前列腺癌是全球范围内男性最常见的恶性肿瘤之一,在我国的发病率也逐年升高。前列腺特异性抗原(PSA)是目前前列腺癌筛查的重要方式,对前列腺癌的预防-诊断-治疗-疗效观察-预后,都有着重要作用。睾酮与前列腺癌的发生发展、风险评估、治疗都密切相关,然而仅16.5%的临床医生能够做到PSA与睾酮同步监测。因此为规范前列腺癌诊疗流程,普及PSA和睾酮同步管理的诊疗理念,推动前列腺癌规范化诊疗,由北京生命绿洲发起,中国抗癌协会男性生殖系肿瘤专委会(CACA-GO)和中国临床肿瘤协会前列腺癌专委会(CSCO-PC)作为学术支持方联合举办了“中国前列腺癌规范化诊疗示范行-PC PIONEER领航项目三期”活动。为规范践行,聚焦临床经验,领航项目开展了“科室风采”的展示,本次科室风采是烟台毓璜顶医院泌尿外科。

科室简介
烟台毓璜顶医院泌尿外科始建于20世纪60年代,目前已成为国家临床重点专科(建设项目)、山东省临床重点专科、山东省医药卫生重点学科(2022年山东省首批)、山东省医药卫生重点专业、山东省特色专科、全国卫生系统质量品牌单位、国家临床药物实验基地、卫生部内镜培训基地、烟台市临床医学中心。
科室目前总院区及莱山院区共编制床位175张,年门诊量65000余人次,年出院病人8000余例,年均开展各类手术10000余例。下设烟台市泌尿外科研究所、泌尿外科病区、尿动力学研究室、男科诊疗中心、体外冲击波碎石室和泌尿外科专科实验室等。科室医疗设备齐全,技术力量雄厚,专业人才结构合理,集临床、教学、科研于一体。
科室人才梯队合理,目前医师42人,其中二级教授2人、三级教授3人,主任医师9人,副主任医师17人,具有博士学位22人,硕士学位16人,博士研究生导师4人,硕士研究生导师10人。科室人才项目优异,培育泰山学者青年专家5人,享受国务院特殊津贴专家1人,山东省突出贡献专家1人。
医疗特色
科室目前下设泌尿系肿瘤、泌尿系结石、前列腺疾病、男科疾病及盆底尿控等亚专科。科室在山东省率先开展泌尿外科腹腔镜手术,也是国内较早开展腹腔镜手术的中心之一,腹腔镜肾上腺切除术、肾癌根治术、肾部分切除术、肾盂输尿管成形术、活体供肾切取术、前列腺癌根治术、膀胱癌根治术等多项手术均创造了山东省首例。自2019年引进达芬奇手术机器人以来,目前已完成泌尿外科手术1800余例,主要包括前列腺癌根治术、肾部分切除术、肾盂成形术、肾癌根治并腔静脉瘤栓取出术、全膀胱切除原位膀胱术等高难度四级手术,年手术数量居省内泌尿外科首位,手术规模和技术水平居国内领先地位。常规开展经尿道前列腺等离子电切/剜除/热蒸汽/不可逆电穿孔技术。结石亚专业常规开展体外冲击波碎石术、输尿管硬镜/软镜碎石术、微通道经皮肾镜碎石术、输尿管切开取石术等多种微创术式;男科亚专业团队常规开展显微镜下精索静脉低位结扎术、显微镜下附睾输精管探查/吻合术、隐匿性阴茎延长术、小阴茎延长增粗术、阴茎矫形术、尿道下裂成形术、精囊镜探查术等男科手术,近几年成功开展阴茎假体植入术等高难度男科手术;盆底尿控亚专业常规开展低顺应性膀胱的膀胱扩大术、回肠输出道可控膀胱术、压力性尿失禁尿道中段悬吊术、输尿管阴道瘘修复术、经阴膀胱膨出盆底重建术、膀胱阴道瘘修补术等手术。
特色技术
孤立肾肾肿瘤保肾手术
在肾脏肿瘤疾病治疗领域,孤立肾患者面临着更为严峻的挑战。先天性或后天性孤立肾的患者在临床中并不少见。当疾病威胁到这唯一的肾脏时,如何在切除病灶的同时,最大程度保留肾脏功能,成为关键。

