

肺癌已连续多年位居我国恶性肿瘤发病率与死亡率之首。在组织学亚型中,肺鳞癌与吸烟暴露关系最为密切,一项涵盖三甲肿瘤医院16年临床数据的研究结果显示,其占比已由2006年的41.2%降至2021年的11.9%[1]。由于肺鳞癌多为中央型,容易引起咳嗽、咳血等症状,所以更容易被早期发现。然而,其敏感基因突变的比例极低,因此很难从靶向治疗中受益,系统治疗仍以化疗、放疗及免疫治疗为主。本次病例聚焦于一位老年晚期肺鳞癌患者。该患者确诊后拒绝手术治疗,先后接受放化疗、粒子植入术治疗,但多次发生肺炎;病情再次进展时,患者又拒绝二次活检和静脉化疗。经多学科(MDT)评估,后线以长春瑞滨软胶囊为基,先后联合抗血管生成药物、免疫治疗,使病情得到控制,且耐受性良好。至今,患者仍在坚持治疗中,长春瑞滨软胶囊联合方案的无进展生存期(PFS)已逾17个月。
特邀嘉宾
病例分享专家
临邑县人民医院 肿瘤科 医学硕士
山东省医学会肿瘤放射治疗学分会姑息学组委员
山东省抗癌协会肿瘤心理学分会委员
德州市医师学会肿瘤科医师分会委员
德州市医学会姑息医学分会委员
德州市抗癌学会乳腺肿瘤专业委员
病例点评专家
⼭东省⽴医院 呼吸科
硕⼠研究⽣导师、医学博⼠
齐鲁卫⽣与健康杰青⼈才
山东省临床肿瘤协会青年理事会常委
⼭东省医师协会呼吸医师分会委员、呼吸医师介⼊分会青年委员
⼭东省医师协会远程医疗分会委员会委员
作为项⽬负责⼈承担国家⾃然基⾦项⽬1项,省自然科学基金1项,省重点研发计划1项,参与承担国家 ⾃然基⾦项⽬4 项,获得⼭东省科技进步⼆等奖(第二位)和医学科技三等奖各⼀项
以第⼀作者或通讯作者在SCI收录16篇,发表中科院1区杂志两篇(Emerging Microbes & Infections IF 13.4 ; Environment International IF11.8) 累计影响因⼦近70分,作为副主编参编专业著作1部
病例分享
患者男性,初诊年龄74岁,主诉“咳嗽伴咯血1天”。
现病史:2022年3月,患者因出现咳嗽严重,伴咯血、呼吸困难,睡眠不安稳,体虚,心率不齐等症状,前往我院就诊。查体示:浅表淋巴结未触及,双肺可闻及干湿啰音。ECOG 1分,NRS 0分。
既往史:既往“高血压病”病史5年余,长期口服“氨氯地平5mg qd”降压治疗,血压控制不详;“2型糖尿病”病史5年余,皮下注射“门冬胰岛素6U 三餐前 qd,地特胰岛素16u qn”降糖治疗。
个人史及家族史:吸烟史约40年,每日约20支;饮酒史约40年,每日约3两。
辅助检查
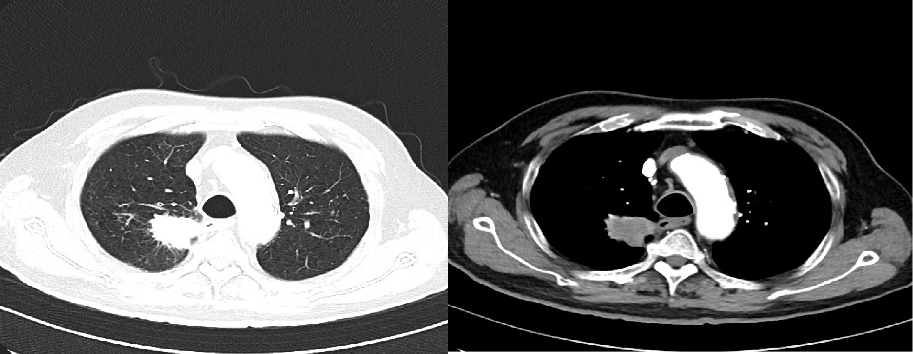
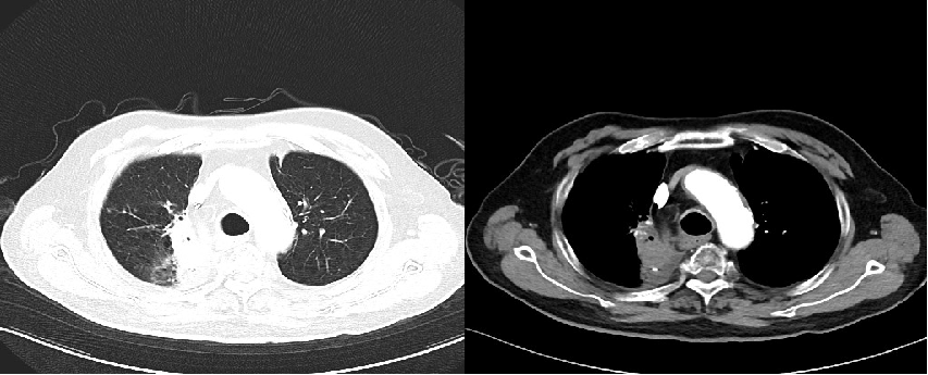
2022-02 胸腹部增强CT(图1):右肺上叶周围型肺癌影像表现,COPD、右肺下叶及左肺上叶纤维灶、结节灶,邻近支气管扩张影像学表现;双侧肾上腺增粗,左侧肾上腺结节灶,符合双侧肾上腺转移瘤影像表现,左肾囊肿。

