您好,欢迎您

在研三代EGFR TKI再传捷报,为一线耐药者带来福音

2018年12月27日
作者:耿 迪 杨 丹
来源:“肺癌多学科会诊”微信公号

【新药试验病例】

患者刘TFE,女,73岁,2017-12 因咳嗽做 CT 扫描发现肺占位。

PET-CT报告:

  • 左下肺软组织肿块,代谢增高,考虑恶性病变。左肺及胸膜下多发小结节,代谢增高,考虑肺转移;双侧胸膜多处增厚,代谢增高,考虑胸膜转移。

  • 纵膈及腹膜后多发软组织结节,代谢增高,考虑淋巴结转移。双侧胸腔积液。

穿刺活理(2017-12-28): (左下肺)腺癌,EGFR基因L858R突变。

2018-01-23开始“埃克替尼”治疗,肿瘤明显退缩,获部分缓解(PR)

2018-10 复查CT:肿块增大。

第二次活检病理:腺癌

基因检测:L858R,T790M

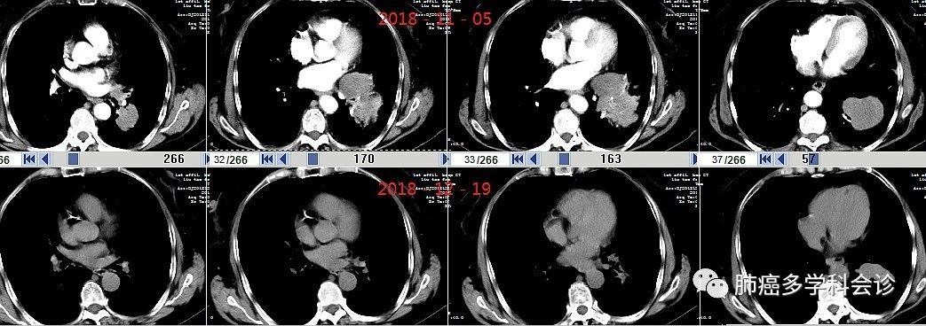
1.jpg2.jpg患者参加第三代EGFR-TKI新药BPI-7711的临床试验。于2018-11-07开始口服申办方提供的BPI-7711胶囊,180mg/次/天。

服药1周后咳嗽明显减轻,1月余后返院复查,肿块明显缩小:3.jpg上排2018-11-05,下排2018-12-19

相关阅读
评论
2019年05月17日
159****8268
如皋市人民医院 | 放疗科