您好,欢迎您

Cancer Cell | 张泽民/丁培荣/朱琳楠/程斯进/高千千合作揭示了直肠癌新辅助治疗期间T细胞和内皮细胞的重塑机制

11月25日
来源:Scientific Services和元生物    

新辅助治疗(TNT)是局部晚期直肠癌(LARC)的标准治疗方案,但其疗效背后的免疫重塑机制尚不明确。

2025年11月6日,重庆医科大学/北京大学张泽民、中山大学丁培荣、北京大学朱琳楠、重庆医科大学程斯进、高千千等合作在 Cancer Cell(IF=44.5)发表题为Remodeling of T and endothelial cells during total neoadjuvant therapy in rectal cancer的研究成果。

使用scRNA-seq、scTCR-seq和空间转录组测序,表征了不同新辅助治疗诱导的肿瘤微环境(TME)变化。TNT与调节性T细胞减少和高IFNG表达的IFNG+CD8+效应记忆T细胞增加相关,可能有助于提高完全缓解率。肿瘤浸润性CD8 + T细胞丰度与TNT后ACKR1+内皮细胞亚群的富集相关。进一步证实,内皮细胞在受到可能由CD8 + T细胞释放的IFNγ刺激时,获得了增强的呈递抗原和激活CD8 + T细胞的能力。

总之,该研究揭示了TNT后活化的CD8+ T细胞和内皮细胞之间独特的相互作用。

PSmW3GcmQvVf71sXaCD1CPhXmZfJPfbM.jpg

研究结果

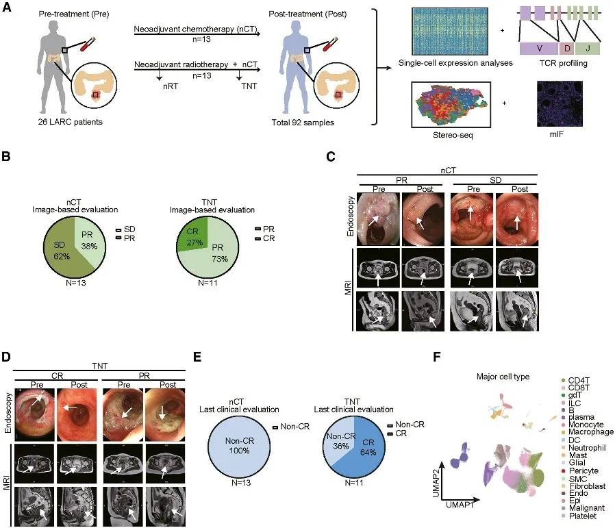
1.新辅助治疗后局部晚期直肠癌的细胞类型分布

纳入了26例接受新辅助化疗(nCT)和新辅助治疗(TNT)的局部晚期直肠癌(LARC)患者(图1A)。基于影像学评估,nCT治疗患者的SD为62%,PR为38%;而TNT治疗患者的疗效更佳,PR为73%, CR为27%(图1B -1D)。基于病理和临床评估,nCT治疗组无患者达到CR,而TNT治疗组有64%的患者达到CR(图1E)。

为了探索治疗机制,对92个样本(包括44个血液和48个肿瘤组织)进行了单细胞RNA测序(scRNA-seq)和scTCR-seq,大多数是治疗前和治疗后的配对样本(图1A)。经过严格的质控,获得了619,635个高质量细胞,包括PBMC 的372,929个细胞和肿瘤组织的246,706个细胞。鉴定到了19种主要细胞类型(图1F )和85个亚群。
KT1YcWXqrDcTB32Gyya57QpbuUqo7VV9.jpg

图1接受不同新辅助治疗的局部晚期直肠癌患者

新辅助治疗后,恶性细胞数量减少,尤其是TNT治疗后(图2A和2B)。免疫细胞的动态变化则较为复杂。尽管肿瘤微环境(TME)中单核细胞数量较低(图2A),但nRT和TNT治疗后,单核细胞和巨噬细胞的数量均增加(图2B)。在TME中,nRT治疗后CD8 + T细胞比例下降,而TNT治疗后CD8 + T细胞比例保持稳定(图2A、2B),提示化疗可能促进CD8 + T细胞流入或返回局部TME,或者可能是由放射引起的延迟性炎症所致。尽管nRT后CD4 + T细胞频率基本保持不变(图2B),但Treg细胞数量增加(图2C)。进一步分析显示,nRT后Treg升高,但在TNT组中,Treg频率下降,尤其是CD4 - Treg - TNFRSF9亚群(图2D)。

