您好,欢迎您

胃来说㊺丨维迪西妥单抗联合方案新辅助治疗,助力HER2阳性胃癌实现手术切除

2025年12月19日
整理:肿瘤资讯
来源:肿瘤资讯

对于局部进展期胃癌,尤其是肿瘤负荷大、侵袭性强的患者,通过有效的新辅助治疗实现肿瘤降期,从而创造根治性手术机会并改善预后,是当前临床治疗的重要探索方向。本期,浙江省肿瘤医院叶泽耀教授分享了两例HER2阳性局部进展期胃癌患者,均接受了以维迪西妥单抗为核心,联合PD-1抑制剂和化疗的新辅助治疗方案,取得了显著的治疗效果,为该类患者的治疗提供了临床参考。本文将病例诊疗过程整理如下,并特邀浙江省肿瘤医院杜义安教授对病例进行点评,以飨读者。

病例一

专家介绍

叶泽耀
主治医师

浙江省肿瘤医院 胃外科
中国抗癌协会肿瘤胃病学专委会青年委员
浙江省医师协会肿瘤MDT专委会青年委员会青年委员
浙江省抗癌协会肿瘤微创诊治专委会青年委员会青年委员
浙江省抗癌协会肿瘤营养专委会青年委员会青年委员
浙江省数理医学会肿瘤热疗专委会委员
浙江省医师协会肿瘤MDT专委会秘书
浙江省肿瘤质控中心肿瘤外科专家组秘书
《胃肠肿瘤手术学》编委
《肿瘤整合医学病例精萃》编委
以第一作者身份发表SCI及核心期刊论文十余篇
主持及参与多项省级及厅局级课题
第二届中国胃癌领域中青年医师挑战赛全国总冠军,2019西湖杯登峰之旅消化道肿瘤菁英赛冠军,2020、2021西湖杯登峰之旅肿瘤MDT菁英赛胃癌组冠军,CSCO 2020全国中青年胃癌MDT大赛季军,第七届协和杯腹腔镜胃癌手术3D视频大赛全国总决赛优胜奖,第五届“钱潮杯”肿瘤微创手术视频精英赛亚军,2024CACA胃癌整合诊疗康复训练营一等奖

基本情况

  • 患者:男,60岁。

  • 主诉:上腹部隐痛1周。

  • 现病史:患者1周前出现持续性上腹部隐痛,无恶心呕吐、腹泻黑便等症状。于当地医院(2024年8月15日)行胃镜检查示胃窦大弯后壁一约3.0cm*3.0cm黏膜隆起伴凹陷病灶。病理活检(2024年8月19日)提示:(胃窦)少量腺癌组织(中-低分化腺癌)。

  • 既往史:无特殊。

辅助检查

  • 肿瘤标志物:癌胚抗原(CEA)9.08 ng/mL。

  • 胃镜:胃窦后壁见一大小约2.5cm*3.0cm隆起灶。胃镜病理提示:胃窦腺癌,部分肿瘤分化差。免疫组化及分子检测:HER2 (IHC 2+, FISH +)、PD-L1 (22C3) CPS=10、Claudin18.2 (+++, 8%)、Ki-67 (+, 90%)、hMLH1(+)、hMSH2(+)、hMSH6(+)、PMS2(+)、EBER (-)。

  • 上腹部增强CT(2024年8月20日)提示:胃窦占位,考虑胃癌;幽门下区淋巴结转移可能(图1)。

图片1.png图1. 腹部增强CT(2024年8月20日)

初步诊断:

胃窦腺癌(cT4N2M0)

诊疗经过

新辅助治疗

患者于2024年8月23日行腹腔镜探查术。术中见腹腔内少量腹水,盆底、腹壁、膈肌、大网膜及小网膜及肠系膜表面未见明显转移结节。肿瘤位于胃窦部,已侵犯浆膜层。腹水脱落细胞学检查结果为阴性。

患者入组Victory 01研究,于2024年8月27日至2024年10月11日期间,予以“维迪西妥单抗+mFOLFOX+PD-1抑制剂”联合方案治疗4个周期的。治疗期间耐受性良好,主要不良反应为1级神经毒性及1级消化道反应。

