近年来,随着免疫治疗领域的蓬勃发展,晚期NSCLC患者的治疗前景迎来了前所未有的曙光。尤其国产免疫药物的大力发展更是丰富了我国肺癌患者的治疗方案选择,极大提高了药物经济性和可及性。2025年欧洲肺癌大会(ELCC)上,CameL-sq研究重磅公布了5年长期随访结果,结果令人鼓舞!卡瑞利珠单抗联合化疗一线治疗晚期驱动基因阴性鳞状非小细胞肺癌(NSCLC)5年OS率达27.8%(意味着近1/3的患者生存期突破五年),显著降低患者死亡风险达43%,助力更多患者实现长生存1。
本期,我们诚挚地邀请了厦门医学院附属第二医院林连城教授分享一例诊断为左肺鳞状细胞癌T4N2M0 IIIB期患者的治疗经过。从2020年4月24日开始,患者接受卡瑞利珠单抗联合化疗一线治疗,后于2020年6月予左肺门放射治疗。随后接受卡瑞利珠单抗单药维持治疗。二线治疗予更换化疗方案后联合卡瑞利珠单抗治疗,二线维持治疗方案同样为卡瑞利珠单抗维持治疗。末次治疗时间为2025年2月20日,予卡瑞利珠单抗单药维持治疗。末次CT复查时间为2025年6月16日。影像学随访显示,目前病情稳定。迄今为止,总生存期(OS)已超62个月。该患者所展现出的长生存不仅是对卡瑞利珠单抗疗效的有力证明,也为晚期转移性肺癌患者通过免疫联合治疗实现长期生存提供了宝贵的实例。
厦门医学院附属第二医院(厦门市呼吸疾病诊治中心),胸部肿瘤二科,主任医师
中国医药教育协会介入微创专委会呼吸分会常委、秘书
中国医药教育协会介入微创青委会常委
福建省海峡医药卫生交流协会肺栓塞与肺血管病专委会委员
福建抗癌协会胸部肿瘤微创治疗专委会委员
厦门市医师协会呼吸分会委员
主要从事呼吸系统疾病及肺癌、肺小结节的临床诊治
擅长于:各种呼吸内镜介入诊疗、肺结节肺肿瘤的各种消融治疗,大咯血的血管介入治疗,肺癌的血管介入灌注化疗栓塞术等呼吸介入诊疗技术
病例资料
基线特征
患者:男性,67岁
主诉:反复咳嗽、左侧胸痛1月
现病史:患者因“反复咳嗽、左侧胸痛1月”,于2020年3月25日入院,入院后完善胸部CT检查提示:左肺门占位、纵隔淋巴结肿大
既往史:高血压,氨氯地平治疗,血压控制良好
查体:全身浅表淋巴结未触及,双肺呼吸音减弱,左肺少许干啰音
辅助检查
血清肿瘤标志物:
CEA:9.43ng/ml
NSE:16.46ug/L
细胞角蛋白19片段:25.25ug/L
SCC:0.4ng/ml
肺功能:
FEV1/FVC:86.44%
FVC%:(2.26L)87.0%
FEV1:(1.95L)89.1%
提示正常肺通气功能
舒张试验:阴性
心脏彩超:左室射血分数:67%
颅脑+上腹部MRI平扫+增强:脑白质病变,左侧上颌窦及双侧筛窦炎症,空泡蝶鞍,肝脏多发囊肿,左侧肾上腺增粗,考虑增生
骨ECT:未见明显异常显像
肺癌驱动基因检测:阴性
PD-L1:TC>50%.
胸部CT平扫+增强:左肺门肿块侵犯左肺动脉,考虑中央型肺癌并阻塞性炎症,左肺肿瘤支气管播散不除外,纵隔及左肺门淋巴结转移可能,肺气肿

超声支气管镜:左上肺可见新生物

活检病理:非角化性鳞状细胞癌

诊断
左肺鳞状细胞癌 T4N2M0 IIIB期
增强CT提示左肺病灶侵及左肺动脉,累及左主支气管,故考虑T4
纵隔多处淋巴结转移N2
无远处转移M0
一线治疗
治疗方案:
2020-04-24 至 2020-06-22 行3周期免疫+化疗
2020-06-22 予左肺门进行放射治疗
放射治疗结束后,予原方案化疗2周期
具体方案:
一线治疗用药方案:卡瑞利珠单抗 200mg+白蛋白紫杉醇 400mg +卡铂 500mg
放疗剂量:P-GTV(95%V),DT60Gy/30F/6W
复查评估
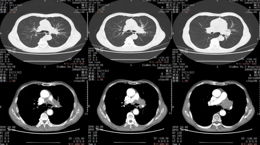
胸部CT平扫+增强:

疗效评价:PR (左肺门病症明显缩小,结构清晰)
后续治疗:2020-06-22日开始给予左肺门进行放射治疗
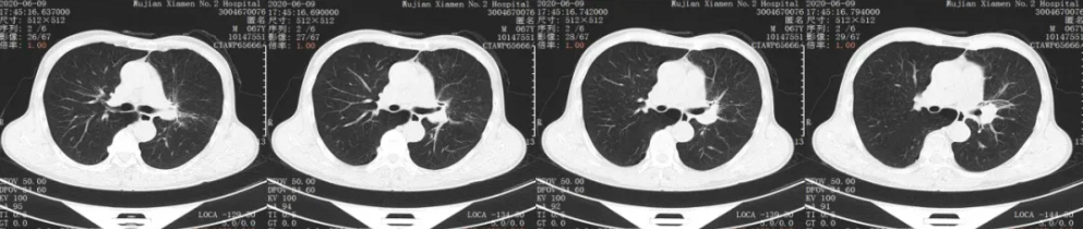
胸部CT平扫+增强:

疗效评价:PR/SD(放疗结束后复查CT未见明显放射性肺炎及不良反应)
后续治疗:放射治疗结束后,继续给予原方案化疗2周期,复查胸部CT,疗效评价PR,病情稳定
维持治疗
行31个周期免疫维持治疗
具体方案:
一线维持治疗用药方案:卡瑞利珠单抗 200mg
复查评估
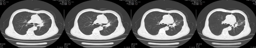
胸部CT平扫+增强:2021年10月复查

胸部CT平扫+增强:用药31个周期后复查

疗效评价:SD
后续治疗:考虑专家推荐免疫治疗2年,目前患者病情稳定,建议停用免疫维持,进行观察
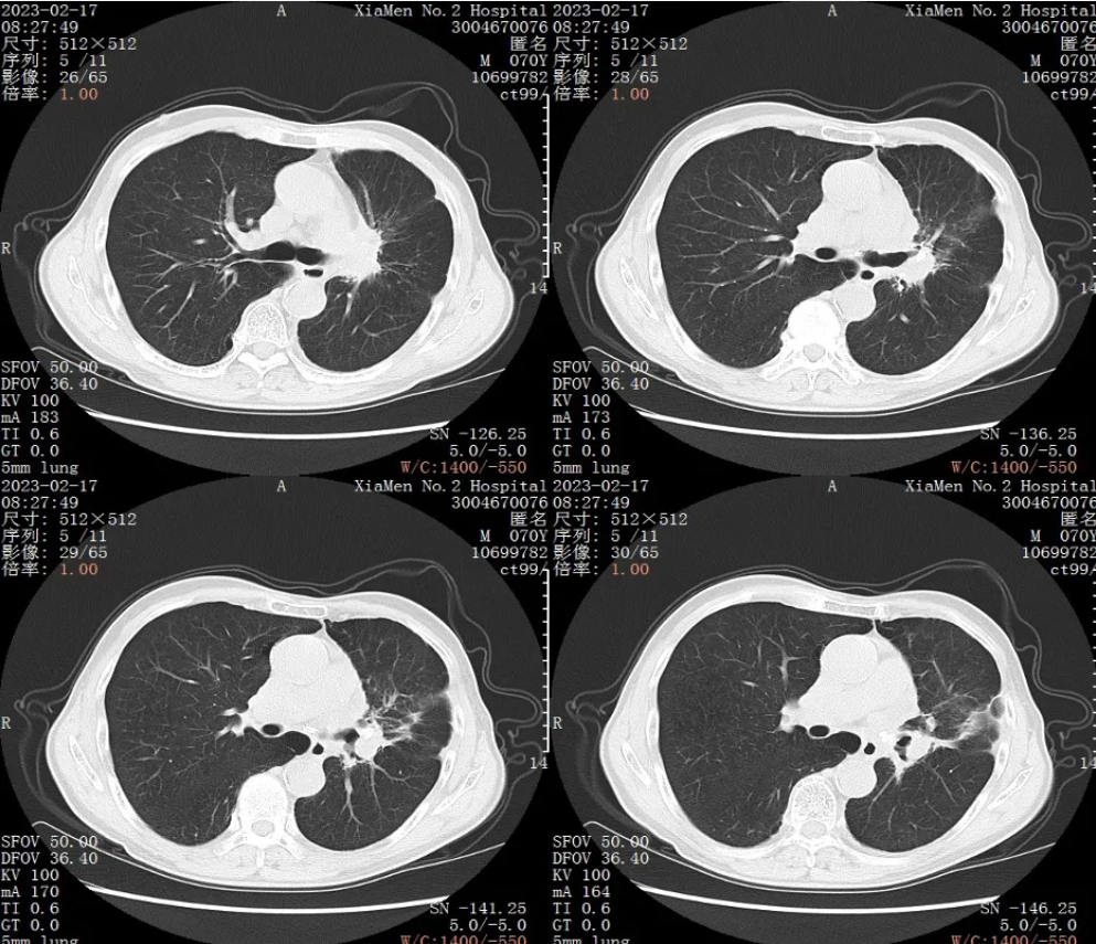
胸部CT平扫+增强:2023年2月17日复查CT