利用scTCR-seq分析了新辅助治疗中expanded Treg clonotypes。两种主要的Treg细胞簇,CD4-Treg-TNFRSF9和CD4-Treg-KLRB1,在nRT后扩增,但在nCT和TNT后减少(图2E),表明放疗后引起的Treg克隆扩增可能在后续化疗后有所缓解。此外,nRT后 CD8/Treg 比值(尤其是 CD8/CD4-Treg-TNFRSF9)降低,而TNT后升高(图 2F)。综上所述,不同的新辅助治疗方案会显著重塑LARC 的肿瘤微环境,其中 TNT 治疗后显示出更高的 CD8/Treg 比值。VlxOr4c3B0fhBvhTFQ6zRTxVH4PyYAJB.jpg

图2 LARC肿瘤微环境中细胞类型的组成受不同新辅助疗法的调控

2.新辅助疗法重塑局部晚期直肠癌的肿瘤微环境

接下来分析了不同细胞亚群的异质性。治疗前富集了增殖性T细胞簇,包括CD4-T-MKI67、CD8-T-MKI67、exhausted CD8-Tex-CXCL13等(图3A)。nCT和nRT治疗后表现出不同的细胞亚群分布,而TNT治疗兼具两者特征,并展现出独特性(图3A)。这些结果表明,新辅助治疗显著改变了TME的细胞组成,尤其是细胞亚群组成。

为了更好地探究治疗后TME亚群的多细胞协同,进行了细胞模块(cellular module, CM)分析。鉴定到了7个独特的CM(CM1-CM7),如CM2表现出效应和促炎细胞的特征,而CM3则与TLS相关(图3B)。在nCT中TLS相关的CM3模块富集,与效应和促炎相关的CM2模块则减少(图3C-D)。空间转录组、HE染色、免疫荧光(mIF)等进一步支持了nCT后TLS的富集(图3E-I)。TNT后CM1、CM2和CM7表现出动态变化,值得注意的是,CM2的升高与更好的生存率相关(图3D)。这些结果表明,不同的新辅助治疗方案重塑了LARC肿瘤微环境。
M6WSGSQ361lw5kP6yEp33Wki3PYjP96y.jpg

图3 新辅助疗法重塑了LARC肿瘤微环境

3. IFNG + CD8 + Tem细胞比例和IFNG信号通路特征可预测LARC患者的TNT疗效

鉴于CD8 + T细胞在抗肿瘤免疫过程中的关键作用,作者重点关注了富集于M2模块的CD8 + T细胞亚群。CD8-Tem-IFNG (IFNG + CD8 + Tem)亚群在nRT后下降,但TNT后上升(图4A),尤其在CR患者中(图4B)。IFNG + CD8 + Tem细胞高表达IFNG、CD69、GZMH、GZMK和HLA-DRA等(图4C),提示其在抗肿瘤免疫中发挥作用。RNA 速度分析显示,IFNG + CD8 + Tem 细胞可能起源于 CD8-Tem-CXCR4,并分化为exhausted CD8-Tex-CXCL13。转录因子分析显示,IFNG + CD8 + Tem细胞亚群中TF 调控子(包括JUN、JUNB和FOS )被激活(图 4D),且JUN、JUNB和FOS与IFNG呈显著正相关性关系(图 4E ),表明 AP-1 家族在调控IFNG表达中起着关键作用。

正如预期,TNT治疗后CD8 + T细胞中IFNG的表达显著升高,且IFNG的高表达仅在TNT治疗后的CR患者中观察到,表明IFNG可能是一个LARC临床疗效的生物标志物。与此一致的是,mIF染色显示TNT治疗后IFNγ + CD8 + T细胞数量增加,尤其是在CR患者中(图4 F-I)。

