您好,欢迎您

美例秀秀|抗HER2治疗,亡羊补牢为时不晚

2020年04月14日
WechatIMG2666.jpeg

第17例

病例分享:龚烨 新疆自治区人民医院
指导老师:苏鹏程 新疆自治区人民医院
审核与点评:潘跃银 安徽省肿瘤医院
               
苏鹏程
副教授,硕士生导师,主任医师

新疆维吾尔自治区人民医院乳腺甲状腺科主任
新疆医学会乳腺甲状腺学组副组长
中国医师协会乳腺疾病培训专家委员会委员
中国研究型医院学会甲状腺疾病专业委员会委员

               
龚烨
主治医生,硕士研究生

新疆维吾尔自治区人民医院
擅长乳腺、甲状腺良恶性肿瘤的综合诊治,乳腺良性肿瘤微创旋切术,乳腺癌改良根治术、保乳根治术,前哨淋巴结活检,乳腺癌假体再造术。甲状腺良性结节消融术,甲状腺癌标准根治术。发表SCI论文1篇,核心论文5篇。主持科研课题一项,参与2项,主编著作1部,参编2部。

基本病史

患者女性,49岁,月经规律,维吾尔族,农民。2014年2月6日以“发现右乳肿物2月”为主诉入院。既往体健,否认慢性病、传染病史。

入院体格检查:双乳对称,右乳9点方向距乳头2cm处可触及一肿物,大小约2.5×2.0cm,质硬,界不清,无压痛。局部无“酒窝征”及“橘皮样”改变。左乳未见明显异常,右腋下可触及一肿大淋巴结,大小约2.0×2.0cm,质硬,界尚清,固定。左侧腋下及双侧锁骨上未触及明显肿大淋巴结。

影像学及实验室检查:1.乳腺超声:右侧乳腺9点处可见一低回声结节,大小约24mm×19mm,边界不清,回声不均,内可见簇状强回声。CDFI:内可见穿支血流信号,右腋下可见多发淋巴结样回声,右侧大小为26×15mm,皮髓质界限不清。2.胸部CT提示右乳结节,右侧腋窝多发淋巴结肿大。3.肝胆胰脾超声、骨扫描等未见明显异常。4.血常规、血生化和肿瘤标志物未见明显异常。

治疗经过

患者无明显禁忌,为最大程度改善预后,于2014-2-10行全麻下右乳腺癌改良根治术,术后病理示:(右侧乳腺)浸润性导管癌,肿瘤最大径2.5cm。右腋窝转移淋巴结22/38, 组织学分级Ⅲ级,肿瘤周围组织可见瘤栓。免疫组化:ER(-),PR(-),HER2(3+),Ki-67(+)50%,CK7(+),E-cadherin(+),P53(+)20%,CEA(-)。进一步行FISH确证:HER2扩增。

术后诊断

右侧乳腺侵润型导管癌Ⅲ级并右侧腋窝淋巴结转移(pT2N2M0,IIIA期)

▎分子分型:HER2阳性HR阴性型

术后治疗

1.化疗:为最大限度巩固手术治疗效果,经与患者沟通,术后1月开始行 AC-T方案化疗,共8周期;

2.靶向治疗:因患者自身原因,拒绝行曲妥珠单抗治疗;

3.放疗:完成化疗后,患者于2014年7月7日行右胸壁联合右锁骨上下区放疗。

疾病复发及治疗

患者完成上述治疗后,定期复查。2017年11月复查腹部B超时发现:肝多发实性占位灶。CT平扫示:肝内多发占位性病变,部分融合成片,考虑转移。行超声引导下肝占位灶穿刺,病理结果提示:转移灶,考虑为乳腺来源。免疫组化 ER(-),PR(-),C-erbB-2(3+)

经与患者反复沟通,充分告知在乳腺癌中抗HER2治疗的必要性,患者同意采用曲妥珠单抗靶向治疗。于2017年11月起行卡培他滨联合曲妥珠单抗一线治疗至今。迄今为止定期复查,疾病处于稳定状态。

