您好,欢迎您

警惕EGFR基因突变的早期肺腺癌的脑转移!

2018年11月20日
作者:申淑景
来源:肺癌多学科会诊

【会诊病例】

通过以下 2个病例,提醒您:很小的原发肺腺癌病灶也会较早发生脑转移,特别是伴有 EGFR基因突变者!

【病例1】

患者王**,女,51岁,2016年体检时发现右肺上叶有一2cm直径的结节,距离胸膜近,到北京中科院肿瘤医院就诊,完善检查,头部核磁共振平扫:未见异常。在该医院行右肺癌根治性切除手术。

术后病理:右肺上叶中分化腺癌,呈腺泡型和乳头型,部分附壁型,未见脉管神经侵犯,肿瘤大小:2.3×1.3×1.5cm,局灶累及脏层胸膜。淋巴结未见转移癌(0/23)

术后分期:T2N0M0,ⅠB期

基因检测:EGFR 21外显子 L858R突变

1.jpg

考虑到胸膜侵犯这一复发的高危因素,术后给予辅助化疗4周期。随后每 3-4个月常规随访观察。因考虑系早期肺癌,随访中没有常规检测头部核磁共振。

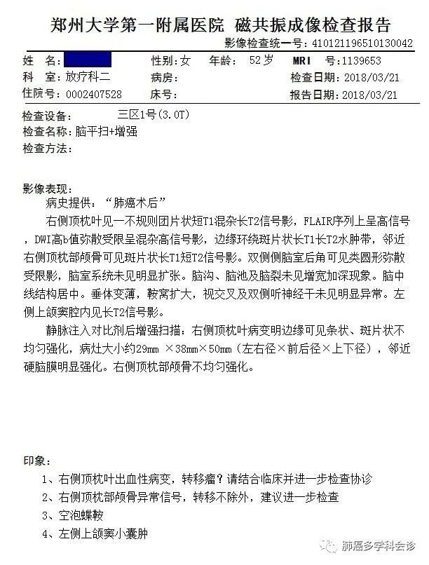
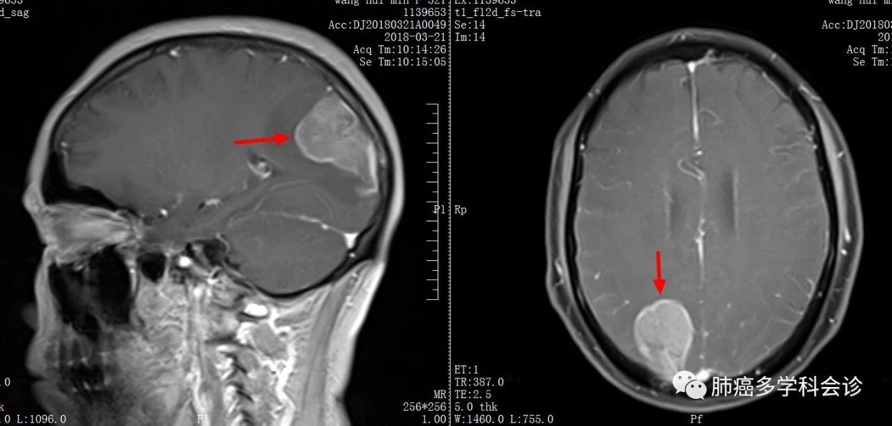
患者于2018年3月出现头痛,头颅核磁共振发现:右顶枕叶约 5cm的不均匀强化病灶,考虑脑转移。

脑巨大的单发转移灶,随行外科切除手术,术中见:肿瘤最大经约 6cm,呈囊实性变,囊内壁附着灰黄色物。

脑转移灶切除组织的病理:脑转移性腺癌,肺来源

基因检测:EGFR 21外显子 L858R突变

4.jpg5.jpg

术后脑转移灶瘤床区放疗,目前正在口服“特罗凯”靶向治疗,定期随访中。

【病例2】

患者赵*,男,80岁,2017年2月体检时发现:右肺有一个24×21mm不规则肿块。

活检病理:肺腺癌

基因检测:EGFR 21外显子 L858R突变

PET-CT:右肺上叶软组织代谢活跃,符合肺癌。其它处未见转移征象

疾病临床分期:cT1bN0M0,ⅠA期。

肺部肿块接受 SBRT 放疗后逐渐消退。

2018年6月出现头晕头痛,MRI:脑双侧额叶囊实性转移灶。

在完成对脑部 2 处转移灶放疗后,开始口服“吉非替尼”。

【评论】

(1)这两例患者都属于Ⅰ期的早期肺癌,根据NCCN指南,头部MRI:Ⅱ期以上患者才推荐做 ,Ⅰ期肺癌不建议,ⅠB期可选做。例 2 患者 SBRT治疗前只做了 PET-CT,没有做头颅 MRI;例1 患者手术前虽然做了头部 MRI,但只是平扫。这两例患者在最初治疗前有无脑转移,还不能做出肯定判断。

11.jpg

(2)在随后的随访中,随访项目是:肿瘤标志物、胸部和上腹部CT,患者是Ⅰ期早期肺癌,根据NCCN指南,没有常规做头部MRI,等到患者出现头痛等症状时候,才做头部MRI,两例患者的脑转移灶都已经长大并引起周围水肿。

12.jpg

(3)这两例患者都是EGFR基因敏感突变,已知伴有基因敏感突变者,脑转移发生率高,多项研究表明:EGFR突变的肺癌更易脑转移,伴有EGFR等敏感基因突变患者,即使早期肺癌,我们是否应该把头部的核磁共振作为必须检查项目?

EGFR敏感基因突变者,脑转移率高,早期肺癌的头部核磁共振检查应该不可忽视!

14.jpg


评论
2018年11月20日
189****6355
华北理工大学附属医院 | 放疗科
确实值得关注!