您好,欢迎您

【愈见达案】双靶联合治疗策略成功破解EGFR-TKI耐药后METex14跳突NSCLC患者治疗难题

11月07日
整理:肿瘤资讯
来源:肿瘤资讯
导语

在非小细胞肺癌(NSCLC)的精准治疗版图中,驱动基因的动态演变是临床面临的核心挑战。当一线靶向治疗后出现耐药,如何精准识别新的耐药机制并制定有效的后续策略,直接关系到患者的生存获益。MET信号通路激活,包括MET基因扩增或MET 14号外显子跳跃突变(METex14跳突),是EGFR-TKI获得性耐药的关键机制之一,为联合靶向治疗提供了可能[1]“愈见达案”专栏致力于分享METex14跳突NSCLC患者接受靶向治疗的真实临床经验,结合权威专家的深入解读,为广大临床医生的诊疗实践提供参考,助力患者获得更精准、更有效的治疗方案。本期将分享一例由温州市中心医院董双霞医生提供的EGFR-TKI耐药后出现METex14跳突NSCLC患者接受双靶联合治疗的复杂诊疗经验,并邀请温州市中心医院池琼教授结合最新临床证据深入探讨此类患者治疗的挑战与机遇,以期为EGFR突变合并METex14跳突NSCLC患者的个体化诊疗提供宝贵的实践指导。

池琼
医学硕士 主任医师

温州市中心医院呼吸与危重症医学科副主任(主持工作)
温州医科大学兼职副教授
中国抗癌协会第一届中西医整合肿瘤专业委员会肺癌学组委员
浙江医学会细菌感染与耐药防治分会委员
浙江医学会呼吸系病学分会烟草病学组委员
浙江省数理医学学会数字化临床研究专业委员会常委
浙江省医学会临床试验与伦理分会第二届委员会青委
浙江省医学会呼吸系病学分会青年委员
浙江省抗癌协会肺癌专业委员会青年委员
温州市医学会呼吸病学分会委员
温州市医学会医学鉴定专家库成员

董双霞
副主任医师

温州市中⼼医院呼吸与危重症医学科
医学硕⼠,呼吸与危重症医学科副主任医师
浙江省医师协会睡眠专委会⻘年委员
温州市生理科学会第三届转化医学专业委员会委员
温州市康复医学学会第一届呼吸康复专业委员会委员兼秘书
主持市科技局课题项⽬1项,以第⼀作者发表数篇SCI 论⽂

治疗历程回顾

基本情况

基本信息:患者女性,63岁。

主诉:咳嗽2月余。

现病史:患者2月余前外出旅游时出现咳嗽,呈阵发性,不剧,咳少量白痰,对症治疗后症状有缓解。后体检(2023年9月26日)查胸部X片示“1.左下肺内结节性质待定(左下肺野心影后可疑团片影,建议CT检查)2.右上侧胸膜增厚 3.主动脉弓钙化”,当时未重视,未进一步诊治。2天前(2023年11月10日)至来我院就诊后查胸部CT示“左肺下叶纵隔旁团块,请结合临床及CT增强检查”,为求进一步治疗,拟“左下肺团块待查”收住入院。

既往病史:高血压病10年,口服降压药每日一片。支气管哮喘病史。

辅助检查:
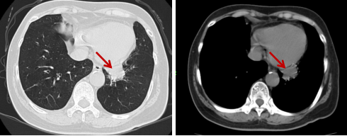
胸部CT(2023年11月10日):左肺下叶纵隔旁团块状病灶,径约21mm*30 mm。

图片1.png

胸部CT基线(2023年11月10日)

PET-CT(2023年11月16日): ①左肺下叶基底段软组织结节,糖代谢增高,考虑肺癌;②纵隔7组淋巴结糖代谢增高,考虑转移;③左侧额顶叶局部脑水肿改变,考虑转移可能。

图片2.png

PET-CT基线(2023年11月16日)

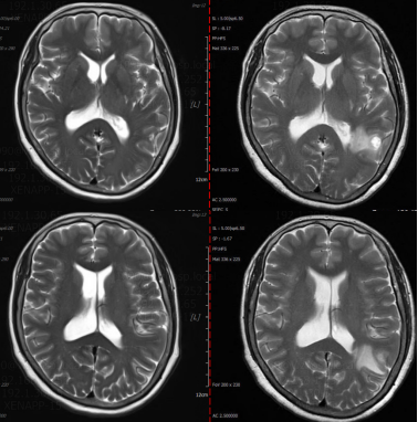
头颅MRI(2023年11月17日):左侧额顶叶皮层下结节伴周围脑水肿,考虑脑转移瘤可能。

图片3.png

头颅MRI基线(2023年11月17日)

