
结直肠癌作为我国高发的恶性肿瘤之一,近年来其发病率明显上升。曲氟尿苷替匹嘧啶(TAS-102)作为一种新型口服化疗药物,用于治疗转移性结直肠癌,因其良好的疗效和安全性,在该领域的治疗中显示出广阔的应用潜力。本文通过分析四例病例,面临治疗困境(如合并严重基础疾病)的晚期结直肠癌病例,深入探讨了TAS-102联合方案在真实世界复杂病例中的临床效果、应用策略及安全性管理,为晚期结直肠癌的治疗提供了新的临床参考。
病例一
病例汇报:
秦培艳教授 潍坊市人民医院
病例点评:
任守雷教授 阳光融和医院
肖海凤教授 潍坊市人民医院
潍坊市人民医院 肿瘤放疗科
山东省医师协会放疗分会住培分会委员
山东省医学会放疗分会青年学组副组长
山东免疫学会肿瘤免疫专业委员会委员
山东省抗癌协会消化道肿瘤分会青年委员会委员
山东省医药教育协会肿瘤放疗医师培训联盟委员
潍坊市医师协会放疗分会副主任委员
潍坊市抗癌协会委员
患者基本情况
一般资料:女性,64岁。
主诉:便血半年。
现病史:患者2019年9月无明显诱因出现大便带血,暗红色,伴大便次数增多(每日3-5次),有肛门坠胀感。
辅助检查:
肠镜提示进镜至距离肛周约9㎝见隆起性改变环周生长,管腔狭窄,内镜不能通过,活检3块,肛周见曲张静脉,诊断为:直肠CA。病理提示腺癌。
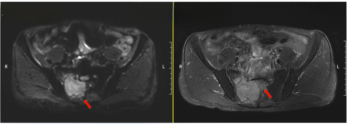
直肠MRI(2020年3月25日)提示直肠中上段壁增厚,考虑直肠Ca(图1)。
PET-CT(2020年3月27日)提示1、直肠壁高代谢占位,符合直肠癌征象,2、腹膜后多发肿大淋巴结代谢增高,考虑转移,3、C6锥体骨质破坏,代谢增高考虑转移。
图1. 直肠MRI(2020年3月25日)
初步诊断:直肠腺癌(cT3N2M1 Ⅳ期,AJCC第8版),腹膜后淋巴结转移 骨转移
诊疗经过
一线治疗:
患者于2020年3月30日至2020年7月21日行贝伐珠单抗+XELOX方案姑息化疗5周期。
疗效评估:病灶明显缩小。
局部治疗(手术+放疗):
患者于2020年8月18日行直肠前切除术+腹膜后淋巴结清扫。术后病理:pT3N1aMx,肿瘤退缩分级3级,pMMR。
于2020年9月同步行C6骨转移灶放疗(50Gy/25f),并辅以XELOX方案化疗2周期(2020年9月至10月)。
患者于2020年10月25日至2021年3月14日行贝伐珠单抗+卡培他滨维持治疗。
2023年6月复查发现双肺小结节(新发)、纵隔及腹膜后淋巴结肿大(考虑复发转移)。
患者于2023年8月行姑息减症放疗(PGTV 60Gy/30f),腹痛明显减轻。
锁骨上及纵隔淋巴结增大(PD)。穿刺病理证实为转移性腺癌。基因检测:KRAS、NRAS、BRAF均为野生型。
于2023年10月再次行局部放疗。
二线治疗:
患者于2024年1月17日至2024年6月25日在外院行西妥昔单抗+FOLFIRI方案化疗10周期。
于2024年9月9日至10月30日行西妥昔单抗+卡培他滨维持治疗4周期。
2024年6月17日,患者诉头晕、头痛,颅脑MRI提示桥脑右侧转移瘤可能性大(5*8mm)。
