您好,欢迎您

神母中国之声(第5期)| 我是如何治疗高危神经母细胞瘤的

01月20日

整理:肿瘤资讯

来源:肿瘤资讯



一例初治高危神经母细胞瘤患儿的

规范化全程治疗之路



病例分享嘉宾


陶肇堃 医师

浙江大学医学院附属儿童医院

肿瘤外科,化疗组医师

▪ 毕业于重庆医科大学,硕士

▪ 具有丰富的临床经验,尤其擅长儿童恶性实体肿瘤,如神经母细胞瘤、肝母细胞瘤、肾脏恶性肿瘤、横纹肌肉瘤、恶性生殖细胞瘤肿瘤、尤文肉瘤、未分化肉瘤等的综合治疗



患者资料


一般资料:患儿男,初诊年龄3岁9个月

主诉:右下肢疼痛1月余

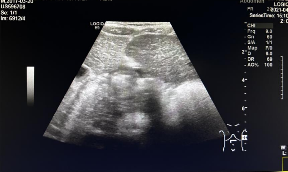
现病史与既往史:初诊1月余前游玩时自诉右下肢疼痛,呈持续性疼痛,性质不详,休息后无法缓解,无发热、腹痛等症状。双侧髋关节MR(2021.1.6)提示“双侧髂骨、坐耻骨、股骨及其骨骺、骶尾椎及所见腰椎广泛骨质破坏,伴周围软组织肿胀”。腹部B超(2021.1.8)提示“右侧后腹膜低回声包块”。既往史无殊。



辅助检查


PET/MR(2021.1.11)

腹膜后右侧肾上腺区不规则团块,FDG代谢增高,考虑恶性病变,神经母细胞瘤可能性大,建议结合病理;腹膜后腹主动脉右旁数枚肿大淋巴结,FDG代谢增高,考虑转移;全身骨骼FDG代谢弥漫性增高,考虑骨髓浸润。

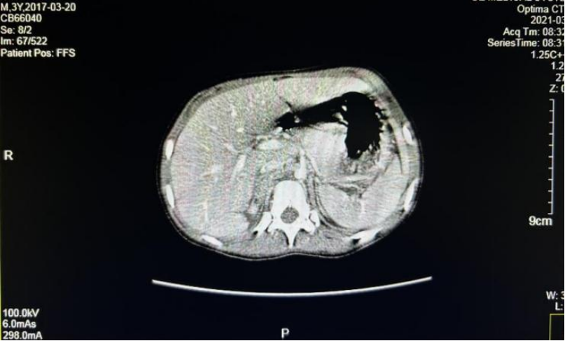
全腹部增强CT(2021.1.12)

右侧肾上腺区占位,范围约33.4 mm×50.2 mm×64.4 mm,考虑神经母细胞瘤伴多发骨转移;下腔静脉形态不规则,管壁稍毛糙,局部受侵犯可能;腹膜后多发肿大淋巴结。

生物学标志物

ALK(+),Ki-67(约95%),MYCN(-);11q23(-);SRD(-)。

病理诊断

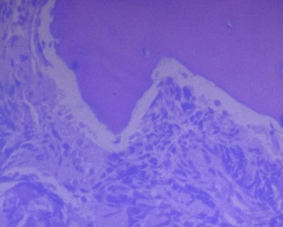
2021.1.13行“B超引导下右侧腹膜后肿物穿刺活检术+骨髓活检术+骨髓穿刺术”,术后病理:镜下可见小圆蓝肿瘤细胞成片分布,结论为(腹膜后)低分化神经母细胞瘤(高MKI)。