病理检查(2023年11月14日):(左下肺)腺癌。免疫组化: TTF-1 (+), NapsinA (+), CK7 (+), P40 (-), C-MET (2+), PD-L1 (TPS约80%), Ki-67约60% (+)。

基因检测(NGS,2023年11月21日):EGFR 21号外显子L858R突变。

临床诊断:左下肺腺癌伴纵隔淋巴结、脑转移(T1cN2M1b, IVB期),PD-L1 TPS 80%。

治疗经过

一线治疗:

  • 2023年11月24日:患者开始口服奥希替尼 80mg,每日一次。

一线治疗疗效评估:

  • 2024年5月24日:影像学评估为完全缓解(CR),原发灶及转移灶均明显消退。

图片4.png

胸部CT(左:2023年11月12日;右:2024年5月24日)

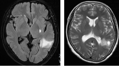
图片5.png

头颅MRI(左:2024年5月24日;右:2023年11月17日)
  • 2025年3月31日:肿瘤标志物癌胚抗原(CEA)显著升高至27.2 μg/L。

  • 2025年4月1日:PET-CT提示肿瘤复发、转移,无进展生存期(PFS)为15个月。对比2023年11月PET-CT显像,①左肺下叶前内基底段软组织结节,糖代谢增高,对比前片病灶缩小、代谢减低,提示肺癌治疗后,肿瘤活性存留;②右侧颈部IV区、纵隔1R/2R/4R组多发淋巴结肿,糖代谢增高,提示转移性淋巴结,前片所示纵隔7组淋巴结消退;③颅脑未见异常放射性浓聚灶。

图片6.png

PET/CT(上:2025年4月1日;下:2023年11月16日)

二线治疗:

  • 2025年4月3日:组织活检, 4R组淋巴结组织病理证实为肺腺癌转移。免疫组化:PD-L1 TPS约50%(+), TTF-1(+), P53(强弱不等+), CK7(+), Ki-67约30%(+), P40(-)。

  • 2025年4月7日:组织活检,右侧锁骨上淋巴结病理证实为肺腺癌转移。免疫组化:NapsinA(+),TTF-1(+),HER2(2+), C-MET(80%强着色,20%中等着色;3+)。

  • 2025年4月22日:基因检测,右侧锁骨上淋巴结再次NGS+PCR,仍检出EGFR L858R突变,但MET 基因变异丰度较低,经PCR法验证明确检测到METex14跳跃突变。FISH显示C-MET (2+),c-MET基因扩增为阴性。

  • 2025年4月27日:患者开始奥希替尼 80mg qd + 卡马替尼 400mg bid (双靶向联合治疗)。

二线治疗疗效评估:

  • 2025年5月13日:肿瘤标志物 CEA从高点27.2 μg/L降至3.4 μg/L。后续 CEA持续下降至0.9 μg/L并维持至今。

图片7.png

肿瘤标志物 CEA动态变化
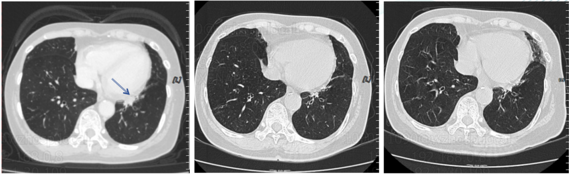
  • 2025年7月7日:胸部CT呈现左肺下叶肿瘤治疗后改变,未见明确肿块。对比2025年4月2日CT,病情再次得到有效控制。

  • 2025年10月10日:胸部CT显示肺部病灶消失,疗效评估为CR。

图片8.png

胸部CT(左:2025年4月2日;中:2025年7月7日;右:2025年10月10日)

专家点评


池琼教授:精准检测联合靶向,卡马替尼破解EGFR-TKI继发METex14跳突耐药难题

点击观看专家点评视频

本例患者的诊疗过程极具代表性,完整地展示了EGFR突变阳性晚期NSCLC患者从一线靶向治疗获益、到出现耐药、再到通过精准的二次活检和基因检测明确耐药机制,最终通过联合靶向治疗再次获得病情控制的全过程,其中有几个关键点值得深入探讨。


EGFR-TKI耐药后再次活检和基因检测的必要性。 靶向治疗耐药是必然会发生的过程。对于EGFR-TKI治疗后进展的患者,明确其耐药机制是制定后续治疗策略的基石。临床实践指南强烈推荐在患者耐药后进行再次活检(组织或液体活检)以获取肿瘤样本进行基因检测[2]。该患者在奥希替尼一线治疗15个月后出现进展,临床医生果断地进行了再次活检,这是非常规范且关键的一步。此外,不同基因检测方法的选择与互补也为此例患者的规范化诊疗奠定了基础。在本例中,正是PCR法起到了“一锤定音”的作用。因此,在临床实践中,当高度怀疑某种特定耐药机制(如MET旁路激活)但NGS结果为阴性或不明确时,应考虑使用更敏感的方法进行补充验证,以避免漏诊。