复查腹部增强CT(2024年10月28日),结果提示:胃窦病灶较前稍有退缩,胃周淋巴结较前稍缩小(图2)。疗效评估为部分缓解(PR)。

图片2.png图2. 腹部CT检查(2024年10月28日)

手术治疗

患者于2024年11月1日行胃癌根治术+远端胃切除+毕Ⅱ式吻合术+肠粘连松解术。术后病理提示:送检标本中未见癌残留。肿瘤退缩分级(TRG):0级(完全退缩)。

辅助治疗

患者术后继续原方案辅助化疗,复查提示CEA已降至正常值水平(2.9 ng/mL)。

病例二

基本情况

  • 患者:男,53岁。

  • 主诉:间歇性上腹部隐痛1年,加重半月。

  • 现病史:患者1年前无诱因出现间歇性上腹隐痛,进食后可缓解。近半月症状加重。外院胃镜(2024年12月23日)提示胃体中部大弯及前壁巨大溃疡性病变,考虑胃癌。病理活检为低分化腺癌。

辅助检查

  • 肿瘤标志物:CA724:11.70 U/mL

  • 胃镜:胃体中段前壁及部分大小弯侧见巨大不规则溃疡样隆起。胃镜病理提示:低分化(腺)癌。免疫组化及分子检测:HER2 (IHC 3+)、PD-L1 (22C3)(CPS 2-3)、hMLH1(+)、hMSH2(+)、hMSH6(+)、PMS2(+)

  • 上腹部增强CT(2024年12月24日):胃体病变,考虑胃癌,部分转移淋巴结侵犯肝左叶、胰体部可能大(图3)。

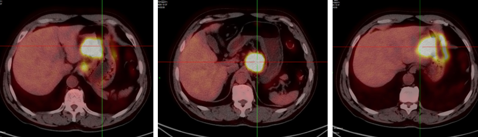
  • PET-CT(2024年12月26日):①胃体多处不规则增厚伴FDG代谢增高,恶性考虑,胃癌符合;②肝胃间隙、胃小弯侧多发肿大淋巴结,FDG代谢增高,转移考虑,累及肝左叶及胰腺可能;③胃周、大网膜多发小结节,不伴FDG代谢增高,转移待排,建议密切随访(图4)。

图片3.png图3. 腹部CT检查(2024年12月24日)

图片4.png图4. PET-CT检查(2024年12月26日)

初步诊断:

胃体腺癌(cT4aN3aM0)

诊疗经过

新辅助治疗

患者于2024年12月31日行腹腔镜探查术。术中见少量腹水,腹膜无明确转移。肿瘤位于胃体,呈弥漫浸润型,已侵出浆膜,小弯侧可见多枚融合淋巴结。腹水脱落细胞学检查结果为阴性。

患者入组Victory 01研究,于2025年1月2日至2025年2月18日期间,予以“维迪西妥单抗+FOLFOX4+PD-1抑制剂”联合方案治疗4个周期的。主要不良反应为1级神经毒性及1级消化道反应。

复查上腹部增强CT(2025年3月7日),结果提示:疾病整体情况较前好转(图5)。疗效评估为PR。

图片5.png图5. 腹部CT检查(2025年3月7日)

手术治疗

患者于2025年3月11日行全胃癌切除术。术后病理提示:腺癌,部分伴神经内分泌分化,低分化。Lauren分型:弥漫型;浸润深度:达黏膜下层。淋巴结转移:送检43枚淋巴结均未见癌转移(0/43)。TRG:1级(中等退缩)。

辅助治疗

患者继续原方案辅助化疗,复查提示CA724已降至正常值以下(2.17 U/mL)