2022-02-25 穿刺组织活检检查与诊断:(右肺)送检粘膜慢性炎。
2022-03-04 病理:(右肺穿刺活检)鳞状细胞癌。PD-L1(22c3)(TPS<1%)。
生物标志物:

临床诊断
右肺上叶鳞癌(cT2N0Mx)
高血压病(2级,高危)
2型糖尿病
治疗过程及疗效评价
一线治疗:
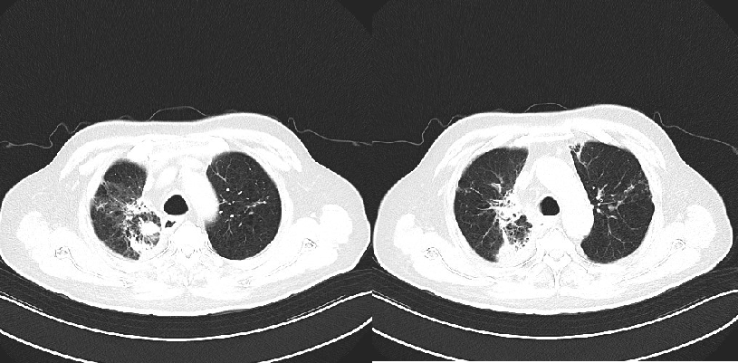
2022年3月,患者至外院住院,拒绝手术,常规口服卡培他滨化疗+右肺病灶放疗(DT 5Gy×11f)。2022-3-30来院复查胸部CT(图2)提示稳定。

2022年5月,患者因咳嗽、气喘来院复查CT(图3)示:放射性肺炎,给予激素、抗炎、平喘等治疗后好转。后多次因肺炎入院给予抗炎、激素、平喘等治疗。

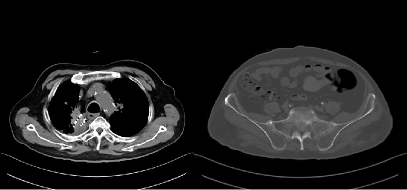
2023年4月,复查胸部CT(图4):符合右肺上叶病变治疗后复查表现,右肺下叶及左肺上叶纤维灶、结节灶,邻近支气管扩张;COPD影像表现,左侧肾上腺结节;右肺上叶肿瘤局部进展。
PFS1=14个月。

二线治疗:
2023年5月,患者至外院行右肺上叶病变粒子植入术,术后进行常规抗炎治疗。
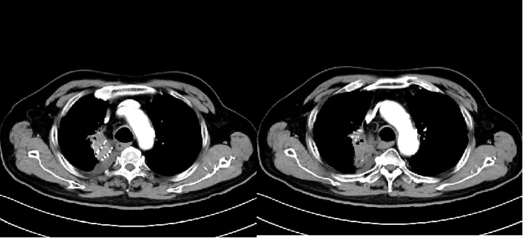
2023年9月16日,患者因气喘,复查胸腹部增强CT(图5):符合右肺上叶病变粒子植入表现、符合右肺下叶及左肺上叶纤维灶、结节灶,邻近支气管扩张、COPD,左侧肾上腺结节。痰培养:铜绿假单胞菌。后多次因肺炎给予抗炎治疗。


