您好,欢迎您

愈见H药丨新辅助免疫联合化疗治疗局部晚期胃癌,斯鲁利单抗助力患者实现pCR

2025年10月10日
整理:肿瘤资讯
来源:肿瘤资讯

胃癌是全球范围内最常见的消化道恶性肿瘤之一,其发病率和死亡率均高居前列。尤其在中国,胃癌疾病负担沉重,多数患者在确诊时已属局部晚期或发生远处转移,治疗棘手,预后不佳。近年来,以PD-1/PD-L1抑制剂为代表的免疫检查点抑制剂深刻地改变了晚期胃癌的治疗格局。在此基础上,将免疫治疗前移至新辅助阶段,旨在通过术前降期、清除微小转移灶,从而提高手术切除率(R0切除率)和远期生存率,已成为当前胃癌治疗领域的研究热点和极具潜力的发展方向。《愈见H药》系列专栏深入剖析消化道肿瘤免疫治疗优秀临床病例,分享宝贵临床经验,以期共同推动消化道肿瘤免疫治疗学科发展。本期南京医科大学第一附属医院李沣员教授分享一例局部晚期胃癌患者,通过斯鲁利单抗联合化疗的新辅助治疗方案,成功实现病理完全缓解(pCR)的病例,并邀请南京医科大学第一附属医院徐皓教授进行点评。

病例分享专家

李沣员 教授
主治医师

南京医科大学第一附属医院 胃外科 主治医师
江苏省医学会临床肠外肠内营养学分会委员
江苏省医师协会外科医师分会加速康复与营养学组委员
江苏省研究型医院学会中西结合加速康复外科专委会常务委员
全国卫生产业企业管理协会外科技术创新与推广分会理事

病例介绍

基本情况

患者,男,45岁。

主诉

上腹部隐痛不适2月余。

现病史

患者2月前偶有上腹隐痛,于当地医院行胃镜检查并活检(2021年7月31日),结果提示胃窦前壁、小弯交界处见一凹陷性深大溃疡,边界不平,上覆白苔。病理会诊(2021年8月9日)诊断为:中-低分化腺癌。

925.00.png

胃镜结果

既往史

糖尿病史3年余。

个人史及家族史

无特殊。

辅助检查

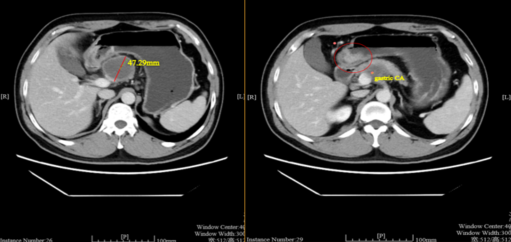
全腹增强CT(2021年8月18日)示:胃窦小弯侧胃壁不均匀增厚伴溃疡形成,考虑胃窦CA;周围见多发淋巴结,部分肿大,考虑转移可能性大。

925.0.png

925.1.png

全腹增强CT

临床分期

cT3N3M0。

靶病灶

肝总动脉旁淋巴结,短径为47.3mm。

PD-L1评分

CPS=15。

诊疗经过

经多学科团队(MDT)讨论后,建议患者参加临床试验先行新辅助治疗。患者知情同意后入组临床研究,接受了PD-1抑制剂联合化疗的治疗方案。

新辅助治疗方案

PD-1抑制剂(揭盲后为斯鲁利单抗实验组)联合SOX方案化疗,共进行3周期。

治疗期间患者耐受性良好,仅出现1~2级胃痛、头痛、呕吐,未发生≥3级不良事件。

疗效评估

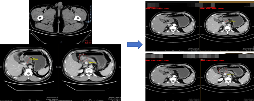
治疗2周期后(2021年10月8日):复查CT示靶病灶淋巴结缩小至35mm,缩小26%,疗效评估为疾病稳定(SD)。

c9b2e20a-a23e-4d1f-b6ce-211177146e98.png

治疗前对比治疗2周期后疗效评估

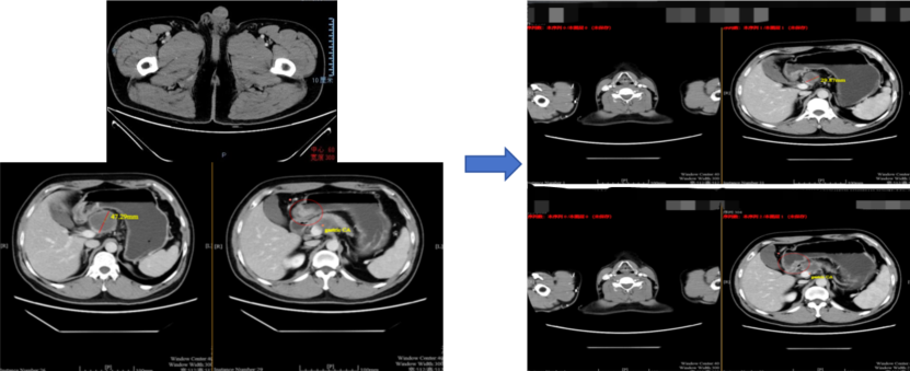
治疗3周期后(2021年11月3日):复查CT示靶病灶淋巴结缩小至29.9mm,缩小37%,疗效评估为部分缓解(PR)。