病例点评

专家介绍

杜义安
胃外科副主任,主任医师,硕士生导师

浙江省肿瘤医院

中国抗癌协会肿瘤胃病学专业委员会常委
中国抗癌协会胃肠间质瘤整合康复专业委员会常委
中华全科医师学会全国贲门癌专业委员会常委
中国老年医学学会普外科分会常委
中国癌症基金会科普与健康传播协作组专家
浙江省数理医学学会胃癌专业委员会主任委员
浙江省抗癌协会肿瘤微创诊治专业委员会副主任委员
浙江省肿瘤微创联盟胃癌专业委员会副主任委员
浙江省数理医学学会肿瘤热疗专业委员会副主任委员
浙江省医师协会肿瘤外科分会常委
浙江省抗癌协会胃肿瘤外科专业委员会常委
浙江省抗癌协会肿瘤营养与支持专业委员会常委
浙江省抗癌协会胃癌专业委员会委员
浙江省抗癌协会胃肠道间质瘤专业委员会委员

胃癌作为在全球范围内呈现高发病率的恶性肿瘤,初诊时多数患者已被确诊为进展期甚至晚期,对人类健康构成严重威胁。在胃癌患者总体中,HER2阳性患者占据一定比例。然而,临床上针对这部分患者的治疗手段相对匮乏,存在尚未被满足的临床需求。尽管传统化疗方案是较为常见的治疗选择,但其治疗效果往往难以达到理想状态,患者的生存期难以获得有效延长,生活质量也会受到不利影响。

伴随分子生物学的进展以及精准医疗理念的普及,抗体偶联药物(ADC)的问世与发展为这部分胃癌患者赋予了新的希望和契机。维迪西妥单抗作为一种新型抗HER2 ADC药物,凭借其显著的“旁路杀伤效应”,在临床前研究中,对HER2表达肿瘤展现出了强劲的治疗效能。基于关键研究RC48-C008的研究成果,维迪西妥单抗于2021年6月获得国家药品监督管理局(NMPA)批准,可应用于至少接受过2种系统化疗的HER2过表达局部晚期或转移性胃癌患者。

在胃癌研究领域,维迪西妥单抗的探索并未止步。在2025年美国临床肿瘤学会(ASCO)年会上,一项维迪西妥单抗联合卡瑞利珠单抗与替吉奥新辅助治疗HER2过表达局部晚期胃癌患者的研究结果表明,维迪西妥单抗联合方案新辅助治疗的客观缓解率(ORR)达80.0%(24/30),其中6例(25%)实现病理完全缓解(pCR,即ypT0N0M0)。R0切除率为100%。中位无病生存期(DFS)与总生存期(OS)尚未达到。该研究进一步佐证了维迪西妥单抗在新辅助治疗中的应用潜力,为临床实践提供了具有重要价值的参考依据。以上两例均为HER2阳性的局部晚期胃癌患者,临床分期较晚,肿瘤负荷大。通过采用维迪西妥单抗联合PD-1抑制剂及化疗的创新性新辅助治疗方案,两例患者均获得了显著的肿瘤退缩,影像学评估达到PR,并成功接受了根治性手术。

从临床意义上看,这两例病例的治疗结果令人鼓舞。传统的围手术期化疗或靶向治疗方案对于此类局部晚期胃癌的pCR率通常不高。本组病例中,病例一(HER2 IHC 2+/FISH+)实现了pCR(ypT0N0M0),提示肿瘤细胞对该方案高度敏感;病例二(HER2 IHC 3+)也实现了显著的降期,从临床的T4aN3a降至病理的T1aN0,同样取得了巨大的临床获益。这充分展示了“ADC+免疫+化疗”三联方案在新辅助治疗中强大的肿瘤退缩效力,为HER2阳性局部进展期胃癌的治疗提供了极具前景的新策略。未来,仍需要更大规模的前瞻性临床研究来进一步验证该方案的长期疗效(如DFS、OS)与安全性,并探索最优的治疗周期、药物组合及获益人群,从而有望改写这类难治性胃癌的治疗格局。

责任编辑:肿瘤资讯-古木
排版编辑:肿瘤资讯-WJH
版权声明
版权归肿瘤资讯所有。欢迎个人转发分享,其他任何媒体、网站如需转载或引用本网版权所有内容,须获得授权,且在醒目位置处注明“转自:良医汇-肿瘤医生APP”。