您好,欢迎您

肺粘液表皮样癌下肢骨骼肌转移1例

2017年08月18日
来源:肺癌多学科会诊

患者DYJ,男,53岁,2017.01.06行“左上肺癌根治术”,术后病理:1、(左上肺)癌,符合粘液表皮样癌。微信图片_20170817161855.jpg

术后1月余PET-CT示:

  • 左肺粘液表皮癌术后改变,左肺门不规则软组织密度影代谢活跃,考虑肿瘤残留或复发。左侧胸腔积液;

  • 纵隔主动脉弓旁、右下气管旁、主肺动脉窗及隆突下肿大淋巴结代谢活跃,考虑转移;

  • L3椎体左侧横突局部代谢活跃,疑转移。

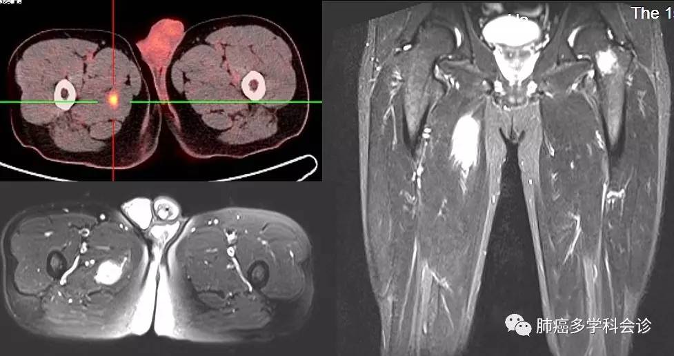
  • 腹膜后多个小淋巴结影部分代谢较活跃4.右侧大腿大收肌代谢活跃灶。

微信图片_20170817161858.jpg2017年2 ~ 4月 培美曲塞 + 顺铂化疗4周期后患者诉右侧大腿内侧疼痛。2017.04.21右侧大腿MRI检查结果回示:左股骨颈、右侧股骨近端水平内侧大收肌内异常信号,考虑转移瘤。微信图片_20170817161901.jpg右侧大腿穿刺活检病理:(右下肢肿物穿刺活检)转移癌,结合病史倾向粘液表皮样癌。微信图片_20170817161904.jpg

【讨论】

肺癌转移的主要途径是淋巴转移,其次是血行转移,血行转移的常见部位为脑、骨、肝及肾上腺,骨骼肌转移非常少见。有文献报道,肺癌患者中,骨骼肌转移的发生率为0.16%,最常见的部位是臀部、肩部、腰背部等肢体的近心端。 “疼痛”是骨骼肌转移最常见的症状, 患者往往因疼痛而就诊。

骨骼肌转移常见的病理学类型为腺癌,鳞癌、大细胞癌、小细胞癌也有报道。 发生机制尚不明确,可能与血流、代谢及组织高压等因素有关。 常见的转移病灶,如肝、骨、肾、脑等组织均富含毛细血 管,血供丰富,而骨骼肌因血流速度快,且乳酸代谢环境也不利于肿瘤生长,故肿瘤转移至肌肉在临床上相对少见。 

目前临床上常用的辅助检查有 CT、磁共振、超 声及正电子发射断层扫描(PET)。 常见的 CT 表现为边缘增强而中央低密度表现的肌肉内肿块,MRI 则表现为肿瘤广泛增强,中央有坏死灶,瘤周水肿, 最终明确诊断仍需依靠组织学检查。

本例患者术后PET-CT提示右侧大腿大收肌代谢活跃灶。但因患者无不适症状,临床未触及肿块,未行活检,后治疗过程中患者出现疼痛症状,MRI检查提示右侧股骨近端水平内侧大收肌内异常信号,怀疑转移瘤。活检证实为转移癌。此例提示我们:虽然骨骼肌转移癌罕见,但现代化检查技术能帮助发掘出你不曾见、想不到的临床表现。

责任编辑:肿瘤资讯-Ruby

评论
2024年08月27日
张振兴
洛阳市中心医院 | 肿瘤内科
特殊病理类型的病理如果有进一步文献学习更佳
2023年07月27日
黄莉
河南省中医院 | 肿瘤内科
术前Pet CT要是做一下就好啦
2022年09月03日
程全
海南省肿瘤医院 | 肿瘤科
这个手术意义在哪里,只能算减瘤手术吧,术后一个月就转移了,可能就存在。