除了重塑TME外,新辅助治疗似乎还影响全身免疫,新辅助治疗后PBMC中的IFNG信号通路活性升高,尤其是CR患者(图4K-L )。PBMC的bulk RNA-seq也证实了这一趋势(图4M-N )。ROC分析表明,IFNG特征可以区分新辅助治疗后的CR患者和非CR患者(图4O)。RPAm0u3RKw04NWg8EJsfmjTWzNax9emy.jpg

图4 TNT 治疗后 IFNG + CD8 + Tem 细胞组成和IFNG信号特征

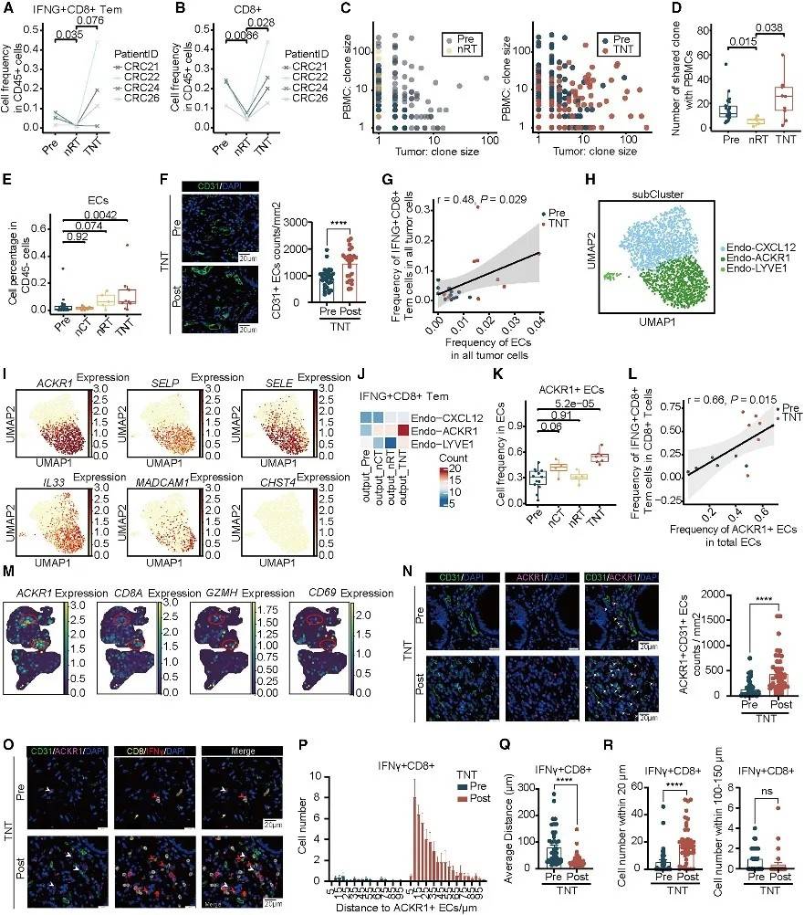
4.肿瘤浸润性 IFNG + CD8 + Tem 细胞可能由 EC 从 PBL 募集而来

进一步分析了4例患者在治疗前、nRT和TNT治疗后IFNG + CD8 + Tem细胞的动态变化。nRT后其频率降低,但TNT后又回升至更高水平(图5A),这与CD8 + T细胞的变化趋势一致(图5B)。由于新辅助放化疗抑制了整体细胞增殖,因此TNT后IFNG + CD8 + Tem细胞的增加可能反映了外周血淋巴细胞(PBL)的募集。进一步探究了IFNG + CD8 + Tem细胞的TCR克隆情况。TNT后PBMC CD8 + T cells 和IFNG + CD8 + Tem cells细胞的TCR克隆数量显著增加(图5C)。nRT后PBMC TCR克隆数量减少,而TNT后则升高(图5D ),这可能是由于辐射诱导的淋巴细胞耗竭所致。

