您好,欢迎您

循证有例|14年缓解后再起波澜!警惕“肾上腺增厚”背后的乳腺癌转移

02月25日
整理:肿瘤资讯
来源:肿瘤资讯

肾上腺转移在乳腺癌中并不常见,仅占肾上腺肿瘤的不足 2%,且多在原发肿瘤诊治阶段被发现,缓解十余年后以“肾上腺增厚”为首发表现的双侧转移更为罕见。这类非特异性影像学表现常因缺乏典型肿块易被忽视,延误诊断。

本文通过一例乳腺癌术后缓解 14 年并发双侧肾上腺转移的病例,梳理其从“偶然发现”到“确诊转移”的诊疗全过程,结合文献探讨肾上腺转移的临床特点、诊断难点及治疗策略。

病例介绍

患者,女,64 岁,因“腹部隐痛2个月”就诊。

既往乳腺癌诊疗史

  • 2011 年确诊左乳浸润性小叶腺癌(T2N1Mx),免疫组化示ER阳性、PR阳性, HER2阴性;

  • 行左乳切除术+多西他赛联合环磷酰胺化疗+放疗,术后予内分泌治疗 4 年(初始他莫昔芬治疗 6个月,后改为戈舍瑞林+芳香化酶抑制剂,2014 年停用戈舍瑞林,2016 年自行停用芳香化酶抑制剂);

  • 术后规律随访近 14 年,无明确复发迹象。

现病史与体格检查

  • 症状:腹部隐痛呈“酸痛感”,无肾上腺激素分泌异常相关症状(如库欣综合征表现、高血压、乏力、体重骤降等),偶有晨起恶心,既往有骨量减少病史;

  • 体格检查:生命体征平稳,无库欣综合征、高雄激素血症相关体征,腹部无压痛、反跳痛,未触及肿块。

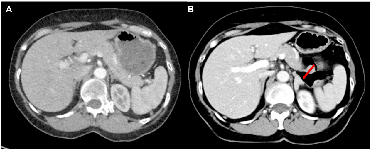
初始辅助检查

  • 腹部增强 CT(图 1B):偶然发现左侧肾上腺弥漫性增厚(形态仍保留肾上腺轮廓),与 5 年前 CT(图 1A,肾上腺形态正常)对比为新发异常;

图片7.png

图1 腹部增强 CT
  • 激素检查:血浆甲氧基肾上腺素、过夜 1mg 地塞米松抑制试验、醛固酮/肾素比值均正常,排除肾上腺激素分泌异常。

诊疗经过

动态影像学监测与病情进展

首次随访(5-6个月后):腹部增强 CT 示右侧肾上腺外侧肢新发增厚,左侧肾上腺下极出现 0.9cm 结节,左侧病灶平扫 CT 值 36HU,绝对洗脱率 48%,相对洗脱率 21%。

再次随访(3个月后):双侧肾上腺结节进一步增大,右侧可见两个优势结节(分别 1.1cm、1.0cm),平扫 CT 值分别为 34HU、52HU,绝对洗脱率均约 65%;左侧结节大小稳定(图 2A)。

PET-CT(图 2B):双侧肾上腺增厚及结节区呈明显 FDG 高摄取(左侧 SUVmax 8.29,右侧 SUVmax 11.9),高于肝脏背景摄取(SUVmax 3.39),伴腹主动脉旁 8mm 淋巴结高摄取。

图片8.png

图2 随访腹部CT示双侧肾上腺结节样增大进展,PET/CT示FDG摄取增高

激素复查与病理确诊

激素复查:促肾上腺皮质激素(ACTH)升高(97pg/mL,参考值 15-66pg/mL),脱氢表雄酮 sulfate(DHEA-S)降低(31μg/dL,参考值 35-380μg/dL),促肾上腺皮质激素兴奋试验(CST)60 分钟皮质醇 13.7μg/dL(<15.4μg/dL),确诊原发性肾上腺皮质功能不全。