以卡马替尼为代表的高选择性MET-TKI是METex14跳突晚期NSCLC患者的首选治疗方法。 METex14跳突是NSCLC中非常明确的致癌因素之一,卡马替尼在全球GEOMETRY mono-1研究[3]和中国GeoMETry-C研究[4]中都充分显示,卡马替尼治疗METex14跳突NSCLC患者显示出优异的疗效和安全性。在GEOMETRY mono-1研究中,卡马替尼一线治疗的客观缓解率(ORR)达68.3%,疾病控制率(DCR)高达98.3%,在中位随访时间46.4个月,中位无进展生存期(mPFS)达12.5个月,中位总生存期(mOS)达21.4个月。值得注意的是,卡马替尼还具有优异的颅内疗效,在GeoMETry-C研究的初治队列入组的脑转移患者颅内完全缓解率(iCR)高达50%,颅内疾病控制率(iDCR)为100%。卡马替尼的全身和颅内疗效在本例患者中也得到进一步的印证。


METex14跳突作为EGFR-TKI耐药机制的治疗策略。MET信号通路激活也是EGFR-TKI获得性耐药的重要机制之一,包括MET基因扩增和METex14跳跃突变等[1]。对于此类患者,在原有EGFR-TKI的基础上联合MET抑制剂是目前公认的有效策略。多项研究[5-7]已经证实奥希替尼联合MET抑制剂在EGFR-TKI耐药后MET扩增的患者中显示出良好的疗效。本病例中,患者在明确存在EGFR L858R和METex14跳突双重驱动基因后,采用了奥希替尼联合卡马替尼的治疗方案。患者经卡马替尼联合奥希替尼治疗6个月后,迅速取得了良好的生化及影像学缓解,肿瘤标志物 CEA持续下降并保持在0.9 μg/L,并且肺部肿瘤病灶消失,疗效达到CR。这一结果非常令人惊喜,因为其再次印证了这一“双靶”策略精准靶向EGFR-TKI耐药后METex14跳跃突变的有效性。


总之,本例患者的成功诊治,为EGFR-TKI耐药后合并METex14跳突这一复杂临床场景提供了宝贵的实践经验,凸显了精准诊断指导下的联合靶向治疗的巨大潜力。随着对肿瘤分子生物学行为认识的不断深入,NSCLC的治疗正朝着更加精细化、个体化的方向发展。MET作为继EGFR、ALK之后又一个重要的治疗靶点,其抑制剂的研发和临床应用方兴未艾。对于存在METex14跳突的患者,单药MET抑制剂已显示出确切疗效[3, 4]。而对于像本例这样合并其他驱动基因(如EGFR突变)或在其他靶向药耐药后出现MET改变的复杂情况,联合治疗将是未来的主要趋势,卡马替尼也有望为更多患者带来福祉。

参考文献

[1] Westover D, Zugazagoitia J, Cho BC, Lovly CM, Paz-Ares L. Mechanisms of acquired resistance to first- and second-generation EGFR tyrosine kinase inhibitors. Ann Oncol. 2018 Jan 1;29(suppl_1):i10-i19.
[2] 中国临床肿瘤学会(CSCO)非小细胞肺癌诊疗指南 2025.
[3] Wolf, Jürgen et al. The Lancet Oncology, 2024, Volume 25, Issue 10, 1357 - 1370.
[4] Yi-Long Wu, et al. 2022 ESMO AISA, 388P.
[5] Hartmaier RJ, Markovets AA, Ahn MJ, et al. Osimertinib+savolitinib to overcome acquired MET-mediated resistance in epidermal growth factor receptor-mutated, MET-amplified non-small cell lung cancer: TATTON. Cancer Discov, 2023, 13(1): 98-113.
[6] Ahn MJ, De Marinis F, Bonanno L, et al. EP08.02-140 MET biomarker-based preliminary efficacy analysis in SAVANNAH: savolitinib+osimertinib in EGFRm NSCLC post-osimertinib. J Thorac Oncol, 2022, 17(9 Supplement): S469-S470.
Yu Y, Yang N, Zhang Y, et al. SCC244 plus osimertinib in patients with stage IIIB/IIIC or IV, EGFR TKI resistant EGFR-mutant NSCLC harboring MET amplification. ESMO ASIA 2022: 305MO.


责任编辑:明小丽
排版编辑:CYX
版权声明
版权归肿瘤资讯所有。欢迎个人转发分享,其他任何媒体、网站如需转载或引用本网版权所有内容,须获得授权,且在醒目位置处注明“转自:良医汇-肿瘤医生APP”。