患者于2024年7月1日行脑干转移灶放疗。
复查颅脑MRI示颅脑内病灶增大(PD);胸腹CT示双肺多发结节增大、增多(PD)。
三线治疗:
患者于2025年2月20日予以TAS-102+贝伐珠单抗治疗。于2025年2月25日行脑放射治疗。
复查提示脑部病灶明显缩小,左侧肢体功能恢复(肌力5-),仍有饮水呛咳。
肺部及淋巴结病灶呈“缩小的SD”状态。
患者耐受性良好,仅I°骨髓抑制及胃肠道反应。
病例小结
该患者为一名64岁女性,初诊时为初始不可切除的Ⅳ期直肠癌(cT3N2M1),伴骨转移。在长达五年的病程中,患者经历了多次复发进展,包括淋巴结、肺、乃至棘手的脑干转移。在二线(西妥昔单抗+FOLFIRI)治疗失败进入三线后,面对脑、肺同时进展,MDT团队选择了TAS-102联合贝伐珠单抗联合的策略。这一方案有效控制了全身病灶(缩小的SD)。充分体现了MDT全程管理下,TAS-102联合方案在晚期多线治疗失败患者中的重要价值。
病例二
病例汇报:
郭宁教授 诸城市人民医院
病例点评:
刘铁教授 潍坊市人民医院
朱虹教授 高密市人民医院
诸城市人民医院 副主任医师、硕士研究生
山东省中医药协会肿瘤免疫治疗分会委员
山东省临床肿瘤学会青年理事会第一届委员
山东省抗癌协会化疗分会第二届青年委员会委员
山东省医药教育协会县域肿瘤专业委员会委员
山东省医师协会肿瘤精准医疗医师分会青年协作组成员
中国老年学和老年医学学会肿瘤康复分会食管癌专家委员会委员
中国医药协会肿瘤放射治疗专业委员会会员
患者基本情况
一般资料:男性,67岁。
主诉:确诊直肠癌1月余,乙状结肠造口术后1月。
辅助检查:
电子肠镜(2024年5月31日):距肛缘5cm见环周型溃疡肿物,肠镜不能通过。
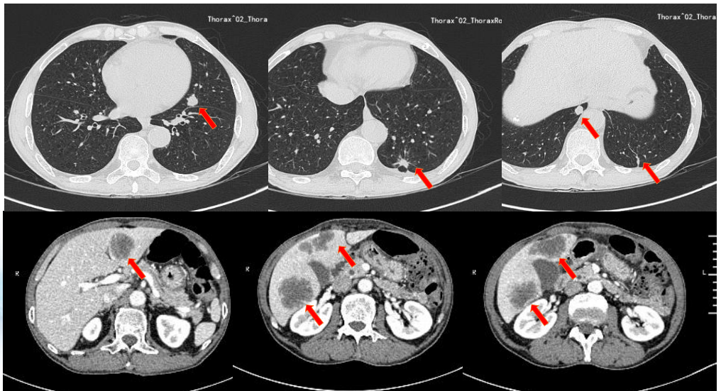
胸腹CT提示肝脏多发转移、双肺结节转移,腹腔淋巴结肿大(图2)。
盆腔MRI提示直肠癌(病变累及范围约10.6cm)(图3)。
骨ECT示多发骨转移。
基因检测提示KRAS突变。
图2. 胸腹部CT检查
图3. 盆腔MRI检查
初步诊断:直肠腺癌 cT3N2M1,多发肝、肺、骨、腹腔淋巴结转移。
诊疗经过
一线治疗:
患者及家属拒绝行局部治疗,拒绝强烈化疗,要求应用副反应较小药物治疗。经MDT团队讨论,患者于2024年7月7日予以TAS-102联合贝伐珠单抗方案治疗,并联合地舒单抗骨保护治疗。
患者耐受性良好,无明显副反应。
影像学评估(截至2024年10月24日):肝、肺转移灶呈“缩小的SD”状态。
影像学评估(截至2025年2月27日):肝、肺转移瘤维持“缩小的SD”,骨转移瘤范围略增大。
MDT多次建议患者在病情稳定期加入肝转移瘤介入治疗或骨转移瘤放疗,患者及家属均拒绝。
目前患者继续目前方案治疗。
病例小结
该患者为一名67岁男性,初诊即为Ⅳ期直肠癌,伴肝、肺、骨等多处广泛转移,创新性地将TAS-102联合贝伐珠单抗作为一线治疗方案。患者在该方案治疗下耐受性良好,获得了长达12个月的PFS,且病灶长期维持“缩小的SD”状态,生活质量高。
