您好,欢迎您

2025 WCLC | NSCLC的放射治疗视角:高龄伴严重共病患者的个体化治疗实践

2025年09月29日
整理:肿瘤资讯
来源:2025 WCLC

2025年9月6日至9日,世界肺癌大会(WCLC)在西班牙巴塞罗那盛大召开,众多肺癌领域前沿研究成果悉数亮相。其中,一位76男性非小细胞肺癌(NSCLC)患者的治疗历程备受瞩目,全程治疗实践为医学同仁奉上丰富经验与深刻洞见。

病例概况

患者,男性,76岁,吸烟史50包年,已戒烟2年。既往合并多种基础疾病:慢性阻塞性肺疾病(COPD),自2019年确诊,GOLD 4级(极重度),FEV1为26%预计值,需长期氧疗(3L/min);动脉高血压(2020年确诊);高胆固醇血症;骨质疏松症,2022年出现椎体塌陷,未接受抗骨吸收治疗。

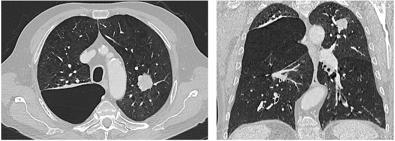
2022年11月,于COPD随访中发现左上肺尖段25mm毛刺状结节,伴右上肺10.7cm巨大肺大疱,无肺门/纵隔淋巴结肿大,亦无远处转移征象。

诊断过程

影像学评估

CT:左肺上叶尖段25mm结节,毛刺征阳性;双肺弥漫性肺气肿;右上肺巨大肺大疱(10.7cm),局部压迫邻近组织。

FDG-PET/CT(2022-11-11):结节SUVmax为5.8,未见淋巴结或远处代谢异常。

7849ff4e-d60d-4a2a-88b1-434c680df6a2.png

518fead7-b1cb-48f1-a941-31316ac91fbf.png

病理确诊

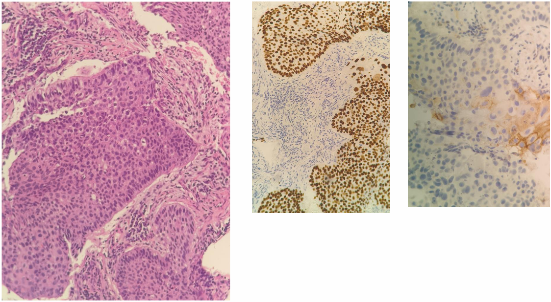
CT引导下经胸穿刺活检:P40阳性,确诊为NSCLC,鳞状细胞亚型(cT1cN0M0,IA3期)。

d7643297-7de2-44aa-9001-ad206d59fe56.png

纵隔分期策略

依据ESTS/ACCP指南,外周型、直径<3cm、PET/CT阴性的早期NSCLC,可推迟EBUS检查,避免不必要的侵入性操作。

治疗决策与实施

手术评估

胸外科会诊:因极重度COPD(FEV1=26%,DLCO=42%)、高碳酸血症(pCO₂=55mmHg),手术禁忌。

SBRT方案制定

总剂量:50Gy/5次,每次10Gy,每日图像引导(IGRT);

计划评估:V95%覆盖靶区,双肺V20Gy<10%,脊髓Dmax<18Gy;

呼吸运动管理:采用屏气技术+4D-CT,确保靶区精准定位;

氧疗支持:治疗期间维持3L/min鼻导管吸氧,SpO₂≥92%。

fd164283-24ad-40d9-8a5a-9d235993eb13.png

疗效评估与随访

影像随访

6个月,CT显示,病灶明显缩小,无局部进展。

18个月,FDG-PET/CT显示,原病灶代谢活性显著降低,SUVmax降至1.8,未见复发或转移。

f287b32c-09bf-468a-ace7-e184580b912f.png

7f9bce99-c98d-4926-936f-9291c3f9e2f3.png

肺功能动态变化

FVC:由49%升高为66%,可能为肺复张+康复训练效应。

FEV1:由26%升高为30%,轻度改善。

DLCO:由42%下降为32%,提示轻度放射性肺损伤。

RV:192%下降为154%,气体潴留改善。

讨论与启示

SBRT在高龄/共病患者中的价值

本例证实,对于不可手术的早期NSCLC患者,SBRT可在保留肺功能的前提下实现高效局部控制,即使合并极重度COPD与巨大肺大疱,仍可安全实施。

个体化剂量与风险管理

巨大肺大疱并非绝对禁忌,但需严格控制正常肺组织剂量。

DLCO下降提示需长期随访,警惕迟发性放射性肺损伤。

肺康复训练对功能恢复至关重要,应纳入综合治疗路径。

总结与思考

本病例成功展示多学科协作下个体化SBRT治疗策略在高龄、严重共病患者中的可行性。通过精准影像引导、剂量优化与功能康复联动,不仅实现肿瘤控制,也最大限度保障患者生活质量。未来,随着风险适应剂量策略与影像组学的发展,SBRT将在更广泛人群中发挥潜力。

责任编辑:肿瘤资讯-Bear
排版编辑:肿瘤资讯-Bear


版权声明
本文专供医学专业人士参考,未经著作人许可,不可出版发行。同时,欢迎个人转发分享,其他任何媒体、网站如需转载或引用本网版权所有内容,须获得授权,且在醒目位置处注明"转自:良医汇-肿瘤医生APP"。

评论
2025年10月10日
罗小辉
三明市第一医院 | 全科
每日学习一点点,每日进步一点点。
2025年10月10日
王郭虹
桂林市第二人民医院 | 肿瘤科
对于不可手术的早期NSCLC患者,SBRT可在保留肺功能的前提下实现高效局部控制,即使合并极重度COPD与巨大肺大疱,并非禁忌。
2025年10月10日
马利平
河南省肿瘤医院 | 放疗科
肺康复训练对功能恢复至关重要,应纳入综合治疗路径