您好,欢迎您

PD-1抗体联合抗血管生成:肺癌治疗绝地大反击

2019年07月04日
来源:肺癌多学科会诊

患者概况

患者刘某某,男,65岁。2018-01因反复发热就诊,胸部CT(01-28):右肺门下占位,并右肺阻塞性肺炎、肺不张;纵隔及右肺门淋巴结肿大;双肺炎症;右侧胸膜局限性肥厚。

1.webp.jpg第一次活检:炎症。第二次活检:肺鳞癌。

2.webp.jpg

治疗过程

于2018-04-23 行“胸腹腔镜辅助下右肺癌根治术+胸膜粘连烙断术+支气管成形术”。

术后病理:

3.webp.jpg术后辅助化疗:2018-6-14~ 08-28 进行“多西他赛+奈达铂”2周期,“多西他赛”单药2周期

2018-12-04复查增强CT:发现肝转移新发病灶:

4.webp.jpg

术后复发分期:右肺腺癌胸膜转移(T4N1M1)IV期

给予 “安罗替尼”单药口服 2 周期,复查CT示胸水略减少,肝转移灶大小没有明显变化。

患者参加我们的肺癌多学科会诊。专家组建议:完善基因检查(女性肺鳞癌),尝试纳武利尤或其他PD-1抗体免疫治疗。也可考虑在安罗替尼基础上联合PD-1抗体

5.webp.jpg

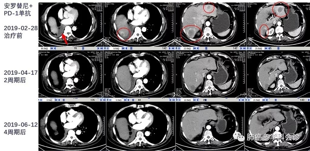
患者于2019-03-02 ~ 05-14在院外进行“安罗替尼+某种国产PD-1单抗”治疗4 周期。

在联合治疗的第 2和第 4周期,复查 CT 均显示肿瘤较前明显缩小:

6.webp.jpg

讨论

我们在实践工作中发现:抗血管生成小分子药物与PD-1抗体联合常常会发挥神奇的治疗效果,特别是在二线或以上治疗后失败时。目前我们也发起这方面的临床研究。从我们参与的国产PD-1/PD-L1 抗体治疗非小细胞肺癌和小细胞癌的临床经验来看,这些药物都不乏治疗成功的病例,安全性也较好。虽然目前国产PD-1/PD-L1抗体还没有被批准用于治疗肺癌,但相信随着临床研究的成熟,最终都会不断扩大各自的适应症。

该患者肿瘤组织的PD-L1(-),但TMB>10个突变/Mb,可能提示免疫治疗反应相对较好。


评论
2019年11月05日
蔡迎春
鲁西南医院 | 肿瘤科
学习
2019年07月09日
阙 丽 琳
玉林市第一人民医院 | 肿瘤内科
2019年07月08日
杨雪
西安医学院附属宝鸡医院 | 放疗科