您好,欢迎您

小细胞肺癌治疗山穷水尽,西奥罗尼带来柳暗花明

2018年12月18日
作者:张慧娴
来源:肺癌多学科会诊

【新药试验病例】

患者李某某,男,53岁,2017-05 确认为小细胞肺癌,随即开始依托泊苷+顺铂(EP)方案化疗,2 周期后疗效评价:部分缓解(PR)

  • 2017 年 7月开始胸部序贯放疗 50Gy/25F,病灶持续退缩但没有消失。至2017-11,共接受 6 周期 EP 方案化疗。

  • 2018-04-28 PET-CT:纵膈、肝胃间、腹膜后多发软组织结节及肿块影,代谢活跃,疾病进展 (PD)。

  • 2018-05 ~ 2018-07 再行 3 周期 EP 化疗,2018年8月 PD。

  • 2018-08 ~ 2018-09 行 2 周期伊立替康+顺铂 (IP)方案化疗,2018年10月 PD。

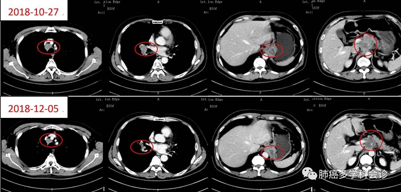
2018年10月,患者来我院参加“西奥罗尼治疗复发难治小细胞肺癌的单臂临床试验研究”,自2018年11月起口服西奥罗尼治疗至今。

2018年12月复查:获PR!

以下是患者口服西奥罗尼前后胸和腹部肿瘤病灶的变化:

1.jpg最近还有另外一例经反复治疗后疾病进展的广泛期小细胞肺癌患者,经西奥罗尼治疗后获得了部分缓解!

这些最新研究结果令人非常振奋,极大激励我们加快研究的步伐,为更多挣扎在死亡线上的患者提供获得新生的机会!

从几个接受西奥罗尼治疗的患者自述中,发现该药没有引起明显的不良反应,安全性较好。

相关阅读