引言:近年来,免疫检查点抑制剂的出现极大地改变了NSCLC的治疗格局。随着研究的深入,免疫治疗的应用已前移至可手术患者的围术期阶段,旨在通过新辅助治疗缩小肿瘤、清除微转移灶,并结合术后辅助巩固,以期最大程度降低复发风险,改善长期预后。肿瘤资讯特别邀请辽宁省肿瘤医院朱新江教授分享并点评一例70岁高龄IIA期NSCLC患者,通过多学科团队协作,为该患者成功实施了纳武利尤单抗联合化疗新辅助治疗、手术切除及术后免疫维持的全程管理策略,并取得了接近病理学完全缓解(pCR)的卓越疗效,旨在为该类患者的临床诊疗提供实践参考和思路。
辽宁省肿瘤医院医务部副主任(主持工作)
辽宁省抗癌协会第二届肿瘤MDT专委会 候任主任委员
辽宁省医学会内科学分会第十一届委员会 常务委员
辽宁省医院协会病案管理专业委员会 副主任委员
辽宁省生命科学学会肿瘤放射免疫治疗分会 副主任委员
辽宁省细胞生物学学会纵膈肿瘤细胞学专委会 常务委员
辽宁省免疫学会肿瘤营养与免疫分会 常务委员
辽宁省肿瘤规范化诊疗质控中心 秘书
辽宁省肺癌规范化诊疗质控专委会 委员
中国老年医学学会公共健康服务分会 常务委员
沈阳市高级人才
病例介绍
基本情况
基本信息:男,70岁
主诉:胸部疼痛半个月,发现肺占位5日。
首次入院时间:2024.12.25
现病史:患者2024年12月无明显诱因出现右侧胸部针刺样疼痛,无放射性,时有咳嗽,咳白痰,无发热盗汗,无胸闷气短,无咯血,无头晕头痛。外院CT提示右肺占位,考虑恶性可能性大。
既往史:吸烟史50年,每日10支,已戒。无基础疾病,无过敏史。
查体:浅表淋巴结未触及肿大,右肺上叶呼吸音弱,双肺未闻及明显干湿罗音,心律齐,未闻及病理性杂音,腹平软,无压痛及反跳痛,肝脾肋下未触及,双下肢无浮肿。
辅助检查
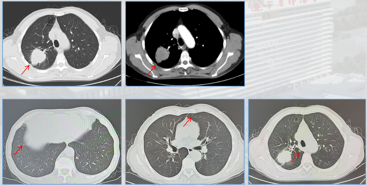
胸部+上腹部增强CT:右肺上叶后段见肿块影,大小约50mmX44mm,可见分叶、毛刺、胸膜凹陷、充气支气管、棘状突起征象,恶性可能大。双肺内多发磨玻璃及实性小结节影,建议随诊观察。右肾小囊肿可能大,建议复查。

免疫组化结果:CK7(+);A1:CK(+);TTF-1(+);NapsinA(+);CK5/6(-);INSM1(-);Syn(-);Ki-67 热点区约70%(+);P63(-); P53约50%强(+)【补充免疫组化】A1:PD-L1(22C3)TPS<1%。

NGS基因检测

ECT:全身骨骼显影清晰,颈椎下段(具体节段不详),第4、9、10胸椎,第1、2、4、5腰椎,左侧踝关节见异常放射性核素分布浓聚,余处骨未见异常放射性核素分布浓聚和稀疏。膀胱过度充盈,部分盆腔骨骼显影不清。

颈椎增强MRI: 颈椎序列不稳,曲度过弯;颈椎退变。部分椎体异常信号,随诊复查。C4-7间盘膨出。
头增强MRI:脑内少许缺血灶可能大。双侧上颌窦炎。
临床诊断
右肺上叶恶性肿瘤(腺癌,PD-L1<1%);cT2bN0M0 IIA期;ECOG 1分。
MDT讨论
MDT 意见:科室开展 MDT 讨论,影像科排除骨转移,认为肺部结节暂无法定性,建议定期复查,综合团队意见采用新辅助治疗后再行手术的策略。
诊治经过
1、2025.01新辅助治疗:纳武利尤单抗360mg Q3W+培美曲塞+顺铂 Q3W;3周期。

病理检查:

2、2025.4.22行右肺上叶手术,纵隔淋巴结清扫。
术后诊断:右肺上叶恶性肿瘤术后(腺癌);ypT1aN0M0 Ia1期 ;ECOG 1分。

3、2025.05.09 辅助治疗:2025.05.09纳武利尤单抗辅助维持。
专家点评
朱新江教授: 本病例是一位70岁高龄,有长期吸烟史的男性患者,因“胸部疼痛”入院,最终临床诊断为IIA期(cT2bN0M0)肺腺癌,PD-L1表达为阴性(TPS<1%)。患者在确诊后,经多学科协作诊疗(MDT)团队讨论,为其制定了新辅助免疫联合化疗、后续手术切除及术后免疫维持治疗的治疗策略。该患者最终达到接近病理学完全缓解(pCR)的疗效,充分体现了精准诊疗在肺癌全程管理中的临床价值。
在诊断层面,患者经穿刺活检病理证实为肺腺癌,免疫组化结果(TTF-1+、NapsinA+)进一步支持肿瘤为肺原发。PD-L1检测显示为阴性表达(TPS<1%)。二代测序(NGS)提示存在SMARCA4剪切突变及STK11长片段缺失,这两种分子异常通常提示预后较差且可能存在治疗抵抗风险。整个诊断流程规范、层层递进,为后续治疗策略的制定提供了全面而可靠的依据。
在治疗层面,基于MDT讨论,本病例采用了“新辅助免疫联合化疗→手术→术后辅助免疫”的全程管理模式。治疗结局显著验证了该策略的有效性:术后病理评估显示肿瘤病理学缓解率达99%,接近pCR,并成功实现从cT2bN0M0至ypT1aN0M0的病理学降期。该结果提示患者有望获得长期无病生存。本案例有力证实了该联合治疗模式在局部晚期非小细胞肺癌(NSCLC)患者中具有重要临床应用潜力,也为未来临床实践与研究方向的拓展提供了有益借鉴:
1、CheckMate-77T研究奠定基石地位
新辅助免疫联合化疗、后续手术加辅助免疫的围术期全程管理模式,其有效性和安全性已在大型III期临床试验中得到验证。关键性的CheckMate-77T研究证实,对于可切除的II-IIIB期NSCLC患者,与单纯化疗相比,纳武利尤单抗围术期方案(新辅助纳武利尤单抗+化疗,序贯术后纳武利尤单抗辅助治疗)显著改善了患者的无事件生存期(EFS),并大幅提高了病理完全缓解(pCR)率。 该研究结果表明,围术期方案可显著降低42%的疾病复发、进展或死亡风险,pCR率更是从化疗组的4.7%跃升至纳武利尤单抗组的25.3%。 本例患者高达99%的病理缓解率,正是这一卓越疗效在真实世界病例中的有力印证。
2、广泛适用性与可靠安全性
值得注意的是,该患者的PD-L1表达为阴性,但依然从纳武利尤单抗联合治疗中获得了极佳的疗效,这再次印证了该方案的广泛适用性,不完全依赖于PD-L1表达这一单一标志物。同时,患者在整个新辅助治疗期间耐受性良好,保障了治疗方案的顺利完成和手术的如期进行,体现了其成熟可控的安全性。
3、生物标志物指导个体化治疗
尽管本例患者取得了近乎pCR的卓越疗效,但这也启发我们进一步思考:对于那些缓解程度未达MPR(主要病理缓解)的患者,术后应如何优化辅助治疗策略?这需要我们持续探索更可靠的生物标志物。循环肿瘤DNA(ctDNA)或微小残留病灶(MRD)检测在新辅助治疗疗效动态监测和指导术后治疗决策方面展现出巨大潜力。 未来的临床实践中,结合影像学、病理学及MRD等多维度评估,或能帮助我们更精准地为患者制定个体化的围术期治疗方案,决定何时“加码”或“降级”治疗,最终实现疗效与安全性的最佳平衡。
本例IIA期NSCLC患者的成功诊疗,是围术期免疫治疗时代下,精准诊断、多学科协作和循证实践相结合的成果。这不仅为该患者个人带来了更长的生存希望,也为临床医生在面对同类患者时,选择以纳武利尤单抗为核心的围术期治疗方案增添了有力证据。
排版编辑:Niko






苏公网安备32059002004080号