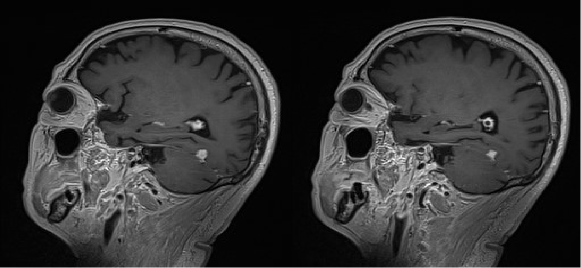
2024年2月,患者因言语错乱来院完善颅脑增强MR(图6):双侧放射冠区多发缺血灶;左侧小脑幕上异常信号灶,考虑脑膜瘤。患者因间断背部疼痛,院外口服"羟考酮20mg q12h、普瑞巴林75mg bid"治疗。

2024年4月,查胸部强化CT(图7):符合右肺上叶病变粒子植入表现,较前略增大;符合右肺下叶及左肺上叶纤维灶、结节灶,邻近支气管扩张;COPD、右侧胸腔积液、左侧肾上腺结节较前大致相仿。患者家属拒绝再次活检及静脉化疗。

PFS2=12个月。
三线治疗:
经MDT会诊,给予 “长春瑞滨软胶囊40mg tiw+重组人血管内皮抑制素210mg civ72h”治疗。5周期,影像学检查右肺肿瘤缩小,患者无胃肠道反应(图8),血常规检测无骨髓抑制(图9)。


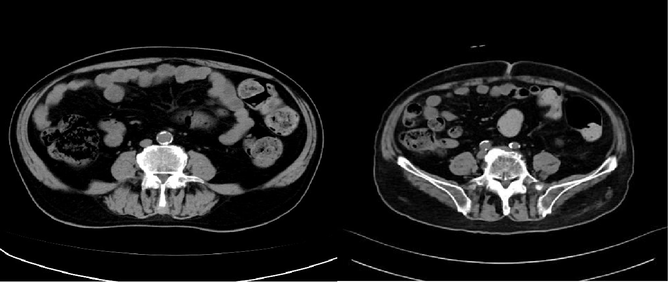
2024年8月,患者因左腹部疼痛来院,下腹部CT平扫未见明显异常(图10)。电子结肠镜检查:全结肠无异常发现。

2024年9月,继续给予长春瑞滨软胶囊40mg tiw+重组人血管内皮抑制素210mg civ72h治疗2周期,无胃肠道反应及骨髓抑制。
2024年9月7日,复查胸部CT(图11):1.符合右肺上叶癌粒子植入表现。2.符合左肺上叶纤维灶、结节灶,邻近支气管扩张复查表现。3.右下肺纤维灶。4.符合COPD影像表现。5.左侧肾上腺结节。

2024年12月,患者因腰痛来院,查CT(图12):右肺上叶癌粒子植入表现,左肺上叶转移治疗期表现,COPD并左肺下叶纤维灶,左侧肾上腺结节较前未见变化,T11椎体及左侧附件、骶1-2椎体骨质破坏,考虑转移瘤。

2024年12月,复查提示疾病进展,骶椎转移,予以骶椎转移灶姑息性放疗1个疗程,PTV(低1、2椎体转移灶,30Gy/10f/3.0Gy),并予“伊班磷酸钠6mgd1-3”抗骨质破坏治疗。经治疗,患者主观感受为骶椎周围异样感觉消失,麻木、感觉迟钝消失,疼痛感消失,病情好转。
PFS3=8个月。
四线治疗:
2025年1月,给予“长春瑞滨软胶囊40mg tiw+卡度尼利625mg d1+重组人血管内皮抑制素210mg CIV72h”治疗2周期,无胃肠道反应及骨髓抑制(图13)。