孤立肾肾部分切除术是一项极具技术性和创新性的手术技术。与传统全切手术不同,它凭借先进的医学影像技术和精细化的手术操作,通过精准定位肾脏病变部位,仅切除病变组织,而将健康的肾脏组织完好保留。这一技术的突破,极大减少了因全切手术导致患者肾功能丧失、后续需长期透析的风险,显著提升了患者术后的生活质量和健康水平。
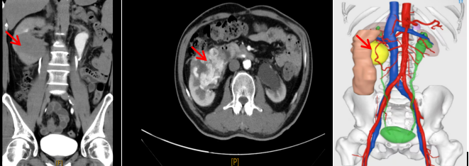
机器人辅助腹腔镜下肾癌根治术+Mayo II 级下腔静脉癌栓取出术
机器人辅助腹腔镜下肾癌根治术+Mayo II 级下腔静脉癌栓取出术肾癌合并下腔静脉癌栓手术被称为泌尿外科“皇冠上的明珠”,手术风险和难度极高,目前科室在开放肾癌根治+下腔静脉取栓手术的基础,常规实施“机器人辅助腹腔镜下肾癌根治术+Mayo II下腔静脉癌栓取出术”,近几年成功实施复杂的Ⅲ、Ⅳ级癌栓手术,荣获医院“技术创新一等奖”,成为区域复杂肾癌诊疗的典范。


内牵引技术在腹膜后入路机器人肾门部肿瘤肾部分切除术中的应用
复杂肾肿瘤手术因其高风险和保肾的艰巨性,可能导致大量出血,还可能危及患者生命。其次,如何最大限度地保护正常肾组织,对医生的技术水平和手术精准度提出了极高的要求。针对这些风险和挑战,积极开展了“内牵引技术在腹膜后入路机器人肾门部肿瘤肾部分切除术中的应用”。该新技术在应对各种复杂情况的肾肿瘤时表现出了卓越的效果。无论是肿瘤位置特殊、形态复杂,还是与周围组织粘连紧密等难题,都能凭借内牵引技术和机器人辅助手术的优势,成功实现保肾目标。目前,科室在运用这项技术进行复杂肾肿瘤手术方面已经积累了丰富的经验,手术成功率高达99%,这一数据充分证明了新技术成果的显著性和技术创新优势的实力。
机器人辅助完全后入路保留Retzius间隙及性神经的前列腺根治术
Retzius间隙的保护对于术后的膀胱功能和尿控恢复至关重要,能够显著减少术后尿失禁的发生率。传统的腹腔镜前列腺根治术虽然可以有效切除肿瘤,但术后的并发症和对周围组织的损伤常常影响患者的尿控功能。为了克服这些难题,采用“机器人辅助完全后入路保留Retzius间隙及性神经的前列腺根治术”,通过机器人技术的精确操控,采用完全后入路的手术路径,使得科室能够在不损伤Retzius间隙(膀胱前间隙)的情况下,进行彻底的前列腺根治。此外,该手术方法还注重性神经的保留,通过机器人辅助技术的高精度和操作灵活性,成功实现了对性神经的保护和保留,使得患者术后的性功能保持率显著提高。
高频不可逆电穿孔技术
前列腺癌传统治疗方法(根治性切除和放疗)虽然控制病情效果显著,但常伴随术后尿失禁和性功能受损等不良反应,严重影响患者生活质量。高频不可逆电穿孔是一种先进的医疗技术,通过应用高频电流在瞬间产生不可逆的细胞膜孔洞,从而导致靶组织的细胞死亡。采用高频不可逆电穿孔技术治疗前列腺癌,能够精准定位并破坏癌细胞,同时极大限度地保护周围健康组织。因此,该技术的显著优势是不仅能有效控制癌症,还能显著减少并发症。
男科手术
在高振利副院长及吴吉涛副院长的支持下,2014-2015年派遣我科医师至北京大学附属第一医院男科中心(泌尿外科四病区)进修,回院后建立男科亚专业团队。目前已开展的男科手术包括性功能障碍手术、男生殖器畸形矫正术、男科急症手术、男科学显微外科手术、阴囊手术、精囊镜检查术、包皮手术和前列腺手术。
目前该团队平均月手术量70-90台,约2/3为男科手术。其中多台阴茎延长+增粗术、阴茎弯曲白膜折叠术和阴茎假体三件套植入术的成功开展,显著改善患者生活质量,备受患者好评。