病例三
病例汇报:
韩珊教授 山东省东营市人民医院
病例点评:
侯倩倩教授 安丘市人民医院
王大鹏教授 潍坊市寒亭区人民医院
山东省东营市人民医院肿瘤科副主任医师
英国帝国理工大学访问学者
山东省医师协会肿瘤科医师分会委员
山东免疫学会肿瘤分子标志物与靶向治疗专业委员会青年常委
山东中医药学会肿瘤精准医学委员会委员
华人放射治疗协作组肺癌工作委员会青年委员
山东省临床肿瘤学会食管癌分会青年委员
山东省老年医学研究会老年肿瘤专业委员会委员
山东省疼痛研究会肿瘤化疗专业委员会委员
山东省抗癌协会中西医结合分会委员会委员
现主持湖北陈孝平基金项目1项,市自然科学联合基金2项
患者基本情况(病例A)
一般资料:男性,75岁。
主诉:乙状结肠癌病史1年余。
合既往史:高血压(30余年)、2型糖尿病(20余年)、脑梗死(15年)、双侧颈动脉闭塞、腹主动脉瘤、髂动脉瘤。
辅助检查:
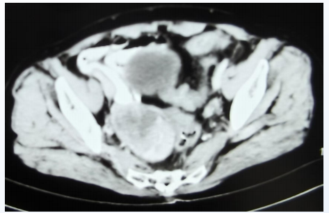
结肠镜检(2024年3月):距肛门24-36cm见巨大粘膜肿物,形态欠规则,肠腔狭窄,行活检;距肛门15cm左右见头端2.5cm粗蒂粘膜隆起,头端局部糜烂,活检;镜下诊断:乙状结肠占位。病理提示:乙状结肠腺癌,直肠巨大息肉。胸腹部CT(2024年3月16日):双肺气肿、肺大泡,双肺多发小结节;心包及双侧胸腔少量积液;腹主动脉及髂总动脉局部瘤样扩张,提示动脉瘤形成并附壁血栓可能性大,双侧髂内动脉局部未见明确显影,提示闭塞,腹膜后淋巴结增大。乙状结肠腔内团状密度增高影,局部扩张,占位合并出血不除外(图4)。
图4. 胸腹部CT检查(2024年3月16日)
初步诊断: 乙状结肠恶性肿瘤 cTxN+M1(Ⅳ期),腹膜后淋巴结转移。
诊疗经过
一线治疗:
患者于2024年4月26日予以卡培他滨单药治疗3周期。
疗效评估(2024年6月24日):CT提示乙状结肠肿瘤增大(PD)。
二线治疗:
患者予以TAS-102(四周方案:d1-5, d8-12, q4w)治疗。
治疗后(2024年10月)出现血小板减少。
将TAS-102调整为双周方案,调整后,患者耐受性良好,仅I度血小板下降。
复查(2025年8月20日)疗效评估为“缩小的SD”,乙状结肠肿瘤及腹膜后淋巴结均较前缩小。
患者在TAS-102方案上应用已超1年,病情稳定。
患者基本情况(病例B)
一般资料:女性,66岁。
主诉:升结肠癌病史4年余。
既往史:高血压(10年)、青光眼、脾功能亢进(4年余)。
辅助检查:
胃肠镜(2020年8月28日)检查:升结肠近回盲部见占位性病变,盘状,环腔约1/2,活检4块,距40cm,20cm,15cm见息肉样黏膜隆起,直径约0.5cm,余结肠、直肠未见占位性病变。镜下诊断:升结肠占位(待病理),结肠多发息肉。病理提示升结肠中分化腺癌。
初步诊断:升结肠癌。
诊疗经过
手术治疗:
患者于2020年9月4日行腹腔镜下右半结肠切除术(吻合器回肠横结肠端侧吻合)+肠粘连松解术。术中观察:无腹水及肝脏转移灶,占位位于升结肠近回盲部,约10cm*20cm*30cm,侵出浆膜层。
