您好,欢迎您

医案集萃丨神刊CA:GEJ腺癌pCR后复发,PD-L1与CLDN18.2“双阳性”患者一线如何破局?

01月31日
编译:肿瘤资讯
来源:CA: A Cancer Journal for Clinicians

胃食管结合部(GEJ)腺癌的治疗格局正在经历深刻变革。随着免疫检查点抑制剂和生物标志物驱动疗法的引入,治疗策略日益精准化。本文报道了一例由美国耶鲁大学医学院内科肿瘤学系 Jill Lacy 教授团队在医学顶刊 CA: A Cancer Journal for Clinicians 发表一篇局部晚期GEJ腺癌患者经三模式治疗获得病理完全缓解(pCR)后复发,并在转移阶段通过生物标志物指导成功接受免疫联合化疗的病例,同时深入探讨了围手术期治疗选择的争议及CLDN18.2等新兴靶点的临床意义。

病史

患者为54岁男性,既往有高血压、高脂血症、创伤后应激障碍(PTSD)及阿片类药物依赖史。因进行性吞咽固体食物困难3个月急诊就医,无呕血或体重减轻,ECOG评分为0。

急诊胃镜检查发现GEJ处有一近乎完全梗阻的肿块,向近端食管延伸5cm。活检证实为中分化腺癌。免疫组化显示:HER2阴性,错配修复蛋白完整(pMMR),PD-L1 CPS评分5-9,Claudin18.2(CLDN18.2)在>75%的肿瘤细胞中表达(图1)

131.png

图1. 活检组织苏木精-伊红染色(H&E)及 PD-L1、Claudin 18.2 和 HER2 IHC 染色

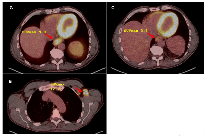
分期CT和内镜超声(EUS)及PET/CT提示GEJ及上腹部淋巴结代谢活跃,左侧腋窝淋巴结虽有代谢但在活检后证实为疫苗接种后的反应性增生(图2)。

21.png

图2. 代表性的PET图像,其SUVmax值有助于分期和评估新辅助治疗的疗效。(A) 治疗前基线PET图像显示FDG高摄取的远端食管/胃食管交界处肿块(箭头所示)。(B) 基线PET图像显示FDG高摄取的左侧腋窝淋巴结肿大(箭头所示)。(C) 诱导FOLFOX方案化疗后,同时进行FOLFOX方案化疗和放疗的PET图像显示远端食管/胃食管交界处肿块(箭头所示)代谢完全缓解。FDG表示氟代脱氧葡萄糖;FOLFOX表示氟尿嘧啶和奥沙利铂;GEJ表示胃食管交界处;PET表示正电子发射断层扫描;SUVmax表示最大标准化摄取值。

临床分期为cT3N2M0(III期)。

诊疗经过:患者接受了诱导化疗(3周期FOLFOX)及随后同步放化疗(CRT,放疗联合FOLFOX),复查PET/CT显示代谢完全缓解(图2C)。随后行微创食管切除术,术后病理显示食管及19枚淋巴结均无残留癌细胞,达到病理完全缓解(pCR,ypT0N0)(图3A)。基于CheckMate 577标准(pCR患者被排除),术后未行辅助纳武利尤单抗治疗,进入主动监测。

211.png

图3. (A)食管切除标本病理检查显示完全缓解。(B)后续肝脏活检显示转移性腺癌(H&E染色)。

术后10个月,复查CT发现肺部多发结节及肝脏新发病灶。肝脏病灶活检显示中分化腺癌,偶见杯状细胞和管腔坏死,符合食管原发灶转移(图3B),免疫组化再次确认CLDN18.2高表达(>75%)及PD-L1阳性(CPS 5-9)。二代测序(NGS)检测显示ERBB3和PIK3CA突变(表1)。

表1. NGS:患者胃食管交界处活检样本中检测到的体细胞变异

2111.png

综合考虑后,患者开始接受FOLFOX联合纳武利尤单抗一线治疗。治疗5周期后,影像学评估显示肺部及肝脏转移灶显著缩小,达到部分缓解(PR)。目前患者生活质量良好,已重返工作岗位。

局部晚期治疗策略的演变:历史上,在新辅助放化疗(nCRT)领域,CROSS 方案(放疗同步卡铂联合紫杉醇化疗)较单纯手术显著改善了E/GEJ腺癌患者的OS(腺癌队列 10 年 OS 率 36% vs 26%),且耐受性良好。但该方案腺癌患者的 pCR 率仅为 23%,nCRT 改善患者生存预后的同时未能降低其肿瘤远处转移率,提示仍需进一步优化患者的全身治疗。。然而,最新的ESOPEC试验显示,围手术期FLOT化疗方案在生存获益上优于CROSS方案(3年OS:57.4% vs 50.7%)。尽管本例患者在结果公布前接受了诱导化疗+CRT并达到pCR,但目前的证据更倾向于围手术期化疗作为首选。此外,MATTERHORN研究提示在围手术期FLOT基础上联合度伐利尤单抗可显著改善无事件生存期(EFS)。


转移性疾病中的生物标志物决策:对于HER2阴性、pMMR的转移性GEJ腺癌,治疗决策依赖于PD-L1和CLDN18.2状态。本例患者同时表现为PD-L1阳性(CPS 5-9)和CLDN18.2阳性。

治疗选项包括: 1. 化疗+免疫(PD-1抑制剂): CheckMate 649等研究证实了其OS获益。 2. 化疗+佐妥昔单抗(抗CLDN18.2单抗): SPOTLIGHT/GLOW研究显示其优于安慰剂。

由于缺乏头对头比较数据,且目前尚无PD-1单抗与佐妥昔单抗联合使用的数据,治疗选择需权衡耐受性。鉴于佐妥昔单抗常见的恶心呕吐副作用,以及患者对长期生活质量的考量,医疗团队最终选择了耐受性更好且长期生存数据成熟的FOLFOX+纳武利尤单抗方案。本病例集中体现了在免疫治疗与生物标志物驱动的时代背景下,多学科协作对于应对疾病复杂性、提升患者长期预后的核心价值。

参考文献

[1]. Baum LVM, Johung KL, Gibson J, Cartagena G, Boffa DJ, Lacy J. Adenocarcinoma of the esophagus and gastroesophageal junction: The evolving treatment landscape for locally advanced and metastatic disease in the era of immune checkpoint inhibitors and biomarker-driven therapeutics. CA Cancer J Clin. 2026;76(1):e70050. doi:10.3322/caac.70050

责任编辑:古木
排版编辑:古木

版权声明

本文专供医学专业人士参考,未经著作人许可,不可出版发行。同时,欢迎个人转发分享,其他任何媒体、网站如需转载或引用本网版权所有内容,须获得授权,且在醒目位置处注明"转自:良医汇-肿瘤医生APP"。