴结及相邻淋巴结引流区行根治性行放疗。处方剂量:PTV DT60Gy/2Gy/30F,期间同步使用甘氨双唑钠进行放疗增敏,期间同步行依托泊苷+顺铂化疗,后患者自觉难以耐受化疗药物,改为仅行单纯放疗。
免疫治疗:
2024-9-30起,行替雷利珠单抗(200mg)免疫维持治疗,期间出现放射性肺炎G1,级,免疫性肌炎G1级。
疗效评估:
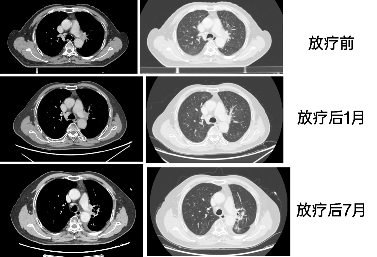
2024-9,放疗后1月,颈胸腹盆CT示:左侧中央型肺癌并左肺门、纵隔淋巴结转移综合治疗后(肿块较前缩小)。
2025-3,放疗后7月,颈胸腹盆CT示:左侧中央型肺癌并左肺门、纵隔淋巴结转移综合治疗后(大致同前)。
2024-6(放疗前)、2024-9(放疗后1月)与2025-3(放疗后7月)CT影像如下:


甘氨双唑钠助力局晚期/晚期肺鳞癌患者在
放化疗±免疫治疗中联合获益高、经济又安全
本次病例分享带来3例局晚期不可切除/晚期NSCLC病例,患者均接受放化疗与免疫治疗,并在放疗中使用了放疗增敏剂甘氨双唑钠为患者带来更多获益。此前,研究显示,放射线作用于肿瘤细胞DNA双链引起肿瘤细胞分子损伤,甘氨双唑钠的独特结构具有强亲电子作用,能够转移肿瘤细胞受损分子上的电子,使损伤固定下来,增强放射线对肿瘤细胞(尤其是乏氧细胞)DNA双链损伤的作用[1-4]。甘氨双唑钠对DNA修复酶,特别是聚合酶β有抑制作用,抑制肿瘤细胞(尤其是乏氧细胞)中受损DNA分子的修复。甘氨双唑钠不仅可以通过固定放射DNA损伤、抑制DNA修复、调控细胞周期来增强放疗敏感性,提高放疗肿瘤的近远期疗效[1-4];还可以通过降低HIF-1α水平来改善肿瘤乏氧微环境,降低FOXP3+Treg细胞比例来调节肿瘤免疫微环境,进一步提高放疗敏感性以及放疗联合其他药物治疗的综合获益[5-7],多部指南推荐甘氨双唑钠是一种高效低毒的放疗增敏剂。在本次3个病例的综合治疗过程中联用甘氨双唑钠进行放疗增敏为患者带来了更高疗效,不良反应发生率也降低了,提高了患者生活质量,提示了甘氨双唑钠可为局晚期/晚期肺鳞癌患者在放化疗±免疫治疗中带来更多获益。
1. 陈光辉,闫慧,孙长义,等. 非小细胞肺癌患者癌组织和血浆中microRNA-21的表达及意义[J].临床检验杂志,2014,32:652-655.
2.重庆医科大学学报,2009,34( 8) :1108-1111
3.甘氨双唑钠研究论文集[C],2001:4-26.
4.肿瘤防治研究,2009,36( 7) :606-608.
5.Min X, et al. J Cancer. 2019 Jan 1;10(2):305-312
6. 魏民,等. 国际肿瘤学杂志,2018,45(12):727-730.
7.Li L, et al. Bioengineered. 2021 Dec;12(1)1066-1077
8.CSCO非小细胞肺癌诊疗指南(2024版)
9.Jabbour SK, et al. Pembrolizumab Plus Concurrent Chemoradiation Therapy in Patients With Unresectable, Locally Advanced, Stage III Non-Small Cell Lung Cancer: The Phase 2 KEYNOTE-799 Nonrandomized Trial. JAMA Oncol. 2021 Jun 4;7(9):1–9.
10.Ross HJ, et al. Atezolizumab Before and After Chemoradiation for Unresectable Stage III Non-Small Cell Lung Cancer: A Phase II Nonrandomized Controlled Trial. JAMA Oncol. 2024 Sep 1;10(9):1212-1219.
排版编辑:肿瘤资讯-zly






苏公网安备32059002004080号