术后病理:回盲部盘状隆起型中-低分化腺癌,大小:3.5*2.5*1.5cm,脉管内查见癌栓并见神经受累,回肠切缘及结肠切缘均未查见癌,网膜组织内查见转移癌结节。肠壁淋巴结查见转移性癌(7/22)。肿瘤病理分期:pT4bN2b。免疫组化示:MLH1(+),MSH2(+),MSH6(+),PMS2(+)。
目前诊断:升结肠癌pT4bN2bM1 Ⅳ期
一线治疗:
患者于2020-10-12至2021-04-22行术后CapeOx+贝伐珠单抗治疗8周期,期间血小板Ⅲ度降低,行升血小板治疗。
胸腹盆MRI(2021年8月24日)检查提示右侧附件区见密度减低影,大小约5.5*3.5cm,增强扫描实性部分明显强化,较前新发(图5)。
图5. 胸腹盆MRI检查(2021年8月24日)
2021年9月27日在全麻下行“双侧附件切除术+肠粘连松解术”,术中查探见:盆腔无腹水,肝脾肠管、腹膜未及转移结节。肿瘤位于右侧卵巢,约8*8*6cm,质韧,包膜完整,与周围组织及器官无明显关系。术中雷替曲塞腹盆腔冲洗。
肝脏MRI(2022奶奶10月29日)检查提示肝右叶多发病变、考虑转移瘤可能性大,肝脏表明、右侧腹膜改变,转移不除外。
2022年11月2日行肝动脉造影+肝动脉化疗栓塞(氟尿嘧啶+奥沙利铂+2ml碘化油)
2022年11月16日在CT下行穿刺活检术+经皮肝转移微波消融术。
2023年4月23日CT复查提示双肺多发转移。
二线治疗:
患者于2023年4月24日至2023年8月31日予以贝伐珠单抗+伊立替康+卡培他滨。
评效:2周期缩小SD,4、6周期维持缩小SD。
2023年10月14日复查提示肺转移灶进展。
三线治疗:
患者于2023年10月15日至2024年6月29日予以TAS-102(四周方案)治疗8周期。
2024年6月复查肺转移灶大部分缩小,但有新发病灶(PD)。
四线治疗:
于2024年7月1日至2025年3月予以TAS-102(双周方案)联合瑞戈非尼治疗。
病例小结
病例A为75岁高龄男性,合并极高风险的主动脉瘤及夹层,MDT评估无法手术。在卡培他滨进展后,二线应用TAS-102,获得了超过1年的PFS。病例B为66岁女性,长期合并脾亢致血小板低下,严重限制化疗。在多线治疗失败后,尝试TAS-102四周方案,进展后再次调整为TAS-102双周联合瑞戈非尼,实现病情稳定。
总结
通过四例晚期结直肠癌的病例分享与深入讨论,集中展现了TAS-102在临床实践中的应用价值和治疗策略。在晚期结直肠癌的多线治疗中,尤其是在标准治疗失败后,TAS-102单药或其联合方案(如联合贝伐珠单抗、瑞戈非尼等)为患者提供了重要的治疗选择。其在老年、体弱及合并多种基础疾病的患者中展现出良好的耐受性和确切疗效。通过灵活调整用药方案(如“四周”改“双周”)和精准的毒副反应管理,TAS-102为这些传统治疗中的“困境”患者带来了明确的临床获益和可接受的生活质量,实现了长期生存。
排版编辑:肿瘤资讯-Olivia






苏公网安备32059002004080号