您好,欢迎您

肺癌发生脊髓脊膜转移,警惕漏诊误诊!

2018年11月21日
作者:申淑景
来源:“肺癌多学科会诊”微信公号

【会诊病例】

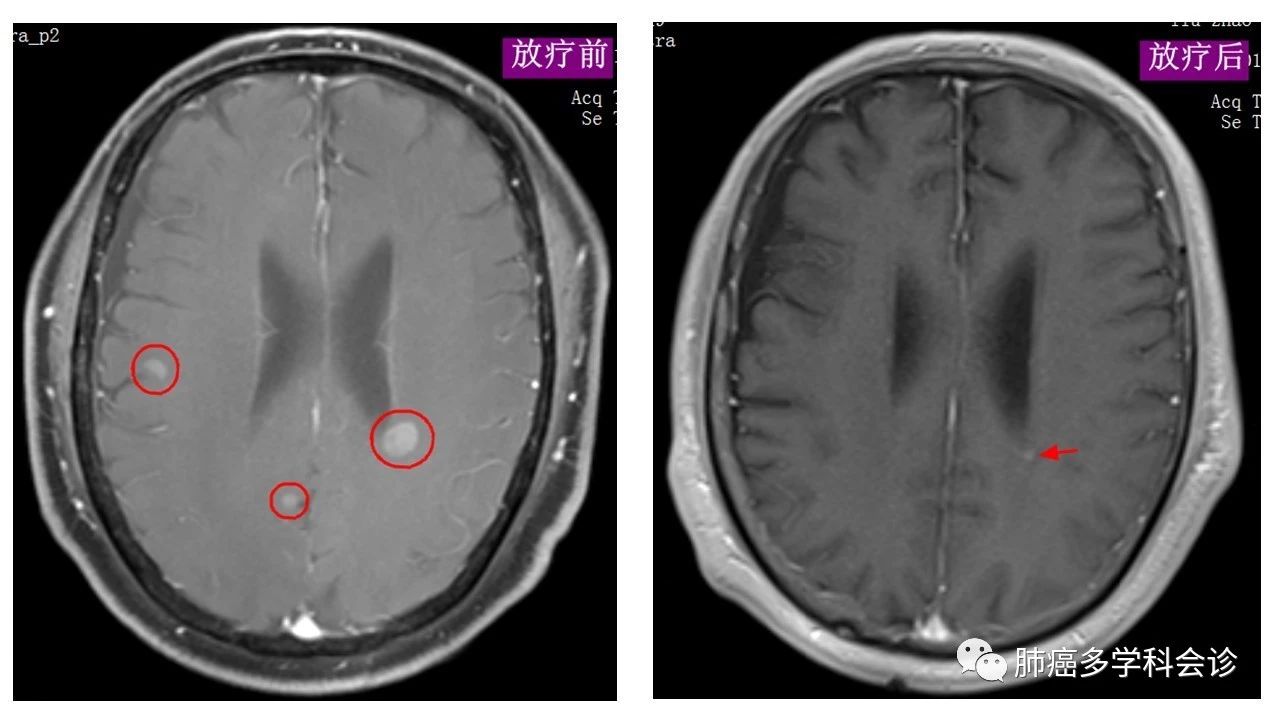
刘某某,男,53岁,患左肺小细胞肺癌局限期,接受“”铂+依托泊苷“化疗和胸部放疗。之后不久发现脑内多发转移,再行脑部放疗,脑转移灶得到控制。下图为该患者的多发脑转移灶在放疗前、后的 MRI 图像,放疗后(WBRT+SRS)转移灶基本消失:

1.jpg

在脑部放疗结束后约8个月,患者自诉骶尾部疼痛、大便困难,曾怀疑是腰骶尾部椎骨转移,但做PET-CT并未发现异常。

随后做核磁共振检查,发现全脊髓脊膜多发转移,下图展示了全脊髓内的多发转移灶,转移灶表现为脊髓内的白色小点:

2.jpg

我们再把上图的局部进行放大,以更好显示转移灶:

颈部:3.jpg

胸髓:4.jpg

腰髓、骶髓:5.jpg

【讨论】

肺癌容易发生脑转移,特别是小细胞肺癌、伴有EGFR突变或ALK/ROS1融合的NSCLC。小细胞肺癌 2年内脑转移发生率高达80%,所以会在肿瘤得到化放疗控制后常规进行预防性脑照射(PCI)。

随着核磁共振检查技术的提高,临床上发现脊髓脊膜转移的患者也在增多。当出现下肢疼痛、麻木、肌力下降、大小便困难、外阴部麻木等症状时候,一定要警惕脊髓脊膜转移的可能,及时做MRI检查,以免造成漏诊或诊断延误。

划重点:

  • 做脊髓的核磁共振时候,一定做平扫+动态增强,才能发现转移灶,单独平扫不易发现转移灶

  • 一定要重视这些症状:下肢疼痛、麻木、肌力下降、大小便困难、外阴部麻木等

评论
2019年02月16日
邹兰林
景德镇市第二人民医院 | 肿瘤科
需MRI平扫十动态增强明确脑软膜、脊膜M。
2019年02月16日
邹兰林
景德镇市第二人民医院 | 肿瘤科
通过MRl平扫十动态增强扫描发现脊膜、脑软膜M。仅MRl平扫易漏诊。受教。
2018年11月22日
小王
北京丰台右安门医院 | 肿瘤科
具体下一步怎么治疗脊髓脊膜转移呢?做鞘内注射吗?