骨髓检查

骨活检:镜下见骨髓腔内小圆蓝肿瘤细胞成片分布,结论为(左髂骨穿刺)转移性神经母细胞瘤。

骨髓常规:考虑肿瘤骨髓转移。

肿瘤标志物水平

NSE(2021.1.11) 348 ng/L;LDH(2021.1.9) 742 U/L;活检组织GD2 53.4%;骨髓GD2 11.1%。



疾病诊断


腹膜后神经母细胞瘤(M期,高危),伴腹膜后淋巴结、骨和骨髓转移。



治疗历程


第一阶段:诱导治疗

诱导化疗:参考CCCG-2015高危组方案,行3个周期诱导化疗。

2021.1.18-2021.1.22

长春地辛+环磷酰胺+伊立替康

2021.2.10-2021.2.14

长春地辛+环磷酰胺+伊立替康

2021.3.9 -2021.3.12

顺铂+依托泊苷

诱导化疗后疗效评估:全腹部增强CT(2021.3.9):右侧肾上腺区占位较前范围缩小,横断面较大范围约23 mm ×16 mm,骨质破坏较前略好转。

2021.3.9

骨髓评估:未见异常细胞;骨髓GD2 0/50000。提示骨髓转阴。

肿瘤标志物NSE 20.89ng/ml。提示NSE转阴。

手术治疗:2021.3.31行“开腹探查+右侧腹膜后肿瘤切除+右侧肾上腺切除+右肾固定+腹膜后淋巴结清扫+静脉输液港植入术”。

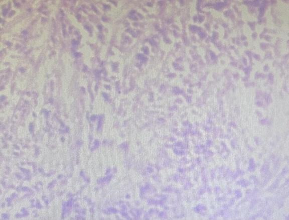
术后病理:送检肿瘤组织大小约5 cm×2.5 cm×1.5 cm,镜下见低分化的神经母细胞瘤成分,伴广泛坏死、出血、含铁血黄素沉着、组织细胞及炎细胞浸润,可见散在钙化。

淋巴结:4区2/4、3区1/6、5区1/3见肿瘤转移,9区0/1未见肿瘤转移。

病理结论:(腹膜后)符合低分化神经母细胞瘤化疗后改变。

术后评估:2021.4.6腹部B超未见异常包块。

参考CCCG-2015高危组方案,行7个周期化疗:

2021.4.7-2021.4.9

长春地辛+环磷酰胺+表柔比星

2021.4.28-2021.5.1

顺铂+依托泊苷

2021.5.20-2021.5.22 

长春地辛+环磷酰胺+表柔比星


2021.6.15

外周血造血干细胞采集

2021.6.22-2021.6.25

长春地辛+环磷酰胺+托泊替康

2021.7.17-2021.7.20

长春地辛+环磷酰胺+托泊替康

2021.8.11-2021.8.14 

顺铂+依托泊苷

2021.9.4-2021.9.6

长春地辛+环磷酰胺+表柔比星


第二阶段:巩固治疗


自体造血干细胞移植:2021.10行自体造血干细胞移植,预处理方案:MEL+VP16+CBL。回输有核细胞数7.26*108/Kg。CD34+干细胞:6.78*106/Kg。粒系植活时间:+10天,巨核系植活时间:+17天。

治疗后评估:2021.11.10MR(类PET成像)提示全身骨多发异常信号。

2021.11.3骨髓检查:阴性。

放疗:2021.11.29-2021.12.14行腹部瘤床TOMO放疗,95%的PTV接受2160cGy/12F。

放疗后复查:2021.12.21PET/MR:术区未见明确肿块,FDG代谢未见明显异常;全身多处骨骼局部骨质信号异常,FDG代谢未见异常增高,考虑骨转移治疗后改变。

疗效评估:CR。


第三阶段:维持治疗


治疗方案:达妥昔单抗β联合GM-CSF及异维甲酸治疗5个周期,随后口服异维甲酸4个周期,于2022.10.25停药。

启动治疗前疾病状态:CR。

启动治疗前的脏器功能及体能状态:良好。

基线体格参数:体重21.5 kg,身高116.5 cm,体表面积0.834 m2,5个周期达妥昔单抗β总量420 mg。

第1周期(2022.1.17-2022.1.27)

▪ 达妥昔单抗β:10 mg/m²/d,d1~d10,总量80 mg

▪ GM-CSF:250 μg/㎡/d,每次200 ug,每天一次,皮下注射,d-2~d9

▪ 异维甲酸:160 mg/m²/d,每次60 mg,一天两次,口服,d15~d28

第2~4周期方案同前,略。

第5周期(2022.6.6-2022.6.16)

