您好,欢迎您

咯血、腰腿痛和截瘫,扑朔迷离的转移性血管肉瘤

2017年05月17日
编译:
来源: 肺癌多学科会诊

【病例介绍】

患者李YG,男,55岁,右侧腰背部疼痛2月余,咯血和痰中带血、右下肢疼痛20余天。CT提示肺部感染,经一段抗感染后复查CT,提示肺部感染加重。患高血压和糖尿病病史20年,长期口服降压药并注射胰岛素,抽烟10余年。

 2017-03-05 入住呼吸内科,抗感染、止血等。次日因右下肢无力、行走困难、右侧腰背部、双侧臀和大腿后部疼痛、大小便困难等转入神经内科,查体右下肢肌力 4 级,颈强、双侧克氏征阳性,双侧 Lasegue 征和 Lhermitte 征均阳性。先后两次腰穿均为血性脑脊液,第一次测压力大于400mmH20。

给予抗感染、脱水降颅压、缓解脑脊髓血管痉挛、止血、止痛等治疗,症状进展性加重,双下肢肌力逐步下降(右侧下降快于左侧),于2017-3-23发展为截瘫。

住院期间MRI:脑部未见明显异常,胸 9-11椎体水平脊髓内及胸10、11水平椎管右份异常信号。

于03-14 CT行引导下胸椎穿刺,病理:符合血管肉瘤。

微信图片_20170517105817.jpg微信图片_20170517105822.jpg微信图片_20170517105825.jpg

2017-03-23 转肿瘤科。患者神志清,每天咯血约30ml,右上齿龈外侧二个大小分别为花生米和黄豆的红色肿块、表面坏死出血。脐平面以下感觉丧失,双下肢肌力0级,大小便失禁。

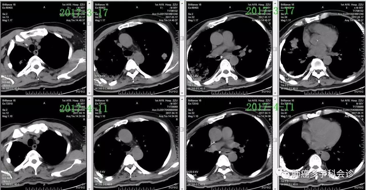
2017-03-24 “紫杉醇+奈达铂”化疗,3周后重复一次。化疗期间口服“舒尼替尼”。化疗开始2 天后咯血即明显减轻,1周后咯血完全消失。齿龈上的两个转移瘤也快速缩小,其中较小一个于1月后消失。感觉平面稍有下移。在第 2 个化疗周期前复查CT示两肺转移灶明显减小或消失,周围出血阴影消失。抗肿瘤开始 6 周后,双下肢肌力恢复至 1 级。

以下化疗前1周(2017-3-17)和第一周期化疗结束后(2017-4-11)两肺转移灶和右胸膜腔病灶的变化:

【讨论】

血管肉瘤样癌罕见,容易出现,造成咯血、络网膜下腔出血(血性脑脊液)和齿龈转移灶渗血等,但对紫杉醇化疗和舒尼替尼治疗非常敏感。

影像科医生和临床医生把两肺转移灶及其周围的出血误认为是感染,较长时间抗感染(包括细菌、真菌、病毒和结核)无效。

此例患者临床表现得复杂多样且进展较快,如能在就诊初期举行多学科会诊,把肺部病变与神经系统病变进行性加重及胸膜腔病变联系起来,也许能避免发生诊断延误,在下肢肌力进行性下降过程中及早干预从而避免截瘫发生。

血管肉瘤全身治疗的药物和方案:

紫杉醇

多西他赛

长春瑞滨

索拉非尼

舒尼替尼

贝伐珠单抗

普通软组织肉瘤的化疗药物及联合方案

欲了解更多血液肿瘤、淋巴瘤相关资讯,与全国各地血液肿瘤、淋巴瘤医生交流与讨论,请扫描以下二维码,添加肿瘤资讯小助手-Dinna微信,备注“血液肿瘤”!qrcode-d.jpeg

责任编辑:肿瘤资讯-Ruby

相关阅读
评论
2022年11月07日
廖建荣
龙岩市第一医院 | 肿瘤内科
晚期或者转移性的血管肉瘤。一线化疗不是选择以蒽环类为基础的方案吗
2019年05月23日
13625170
泰州市第四人民医院 | 其他
学习了