病理活检:经血管内超声引导下经静脉肾上腺及腹主动脉旁淋巴结活检,病理示腺癌(ER+/PR+/HER2-),免疫组化 GATA3、CK7 阳性,符合乳腺癌转移。

治疗与随访

替代治疗:予氢化可的松替代治疗(晨起 15mg + 晚间 5mg),无需盐皮质激素替代。

肿瘤治疗:启动瑞波西利联合来曲唑的靶向+内分泌治疗。

疗效与预后:治疗 2 周后出现严重中性粒细胞减少,暂停 1 周期后减量恢复治疗;目前仍在随访中,预后较差,治愈可能性低。

讨论

疾病特点与罕见性

发病特征:肾上腺转移占乳腺癌远处转移的比例极低,仅约 2%,且多为单侧转移;本例为术后 14 年双侧转移,属于极晚期复发,推测与肿瘤细胞“休眠机制”相关,受未知因素激活后增殖形成转移灶。

影像学特征:“肾上腺增厚”指肾上腺体积增大但保留原有形态,无离散性肿块,不同于典型肾上腺偶发瘤(>1cm 肿块),这类表现多为良性,但在恶性肿瘤病史患者中需警惕早期转移;恶性肾上腺病变的关键影像学提示包括:平扫 CT 值>10HU、FDG 高摄取,本例双侧病灶均符合上述特征。

鉴别诊断核心

  • 需排除嗜铬细胞瘤(影像学可表现为高 FDG 摄取,需通过激素检查排除,避免活检诱发危象);

  • 需与原发性肾上腺淋巴瘤、肾上腺结核/组织胞浆菌病鉴别(均可能表现为双侧肾上腺增大 + FDG 高摄取,需结合病理及病史排除);

  • 洗脱率的局限性:传统认为恶性肾上腺病变绝对洗脱率<60%,但本例病灶洗脱率>60% 仍为恶性,提示洗脱率单独应用可靠性有限,需结合病史、FDG 摄取等综合判断。

确诊关键:对于恶性肿瘤病史患者,新发肾上腺增厚/结节需动态监测,若出现进展性增大、FDG 高摄取,需及时活检明确病理,同时需完善激素检查评估肾上腺功能。

治疗策略

功能替代治疗:合并原发性肾上腺皮质功能不全时,需优先予糖皮质激素替代(如氢化可的松),维持肾上腺功能稳定。

肿瘤治疗:遵循晚期激素受体阳性乳腺癌治疗原则,采用 CDK4/6 抑制剂联合芳香化酶抑制剂的靶向 + 内分泌治疗方案,本例因出现骨髓抑制需剂量调整。

预后特征:乳腺癌肾上腺转移整体预后较差,尤其极晚期复发患者,治疗目标以控制病情、延长生存期为主。

小结

乳腺癌术后长期缓解患者出现“肾上腺增厚”这一非特异性影像学表现时,需高度警惕转移可能,即使无典型肿块也不能忽视。诊断需结合动态影像学监测(关注病灶大小、CT 值、FDG 摄取变化)、激素检查(排除功能异常及嗜铬细胞瘤)及病理活检。治疗需兼顾肾上腺功能替代与肿瘤系统性治疗。本例提示,乳腺癌患者的复发风险可持续数十年,对长期幸存者的新发影像学异常需保持警惕,个体化评估是优化预后的核心。

参考文献

Martinez-Cruz M, Sharma S, Kannuswamy R, et al. Bilateral Adrenal Metastases From Breast Cancer 14 Years After Remission: Diagnostic Value of “Adrenal Thickening”. JCEM Case Reports. 2026;4(2):luaf258.

责任编辑:肿瘤资讯-Jina
排版编辑:肿瘤资讯-slb
版权声明
本文专供医学专业人士参考,未经著作人许可,不可出版发行。同时,欢迎个人转发分享,其他任何媒体、网站如需转载或引用本网版权所有内容,须获得授权,且在醒目位置处注明"转自:良医汇-肿瘤医生APP"。