您好,欢迎您

2025 WCLC | NSCLC治疗历程:从一线治疗到精准医疗

09月29日
整理:肿瘤资讯
来源:2025 WCLC

2025年9月6日至9日,世界肺癌大会(WCLC)在西班牙巴塞罗那盛大召开,众多肺癌领域前沿研究成果悉数亮相。其中,一位61岁女性非小细胞肺癌(NSCLC)患者的治疗历程备受瞩目:从精准初诊,到多学科联合施治,再到精准医疗深度介入,全程治疗实践为医学同仁奉上丰富经验与深刻洞见。

初始诊断与一线治疗

患者于2020年7月确诊为IV期(T3N2M1b)肺腺癌,具有KRAS G12C和STK11突变,且PD-L1表达阳性。基于患者的基因特征和免疫状态,治疗团队选择一线化疗联合免疫治疗方案,即卡铂、培美曲塞和帕博利珠单抗。在治疗初期,患者同时主动选择辅助治疗,并告知医生。患者主动参与治疗决策的这种行为,提示临床医生在制定治疗方案时,应充分考虑患者的意愿和对辅助治疗的需求。

cbf19472-0f0d-4fc8-b46e-daf06e7ba22f.png

治疗进展与局部巩固治疗

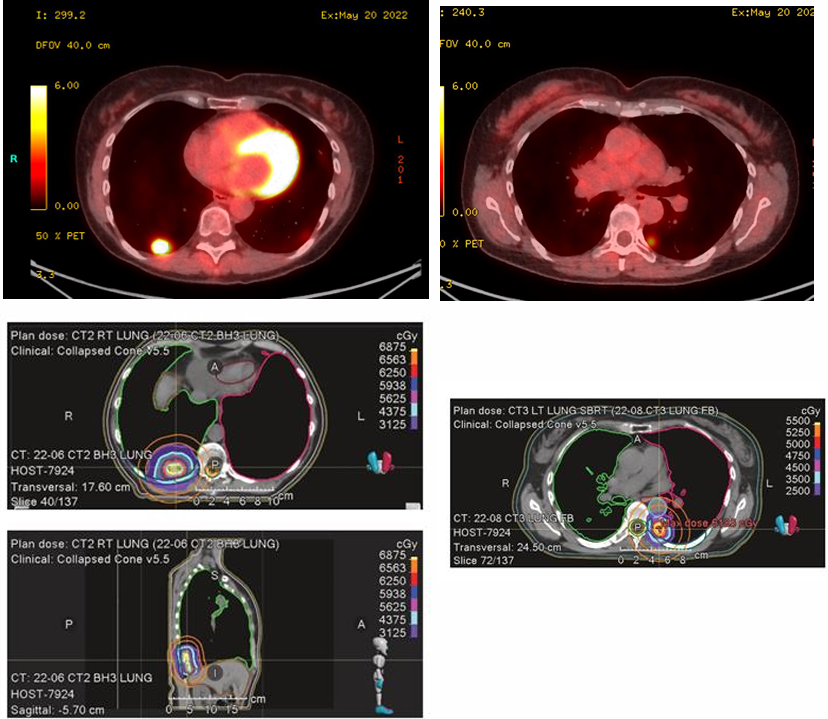
2021年5月,患者因右肺上叶主结节出现孤立性进展,接受立体定向放射治疗(SBRT),剂量为55Gy,分10次照射。治疗后,无进展生存期(PFS)达12个月,展示局部巩固治疗在控制寡进展中的有效性。然而,2022年6月,患者在维持免疫治疗期间,右肺下叶和左肺下叶出现新病灶,接受SBRT治疗,剂量分别为62.5Gy(分10次)和50Gy(分5次,每次10Gy,隔日一次)。同年7月,患者出现左额叶脑转移,经手术切除后,接受SBRT至切除腔,剂量为27Gy(分3次),每次9Gy。这表明,对于寡转移病灶,局部巩固治疗能够有效延长患者的PFS。

c519c15b-fb4b-412a-9bd5-51e05d973e6a.png

8e2cb4a1-c3f2-4c9c-b580-39f41bac524f.png

2e89fc77-9071-479e-aafb-851099f8b5ee.png

脑转移治疗与免疫治疗调整

2023年1月,患者脑部MRI显示硬膜和脑实质转移,双免疫治疗(伊匹木单抗/纳武利尤单抗)被迫终止。团队鼓励患者使用Adagrasib(针对KRAS G12C突变的靶向药物),但患者拒绝,继续选择辅助治疗。2023年2月至6月,患者脑部病灶接受SBRT治疗,剂量分别为30Gy(分5次)和24Gy(分3次),每次8Gy。这提示,在脑转移治疗中,放射治疗仍然是重要的手段,但患者对靶向治疗的接受度可能受多种因素影响,需要临床医生进一步加强沟通和教育。

精准医疗的应用

2023年9月,患者开始使用Adagrasib,针对KRAS G12C突变。然而,PFS仅为11个月,左下肺叶结节出现进展。团队采用质子治疗,剂量为60Gy,分12次照射。2024年6月,患者纵隔淋巴结和右肾上腺出现寡进展,再次接受质子治疗,剂量分别为45Gy(分15次)和40Gy(分5次)。这表明,精准医疗在控制寡进展病灶方面具有显著优势,但其疗效可能受肿瘤生物学特性等多种因素影响。

a457c443-7cad-47a7-bc8d-cf459ba01e3f.png

多学科协作与治疗决策

整个治疗过程中,肿瘤委员会多次参与讨论,为患者的治疗方案提供重要指导。在2022年6月和2024年6月,团队基于患者的影像学进展和生物标志物检测结果,分别推荐SBRT和质子治疗方案。此外,团队还考虑患者的治疗意愿和辅助治疗需求,如在质子治疗期间暂停Adagrasib,并根据患者的生活计划调整治疗方案。这强调多学科协作在制定个性化治疗方案中的重要性,以及患者参与治疗决策的必要性。

总结与思考

这例患者的治疗历程展示从一线治疗到精准医疗的演变,体现多学科协作在优化治疗方案中的关键作用。从初始的化疗联合免疫治疗,到局部巩固治疗(SBRT和质子治疗)的应用,再到靶向治疗的探索,每一步都基于患者的具体病情和生物标志物检测结果,以及患者对治疗的期望和需求。然而,患者对辅助治疗的偏好和对靶向治疗的拒绝也提醒临床医生,在制定治疗方案时,应充分尊重患者的意愿,同时加强沟通和教育,提高患者对现代医学治疗的认知和接受度。未来,随着精准医疗的不断发展,如何更好地整合多学科资源,为患者提供个性化、精准化的治疗方案,仍将是临床实践中的重要课题。

责任编辑:肿瘤资讯-Bear
排版编辑:肿瘤资讯-Bear


版权声明
本文专供医学专业人士参考,未经著作人许可,不可出版发行。同时,欢迎个人转发分享,其他任何媒体、网站如需转载或引用本网版权所有内容,须获得授权,且在醒目位置处注明"转自:良医汇-肿瘤医生APP"。

评论
10月08日
李国君
冀中能源峰峰集团有限公司总医院 | 血液肿瘤科
解析治疗瓶颈,共话RAIR-DTC靶向新策略
10月07日
马坊
漳州市医院 | 大肠外科
NSCLC)患者的治疗历程备受瞩目:从精准初诊,
10月05日
于永江
荣成市人民医院 | 放射治疗科
谢谢分享为患者益