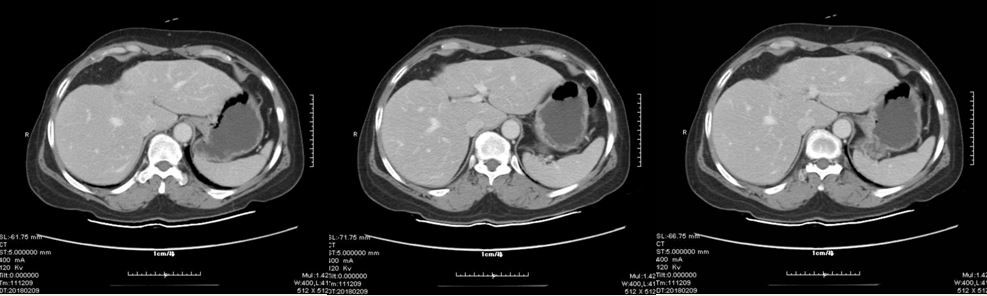
517184515.jpg549884586465.jpg

治疗前肝转移灶

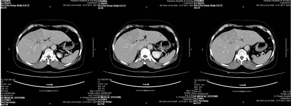
549849848946.jpg

治疗后肝转移灶

总结

患者于2014年2月行右乳腺癌改良根治术,术后确诊为:HER2阳性HR阴性乳腺癌。初始应予以AC-TH一线标准方案辅助化疗,但患者拒绝使用曲妥珠单抗,遂予以AC-T方案。2017年11月发现肝脏转移, 无病生存期(Disease-free  survival,DFS)44个月。复发后行卡培他滨(希罗达)联合曲妥珠单抗靶向抗HER2治疗,迄今为止多次评估,疗效评价完全缓解(complete remission,CR)。截止目前无进展生存期(progression-free survival, PFS)达13个月,未出现疾病进展。

点评专家

               
潘跃银
主任医师,博士生生导师

安徽省立医院集团肿瘤科主任,肿瘤教研室主任
安徽省肿瘤医院副院长
安徽省卫计委学术技术带头人
2007-2008年在美国哈佛大学医学院附属DANA-FARBER癌症中心做访问学者,并在法国INSTITUT CURIE-PARIS中心接受培训。
 主要研究方向实体瘤的内科治疗,尤其擅长乳腺癌及肺癌的药物治疗
中国临床肿瘤协会(CSCO)理事
安徽省医学会乳腺病分会侯任主任委员
安徽临床肿瘤学会候任理事长
中国临床肿瘤协会免疫治疗委员会委员,肝癌专家委员会委员,肾癌专家委员会委员,姑息治疗委员会委员,肿瘤预防专业委员会委员
中国医促会姑息与人文关怀专业委员会常委
中国医促会胸部肿瘤专业委员会委员
《临床肿瘤学杂志》编委
《Journal Thoracic Oncology》编委
《中国肾癌诊治指南》编写专家组成员
《CSCO中国乳腺癌专家共识》专家组成员
《中国晚期乳腺癌专家共识》编写专家组成员
《中国蒽环类药物心脏毒性诊治指南》编写专家组

点评:

患者中年女性,49岁。首诊IIIA期乳腺癌患者,右侧乳腺侵润型导管癌Ⅲ级并右侧腋窝淋巴结转移(pT2N2M0,IIIA期),分子分型:HER2阳性HR阴性型。分析其病理特征:浸润性乳腺癌Ⅲ级、手术病理可见肿瘤周围组织瘤栓,免疫组化结果:ER(-)、PR(-)、C-erBb-2(3+,FISH确证:HER2扩增)、Ki67(+,50%)。

