您好,欢迎您

1例晚期肺鳞癌经国产PD-1抗体治疗4次后明显缩小

2018年05月18日
编译:樊慧杰 袁 静
来源:肺癌多学科会诊

患者刘ZY,男,71岁(2018年)。2 年余前因咳嗽、活动后胸闷做胸部CT,发现右上肺占位,穿刺活检病理:低分化癌,符合鳞状细胞癌。

肾上腺穿刺活检:见少许肾上腺组织,未见明确恶性成分

2015-10-24 行 CT引导下肺癌、肾上腺转移癌射频消融术。

2016-01-07 开始“吉西他滨+顺铂”化疗共 4周期,IV度骨髓抑制

2017.1.5 复查 CT 提示病情稳定。

2018.2.27 复查 CT:右肺上叶肿块较 2017.1.5明显增大;左肺下叶小结节,双侧肾上腺较前无变化。头颅 MRI未发现脑转移。

2018.3.7(PD-1抗体治疗前)再次穿刺活检病理:鳞状细胞癌,局灶伴腺癌分化。免疫组化:CK(+),CK5/6(+),p40(+),TTF-1(部分+),PD-1(-),PD-L1(-),Ki-67(75%+)。

恒瑞 PD-1抗体(SHR-1210)注射:

分别于 2018年3月23、4月4日、4月18日 和 5月3日,静脉 SHR-1210  200mg,患者无不适。

在患者最近一次来住院时发现在其前胸、后背及上臂出现樱桃样皮肤血管瘤,直径 3-5mm,表面隆起,无破溃( I 级)。

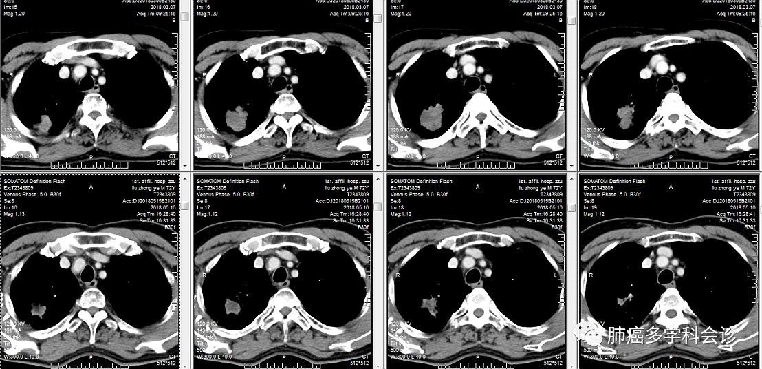
以下为患者在 PD-1抗体治疗前(上一行,2018-3-7)和治疗后(下一行,2018-5-16)胸部 CT 所显示的肿块大小,右上肺的肿块在肺窗(上图)和纵隔窗(下图)都明显退缩。

我们在不久前报道了另外一例接受 SHR-1210 治疗有效的病例。目前这项研究仍在进行中。

相关阅读