▪ 达妥昔单抗β 10mg/m²/d,d1~d10,总量100 mg

▪ GM-CSF:250 μg/㎡/d,每次200 ug,每天一次,皮下注射,d-2~d6、d8、d10

▪ 异维甲酸:160 mg/m²/d,每次60 mg,一天两次,口服,d15~d28

第3周期后疗效评估

MR类PET(2022.4.30):骨盆诸骨异常信号较前略明显;两侧股骨异常信号较前略好转;余全身多发骨异常信号较前相仿。

NSE(2022.5.3):13.89 ng/ml。

综合评估:CR。

治疗后疗效评估

骨髓涂片(2022.6.2):未见异常。GD2:0/500000。

MR类PET(2022.7.22):骨质多发异常信号较前大致相仿。

NSE(2022.7.25):16ng/ml。

综合评估:CR。

不良反应及处理

第1周期:出现发热、腹痛、轻度浮肿、尿量减少,经对症治疗缓解;治疗期间出现白细胞及粒细胞增多(考虑与GM-CSF相关),暂停GM-CSF注射后缓解。

第2周期:出现发热、浮肿、尿量减少,咽痛、流涕(考虑合并感染),经对症治疗缓解;白细胞、粒细胞增多,暂停GM-CSF注射后缓解。

第3周期:出现发热、浮肿、尿量减少、面色潮红,咳嗽、流涕、咳痰(考虑合并感染),经对症治疗缓解;白细胞、粒细胞增多,暂停GM-CSF注射后缓解。

第4周期:出现发热、腹泻、浮肿、尿量减少、轻度腹痛、轻度咳嗽咳痰(考虑合并感染)、面色潮红,经对症治疗缓解;白细胞、粒细胞增多,暂停GM-CSF注射后缓解。

第5周期:出现发热、轻度浮肿、轻度腹痛、面色潮红,经对症治疗缓解;白细胞、粒细胞增多,暂停GM-CSF注射后缓解。


随访阶段

MR类PET(2022.9.2):原骨多发异常信号较前有所吸收。

南京MIBG显像(2023.3.29):Curie评分0分。

MR类PET(2024.9.8):原骨多发异常信号已不明显。

末次随访日期:2025.12.17

疗效评估:CR。



病例点评专家


茅君卿 教授

浙江大学医学院附属儿童医院

▪ 肿瘤外科,副主任医师

▪ 中国抗癌协会儿童肿瘤整合康复专业委员会委员

▪ 中国研究型医院学会儿童肿瘤专业委员会委员

▪ 中国生物医学工程学会儿童肿瘤精准治疗专委会委员

 浙江省抗癌协会小儿肿瘤专业委员会常务委员

 浙江省抗癌协会家族遗传性肿瘤专业委员会委员

 浙江省抗癌协会肿瘤微创诊治专业委员会罕见肿瘤学组组员



专家点评


本例患儿初诊年龄3岁9个月,首发症状为右下肢疼痛,诊断为腹膜后神经母细胞瘤(M期,高危),伴腹膜后淋巴结、骨和骨髓转移,基因检测均阴性。患儿整个诊治过程以规范化诊疗为宗旨,以多学科综合治疗为特点。


诱导治疗阶段参考CCCG-2015高危组方案进行3个周期化疗,骨髓转阴,NSE降至正常,根治术后继续原方案进行7个周期化疗。随后巩固治疗阶段进行了自体造血干细胞移植以及局部瘤床放疗,巩固治疗阶段后评估患儿达到CR。维持治疗阶段以达妥昔单抗β为核心,经历5个周期的达妥昔单抗β联合GM-CSF以及异维甲酸治疗,治疗结束后疗效评估持续为CR。


在治疗过程中,达妥昔单抗β安全性评估良好,不良反应在预期范围内,且经对症处理后均缓解,未发生3-4级不良反应;同时,达妥昔单抗β有效性评估良好,在治疗过程中以及结束治疗后3年余的时间里,患儿维持在无事件生存状态,疗效评估稳定在CR。


该病例体现出,规范化的全程诊疗结合达妥昔单抗β为主的维持治疗,对于初治高危的神经母细胞瘤患儿延长生存时间、提高生活质量有着重要作用。


“码”上关注【神母菁英学院】

了解更多神母资讯~


排版编辑:Fu

责任编辑:木子李

版权声明

版权归肿瘤资讯所有。欢迎个人转发分享,其他任何媒体、网站如需转载或引用本网版权所有内容,须获得授权,且在醒目位置处注明“转自:良医汇-肿瘤医生APP”。


评论
03月11日
刘桂林
长海县獐子中心卫生院 | 普通内科
感谢老师分享的内容
03月11日
陈清
衢州市柯城区人民医院 | 血液肿瘤科
好好学习天天向上
03月11日
邵玉香
西华县中医院 | 肿瘤内科
好好学习,天天向上