治疗流程图

病例点评
刘尧教授:本病例为一位初诊74岁的老年男性患者,因“咳嗽伴咯血1天”就诊。肺癌早期多无明显症状,多数患者出现症状就诊时已属晚期,晚期肺癌患者整体5年生存率仅20%左右[1]。本例患者确诊后拒绝手术,经综合治疗取得了长生存,其诊治过程颇具代表性,值得深入思考。
诊断方面:本例患者为长期吸烟者,属于肺癌高风险人群。在其因咳嗽、咯血等症状就诊于外院时,即完善胸腹部增强CT、穿刺活检、生物标志物等检验检查,最终明确诊断为右肺上叶鳞癌。
治疗方面:肺鳞癌“无靶”可循,加之高龄、合并症多,治疗常陷“手术难、放化伤”的困局。本例患者确诊时已77岁,拒绝手术;一线同步放化疗后反复放射性肺炎,PFS1仅14个月。外院遂行粒子植入术,凭借辐射半径小、剂量跌落快的优势,局部控制尚可,却仍难挡肺炎频发,12个月后病灶再次进展,且家属拒绝二次活检与静脉化疗。
高效、低毒、可居家的口服方案成为破局关键。长春瑞滨软胶囊作为经典半合成长春碱,兼具微管抑制与抗血管生成双重机制,口服生物利用度达约40%,药代动力学稳定,具有不逊于静脉制剂的疗效,且不受年龄、饮食、种族影响,长期使用无累积毒性,3-4级不良反应发生率低[2-8]。此外,口服药物使用方便,居家即可完成,既能避免静脉炎等注射风险,又能降低来往医院的交通、陪护及住院等成本,显著提升患者生活质量[9,10]。我国多中心随机对照研究证实,较单纯化疗,重组人血管内皮抑素恩度联合长春瑞滨及顺铂能显著延长经治及初治III期/IV期NSCLC(包括鳞癌)患者的中位疾病进展时间(TTP)(6.3个月 vs 3.6个月),并改善患者的生存质量[11]。
经MDT综合评估,三线给予“长春瑞滨软胶囊+恩度”方案,患者居家服药,门诊随访,未再出现肺炎,PFS3达8个月。骨转移出现后,加用三代口服双膦酸盐骨改良药物——伊班磷酸钠治疗,骨痛迅速缓解;四线再联合免疫治疗,借助抗血管生成药物重塑肿瘤微环境,实现“化疗-免疫-血管正常化”三重协同。至今患者病情稳定,无明显不良反应,实现了“长生存”与“优生活”兼得。以长春瑞滨软胶囊为核心的口服联合策略,为驱动基因阴性、无法耐受静脉治疗的晚期肺鳞癌患者提供了可及、可续、可负担的“中国方案”。
[1] Wang, Jieyu et al. Evolving Trends in Surgically Managed Lung Cancer: A 16-Year Hospital-Based Epidemiological Analysis. Lung Cancer. Volume 208,108754. doi.org/10.1016/j.lungcan.2025.108754
[2] 酒石酸长春瑞滨软胶囊(诺维本)药品说明书
[3] Yunpeng Yang, Jianhua Chang, Cheng Huang, et al. A randomised, multicentre open-label phase II study to evaluate the efficacy, tolerability and pharmacokinetics of oral vinorelbine plus cisplatin versus intravenous vinorelbine plus cisplatin in Chinese patients with chemotherapy-naive unresectable or metastatic non-small cell lung cancer[J]. J Thorac Dis. 2019 Aug;11(8):3347-3359.doi: 10.21037/jtd.2019.08.22.
[4]Andrea Camerini , Cheti Puccetti , Sara Donati ,et al. Metronomic oral vinorelbine as first-line treatment in elderly patients with advanced non-small cell lung cancer: results of a phase II trial (MOVE trial).BMC Cancer . 2015 May 6;15:359.
[5]Dolores Isla, Ramón De Las Peñas, Amelia Insa, et al. Oral vinorelbine versus etoposide with cisplatin and chemo-radiation as treatment in patients with stage III non-small cell lung cancer: A randomized phase II (RENO study). Lung Cancer. 2019 Sep:135:161-168. doi: 10.1016/j.lungcan.2018.11.041. Epub 2018 Dec 1.
[6] P Katsaounis, A Kotsakis, S Agelaki, et al. Cisplatin in combination with metronomic vinorelbine as front-line treatment in advanced non-small cell lung cancer: a multicenter phase II study of the Hellenic Oncology Research Group (HORG)[J]. Cancer Chemother Pharmacol. 2015 Apr;75(4):821-7.
[7]刘花,陈延绅,尤慧柠,等.长春瑞滨药动学及毒副作用研究进展[J].中国药房,2022,33(11):1403-1408.
[8]林金兰, 郭天兴, 潘小杰, 徐振武. 长春瑞滨软胶囊单药节拍化疗一线治疗老年非小细胞肺癌临床疗效观察[J]. 肿瘤防治研究, 2018, 45(11):909-912.
[9] Eva María Ciruelos, et al. Patient preference for oral chemotherapy in the treatment of metastatic breast and lung cancer[J]. Eur J Cancer Care. 2019;00:e13164.
[10] Li Y, Qiu Y, Li H, et al. Pyrotinib Combined With Vinorelbine in HER2-Positive Metastatic Breast Cancer: A Multicenter Retrospective Study. Front Oncol. 2021 Apr 20;11:664429.
[11] 江舟, 陈建华. 肺癌抗血管生成治疗:现状,进展与困惑[J]. 中国肺癌杂志, 2022, 25(4):9.
排版编辑:肿瘤资讯-Sally






苏公网安备32059002004080号