超声支气管镜:左上肺可见新生物

疗效评价:PD(2023年2月17日CT报告提示肿瘤进展)
二线治疗
治疗方案:
更换化疗方案后联合免疫行二线治疗
具体方案:
二线治疗用药方案:卡瑞利珠单抗 200mg d1+吉西他滨 1.6g d1+卡铂 400mg d1
复查评估
胸部CT平扫+增强:2023年复查

疗效评价:PR
维持治疗
治疗方案:
予免疫维持治疗
具体方案:
二线维持治疗用药方案:卡瑞利珠单抗 200mg q3w
复查评估
胸部CT平扫+增强:2024年复查

疗效评价:SD
后续治疗:目前共进行了50周期的免疫治疗,病情稳定,建议给予停用
胸部CT平扫+增强:2025年2月20日末次用药,停用4月后复查

疗效评价:SD(近期于2025年6月16日复查CT,复查结果显示病情稳定)
治疗小结
2020年4月,患者被诊断为左肺鳞状细胞癌 T4N2M0 IIIB期。
从2020年4月24日开始,患者接受卡瑞利珠单抗联合化疗一线治疗,后于2020年6月予左肺门放射治疗。随后接受卡瑞利珠单抗单药一线维持治疗。二线治疗予更换化疗方案后联合卡瑞利珠单抗治疗,后期二线维持治疗方案同样为卡瑞利珠单抗单药维持治疗。末次治疗时间为2025年2月20日,予卡瑞利珠单抗单药维持治疗。末次CT复查时间为2025年6月16日。影像学随访显示,目前病情稳定。迄今为止,总生存期(OS)已超62个月。