分析患者年龄、既往治疗和手术病理等情况,结合NCCN 2018 V3乳腺癌指南和我国CSCO 2018版乳腺癌诊疗指南,患者术后明确需辅助化疗、放疗和靶向治疗。初始辅助治疗选择AC-TH方案联合放疗,因患者自身原因放弃靶向治疗,这为日后复发埋下了伏笔。HERA研究证实曲妥珠单抗用于HER2阳性早期乳腺癌的术后辅助治疗,显著提高HER2阳性早期乳腺癌的治愈机会,显著降低复发和病死风险,是HER2阳性早期乳腺癌辅助治疗的标志性药物。该研究同时提示,即使辅助化疗结束,5年内仍可考虑使用曲妥珠单抗,只要疾病未出现进展。目前国际上对于HER2阳性的高危患者(N+或HR-)术后推荐使用曲妥珠单抗联合帕妥珠单抗(Pertuzumab)双靶+化疗治疗,今日帕妥珠单抗已经获得NMPA批准上市,现在患者也可选择双靶方案了。既往APHINITY研究结果显示,与使用曲妥珠单抗的方案相比,使用含帕妥珠单抗和曲妥珠单抗的双靶治疗方案能够降低19%的iDFS事件(HR 0.81;95%CI 0.66-1.00;P=0.045),其中淋巴结阳性患者和激素受体阴性患者从治疗中获益最多。

后患者疾病复发,出现肝转移灶,而该患者在术后辅助治疗期间未使用曲妥珠单抗,现使用卡培他滨化疗+曲妥珠单抗靶向联合治疗。GBG26研究是一项在HER2阳性的并曾用过曲妥珠单抗治疗,进展后需进一步治疗的晚期乳腺癌患者中开展的随机对照的III期临床研究。这项研究再次证实曲妥珠单抗在乳腺癌各个阶段均可发挥作用,进一步证明曲妥珠单抗在HER2阳性乳腺癌的各个阶段均可延长生存期,并再次确定了曲妥珠单抗作为HER2阳性乳腺癌药物治疗的基础地位。此例患者加用曲妥珠单抗维持治疗后,目前PFS达13个月,未出现疾病进展,临床获益明显,目前来看这种选择是合理的,现在亡羊补牢为时不晚。

该病例带给我们一些思考:对于高危HER2阳性型乳腺癌患者(N+)来说,术后化疗联合靶向治疗是必不可少的,优选方案是曲妥珠单抗+帕妥珠单抗+化疗的双靶方案,在帕妥珠单抗可及的情况下,患者可以选择PH+化疗,后续可以联合放疗,获得更多获益。该患者复发后曲妥珠单抗联合化疗治疗后取得CR,维持至今,治疗效果明显。这个病例可以充分体现HER2阳性患者治疗中抗HER2治疗的必要性和重要性。

 

参考文献

1.Longer-Term Assessment of Trastuzumab-Related Cardiac Adverse Events in the Herceptin Adjuvant (HERA) Trial[J]. Journal of Clinical Oncology, 2010, 28(21):3422-3428.

2.Gianni L , Dafni U , Gelber R , et al. Treatment with trastuzumab for 1 year after adjuvant chemotherapy in patients with HER2-positive early breast cancer: a 4-year follow-up of a randomised controlled trial.[J]. Lancet Oncology, 2011, 12(3):236-244.

3. Von Minckwitz G, Procter M, De Azambuja E, et al. Adjuvant Pertuzumab and Trastuzumab in Early HER2-Positive Breast Cancer[J]. N Engl J Med, 2017, 377(2):122-131.

4. 王静姝, 姚和瑞. HER2阳性早期乳腺癌治疗年度进展[J]. 岭南现代临床外科, 2018, 18(1):1-5.

5. 董倩, 姜达, 姚孜琪,等. cNCCN指南对HER2过表达型乳腺癌治疗的指导意义[J]. 中国肿瘤, 2015, 24(8):688-695.

6. Smith I , Procter M , Gelber R D , et al. 2-year follow-up of trastuzumab after adjuvant chemotherapy in HER2-positive breast cancer: a randomised controlled trial[J]. Lancet (North American Edition), 2007, 369(9555):0-36.


想与全国乳腺癌医生同道一起交流,沟通,分享吗?请您发工作牌或者医师证等可以证明医生身份的照片给小明,验明医生身份后邀请入群。更有获得国内线下会议参会机会哦!

1535440126991245.jpg

 

评论
2018年12月18日
153****5699
邵阳市中医医院 | 肿瘤内科
分期错了