e51f106d-3b8c-421b-a587-6b609a7a1db6.png

治疗前对比治疗3周期后疗效评估

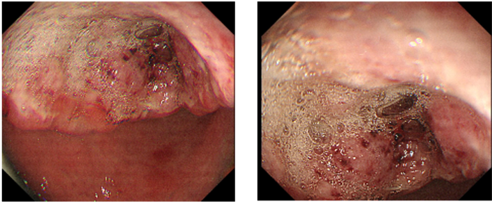
925.4.png

新辅助治疗前后胃镜结果

手术治疗

患者于2021年11月24日,在全麻下行3D腹腔镜探查+根治性远端胃切除+残胃空肠B-Ⅱ+Braun式吻合术 D2。手术过程顺利,术后1周恢复良好出院。

术后病理

胃窦小弯全部取材仅见少许异形腺体,胃周淋巴结未见肿瘤转移,大网膜未见肿瘤累及。

新辅助治疗后疗效评估

肿瘤完全退缩,达到pCR。

后续治疗与随访

患者术后继续接受斯鲁利单抗单药辅助治疗17个周期,随访至今,生存状态良好,未见复发或转移迹象。

925.5.png

病例小结

该患者为45岁男性,初诊为局部晚期胃癌(cT3N3M0),肿瘤负荷大,尤其是区域淋巴结转移非常广泛。经过斯鲁利单抗联合SOX方案的新辅助治疗后,肿瘤显著退缩,疗效评估从SD到PR,为手术创造了良好条件。患者于2021年11月24日,在全麻下行3D腹腔镜探查+根治性远端胃切除+残胃空肠B-Ⅱ+Braun式吻合术 D2,术后病理证实其达到了pCR。

专家点评

徐皓 教授
主任医师

南京医科大学第一附属医院 胃外科主任,普外科副主任,胃肿瘤中心副主任

主任医师,教授,博士生导师

中国抗癌协会胃癌专业委员会委员
中国抗癌学会手术与质量控制专业委员会委员
中国临床肿瘤学会(CSCO)胃肠间质瘤专家委员会常务委员
中国研究型医院学会消化道肿瘤专业委员会委员
中国医师协会外科医师分会胃肠道间质瘤诊疗专家工作组委员
中国抗癌协会胃肠道间质瘤专业委员会委员
中国研究型医院学会上消化道肿瘤专业委员会委员
江苏省医学会外科学分会委员
江苏省医学会外科学分会外科营养学组副组长
江苏省抗癌协会胃癌专业委员会委员

徐皓教授:局部晚期胃癌(LAGC)的治疗长期以来面临巨大挑战。尽管根治性手术是核心治疗手段,但单纯手术后的复发转移风险极高。因此,围手术期治疗,尤其是新辅助治疗,成为改善患者预后的关键策略。传统的新辅助化疗虽能带来一定生存获益,但疗效已达瓶颈,且患者的pCR率通常不甚理想。如何进一步提升新辅助治疗的疗效,是该领域亟待突破的难题。

近年来,以PD-1/PD-L1抑制剂为代表的免疫检查点抑制剂改变了晚期胃癌的治疗格局,并逐渐向更早期阶段探索。CheckMate 649研究作为全球首个成功的晚期胃癌一线免疫治疗III期研究,其全球及中国亚组数据不断刷新该领域的随访记录,为免疫联合化疗在晚期胃癌治疗领域奠定了坚实的循证医学基础。本病例作为免疫联合化疗方案在新辅助治疗领域的成功实践,再次验证了这一联合治疗方案强大的抗肿瘤活性和良好的安全性。

结合患者初诊时临床分期为cT3N3M0,尤其是存在短径超过4cm的巨大融合淋巴结,若直接手术,不仅难度大,R0切除率低,且术后复发风险极高。因此,经MDT讨论后,建议患者参加临床试验先行新辅助治疗。ASTRUM-006研究是一项旨在评估斯鲁利单抗联合化疗对比安慰剂联合化疗用于胃癌新辅助/辅助治疗的有效性的III期、随机、双盲、多中心临床研究。本病例中,患者在接受新辅助免疫联合化疗后,原发灶及转移淋巴结显著退缩,疗效评估达PR,为根治性手术创造了良好条件。

值得注意的是,术后患者实现了pCR,这在胃癌治疗中具有极其重要的临床意义。pCR不仅是新辅助治疗疗效的直接体现,更是公认的强有力的远期预后预测指标。多项研究证实,在新辅助治疗后获得pCR的胃癌患者,其无病生存期(DFS)和总生存期(OS)均显著优于未达到pCR的患者。并且随访至今,患者生存良好,无复发转移迹象,一直保持无瘤状态。更重要的是,患者在术后得以豁免辅助化疗,这不仅显著降低了化疗相关的毒副作用,也极大地提升了患者的长期生活质量。因此,该病例是新辅助免疫联合化疗在局部晚期胃癌中取得成功的典型范例,为临床分期晚、肿瘤负荷大的局部晚期胃癌患者提供了一个行之有效的治疗策略,为更多患者带来治愈的希望。

责任编辑:肿瘤资讯-Skye
排版编辑:肿瘤资讯-zly

版权声明
版权归肿瘤资讯所有。欢迎个人转发分享,其他任何媒体、网站如需转载或引用本网版权所有内容,须获得授权,且在醒目位置处注明“转自:良医汇-肿瘤医生APP”。

评论
2025年10月19日
朱蔚友
江苏省人民医院 | 肿瘤内科
能手术还是早手术,新辅助容易耽误病情
2025年10月13日
赵学红
临汾市中心医院 | 肿瘤科
在新辅助治疗后获得pCR的胃癌患者,其无病生存期(DFS)和总生存期(OS)均显著优于未达到pCR的患者