您好,欢迎您

ALK 阳性晚期 NSCLC 病例分享

2017年06月19日
来源:肺癌多学科会诊

例1 教训和启发

没有做基因检测就用分子靶向药物

长期治疗过程中的误判:因为疾病进展缓慢而认为有效。在 6 年半漫长过程中都没有检测(组织、胸水、血液)

常规病理应为分子病理预留标本

长期存活得益于疾病本身进展缓慢—惰性肿瘤

ALK阳性者并非都对化疗敏感

例3  曝露出的问题

对化疗敏感,对ALK抑制剂应该更敏感;

因经济(社会)问题而无力接受治疗,51岁,5月生存;

大多数患者会在基层医院就医 ,而这些医疗单位在影像诊断、活检、常规病理和分子病理方面还有很多困难;

肿瘤与血栓的关系,ALK阳性NSCLC易发生广泛而严重血栓?

高凝状态,多发血栓的诊断和治疗(小分子肝素使用);

靶向药“特效药”的优先使用、医保政策支持;

诊断治疗流程(临床路径)更新,避免或减少类似失误。

例4  特点和思考

症状不突出,体检时发现 IV 期

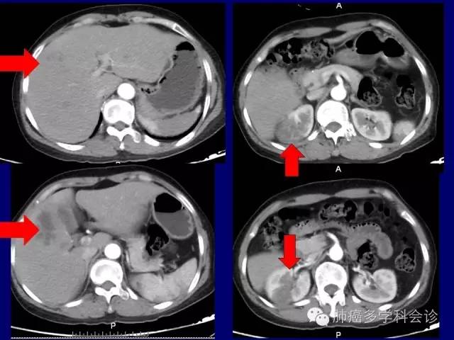
胸水中诊断:常规病理 + 分子病理(ventana IHC)

对PEM为基础的化疗敏感

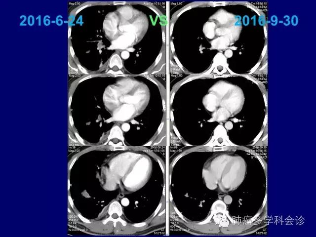
化疗耐药后再使用ALK抑制剂,会明显推迟后者耐药的形成,充分发挥化疗和靶向治疗各自潜能和“相加”(?)作用。41.jpg

责任编辑:肿瘤资讯-Ruby