高难度盆底功能手术
张智宇副主任医师、赵谊宁主治医师领衔团队,成功开展骶神经调控、环形尿道憩室切除、双镜联合尿道修复等多项高难度手术。这些高难度手术的成功开展,离不开团队对技术的精益求精。2025年6月至9月,张智宇赴四川大学华西医院泌尿外科进修,师从沈宏教授、罗德毅教授专攻盆底尿控专业,系统掌握前沿诊疗技术。回院后,他迅速牵头开设泌尿外科尿控门诊,推动骶神经调控、复杂尿道修复等新技术新项目落地,不仅完善了科室亚专业布局,更让烟威地区及周边的尿频、尿急、排尿困难、盆底痛患者,在家门口就能享受到国家级水平的诊疗服务。


科教硕果
近年实验室科研成果突出,承担国家自然科学基金20项,山东省自然科学基金等省部级项目18项,课题经费2000余万元。近年共培养博士后、博士生和硕士生71名,其中获国家奖学金11人、山东省优秀毕业生1人、青岛大学优秀硕士毕业论文4篇,发表SCI论文100余篇。2015年至今在男科方面已获得国基金面上项目2项,国基金青年项目1项,省自然基金2项。男科领域共发表SCI论文40余篇。
近年科室主编人民卫生出版社专著8部,参编多项泌尿外科权威指南及共识,包括《坎贝尔泌尿外科学》、《吴阶平泌尿外科学》、中华医学会泌尿外科分会发布的《中国泌尿外科疾病诊断治疗指南》、中华医学会男科分会发布的《男科疾病诊治指南》、《2020版肿瘤标志物专家共识》等,并和多家单位牵头制定了中国医院协会发布的《患者加速康复外科行业标准》。
人才建设
科室共有医疗人员42人,其中主任医师9人,副主任医师17人,具有博士学位22人。二级教授2人、三级教授3人。科室培育泰山学者青年专家5人、享受国务院特殊津贴专家1人、山东省突出贡献中青年专家1人、全国五一劳动奖章获得者1人、国家级学会副主仟委员1人、学组委员10人,省级学会副主任委员15人。科室多人次有海外博士后留学经历,分别在美国克利夫兰医学中心(Cleveland Clinic)、韩国仁荷大学(Inha University)、美国罗彻斯特大学(University of Rochester)等国际顶尖医院从事临床及基础研究。
全国五一劳动奖章获得者
山东省有突出贡献中青年专家
享受国务院政府特殊津贴。
烟台毓璜顶医院OPO办公室主任
泌尿外科学科带头人、泌尿外一科主任
青岛大学博士研究生导师,泰山学者青年专家
中国医师协会泌尿外科医师分会委员
中华医学会泌尿外科学分会感染与炎症学组委员
中国医师协会男科学医师分会青年委员
中国抗癌协会泌尿男生殖系肿瘤青年委员
中国医学装备协会泌尿外科分会常务委员
山东省医学会泌尿外科学分会副主任委员
山东省医学会男科学分会副主任委员
山东省医师协会泌尿外科医师分会副主任委员
山东省医师协会男科学分会副主任委员
主持国家自然科学基金面上项目3项,主持山东省自然科学基金、省厅级科研基金项目6项,以第一及主要完成人获得山东省科技进步二等奖4项、中华医学会科技进步三等奖1项,以第一及通讯作者发表SCI论文100余篇,2016年-2017年在美国克利夫兰医学中心(Cleveland Clinic)作博士后访问学者1年。
烟台毓璜顶医院泌尿外二科主任、科研科科长
世界华人泌尿外科学会新星奖获得者
中国性学会私密整形与产业分会常务委员
中国抗癌协会泌尿生殖肿瘤整合康复专业委员会委员
中国人体健康科技促进会泌尿男生殖系肿瘤专业委员会委员
