您好,欢迎您

肺粘液腺癌的影像很恐怖,4年不治疗成这样

2019年07月02日
来源:肺癌MDT

【多学科会诊病例】

患者DHJI,男,55岁。4年前无明显诱因出现咳嗽,咳大量稀薄的白粘痰(每天咳痰约100-150ml),活动后气短,安静时呼吸平稳。

曾在省人民医院做无痛电子气管镜活检,病理:(左肺)考虑腺癌(相当原肺泡细胞癌粘液样改变),建议穿刺活检。患者拒绝肺穿刺活检。在此之后未接受任何进一步检查,也未接受任何抗肿瘤治疗。

1天前患者无明显诱因出现咳血,呈黑色黏冻样,夹杂鲜血,伴胸闷气喘,头晕,乏力,纳差,活动后加重。

患高血压20年,血压在138/80 ~ 150/95mmHg水平,口服降压药。不抽烟,不饮酒。

查体:体温37.2℃,脉搏88次/分,呼吸22次/分,血压130/90mmHg

化验结果如下:

【讨论】

该患者的疾病进展相对缓慢,很可能更早就发病,直到4年前才引起症状,机体逐渐适应了肺被肿瘤组织占领、缺氧的状态,长期缺氧致使 Hb高达173g/L,红细胞压积高于正常范围上限。血压升高也可能与缺氧有一定关系(类似于高原性高血压)。

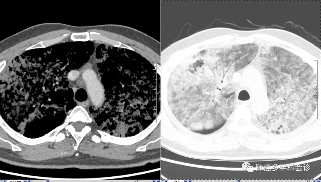
这种 CT影像符合过去的“肺泡细胞癌”特征,大量白色稀薄泡沫痰也是其特征之一,最初的病理也考虑这一诊断。但再次活检的病理诊断:粘液腺癌,并发生了 K-ras基因突变。

患者周围血白细胞、CRP和降钙素原都不高,也没有发热,与几年前肺部CT影像特征较一致,只是肿瘤组织占领的范围明显扩大,能够排除肺部感染。临床上需要与肺部的特殊感染做鉴别。


评论
2020年03月15日
海之心
这已经是晚期了吗?
2019年09月10日
吴丽
保山市人民医院 | 肿瘤科
遇到一个一样诊断的病人,治疗效果不好,请问该例患者如何治疗的啊?疗效怎么样
2019年07月06日
刘海燕
丹东市人民医院 | 肿瘤内科
最好能继续讨论一下治疗