您好,欢迎您

MET抑制剂,NSCLC靶向治疗领域的一匹黑马

2019年07月25日
来源:肺癌多学科会诊

【肺癌多学科会诊】

患者关MZH,女,67岁。于2017-06-26行胸腔镜下右肺上叶切除+淋巴结清扫术,术后病理:右肺上叶腺泡状腺癌,支气管残端未见癌组织,第2、4、7、9、10和11组淋巴结未见转移(pT2N0M0)。

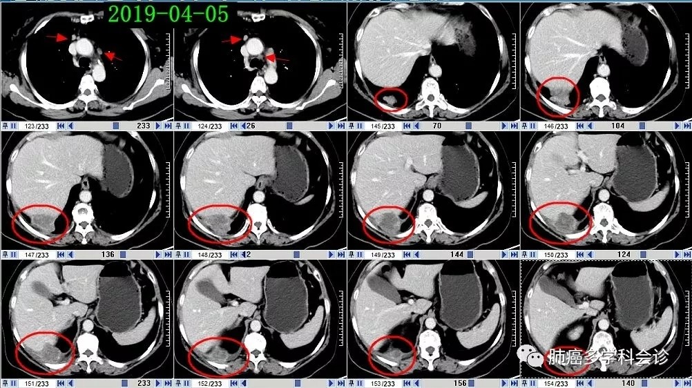
于术后20个月左右肿瘤复发,PET-CT(2019-03-23):右肺上叶支气管断端软组织影、代谢较活跃,考虑复发;膈肌右上份上方团块状软组织影代谢活跃,纵膈(2R区)及膈上前群肿大淋巴结代谢稍活跃,考虑转移。

111.webp.jpg穿刺活检病理:腺癌,PD-L1(80%+)

患者活检组织经中心实验室检测证实为MET 基因14外显子剪接位点突变。经筛选合格后参加了"评价沃利替尼治疗MET外显子 14 突变的局部晚期或转移性肺肉瘤样癌(PSC)和其他非小细胞肺癌(NSCLC患者的有效性、安全性和耐受性的多中心,开放的II期临床研究"。

于2019-04-12开始每天一次口服"沃利替尼”3片 ,于服药第12天出现发热,最高达39.4C,服用退热药降至正常范围。第13天再用该药3片,再度高热。停用沃利替尼6天后返院,在监护下口服1片(平时一次口服3片)药,10分钟后血压下降,心率加快,2小后恢复正常,次日(5月1日)凌晨2点30分体温升到38.5℃ 又很快退去,无其他不适。转氨酶略有升高。

2019-05-10复查CT,与2019-04-05 相比,肿瘤明显缩小:

患者从试验中出组,停止口服“沃利替尼”。建议改用“克唑替尼”口服并定期复查,1个月后肿瘤又有所缩小,耐受良好。

【点评】

从此例患者的经过可以看到,沃利替尼对MET基因14外显子突变的非小细胞肺癌有非常好的疗效,用药13天、停药16天后肿瘤即有明显的缩小。但该患者出现了较为罕见的高热和 I 型过敏反应而被迫停止治疗。由于肿瘤组织的PD-L1高表达,患者有可能在靶向药耐药后能从免疫治疗中获益。

在我中心入组“沃利替尼”的第一例肺腺癌患者,疗效也特别好,除了转氨酶升高外无其他不适,减量后仍转氨酶仍然明显升高而在服药几个月后被迫终止治疗。其他几位口服“沃利替尼”的患者没有出现明显的不良应。

当前“沃利替尼”治疗MET 14外显子突变的肺癌和肺肉瘤样癌的临床试验仍在招募患者,欢迎合适的患者报名参加。我们还会参加其他的MET抑制剂新药试验,敬请关注。

MET 14外显子突变多发生在老年患者,部分患者有抽烟史。肉瘤样癌发生MET 14外显子突变的发生率约20%。克唑替尼有较好的疗效,但目前国内国外正在开发多种新型的小分子MET抑制剂。当下推荐MET突变患者参加临床试验是一个不错的选项,相信不远的将来会有更好、更多的MET抑制剂上市。

评论
2020年03月11日
孙恒鑫
聊城市茌平区人民医院 | 放射治疗科
学习
2020年03月10日
王达俭
景德镇市第一人民医院 | 呼吸内科
受益匪浅
2020年03月09日
徐圆
当涂县人民医院 | 肿瘤科
学习