鉴于内皮细胞 (EC) 在 T 细胞募集过程中发挥的关键作用,进一步探究了新辅助治疗后 EC 的动态变化。nRT后 EC 比例呈上升趋势,TNT 后进一步升高(图 5E),尤其是在CR患者中。mIF 证实了TNT 后CD31 + ECs细胞数的升高(图 5F)。此外, EC细胞动态变化与IFNG + CD8 + Tem细胞一致(图4A和4B),且二者呈正相关(图5G )。为了进一步探究EC募集IFNG + CD8 + Tem细胞的潜力,分析了EC细胞亚群。在三个EC亚群中(图5H),ACKR1 + ECs簇富集了与黏附和募集相关的基因,包括ACKR1、SELP、 SELE、IL33和MADCAM1(图5I)。受体-配体分析表明,ACKR1 + ECs与IFNG + CD8 + Tem细胞的相互作用最强(图 5J)。与此一致的是,TNT治疗后ACKR1 + ECs的频率升高,而 nCT 或 nRT则未见升高(图 5K)。ACKR1 + ECs与IFNG + CD8 + Tem的细胞比例呈正相关(图 5L)。这些分析表明,ACKR1 + EC 具有较高的 T 细胞募集潜力。

空间转录组证实了 ACKR1 + ECs与活化CD8+ T 细胞(以GZMH和CD69表达为标志)的共定位(图 5M和4C)。mIF显示,TNT 处理后ACKR1 + CD31 + ECs细胞密度增加(图 5N),且更多 IFNγ + CD8 + T细胞位于 ACKR1 + CD31 + ECs细胞附近(图 5O和 5P),表明相互作用增强。此外,TNT 处理后 ACKR1 + CD31 + ECs细胞与IFNγ + CD8 + T细胞之间的距离缩短(图 5Q),且 IFNγ + CD8 + T细胞位于ACKR1 + CD31 + ECs 细胞的20 μm 范围内(图 5R)。综上所述,ECs(尤其是 ACKR1 + ECs)在募集 CD8 + T 细胞方面可能发挥关键作用。
dGQXR55JaKYxmOh1CjJ2vOeOyfux5Hpi.jpg

图5 肿瘤浸润性 IFNG + CD8 + Tem 细胞可能主要由 ACKR1 + EC从 PBL 募集而来

5.CD8 + T细胞和内皮细胞之间潜在的相互调节

进一步对TNT中的内皮细胞进行了功能表征。除了细胞黏附相关通路外,抗原呈递和T细胞活化通路在TNT治疗后的内皮细胞中显著富集(图6A ),MHC-I和MHC-II基因表达显著增加(图6B和6C),尤其在CR患者中(图6D和6E)。此外,EC中的MHC-I和MHC-II基因(图6F)及IFNG信号通路(图6G)与CD8 + T细胞中IFNG的表达呈正相关,且TNT处理后EC中IFNG信号通路特征(图6H)和IFNGR1表达(图6I)均升高,且二者呈正相关(图6J ),提示IFNG-IFNGR1轴可能在CD8 + T细胞与EC的相互作用中发挥作用。

在共培养体系中,IFNγ刺激的HUVEC激活了CD8 + T细胞,诱导了IFNγ、CD69、GZMB和HLA-DR的显著表达,但其激活能力弱于巨噬细胞(图6K和6L)。在没有抗原或IFNγ刺激的情况下,HUVEC无法激活CD8 + T细胞(图6K和6L)。与此一致的是,与CytoStim共培养的CD8 + T细胞IFNγ的分泌达到峰值(图6M)。随后研究了IFNγ刺激的SVEC4-10细胞是否能够激活CD8 + T细胞。IFNγ刺激的SVEC4-10细胞诱导CD8 + T细胞中IFNγ、CD69、GZMB和穿孔素的表达水平升高,但略低于骨髓来源巨噬细胞(BMDM)(图6N)。此外,抗原特异性激活标志物CTLA-4和PD-1的表达也增强(图6O )。这些结果表明,IFNγ刺激的SVEC4-10细胞可以作为抗原呈递细胞(APC)以抗原特异性方式激活CD8 + T细胞。kDH16v8MLkTj8C4dn3Da0hPiWGKrsQxk.jpg

图6 IFNγ刺激的内皮细胞在TNT处理后激活CD8 + T细胞


原文链接
https://www.cell.com/cancer-cell/fulltext/S1535-6108(25)00449-0

责任编辑:肿瘤资讯-Skye
排版编辑:肿瘤资讯-as

免责声明
本文仅供专业人士参看,文中内容仅代表肿瘤界订阅号立场与观点,不代表肿瘤资讯平台意见,且肿瘤资讯并不承担任何连带责任。若有任何侵权问题,请联系删除。