中国老年保健协会泌尿外科与男科学专业委员会委员
山东省医师学会泌尿外科常务委员
山东省中西医结合学会泌尿外科副主任委员
山东省医学会泌尿外科分会委员
烟台市中西医结合泌尿外科分会主任委员
第一作者身份发表SCI收录论文31篇,最高分15.3分。主持国家自然科学基金、山东省自然科学基金等多项课题
泌尿外一科副主任,培训部副主任
实验室副主任,伦敦大学学院医院访问学者
中国医师协会泌尿外科分会激光学组委员
中国医师协会泌尿外科分会激光医工学组委员山东省医学会泌尿外科分会创新与组织工程学组副主委
山东省医师协会泌尿外科分会青年副主委
山东省医学会男科学分会肿瘤学组副组长
烟台市医学会泌尿外科分会副主委Scientific Reports、泌尿外科杂志电子、JCO中文版青年编委。擅长腹腔镜及机器人微创手术。以第一/通讯作者(含共同)在Lancet Oncology、JAMA, Lancet Digit Health 、NatureCommunications (2015, 2023),European Urology等杂志发表论文30余篇,主持国家自然科学基金面上项目2项、省市级课题7项,获山东省及烟台市科技进步二等奖3项、山东医学科技三等奖1项
烟台毓璜顶医院是泌尿外一科副主任
医学博士 硕士生导师
曾任韩国仁荷大学全职讲师
中国性学会私密整形分会常务委员
山东省医学会男科分会委员 微创学组副组长
山东省中西医结合协会男科分会委员
烟台市医学会男科分会主任委员
擅长男科专业的各类手术,尤其专长男性不育的外科治疗如显微镜下精索静脉结扎术、显微镜下输精管附睾探查吻合术、显微镜下输精管吻合术,男科整形手术及阴茎手术等
目前共发表了SCI论文20余篇,主持国家自然科学基金面上项目2项
烟台毓璜顶医院泌尿外二科科副主任, 山东省医学会泌尿外科青年委员会副主委,山东省抗癌协会泌尿男生殖分会肿瘤亚专业副主任委员,山东省心功能研究会泌尿外科分会副主委,山东省器官移植学会委员,山东省医学会泌尿外科分会肿瘤学组委员,山东省抗癌协会理事,烟台市泌尿外科学会副主任委员。从医30余年来,在泌尿系疾病的诊断与治疗方面积累了丰富的经验。尤其擅长腹腔镜下膀胱癌根治+尿流改道(原位新膀胱术、回肠膀胱等)、前列腺癌根治术、复杂肾肿瘤的肾部分切除术、肾盂输尿管成型、腹膜后淋巴结清扫等高难度手术,多次在全国性泌尿外科学术会议进行手术演示,并受邀到省内多家医院帮助开展手术。发表学术论文40 余篇,其中SCI收录文章10余篇。主持省部级课题3项,获山东省科技进步二等奖1项,三等奖1 项,烟台市科技进步二等奖1项,获国家专利2项。
毓璜顶医院 泌尿外科
医学博士 副主任医师
青岛大学 硕士研究生导师
泰山学者 青年专家
山东省医学会 泌尿外科学分会 委员
擅长泌尿系结石、肿瘤的微创诊疗
烟台毓璜顶医院泌尿外科一病区护士长
山东省护理学会泌尿外科护理学会副主任委员
山东省医学会泌尿外科分会护理学组副组长
山东省山东中医药老年病专业委员会委员
山东省护理学会中医中西医护理专业委员会委员
烟台市党员名护工作室领衔人
主持烟台市科研计划课题1项,参与科研2项,参编著作4部,专利3项,发表论文十余篇
科室荣誉







责任编辑:肿瘤资讯-明小丽






苏公网安备32059002004080号