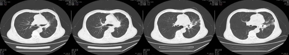
治疗经过图
小 结
该患者为左肺鳞状细胞癌 T4N2M0 ⅢB期(高危特征:肿瘤侵犯左肺动脉及左主支气管、纵隔N2多站转移),驱动基因全野生型但PD-L1高表达(TC>50%),经“一线化免联合+放疗巩固→一线免疫维持→二线化免挽救→二线免疫维持”的全程管理,实现总生存期(OS)超62个月,且多次治疗调整后仍保持病情稳定,其治疗历程与临床启示可从四大核心维度展开,为同类局部晚期鳞癌患者的精准诊疗提供实践参考:
1、高危ⅢB期鳞癌的“化免+放疗”一线策略:PD-L1高表达人群的疗效最大化
患者基线存在两大高危因素——T4肿瘤侵犯大血管(左肺动脉)、N2纵隔多站转移,此类患者在传统化疗时代中位OS常不足18个月。但本例依托“卡瑞利珠单抗+白蛋白紫杉醇+卡铂”一线化免联合方案,在6周期治疗中加入左肺门放疗(DT60Gy/30F),不仅快速实现PR(左肺门病灶缩小、结构清晰),且放疗后无放射性肺炎等严重不良反应,为后续长期获益奠定基础。
这一策略的合理性可从两方面印证:
其一,患者PD-L1高表达(TC>50%),而CameL-sq研究显示,卡瑞利珠单抗联合化疗在PD-L1 TPS≥50%的鳞状NSCLC中,5年OS率达54.0%,显著优于化疗组(17.0%),本例PD-L1高表达状态为化免疗效提供了核心预测依据;
其二,放疗与免疫存在协同机制——放疗可通过“释放肿瘤抗原、激活局部免疫反应”增强PD-1单抗的抗肿瘤效应,尤其针对中央型肺鳞癌(本例左肺门病灶),放疗既能控制局部侵犯风险,又能放大免疫疗效。
2、免疫维持的“疗程与停药”决策:从“2年标准”到个体化调整
本例一线化免联合治疗达PR后,采用卡瑞利珠单抗单药维持31个周期(超2年标准疗程),期间持续保持SD,2023年2月17日CT报告提示肿瘤进展,这一过程体现了两大临床价值:
PD-L1高表达人群的免疫维持优势:PD-L1高表达患者的肿瘤微环境中免疫细胞活化程度更高,免疫维持治疗可持续抑制残留肿瘤细胞,本例31个周期的稳定期远超传统化疗维持(通常为6~8个月),印证了CameL-sq研究中高表达亚组获益更显著;
免疫停药后的“进展再治疗”可行性:患者停药后进展,二线更换吉西他滨(鳞癌敏感化疗药)联合卡瑞利珠单抗仍能快速达PR,后续单药维持至今保持SD,这提示免疫治疗诱导的“免疫记忆效应”可长期存在——即使停药后肿瘤进展,再次激活免疫仍能有效控制病情,为临床中“免疫维持疗程个体化调整”提供了实践依据。
3、跨线治疗的疗效突破:卡瑞利珠单抗的“拖尾效应”与鳞癌适配性
本例全程共接受50周期卡瑞利珠单抗治疗,涵盖一线、二线跨线应用,且均展现明确疗效,核心原因在于:
鳞癌治疗的循证支撑:CameL-sq研究已证实,卡瑞利珠单抗联合化疗是中国鳞状NSCLC一线标准方案,5年OS率达27.8%,显著降低死亡风险43%,本例作为鳞癌患者,其疗效与研究数据高度契合;
跨线治疗的临床价值:对于一线免疫维持进展的患者,二线继续使用同一PD-1单抗(卡瑞利珠单抗)联合不同化疗方案(从白蛋白紫杉醇换为吉西他滨),既规避了“更换免疫药物的未知毒性”,又通过化疗药物的调整克服潜在耐药,最终实现OS突破62个月,这为“免疫跨线治疗”提供了真实世界证据——尤其在无其他驱动突变的鳞癌中,PD-1单抗跨线应用可作为重要挽救策略。
4、安全性管理与临床启示:高危人群的“疗效-安全”平衡
本例治疗全程未出现≥3级免疫相关不良反应(irAE),放疗后无放射性肺炎,仅通过常规监测实现安全管理,这为同类患者提供了三大实操启示:
PD-L1高表达人群的毒性特征:PD-L1高表达患者不但免疫疗效更优,同时irAE发生率并未显著升高,本例全程安全可控,提示此类人群可更积极地采用免疫联合治疗
放疗与免疫的安全性协同:针对中央型肺鳞癌(左肺门病灶),采用联合常规放疗方案,既保证局部控制率,又避免了高剂量放疗导致的肺损伤,与免疫联合时未加重肺部毒性,说明“化免+放疗”是高危局部晚期鳞癌的安全选择
停药后监测的重要性:本例免疫维持停药后3个月进展,提示即使病情稳定停药,仍需每3~6个月进行胸部CT+肿瘤标志物监测,尽早发现进展并启动再治疗,以最大化延长生存。
综上,本病例是PD-L1高表达、驱动基因阴性的局部晚期肺鳞癌(IIIB期)通过“化免联合+放疗巩固+免疫跨线维持”实现超长期生存的典型范例。其治疗历程验证了卡瑞利珠单抗在鳞癌领域的疗效与安全性,也为临床提供了可复制的诊疗路径——对于PD-L1高表达的局部晚期鳞癌,“一线化免+放疗”可作为优选方案,免疫维持疗程可结合病情稳定情况个体化调整,进展后跨线继续使用免疫联合不同化疗仍能获益,最终为患者实现“长生存+高生活质量”的双重目标。
1.Caicun Zhou, et al. Camrelizumab plus chemotherapy (Cam-chemo) as first-line (1L) therapy for advanced squamous non-small cell lung cancer (sqNSCLC): 5y update from the phase III CameL-sq trial. 2025 ELCC Abstract 12P.
排版编辑:肿瘤资讯-Lynn






苏公网安备32059002004080号